Yazd?r

Pn?mokonyozlu hastalarda malign hastal??? taklit eden
yanl?? pozitif 18F-FDG PET/BT bulgular? (?? olgu nedeniyle)

Ahmet Selim YURDAKUL, Ayhan VAROL, Serpil YEN?AKTEN, Can ?ZT?RK


Gazi ?niversitesi T?p Fak?ltesi, G???s Hastal?klar? Anabilim Dal?, Ankara.

?ZET

Pn?mokonyozlu hastalarda malign hastal??? taklit eden yanl?? pozitif 18F-FDG PET/BT bulgular? (?? olgu nedeniyle)

K?m?r madencili?inde bilinen pn?mokonyoz ve kronik obstr?ktif akci?er hastal??? riskleri yan?nda ?zellikle silika ve di?er karsinojenlere maruziyete ba?l? olarak potansiyel akci?er kanseri riski de s?z konusudur. Klini?imize hemoptiziyle ba?vuran ve d?? merkezde ?ekilen akci?er bilgisayarl? tomografiler (BT)'indeki farkl? nat?rde kitle g?r?n?mleri nedeniyle k?m?r i??isi pn?mokonyozu ve akci?er kanseri ?n tan?s?yla y?nlendirilen olgular ileri tetkik ve tedavi amac?yla yat?r?ld?. Rutin tetkikler, balgam aside diren?li basil ve balgam sitoloji sonu?lar? normal olarak de?erlendirilen hastadan malignite ay?r?m? a??s?ndan pozitron emisyon tomografisi (PET) istendi. Olgular?n PET/BT'lerinde toraks tomografilerindeki farkl? nat?rdeki kitle g?r?n?mlerinde patolojik d?zeyde 18F-FDG tutulumlar? tespit edildi. Malignite ay?r?m? a??s?ndan fiberoptik bronkoskopik biyopsi ve/veya mediastinoskopi yap?lan olgulardan al?nan patolojik materyallerin t?m?n?n incelemesi benign olarak geldi. Klini?imize ba?vuran yanl?? pozitif PET/BT bulgular? olan ?? pn?mokonyoz tan?l? olguyu literat?r e?li?inde sunmay? ama?lad?k. Sonu? olarak, PET/BT'de yanl?? pozitif durumlar aras?nda pn?mokonyozlar?n da ak?lda tutulmas?n?n gerekti?ini d???nmekteyiz.

Anahtar Kelimeler: Pn?mokonyoz, akci?er kanseri, PET/BT.

SUMMARY

False positive 18F-FDG PET/CT findings mimicking malignant disease in patients with
pneumoconiosis (due to three case reports)

Ahmet Selim YURDAKUL, Ayhan VAROL, Serpil YEN?AKTEN, Can ?ZT?RK


Department of Chest Diseases, Faculty of Medicine, Gazi University, Ankara, Turkey.

Besides the risk of developing pneumoconiosis and chronic obstructive pulmonary disease, potential lung cancer risk may also increase due to exposure to silica and other carcinogens. Patients with hemoptysis symptom referred to our clinic depending on different forms of mass images in their thorax computerize tomography (CT) scan with the suspicion of coal-worker pneumoconiosis and lung cancer were hospitalized for investigation and treatment. The results of routine tests, sputum acid-fast bacilli and sputum cytology were evaluated as normal. PET/CT was ordered from patients for identifying malignancy. In PET/CTs of the patients, a pathological level of 18F fluorodeoxyglucose uptake was identified in different forms of mass images observed previously in thorax CTs. All the pathological specimens obtained by fiberoptic bronchoscopic biopsy and/or by mediastinoscopy were reported as benign. We aimed to present three pneumoconiosis patients with false positive PET/CT findings in the light of relevant literature. As a result, we thought that pneumoconiosis must be in mind also when considering about false positive results of PET/CT.

Key Words: Pneumoconiosis, lung cancer, PET/CT.

Geli? Tarihi/Received: 26/04/2012 - Kabul Edili? Tarihi/Accepted: 06/06/2012

G?R??

