Yazd?r

Soliter pulmoner nod?l olarak ortaya ??kan bir pulmoner sekestrasyon olgusu

Seyfettin G?M??1, ?mer DEN?Z2, Fatih ?RS3, Ergun TOZKOPARAN2, Orhan Y?CEL4,
Hayati B?LG??2, Kudret EK?Z2


1 G?lhane Askeri T?p Akademisi, Acil T?p Anabilim Dal?, Ankara,

2 G?lhane Askeri T?p Akademisi, G???s Hastal?klar? Anabilim Dal?, Ankara,

3 G?lhane Askeri T?p Akademisi, Radyoloji Anabilim Dal?, Ankara,

4 G?lhane Askeri T?p Akademisi, G???s Cerrahisi Anabilim Dal?, Ankara.

?ZET

Soliter pulmoner nod?l olarak ortaya ??kan bir pulmoner sekestrasyon olgusu

Sistemik bir arterden beslenen, normal trakeobron?iyal a?a?la ba?lant?s? olmayan ve fonksiyon g?rmeyen akci?er dokusu varl???na pulmoner sekestrasyon denilmektedir. Bilgisayarl? tomografide, hemen hemen tamam?na yak?n? alt lob yerle?imli, kom?ulu?unda lokal amfizemat?z de?i?ikliklere sahip, genellikle kistik de?i?ikliklere sahip olan veya olmaks?z?n ayr? bir kitle lezyonu ?eklinde g?r?l?r. Sol ?st lob apikoposterior segmentte yerle?mi?, klasik radyolojik g?r?n?m?nden farkl? olarak d?zg?n s?n?rl? soliter pulmoner nod?l olarak ortaya ??kan, postoperatif patolojik incelemesi sonucu pulmoner sekestrasyon oldu?u anla??lan intralober pulmoner sekestrasyon olgusunu sunuyoruz.

Anahtar Kelimeler: Soliter pulmoner nod?l, sekestrasyon, intralober.

SUMMARY

A case of pulmonary sequestration presenting as solitary pulmonary nodule

Seyfettin G?M??1, ?mer DEN?Z2, Fatih ?RS3, Ergun TOZKOPARAN2, Orhan Y?CEL4,
Hayati B?LG??2, Kudret EK?Z2


1 Department of Emergency Medicine, Gulhane Military Medical Academy, Ankara, Turkey,

2 Department of Chest Diseases, Gulhane Military Medical Academy, Ankara, Turkey,

3 Department of Radiology, Gulhane Military Medical Academy, Ankara, Turkey,

4 Department of Chest Surgery, Gulhane Military Medical Academy, Ankara, Turkey.

Pulmonary sequestration is a rare, usually a cystic mass which is composed of nonfunctioning pulmonary tissue that does not communicate with the tracheobronchial tree. In computed tomography pulmonary sequestration is seen as usually a discrete mass lesion, with or without cystic changes, associated with local emphysematous areas located in lower lobes. We present a case of pulmonary sequestration located in apicoposterior segment of left upper lobe and presented as a solitary pulmonary nodule having smooth margins different from the classical radiological appearance of pulmonary sequestration.

Key Words: Solitary pulmonary nodule, sequestration, intralobar

Geli? Tarihi/Received: 15/01/2011 - Kabul Edili? Tarihi/Accepted: 23/03/2011

G?R??

