Yazdır

KLİNİK ?ALIŞMA
RESEARCH ARTICLE
Doi: 10.5578/tt.68070
Tuberk Toraks 2019;67(1):022-030

Malign hava yolu darlığı nedeniyle yerleştirilen silikon Y stentlerinin komplikasyonları

Zafer AKTAŞ1, Ayperi ?ZT?RK1, Aydın YILMAZ1, Derya KIZILG?Z2, G?lşah YURTSEVEN3


1 Ankara Atat?rk G?ğ?s Hastalıkları ve G?ğ?s Cerrahisi Eğitim ve Araştırma Hastanesi, Girişimsel Pulmonoloji Kliniği, Ankara, T?rkiye

1 Clinic of Interventional Pulmonology, Ankara Ataturk Chest Diseases and Thoracic Surgery Training and Research Hospital, Ankara, Turkey

2 Ankara Atat?rk G?ğ?s Hastalıkları ve G?ğ?s Cerrahisi Eğitim ve Araştırma Hastanesi, Palyatif Bakım Servisi, Ankara, T?rkiye

2 Service of Palliative Care, Ankara Ataturk Chest Diseases and Thoracic Surgery Training and Research Hospital, Ankara, Turkey

3 Ankara Atat?rk G?ğ?s Hastalıkları ve G?ğ?s Cerrahisi Eğitim ve Araştırma Hastanesi, Anestezi Kliniği, Ankara, T?rkiye

3 Clinic of Anesthesia, Ankara Ataturk Chest Diseases and Thoracic Surgery Training and Research Hospital, Ankara, Turkey

?ZET

Malign hava yolu darlığı nedeniyle yerleştirilen silikon Y stentlerinin komplikasyonları

Giriş: Ana karina ?evresindeki malign hava yolu darlıkları genellikle Y şeklinde stentlerin yerleştirilmesini gerektirir. Bu ?alışmada, malign hava yolu darlıklarında ana karina ?evresine yerleştirilen silikon Y stentlerinin g?venliğini, uzun d?nem komplikasyonları, ortaya ?ıkma s?releri ve komplikasyonlarının tedavi yaklaşımlarını inceleyerek belirlemeyi ama?ladık.

Materyal ve Metod: Mayıs 2012 ile Temmuz 2015 arasında, ana karina ?evresinde malign dış bası veya mikst tip darlığı olan 46 hastaya 47 silikon Y stent yerleştirildi. Stentler ameliyathane şartlarında total intraven?z anestezi altında rijit bronkoskopi ile uygulandı.

Bulgular: Hastaların yarısına (23/46), akut solunum yetmezliği nedeniyle acil koşullar altında stent yerleştirildi. Stentler t?m hastalarda başarıyla uygulandı. İşleme bağlı ?l?m g?r?lmedi. Stent sonrası median sağkalım 157 g?nd?. Silikon Y stentlerin toplam uzun d?nem komplikasyon oranı %28.3 idi. Stentlerinin yerleştirilmesinden sonraki ilk ay i?inde (ortalama 18 g?n) mukostasis (%8.7) ve migrasyon (%2.2), en erken bir ayda (ortalama 64, aralık 34-386 g?n) stent kenarı gran?lasyon dokusu gelişimi (%13.0) ve en erken 3 ayda (oralama 151, aralık 85-217 g?n) stent kenarı t?m?r dokusu gelişimi (%4.3) saptandı. İki mukostazis ve 5 stent kenarı gran?lasyon dokusu gelişimi nedeniyle 7 (%15.2) stent ?ıkarıldı. Bir hastanın stenti, stent kenarı t?m?r dokusu gelişimi nedeniyle daha uzun bir silikon Y stentle değiştirildi.

Sonu?: Ana karina etrafındaki malign t?m?r darlığının en iyi palyatif tedavisi hala silikon Y stent yerleşimidir, ancak uzun d?nem komplikasyon oranı y?ksek olabilir. Bu hasta grubu i?in silikon Y stent yerleştirilmesinden sonraki ilk ve ???nc? aylarda yapılacak bronkoskopi, stent kenarı doku gelişiminin erken tespitini sağlayabilir.

Anahtar kelimeler: Silikon Y stent; girişimsel pulmonoloji; komplikasyon

SUMMARY

Complications of silicone Y stents placed due to malignant airway stenosis

Introduction: Malignant central airway obstruction around the main carina often requires placement of Yshaped stents. In this study, we aimed to determine the safety of silicone Y stents placed around the main carina in the malignant airway obstruction by examining the long term complications, emergence times and treatment approaches of complications.