D?nyada ve ?lkemizde mesleki ve ?evresel akci?er hastal?klar? halen ?nemli bir halk sa?l??? sorunu olmaya devam etmektedir. Pn?mokonyozlar, ?zellikle maden ocaklar?nda solunan inorganik tozlar?n akci?er dokusunda birikmesi ve doku reaksiyonuyla olu?an hastal?klar toplulu?udur (1,2). K?m?r i??isi pn?mokonyozu, k?m?r tozunun akci?erde birikmesi ve doku reaksiyonuyla olu?an, ilk kez Morgan taraf?ndan tan?mlanan basit ve komplike [progresif masif fibrozis (PMF)] olarak iki ana ba?l?k alt?nda incelenen bir hastal?kt?r (1,3,4,5). Hastal???n mortalite ve morbiditesi tamamen k?m?r tozunun tipine ve ekspozisyon s?resine ba?l?d?r. Birikici etki s?z konusu oldu?u i?in 50 ya??ndan ?nce k?m?r i??isi pn?mokonyozu geli?mesi enderdir (6). ?zellikle silika ve asbest gibi mineral tozlarla ?evresel ve mesleki maruziyetin akci?er inflamasyonu, fibrozis ve/veya akci?er kanseri insidans?nda art??a neden oldu?u bilinmektedir. K?m?r madencili?inde de bilinen pn?mokonyoz ve kronik obstr?ktif akci?er hastal??? (KOAH) riskleri yan?nda ?zellikle silika ve di?er karsinojenlere maruziyete ba?l? olarak potansiyel akci?er kanseri riski de s?z konusudur (1). Akci?er grafisinde b?y?k opasitelerle kendini g?steren PMF'yi akci?er kanserinden ay?rmak ?nemlidir. Bunun i?in toraks bilgisayarl? tomografi (BT), manyetik rezonans g?r?nt?leme (MRG), PET/BT (pozitron emisyon tomografi/bilgisayarl? tomografi) ve histopatolojik tan? i?in invaziv testler gerekli olabilir (7). PET/BT'nin pn?mokonyoz zemininde geli?mi? malignitelerin tan?s?ndaki rol? tart??mal?d?r (8). Klini?imize hemoptiziyle ba?vuran ve d?? merkezde ?ekilen akci?er tomografilerindeki farkl? nat?rde kitle g?r?n?mleri nedeniyle k?m?r i??isi pn?mokonyozu ve akci?er kanseri ?n tan?s?yla y?nlendirilen olgular ileri tetkik ve tedavi amac?yla yat?r?larak tetkik edildiler. ?ekilen PET/BT'lerinde patolojik d?zeyde 18F-florodeoksigluloz (FDG) tutulumlar? saptanmas?na ra?men yap?lan noninvaziv ve invaziv tetkiklerinde maligniteye rastlanmayan olgular? literat?r e?li?inde sunmay? ama?lad?k.

OLGUSUNUMLARI

Olgu 1

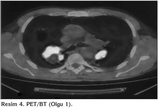
Altm?? alt? ya??nda erkek hasta, nefes darl???, ?ks?r?k, balgam ve hemoptizi ?ikayetleriyle ba?vurdu. K?rk be? paket/y?l sigara kullanma ve k?m?r madeni i??ili?i ?yk?s? olan hastada ayr?ca KOAH, hipertansiyon ve kalp yetmezli?i mevcuttu. Daha ?nce ?ekilmi? olan posteroanterior (PA) akci?er grafisinde bilateral alt zonlarda retik?ler dansite art?m? ve hiler dolgunluk tespit edilen hastan?n hemoptizi ?ikayetinin olmas? ?zerine pn?mokonyoz, KOAH ve akci?er kanseri ?n tan?lar?yla yat?r?larak toraks BT planland? (Resim 1). Hastadan rutin tetkiklerinin yan? s?ra ?? kez balgam aside diren?li basil (ARB) ve balgam sitolojileri istendi. ?stenilen tetkiklerin sonu?lar? normal olarak de?erlendirilen hastan?n ?ekilen toraks BT'sinde mediastinal ve hiler lenfadenopatiler, sol akci?er hilusunda arkus aortayla yak?n ili?kili ve sol ana pulmoner arteri ?epe?evre saran spik?le konturlu yakla??k 3 cm ?apl? kitle saptanmas? ve daha ?nce ?ekilmi? olan radyolojik incelemelerin bulunmamas? ?zerine PET/BT yap?ld? (Resim 2). PET/BT'de sa? alt paratrakeal (SUV max: 8.4), prevask?ler (SUV max: 9.5), subkarinal (SUV max: 11) lenf nodlar?nda ve her iki ana bron? ?evresinde izlenen yumu?ak doku yap?lanmas?nda patolojik artm?? 18F-FDG tutulumlar? izlendi (SUV max: 13.6) (Resim 3,4). Hastada maligniteyi d??lamak amac?yla yap?lan fiberoptik bronkoskopi ile al?nan materyallerin patolojik incelemesi benign olarak geldi. Bronkoskopik incelemeleriyle kesin olarak patolojik tan? konulamayan hastaya maligniteyi d??lamak a??s?ndan mediastinoskopi planland?. Al?nan biyopsi ?rnekleri benign nat?rde gelmesi ?zerine hastan?n meslek ?yk?s?, toraks BT'de pn?mokonyozu d???nd?ren nod?ler lezyonlar? ve lenfadenopatileri olmas?, yap?lan giri?imsel tetkiklerin normal gelmesi, PET/BT'de her iki akci?erde benzer tutulumlar?n olmas? ve hemoptizinin tekrarlamamas? nedeniyle malignite d??lanarak hasta takibe al?nd?.