Pulmoner sekestrasyon (PS) terimi literat?rde ilk kez 1946 y?l?nda Pryce taraf?ndan kullan?lm??t?r. B?t?n akci?er malformasyonlar?n?n %0.15-6's?n? olu?turan nadir g?r?len konjenital bir anomalidir (1). Genel pop?lasyonda beklenen insidans %2'nin alt?ndad?r (2). Sistemik bir arterden beslenen, normal trakeobron?iyal a?a?la ba?lant?s? olmayan ve fonksiyon g?rmeyen akci?er dokusu varl???na PS denilmektedir. ?ntralober ve ekstralober olmak ?zere iki gruba ayr?l?r. ?ntralober PS, etraf? normal akci?er dokusuyla ?evrili, ayr? bir visseral plevras? olmayan, daha s?k g?r?len, genellikle ?ocukluk ve eri?kinlik d?neminde tan? konan, di?er konjenital anomalilerle ili?kisi az olan, cinsiyet da??l?m? e?it olan, genellikle torasik aortadan beslenen ve ven?z drenaj?n? pulmoner venlere yapan sekestrasyonlard?r. Ekstralober PS ise, normal akci?er dokusunun d???nda kendine ait visseral plevras? olan, genelde infant ve erken ?ocukluk d?neminde tan? konan, erkeklerde daha s?k g?r?len, ?o?unlukla sol alt lobda meydana gelen, %60 oran?nda? di?er konjenital malformasyonlarla birlikte olan, tipik olarak abdominal aortadan beslenen ve sistemik ven?z drenaja sahip sekestrasyon grubudur (1,2,3,4,5,6,7). Kesin tan?s? akci?erin bu anormal b?lgesini besleyen sistemik arterin g?sterilmesiyle konur. Tedavisi, cerrahi ile lezyonun tam olarak ??kar?lmas?d?r (1,3,4,6,8). Cerrahi i?in ?ok b?y?k riski olanlarda ise tedavi, besleyici sistemik arterin anjiyografik embolizasyonudur (1,4).

Biz, literat?rde rastlamad???m?z, hem sol ?st lob apikoposterior segmentte yerle?mi?, hem de klasik radyolojik g?r?n?m?nden farkl? olarak d?zg?n s?n?rl? soliter pulmoner nod?l (SPN) olarak ortaya ??kan intralober PS olgusunu sunuyoruz.

OLGU SUNUMU

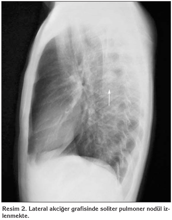
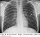
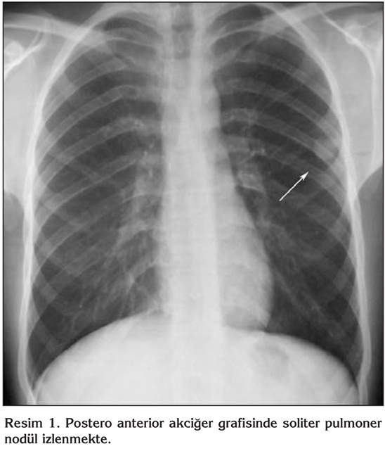
Yirmi ya??nda erkek hastan?n, alt? ayd?r halsizlik ve ?? ayd?r sol yan a?r?s? yak?nmalar? vard?. Askerlik g?revini yapmakta iken Verem Sava? Dispanseri taraf?ndan yap?lan taramada ?ekilen PA akci?er grafisinde ku?kulu lezyon saptanmas? ?zerine hastanemize sevk edildi. Fizik muayene bulgular? normal saptand?; hastan?n ate?i; 36?C, nabz?; 63 vuru/dakika, TA; 100/65 mmHg, solunum say?s?; 16/dakika idi. ?z ge?mi?inde ve yak?n aile anamnezinde bir ?zellik yoktu. Bir paket/y?l sigara ?yk?s? vard?. Tam kan, tam idrar, sedimentasyon ve rutin biyokimya incelemeleri normal s?n?rlarda tespit edildi. PA ve lateral akci?er grafilerinde sol hemitoraksta ?st zonda SPN ile uyumlu g?r?n?m mevcuttu (Resim 1,2). Toraks bilgisayarl? tomografi (BT)'de; sol akci?er ?st lob apikoposterior segmentte, periferik yerle?imli, yakla??k 2 x 2 cm ?ap?nda, d?zg?n kont?rl?, sferik SPN ile uyumlu g?r?n?m saptand?. Mediastende patolojik boyutlarda lenfadenopati yoktu ve tan?mlanan g?r?n?m haricinde infiltrasyon ve kitle saptanmad? (Resim 3). Hasta balgam ??karamad??? i?in al?nan mide suyu asido-alkalo rezistan basil (ARB) negatif olarak de?erlendirildi ve k?lt?r?nde ?reme olmad?. Bronkoskopide endobron?iyal lezyon g?zlenmedi. Bron? lavaj? ARB negatifti ve k?lt?r?nde ?reme olmad?. Bron? lavaj? sitolojik incelemesi malignite y?n?nden negatif olarak raporland?. Kist hidatik i?in yap?lan ELISA testi negatif bulundu. Bat?n ultrasonografi (USG) incelemesi normaldi. Olgudan SPN etyolojisini ayd?nlatabilmek i?in g???s cerrahisi kons?ltasyonu al?nd? ve olguya kist hidatik ?n tan?s?yla operasyon planland?. Torakotomi ile sol ?st lobda saptanan 2 x 2 cm'lik nod?le wedge rezeksiyon uyguland? ve perioperatif patoloji kons?ltasyonu istendi. Elde edilen materyalin makroskobik incelenmesinde malignite saptanmamas? ?zerine operasyon sonland?r?ld?. Eksizyonel biyopsi ?rne?inin mikroskobik incelemesi intralober pulmoner sekestrasyon (Kesitlerde akci?er parankimi bulgular? g?steren iyi s?n?rl? nod?ler lezyon izlenmektedir. G?m??leme y?ntemiyle yap?lan incelemede lezyonda yayg?n olarak retik?lin liflerinde art??, baz?lar? hiperplastik g?r?n?mde damar yap?lar? ve d?zensiz bron? alveol ?at?lar? g?r?lmektedir) olarak raporlanm??t?r.


