Yazd?r

A rare benign tumor mimicking malignancy

Fatma ??FT??1, Murat ?ZKAN2, Murat ?AH?N2, G?khan KOCAMAN2, Ayd?n ??LEDA?1,
Ak?n KAYA1, Hakan KUTLAY2


1 Ankara ?niversitesi T?p Fak?ltesi, G???s Hastal?klar? Anabilim Dal?, Ankara.

2 Ankara ?niversitesi T?p Fak?ltesi, G???s Cerrahisi Anabilim Dal?, Ankara.

A 75-year-old man with intermittent dry cough and progressive dyspnea on exertion was admitted to our clinic. He had a past history of coronary artery disease and a coronary artery bypass grafting operation. He had a 20 pack-year history of smoking.

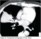
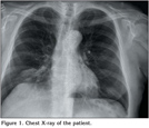
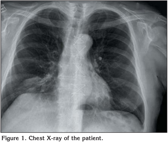
The admission chest X-ray revealed consolidation and atelectasis at basal part of the right lung (Figure 1).? Chest computed tomography (CT) demostrated pleural thickening, pleural effusion, and middle lobe lateral segment atelectasis of the right side suggesting bronchial obstruction (Figure 2).


Figure 1

Figure 2

The patient underwent fiberoptic bronchoscopy which showed an endobronchial polypoid lesion without a peduncle originating from the orifice of the lateral segment of the middle lobe (Figure 3). Mucosa of the lesion was shiny, thin, reddish, and had a rich vascularisation, mimicing a malignant tumor. Bronchoscopic resection was not considered feasible because it was impossible to clearly identify the tumor's endobronchial origin. Bronchial mucosal biopsy was not performed because of risk of hemorrhage. Bronchial lavage was performed from the lateral segment? of the middle lobe.


Figure 3

Patient underwent surgery with right thoracotomy. At bronchotomy, a yellow smooth fatty lesion occluding the middle bronchus was found, frozen section of which yielded no neoplastic tissue. Wedge shape bronchotomy was performed and the lesion was resected with its base (Figure 4).


Figure 4

Histopathological diagnosis was endobronchial lipoma that had a higher number of mature lymphocytes than other cellular components.

Endobronchial lipoma is an extremely rare benign endobronchial tumor. In 1979 Schraufnagel et al. reported a benign tumor prevalance of 3% while endobronchial lipoma prevalence of only 0.1% (1). Diagnosis of the tumor is often obtained by bronchoscopic biopsy;? however, sometimes it can only be put by bronchotomy or thoracotomy, as in this case (2,3,4). Bronchoscopic resection should be considered the first choice of treatment for bronchial lipoma; nevertheless, surgical resection is reserved for some patients. Surgical resection is preferred when there is difficulty in definite diagnosis and there is a possibility of a complicated malignant tumor (5,6,7).

CONFLICT of INTEREST

None declared.

REFERENCES

  1. Schraufnagel DE, Morin JE, Wang NS. Endobronchial lipoma. Chest 1979; 75: 1979. [?zet]
  2. Simmers TA, Jie C, Sie B. Endobronchial lipoma posing as carcinoma. Neth J Med 1997; 51: 143-5.
    [?zet]
  3. Suzuki N, Takizawa H, Yamaguchi M, Matsuzaki G, Kiyosawa H, Dohi M, et al. A case of asymptomatic endobronchial lipoma followed for 4 years. Jpn J Thorac Dis 1992; 30: 1879-83. [?zet]
  4. Celik G, Kaya A, Ozdemir O, Ozdemir N, Dizbay Sak S, Alper D. Endobronchial lipoma: a case report. Tuberk Toraks 2003; 51: 432-5. [?zet] [PDF]
  5. Destito C, Romagnoli A, Carlucci I, Mercuri M, Vulpio C, Wiel Marin A. Endobronchial lipoma: endoscopic resection or surgical excision? Report of a case and review of the literature. G Chir 1995; 16: 445-7. [?zet]
  6. Muraoka M, Akamine S, Nagayasu T, Iseki M, Suyamo N, Ayabe H. Endobronchial lipoma: review of 64 cases reported in Japan. Chest 2003; 123: 293-6. [?zet]
  7. Yokozaki M, Kodama T, Yokose T, Nishimura M, Yoshida J, Mizokami H, et al. Endobronchial lipoma: a report of three cases. Jpn J Clin Oncol 1996; 26: 53-5. [?zet] [PDF]

Yaz??ma Adresi (Address for Correspondence):

Dr. Fatma ??FT??,

Ankara ?niversitesi T?p Fak?ltesi,

G???s Hastal?klar? Anabilim Dal?,

Cebeci, ANKARA - TURKEY

e-mail: fatmarslann@yahoo.com

Yazd?r