Resim 1

Resim 2

Resim 3

Resim 4

Olgu 2

Yetmi? d?rt ya??nda erkek hasta, be? y?ld?r olan nefes darl??? ve ?ks?r?k ?ikayetleriyle bir sa?l?k kurumuna ba?vurmu?. 50 paket/y?l sigara i?me ve k?m?r madeni i??ili?i ?yk?s? olan hasta daha ?ncesinde k?m?r i??isi pn?mokonyozu tan?s? konularak takibe al?nm??. Rutin kontrolleri s?ras?nda ?ekilen akci?er grafisinde farkl? nat?rde kitle ile uyumlu g?r?n?m olmas? nedeniyle klini?imize y?nlendirilen hasta ileri tetkik ve tedavi amac?yla yat?r?ld?. Hastan?n rutin tetkiklerinin yan? s?ra istenilen ?? kez balgam ARB ve balgam sitolojileri sonu?lar? normal olarak geldi. ?ekilen toraks BT'de mediastinal ve hiler lenfadenopati ile sa? orta lobda 3 x 2.5 cm boyutunda, spik?le konturlu kitle lezyonu g?r?lmesi ?zerine akci?er kanseri ay?r?c? tan?s? i?in PET/BT yap?ld?. PET/BT'de sol paratrakeal, prevask?ler (SUV max: 3.4), aortikopulmoner lenf nodlar?nda (SUV max: 3.9), sa? hiler b?lgede izlenen yumu?ak doku yap?lanmas?nda (SUV max: 4.8) ve sol hiler b?lgede ?st-alt bron? ay?r?m?nda izlenen yumu?ak doku yap?lanmas?nda artm?? 18F-FDG tutulumlar? saptand? (SUV max: 4.9). Fiberoptik bronkoskopi ile al?nan biyopsi ?rneklerinde patolojik bulguya rastlanmayan hastada malignite tan?s? d???n?lmedi ve hasta takibe al?nd?.

Olgu 3

Yirmi be? y?l maden i??ili?i yapan 64 ya??nda erkek hasta, nefes darl???, ?ks?r?k, balgam ve hemoptizi ?ikayetleriyle bir sa?l?k kurumuna ba?vurmu?. Altm?? paket/y?l sigara i?me ?yk?s? olan ve ge?irilmi? akci?er t?berk?lozu ve KOAH tan?s? olan hastan?n ?ekilen akci?er grafisindeki kitle ile uyumlu g?r?n?m tespit edilmesi ?zerine toraks BT planlanm??. Toraks BT'de sa? akci?er ?st lob posterior, sol akci?er linguler segment ve alt lob s?perior segmentte parahiler yerle?imli kitle lezyonu saptanmas? ?zerine klini?imize y?nlendirilen hasta ileri tetkik ve tedavi amac?yla yat?r?ld?. Hastan?n rutin tetkiklerinin yan? s?ra ?? kez balgam ARB ve balgam sitolojileri tetkiklerin sonu?lar?n?n normal olarak gelmesi ?zerine maligniteyi ara?t?rmak i?in PET/BT istendi. PET/BT ?ekilen hastan?n sa? akci?er ?st lob posterior (SUV max: 9), sol akci?er linguler ve alt lob s?perior segmentlerde (SUV max: 11) patolojik 18F-FDG tutulumlar? saptand?. Ayr?ca, sol akci?er apikal kesimlerde izlenen fibronod?ler alanlarda patolojik artm?? 18F-FDG tutulumlar? izlendi (SUV max: 5.6). Fiberoptik bronkoskopi yap?lan hastan?n al?nan biyopsi ?rneklerinde maligniteye ait bir bulguya rastlanmad???ndan, PA akci?er grafisi, toraks BT ve PET/BT'deki g?r?n?mlerin pn?mokonyoza ait oldu?u d???n?lerek hasta takibe al?nd?.