Materials and Methods: Between May 2012 and July 2015, 47 silicone Y stents were placed in 46 patients with malignant external compression or mixed type stenosis around the main carina. Patient stents were placed via rigid bronchoscopy under total intravenous anesthesia in operating room conditions.

Results: In the half of the patients (23/46), stents were placed under urgent conditions due to acute respiratory failure. Stents were deployed successfully in all the patients. No procedure related deaths were observed. The median time of survival following stent insertion was 157 days. The total long-term complication rate of silicone Y stents was 28.3%. Mucostasis (8.7%) and migration (2.2%) were observed within the first month after placement of the silicone Y stents (median 18 days), stent-edge granulation tissue development (13.0%) was observed at the earliest one month (median 64, range 34-386 days) and stent-edge tumor tissue development (4.3%) were observed at the earliest 3 months (median 151, range 85-217 days). A total of 7 (15.2%) stents were removed, 2 of which were due to mucostasis and 5 of which were due to granulation tissue development. One patient?s stent was replaced with a longer silicone Y stent due to stent-edge tumor tissue development.

Conclusion: The best palliative treatment of malignant tumor stenosis around the main carina is still silicone Y stent placement, but the long-term complication rate can be high. For this group of patients, bronchoscopy to be performed at the first and third months after silicone Y stent placement may provide early detection of stent-edge tissue development.

Key words: Silicone Y stent; interventional pulmonology; complication

Geliş Tarihi/Received: 13.01.2019 - Kabul Ediliş Tarihi/Accepted: 11.03.2019

INTRODUCTION

Central airway obstruction occurs in 20% to 30% of patients with lung cancer (1).

Symptoms associated with airway obstruction, such as cough, dyspnea and hemoptysis in patients with advanced lung cancer, greatly reduce their quality of life (2). In these patients, acute respiratory failure, atelectasis with obstructive pneumonia, and massive hemoptysis reduce the median survival time to 1-2 months (3,4). For such complications, surgery is often contraindicated in proximal lesions, chemotherapy has vague and delayed benefits, radiotherapy solves atelectasis in half of the cases, but the results are also delayed (5). Interventional bronchoscopic treatments are now recommended in guidelines to improve quality of life and symptom palliation in these group of patients (6). Many useful interventional bronchoscopic techniques have been developed to treat the endoluminal exophytic part of the malignant tumor causing airway obstruction, such as mechanical debridement, laser, electrocautery, argon plasma coagulation (APC), brachytherapy, photodynamic therapy and cryotherapy (7). The only option for extrinsic compression type stenosis is dilatation and stent placement (8). Malignant involvement of the lower trachea, the main carina, and the mainstem bronchi, often require the placement of a Y stent (9-12) (Figure 1). However, every placed stent carries the risk of potential complications such as mucostasis, migration, stent-edge tissue developments (12). The complication rate of silicone Y stents is as high as 51.9%. (12). In this study, we aimed to determine the safety of silicone Y stents placed around the main carina in the malignant airway obstruction by examining the long term complications, emergence times and treatment approaches of complications.


Figure 1

MATERIALS and METHODS

In our interventional pulmonology clinic, between May 2012 and July 2015 47 Dumon silicone Y stents (Tracheobronxane?, Novatech, La Ciotat, France) were placed in 46 patients with malignant external compression or mixed type stenosis around the main carina. Patients stents were placed under total intravenous anesthesia in the operating room. The patients were intubated with a large-diameter rigid bronchoscope (size 14 mm, lenght 43 cm, Karl Storz SE&Co. Tuttlingen, Germany). The stents were folded with the appropriate applicator (Tonn Tracheobronchial Stent Applicator, Novatech, La Ciotat, France). The stents were placed using the ?pull technique?. Patients with coagulation problems, or low platelet count, as well as pregnant subjects, those under the age of 18, and those who did not sign the informed consent were excluded.

For every patient, we recorded the age, gender, location of stenosis, pathology of the malignant process, the duration of stent placement, outcome, overall survival duration and complications.

We evaluated each patient with a fiberoptic bronchoscope 1 day after stent placement. After placement of the stents, patients were referred to our clinic in the presence of new or heavier respiratory symptoms. Patients whose respiratory symptoms worsened following placement of the stents were evaluated with bronchoscopy. Follow-up for all patients was available until August 9, 2015, the deadline for the study.