Resim 1

Resim 2

Resim 3

TARTI?MA

Bu olgu sunumuyla nadir g?r?len klinik bir antite olan PS'nin? SPN ?eklinde ortaya ??kabildi?i g?sterilmi?tir. Literat?rde SPN ?eklinde ortaya ??kan bir PS olgusuna rastlanmam??t?r. PS'lerin hemen hemen tamam?na yak?n? alt loblarda yerle?mektedir. Literat?rde rapor edilen olgular?n sadece %5'i alt lob d???nda yerle?ti?i i?in, alt lob d???ndaki lezyonlarda alternatif tan?lar?n ara?t?r?lmas? gerekti?i ?nerilmektedir (1). Bu olguda sol ?st lob apikoposterior yerle?imli bir lezyon oldu?u i?in ?zellikle ay?r?c? tan?da t?berk?lomay? d???nd?rmekteydi. Ancak mide suyu ARB ve bron? lavaj? ARB negatifti ve bunlar?n k?lt?rlerinde ?reme olmad?.

?ntralober PS'lerin b?y?k ?o?unlu?u y?llarca asemptomatik kalabilir ve rutin ?ekilen akci?er grafilerinde tesad?fen saptanabilmektedir. Baz? olgularda g???s a?r?s?, pl?retik a?r? ve tekrarlayan infeksiyonlara ba?l? ate?, ?ks?r?k, balgam ??karma gibi nonspesifik ?ikayetler g?r?lmektedir (1,2). Nadir olarak hemoptiziyle ortaya ??kan olgular da mevcuttur (2). Bu olguda da alt? ayd?r s?ren halsizlik ve son ?? ayd?r ortaya ??kan sol yan a?r?s? ?ikayetleri mevcuttu.

PS'nin patogenezi hakk?nda literat?rde bir?ok teori mevcuttur. Geli?im s?ras?nda normal akci?er tomurcu?unun alt?nda aksesuar akci?er tomurcu?unun geli?mesi ve embriyogenez s?ras?nda da bu olu?umun genellikle aortadan besleyici damar?n? geli?tirmesi ve normal trakeobron?iyal a?a?tan ba??ms?z bir akci?er dokusunun olu?mas? hipotezi en ?ok kabul g?ren hipotezdir (1,9,10). Etyoloji ile ilgili baz? olgular?n tekrarlayan infeksiyonlar gibi edinsel nedenlere ba?l? olabilece?i iddialar? ortaya at?lsa da konjenital nedenin daha a??rl?kta oldu?u g?sterilmi?tir (11). Bu olgunun da tekrarlayan pn?moni? ?yk?s?n?n olmamas? konjenital oldu?unu d???nd?rmektedir.