?ki y?l boyunca takibe al?nan ?? olguda da takiplerinde maligniteyi d???nd?recek herhangi bir bulguya rastlanmad?.

TARTI?MA

K?m?r i??isi pn?mokonyozu, k?m?r tozu inhalasyonu ve akci?erlerde birikimi sonucu geli?en ve k?m?r tozuna kar?? doku reaksiyonuyla karakterli bir akci?er hastal???d?r (1,5). K?m?r tozu, silika kadar fibrojenik olmamakla birlikte, uzun s?re yo?un maruziyet akci?erlerin temizleme mekanizmalar?n? bozarak end?striyel bron?it, basit k?m?r i??isi pn?mokonyozu ve komplike k?m?r i??isi pn?mokonyozu gibi geni? bir spektrumda hastal?k olu?turur (4). Basit pn?mokonyozun radyolojik paterni toplu i?ne ba?? b?y?kl???nden 1 cm'ye kadar olan k???k, yuvarlak nod?ler opasitelerdir (9). Akci?erin ?st ve posterior k?s?mlar?n? tutma e?ilimindedir (9,10). PMF kitlelerinin iyi s?n?rl? d?? kenar?na z?t olarak, i? kenar? s?kl?kla iyi s?n?rl? de?ildir ve bir boyutu di?erine g?re daha kal?n olma e?ilimindedir. Bu nedenle arka-?n akci?er grafilerinde geni? bir y?z olu?turmas?na kar??n yan grafilerde s?kl?kla b?y?k fiss?re paralel ince bir ?ekilde g?r?l?r. Tek tarafl? oldu?u zaman akci?er kanserini taklit edebilir (1,3,5). D?? kenar?n?n keskin ve yan grafideki g?r?n?m?n?n arka-?n grafiye g?re ince yani lezyonun yass? olmas?, akci?er kanserinden ay?r?m i?in faydal? ipu?lar?d?r. Akci?er kanserinde s?n?rlar daha az belirgin ve ?ekli k?reseldir (3). Olgular?m?zda da lezyonlar?n radyolojik incelemesinde genellikle ?st zon a??rl?kl? ve lezyonlar?n d?? kenarlar? genellikle keskin hatl?yd?.

?zellikle silika ve asbest gibi mineral tozlarla ?evresel ve mesleki maruziyetin akci?er inflamasyonu, fibrozis ve/veya akci?er kanseri insidans?nda art??a neden oldu?u bilinmektedir. K?m?r madencili?inde de bilinen KOAH ve pn?mokonyoz riskleri yan?nda ?zellikle silika ve sigara gibi karsinojenlere maruziyete ba?l? olarak potansiyel akci?er kanseri riski de s?z konusudur (1,11). Olgular?m?zda, k?m?r madencili?i mesleklerinin yan? s?ra yo?un sigara i?me ?yk?leri de mevcuttu.

Katabami ve arkada?lar? yapt?klar? ?al??mada, pn?mokonyoz ile yass? h?creli akci?er kanseri aras?nda neden-sonu? ili?kisi oldu?unu ilk kez g?stermi?lerdir (11). Dif?z interstisyel fibrozis olan olgularda yak?n takip akci?er kanserinin erken tan?s?nda ?nemli bir rol oynamaktad?r.

Klinik olarak akci?er grafisinde b?y?k opasitelerle kendini g?steren ve ?st zon a??rl?kl? olan PMF'yi akci?er kanserinden ay?rmak ?nemlidir. Bunun i?in toraks BT, PET/BT ve histopatolojik tan? i?in invaziv giri?imler gerekli olabilir (7). PET/BT iyi bilinen iki g?r?nt?leme tekni?inin entegrasyonuyla elde edilmi? hibrid g?r?nt?leme sistemiyle maligniteleri benign lezyonlardan ay?rt etmek m?mk?n olabilir. Ancak pn?mokonyoz zemininde geli?mi? malignitelerin tan?s?ndaki rol? tam olarak bilinmemektedir (8).