All data were analyzed with SPSS (Statistical Package for the Social Sciences) software for Windows Version 16.0. Descriptive statistics were expressed as the mean ? standard deviation for intermittent and continuous numerical variables, and categorical variables were expressed as number of cases and ?(%)?. The Kaplan-Meier method was used for survival analyses.

This study has been approved by the local ethics committee. Informed consent was obtained from all patients.

RESULTS

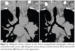
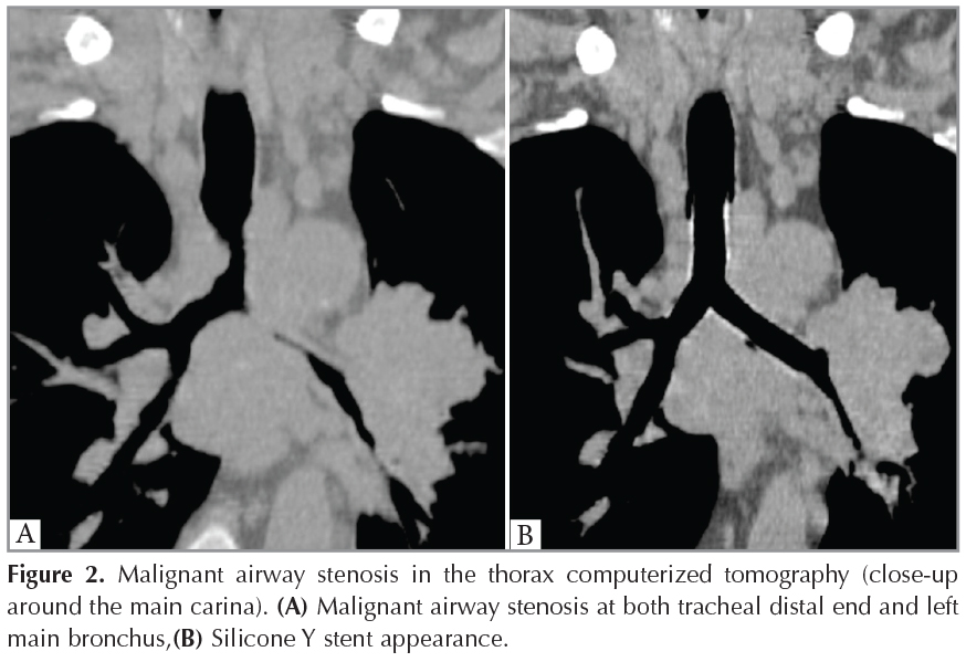
The mean age of the study population (93.5% males) was 63.2 ? 9.4 years. The most common malignancy causing central airway obstruction was squamous cell carcinoma of the lung (59.7%). Most of the tumors were narrowing both the distal trachea and the main carina/main bronchi (69.6%) (Figure 2) (Table 1).


Figure 2

Table 1

All stents were placed successfully. In the half of the patients (23/46), stents were placed under urgent conditions due to acute respiratory failure. The main symptoms of the patients were shortness of breath (93.5%), cough (2.2%) and hemoptysis (4.3%). The end of the procedures provided symptomatic favor in all patients. Thirty nine patients were died during follow-up, 7 patients were still alive at the end of the study. The average duration of a stent after placement was 117.6 (range 4-733) days. The median time of survival following stent insertion was 157.0 (range 4-828) days. No procedure-related deaths were observed. Following the patients, the silicone Y stent-related complication rate was 28.3%. The mean time from the placement of the stents to the development of the complications was 81.9 (range 3-386) days. The most common complication was stent-edge granulation tissue development (13.0%). Mucostasis (8.7%) and migration (2.2%) were observed within the first month after placement of the silicone Y stents (median 18, range 3-22 days), stent-edge granulation tissue development was observed at the earliest one month (median 64, range 34-386 days) and stent-edge tumor tissue development (4.3%) were observed at the earliest 3 months (median 151, range 85-217 days) (Figure 3). A total of 7 (15.2%) stents were removed, 2 of which were due to mucostasis and 5 of which were due to granulation tissue development (Tablo 2). Cryotherapy was applied to the resulting granulation tissues. Due to stent-edge tumor tissue development, one patient?s stent was replaced by a longer silicone Y stent.


Figure 3

Table 2

DISCUSSION

There are many useful studies on the effects of stents in malignant airway obstruction. The findings of these studies are summarized as follows: technical success was 82-97%, mean duration of benefit was 4 months, median survival was 46-181 days, average duration of a stent after placement was 122-133 days, total survival time did not increase, quality of life improved (7,10,13-25). Symptoms and signs of central airway obstruction have diminished or disappeared (7,10,13-25). The technical success, median survival time, duration of a stent after placement, symptoms and signs decrease rates in our study were consistent with the literature.