Radyolojik olarak PS'lerin, kom?ulu?unda lokal amfizemat?z de?i?iklikleri i?eren, genellikle kistik ?zelliklere sahip olan veya olmaks?z?n ayr? bir kitle lezyonu ?eklinde g?r?ld??? bilinmektedir (1,7). Sunulan olgunun en ?nemli ?zelliklerinden biri d?zg?n s?n?rl? ve yuvarlak g?r?n?ml? SPN olmas?yd?. PS'ler i?in neredeyse tipik olan alt lob yerle?imi d???nda sol ?st lob apikoposterior yerle?imi olmas? da g?z ?n?ne al?nd???nda, bu iki ?zelli?i ta??yan PS olgusuna literat?rde rastlanmam??t?r. Olgu PS i?in tipik ?zellikleri ta??mad??? i?in ?n tan?da daha ?ok t?berk?loma, kist hidatik gibi SPN ay?r?c? tan?s?nda rol alabilecek di?er nedenler d???n?lm??t?r (12). Bu sebeple, PS tan?s? i?in gerekli olan, anormal olu?umu besleyen sistemik arterin g?sterilmesine y?nelik aortografi, BT anjiyografi ve manyetik rezonans anjiyografi tetkikleri yap?lmam??t?r. PS ?n tan?s? olsayd?, besleyici sistemik arterin g?sterilmesine y?nelik? ?ok ?nemli bir yeri olan spiral BT anjiyografinin yap?lmas? gerekirdi. Yap?lan d?rt olguluk bir seride spiral BT anjiyografi ile PS tan?s? kondu?u bildirilmi?tir (3). Bu olgunun ise postoperatif patolojik incelemesi sonucu PS oldu?u anla??lm??t?r.

Sonu? olarak; tipik g?r?n?m ve yerle?im ?zelliklerini ta??masa da, SPN etyolojisini ara?t?r?rken? PS'nin de ak?lda bulundurulmas? gerekti?ini d???nmekteyiz.

?IKAR?ATI?MASI

Bildirilmemi?tir.

KAYNAKLAR

  1. Cooke CR. Bronchopulmonary sequestration. Respiratory Care 2006; 51: 6. [PDF]
  2. ?ahin E, Kaptano?lu M, Nadir A, Elag?z ?, Atalar M, Durkaya S. A rare case of sequestration. Toraks Dergisi 2004; 5: 216-9. [?zet] [Tam Metin] [PDF]
  3. Franco J, Aliaga R, Domingo ML, Plaza P. Diagnosis of pulmonary sequestration by spiral CT angiography. Thorax 1998; 53: 1089-92. [?zet] [PDF]
  4. Veerappan GR, Lettieri CJ. Bronchopulmonary sequestration. J Postgrad Med 2003; 49: 280-1.
  5. Do?ru D. Congenital lung diseases in adulthood. Toraks Dergisi 2004; 5 (Suppl 1): [?zet] [Tam Metin] [PDF] 1-7.
  6. ?zvaran MK, ?sk?l TB, Ersoy Y, D?zg?n S, Altunta? N, Ergin H. The diagnosis of intralober sequestration with magnetic resonance angiography. Solunum 2002; 4: 34-7. [?zet] [PDF]
  7. Osma E. Respiratory system radiology, normal and pathology. 2000: 151-52.
  8. Baysal T, Kaya A, Kutlu R, S???rc? A. Pulmonary sequestration: helical CT demonstration. Tuberk Toraks 2001; 49: 265-8. [?zet] [PDF]
  9. Sipahi S, G?rsu RU, K?ksal C et al. A case of intralobar pulmonary sequestration and the review of the literature. Cerrahpa?a J Med 2000; 31: 168-71. [?zet] [Tam Metin] [PDF]
  10. Corbett JH, Humphrey GME. Pulmonary sequestration. Paediatr Respir Rev 2004; 5: 59-68. [?zet]
  11. Sayg? A. ?ntralober bronchopulmonary sequestration. Chest 2001; 119; 990-2.
  12. Y?lmaz A, Damado?lu E, Aybatl? A. Diagnostic approach to solitary pulmonary nodule. Tuberk Toraks 2005; 53: 307-18. [?zet] [PDF]

Yaz??ma Adresi (Address for Correspondence):

Dr. Seyfettin G?M??,

G?lhane Askeri T?p Akademisi,

Acil T?p Anabilim Dal?,

06018 Etlik, ANKARA - TURKEY

e-mail: sgumus@gata.edu.tr

Yazd?r