Son y?llarda toraks i?indeki kitlesel lezyonlar?n ?zelliklerini ayd?nlatmaya y?nelik olarak ve te?his sonras? hastal???n yayg?nl???n?, tedaviye olan yan?t? de?erlendirmek i?in PET/BT kullan?m?n?n s?kl??? artm??t?r. PET/BT'de g?n?m?zde ?zellikle benign lezyonlar?n malign lezyonlardan ay?r?m?nda yararlan?lmaktad?r. Malign t?m?rler d???nda glukoz metabolizmas? artm?? olan baz? di?er patolojilerde de (inflamatuvar ve gran?lomat?z lezyonlar gibi) artm?? FDG tutulumu g?r?lebilir ve yanl?? pozitif sonu?lara neden olabilir. ?zellikle gran?lomat?z infeksiyonlarda belirgin FDG tutulum art??? olabilmektedir. Ayr?ca, proliferatif aktivitesi y?ksek olmayan ?ok iyi diferansiye t?m?rler (bron?iyoloalveoler kanserler ve karsinoid t?m?rler gibi) d???k metabolik aktivitelerinden dolay? her zaman artm?? FDG tutulumu g?stermeyebilir ve yanl?? negatif PET sonu?lar?na yol a?abilir (12,13,14).

Chung ve arkada?lar?n?n yapt?klar? ?al??mada, dokuz PMF'li hastaya PET/BT tetkiki uygulanm??t?r. Aktif t?berk?lozu olan hastalar?n ?al??ma d??? b?rak?ld??? ?al??mada lezyonlar?n b?y?kl??? 1.2-6.4 cm aras?nda tespit edilmi?tir. PET g?r?nt?leri incelendi?inde b?t?n hastalarda metabolik olarak aktive olan lezyonlar belirlenmi?tir. Maksimal SUV aral??? 3.1 ile 14.6 aras?nda, ortalama SUV aral??? ise 1.4-8.5 aras?nda saptanm??t?r. PET/BT, PMF lezyonlar?n? t?berk?loz ve malignansi ile ili?kisi olmasa bile hipermetabolik lezyon olarak belirleyebilir. Bu y?zden pn?mokonyozlu hastalarda t?berk?loz veya akci?er kanseri tan?s?nda PET/BT tetkiki s?n?rl? bir role sahiptir (15). ?al??mam?za al?nan olgularda lezyonlar?n b?y?kl??? 1-5 cm aras?nda de?i?mekteydi. PET g?r?nt?leri incelendi?inde maksimal SUV aral??? 1.2 ile 13.6 aras?nda tespit edildi ancak patolojik FDG tutulumuna ra?men malign bir lezyon tespit edilemedi.

O'Connel'?n olgu sunumunda da PET/BT'nin pn?mokonyoz g?r?nt?lenmesinde s?n?rl? bir yere sahip oldu?u ve PET/BT'nin asbestoz ili?kili plevra hastal?klar?n?n malignite ay?r?c? tan?s?nda daha etkin bir rol? oldu?u bildirilmi?tir (8).

Kyung ve arkada?lar?n?n sunduklar? olgu sunumunda ise, akci?er grafisi ve toraks BT'de saptanamayan ancak PET/BT ile sa? akci?er ?st lobda tespit edilen kitle g?r?n?m?n?n histopatolojik olarak incelenmesi sonucunda k???k h?creli akci?er kanseri tan?s? alan 55 ya??ndaki erkek hasta bildirilmi?tir. Bu ?al??ma sonucunda, akci?erde izlenen kitlenin boyutu k???k ise toraks BT veya MRG kullanarak PMF'yi akci?er kanserinden ay?rman?n zor oldu?u ve PET/BT kullan?m?n?n PMF ile akci?er kanseri ay?r?c? tan?s?nda avantajl? olabilece?i g?r???ne var?lm??t?r (16).

Olgular?m?zda yo?un sigara i?me ?yk?s? olmas?, hemoptizi semptomunun bulunmas? ve d?? merkezde ?ekilen akci?er tomografilerindeki farkl? nat?rde kitle g?r?n?mleri olmas? nedeniyle akci?er kanseri de ?n tan?lar aras?nda d???n?lm?? ve olgular incelenerek takibe al?nm??t?r.

Sonu? olarak; pn?mokonyozlu hastalarda yap?lan PET/BT incelemelerinde patolojik d?zeyde artm?? 18F-FDG tutulumu g?r?lebilir. PET/BT'de yanl?? pozitif durumlar aras?nda pn?mokonyozlar?n da ak?lda tutulmas? gerekmektedir.