Most airway silicone stents are well tolerated. For this reason, most malignant patients with silicone stents in the airways are thought to have died due to the progress of their disease without stent complications. In the literature, the pooled complication rate was reported as 16.6% in 9 silicone Y stent studies (12). However, complications of silicone Y stents can be as high as 51.9% (12). The total complication rate we found in our study was between these two values ​​even when we did not follow the patients after the stent placement. There is no consensus on follow-up stents placed due to malignant airway obstruction.

Mucostasis, migration, stent-edge tissue developments are common complications after stent placement (9-13,26-36). Treatment of stent complications requires patient-specific treatment plan which is usually associated with the severity of the complication. The goal of treatment is to find a solution that will allow the stent?s function to continue. If this is not possible, the stent is removed.

Silicone Y stents were less displaced (1.2-3.7%) than other silicone stents (9-18%) due to their construction (9,10,12,15). In our study only one (2.2%) Y stent migrated and the cause of stent displacement was initially inadequate debulking of the tumour on the main carina. The tumor on the main carina pushed the stent upward so stent displaced. We removed the stent, after effective ablation of the tumor on the main carina, we reinserted it. Complication did not recur. Unlike ours in other studies, the reason for migration was that the stent diameter was small. For this reason either the stents were removed or replaced with larger diameter stents (9,10,12,15).

After airway stent placement massive secretions occur due to airway irritation. Local mucociliary clearance disruption at the stent area leads to mucostasis (26,27). The mucostasis rates in the studies were between 10-40% (9,16,27,28). Although it is considered a milder complication than other stent complications, it can be life threatening (29). In our study, 2 of 4 stents occluded due to mucostasis were removed because they cause life-threatening respiratory failure. The other two stents were cleaned with bronchoscopy, did not repeat after effective mucolytic and antibiotic therapy (Figure 4). In our study, the rate of mucostasis (8.7%) was lower than other studies but the rate of severe mucostasis was high (9,16,27-29).


Figure 4

In our study, migration and mucostasis were found to develop during the first month after stent placement. Patients were quickly directed to our clinic because symptoms were severe and it was easy to connect them to the stent instead of the underlying malignancy due to the short time after stent placement of these symptoms.

The rate of granulation tissue development on either edges of silicone Y stents was between 3.7% and 10% and the pooled ratio was 4.1% (12). In our study, the most common complication was the formation of stent-edge granulation tissue (13.0%), which was higher than in the literature. The development of stent-edge granulation tissue of patients with silicone stents is directly proportional to the frequency of lower respiratory tract infections (32). In countries such as our country and India where lower respiratory tract infections are thought to be common, it is expected that stent edge granulation tissue development (25.0% and 14.8% respectivly) is higher (12,33).

In the literature, we could not find a stent that was removed due to the stent-edge granulation tissue developed in the stents placed due to malignant airway stenosis. Granulation tissues were treated with APC or cryotherapy or laser without removal of the silicone stents (12,34,35). In one study, stents were replaced with longer stents due to the granulation tissue developed in the stents placed for benign causes (36). In our study, 5 of the 6 silicon Y stents with stent-edge granulation tissue had to remove from the patient due to excessive tissue development. In these patients, cryotherapy of the residual granulation tissue was performed after the stent and the bulky granulation tissues were removed. We did not place the stents again because of fragile and hemorrhagic tissues.

Stent-edge tumor tissue development was observed in 7.0-21.0% (10,12,37). The development time was median 108 days (37). Stent-edge tumor tissue development was treated by removal of stents or by replacement with longer stents (10,37). In our study, one of the early development of stent-edge tumor tissue (85th day) was treated with recurrent APC treatments. One late development (217th day) was treated by replacing with a longer stent.

When we considered the earliest stent-edge tissue development times in our study, we thought that we could detect these developments early by performing follow-up bronchoscopy in the first and third months after stent placement. If these complications are detected early, they can be treated with stent-protective simple procedures. This can be achieved with a good stent follow-up program but there is no consensus to follow-up the stents. Therefore, a good stent follow-up program is needed.

Our study has a few limitations. It is a retrospective study, as was the case with other silicone Y stent studies, and we did not have a stent follow-up program. A prospective randomized trial may reveal early bronchoscopic detection of stent-edge tissue developments and the benefits of these findings in simple stent-protective treatments. In this way a stent follow-up program can be created.