?IKAR?ATI?MASI

Bildirilmemi?tir.

KAYNAKLAR

  1. Parker JE, Petsonk EL. Coal workers lung diseases and silicosis. In: Fishman AP, Elias JA, Fishman JA, Grippi MA, Kaiser LR, Senior RM (eds). Fishmann's Pulmonary Diseases and Disorsers. 3rd ed. New York: Mc Graw-Hill, 1998: 901-14.
  2. Seaton A. Occupational lung disease. In: Seaton A, Leitch AG, Seaton D (eds). Crofton and Douglas's Respiratory Disease. 5th ed. Oxford: Blackwell Science, 2000: 1408-37.
  3. Fraser RS, M?ller NL, Colman N, Pare PD. Inhalation of inorganic dust. In: Fraser RS, Muller NL, Colman NC, Pare PD (eds). Diagnosis of Disease of the Chest. 4th ed. Philadelphia: WB Saunders, 1999: 2386-484.
  4. Weissman DN, Banks DE. Silicosis and coal worker's pneumoconiosis. In: Schwarz MI, King TE (eds). Interstitial Lung Disease. 3rd ed. Hamilton: BC Decker, 1998: 325-50.
  5. Lapp NL, Parker JE. Coal worker's pneumoconiosis. Clin Chest Med 1992; 13: 243-52. [?zet]
  6. Meyer JD, Holt DL, Chen Y, Cherry NM, McDonald JC. SWORD '99: surveillance of work-related and occupational respiratory disease in the UK. Occup Med (Lond)? 2001; 51: 204-8. [?zet] [PDF]
  7. Matsumoto S, Miyake H, Oga M, Takaki H, Mori H. Diagnosis of lung cancer in a patient with pneumoconiosis and progressive massive fibrosis using MRI. Eur Radiol 1998; 8: 615-7. [?zet]
  8. O'Connell M, Kennedy M. Progressive massive fibrosis secondary to pulmonary silicosis appearance on F-18 fluorodeoxyglucose PET/CT. Clin Nucl Med 2004; 29: 754-5.
  9. Naidich DP, Webb WR, M?ller NL, Vlahos I, Krinsky GA. Diffuse lung disease. In: Monvadi B. Srichai MB, Naidich DP, Webb RW, M?ller NL (eds). Computed Tomography and Magnetic Resonance of the Thorax. 3rd ed. New York: Lippincott-Raven, 1999: 381-464.
  10. Webb WR, M?ller NL, Naidich DP. Primarily by nodular or reticulonodular opacities. In: Webb WR, M?ller NL, Naidich DP. High resolution CT of the Lung. 3rd ed. Philadelphia: Lippincott Williams and Wilkins, 2001: 259-353.
  11. Katabami M, Dosaka-Akita H, Honma K, Saitoh Y, Kimura K, Uchida Y, et al. Pneumoconiosis-related lung cancers: preferential occurrence from diffuse interstitial fibrosis-type pneumoconiosis. Am J Respir Crit Care Med 2000; 162: 295-300. [?zet] [Tam Metin] [PDF]
  12. Trukington TG, Coleman RE. Clinical oncologic PET: an introduction. Semin Roentgenol 2002; 37: 102-9.
  13. Kostakoglu L, Agress H, Goldsmith SJ. Clinical role of FDG PET in evaluation of cancer patients. Radiographics 2003; 23: 315-40. [?zet] [Tam Metin] [PDF]
  14. Sonmezoglu K. The use of FDG-PET scanning in lung cancer. Tuberk Toraks 2005; 53: 94-112.
    [?zet] [PDF]
  15. Chung SY, Lee JH, Kim TH, Kim SJ, Kim HJ, Ryu YH. 18F-FDG PET imaging of progressive massive fibrosis. Ann Nucl Med 2010; 24: 21-7. [?zet]
  16. Je SK, Ahn MI, Park YH, Kim CH. Detection of a small lung cancer hidden pneumoconiosis with progressive massive fibrosis using F-18 fluorodeoxyglucose PET/CT. Clin Nucl Med 2007; 32: 247-8.

Yaz??ma Adresi (Address for Correspondence):

Dr. Ahmet Selim YURDAKUL,

Gazi ?niversitesi T?p Fak?ltesi,

G???s Hastal?klar? Anabilim Dal?, Be?evler,

ANKARA - TURKEY

e-mail: ayurdakul@gazi.edu.tr

Yazd?r