Conclusion

The best palliative treatment of malignant tumors stenosis around the main carina is still silicone Y stent placement. However, survival time is limited to the longest median 6 months. The complications seen often during this period and the interventions required for them are serious problems that reduce the quality of life and threaten the life. Bronchoscopy can be performed at the first and third months in this group of patients in order to diagnose stent-edge tissue development early.

CONFLICT of INTEREST

The authors reported no conflict of interest related to this article.

AUTHORSHIP CONTRIBUTIONS

Concept/Design: ZA, DK

Analysis/Interpretation: ZA, AY

Data Acquisition: ZA, A?, AY

Writting: ZA

Critical Revision: ZA, DK, GY

Final Approval: All of authors.

REFERENCES

  1. Ginsberg RJ, Vokes EE, Ruben A. Non-Small Cell Lung Cancer. In: DeVita VT Jr, Hellman S, Rosenberg SA (eds). Cancer: Principles and Practice Of Oncology. 5th ed. Philadelphia, PA: Lippincott-Raven, 1997:858-911.
  2. Iyer S, Roughley A, Rider A, Taylor-Stokes G. The symptom burden of non-small cell lung cancer in the USA: a real-world cross-sectional study. Support Care Cancer 2014;22:181-7.
  3. Macha HN, Becker KO, Kemmer HP. Pattern of failure and survival in endobronchial laser resection. A matched pair study. Chest 1994;105:1668-72.
  4. Walser EM, Robinson B, Raza SA, Ozkan OS, Ustuner E, Zwischenberger J. Clinical outcomes with airway stents for proximal versus distal malignant tracheobronchial obstructions. J Vasc Interv Radiol 2004;15:471-7.
  5. Nihei K, Ishikura S, Kawashima M, Ogino T, Ito Y, Ikeda H. Short-course palliative radiotherapy for airway stenosis in non-small cell lung cancer. Int J Clin Oncol 2002;7:284-8.
  6. Simoff MJ, Lally B, Slade MG, Goldberg WG, Lee P, Michaud GC, et al. Symptom management in patients with lung cancer: Diagnosis and management of lung cancer, 3rd ed: American College of Chest Physicians evidence-based clinical practice guidelines. Chest 2013;143(Suppl 5):e455S-e497S.
  7. Wahidi MM, Herth FJ, Ernst A. State of the art: interventional pulmonology. Chest 2007;131:261-74.
  8. Scarlata S, Fuso L, Lucantoni G, Varone F, Magnini D, Antonelli Incalzi R, et al. The technique of endoscopic airway tumor treatment. J Thorac Dis 2017;9:2619-39.
  9. Cavaliere S, Venuta F, Foccoli P, Toninelli C, La Face B. Endoscopic treatment of malignant airway obstructions in 2,008 patients. Chest 1996;110:1536-42.
  10. Dutau H, Toutblanc B, Lamb C, Seijo L. Use of the Dumon Y-stent in the management of malignant disease involving the carina: a retrospective review of 86 patients. Chest 2004;126:951-8.
  11. Kvale PA, Selecky PA, Prakash UB; American College of Chest Physicians. Palliative care in lung cancer: ACCP evidence-based clinical practice guidelines (2nd edition). Chest 2007;132(3 Suppl):368S-403S.
  12. Sehgal IS, Dhooria S, Madan K, Pattabhiraman V, Mehta R, Goyal R, et al. Placement of tracheobronchial silicone Y-stents: Multicenter experience and systematic review of the literature. Lung India 2017;34:311-7.
  13. Vergnon JM, Costes F, Bayon MC, Emonot A. Efficacy of tracheal and bronchial stent placement on respiratory functional tests. Chest 1995;107:741-6.
  14. Tsukioka T, Takahama M, Nakajima R, Kimura M, Tei K, Yamamoto R. Sequential stenting for extensive malignant airway stenosis. Ann Thorac Cardiovasc Surg 2015;21:114-8.
  15. Dumon JF, Cavaliere S, Diaz-Jimenez JP, Vergnon JM, Venuta F, Dumon MC, et al. Seven-Year Experience with the Dumon Prosthesis. J Bronchol 1996;3:6-10.
  16. Saji H, Furukawa K, Tsutsui H, Tsuboi M, Ichinose S, Usuda J, et al. Outcomes of airway stenting for advanced lung cancer with central airway obstruction. Interact Cardiovasc Thorac Surg 2010;11:425-8.
  17. Chhajed PN, Baty F, Pless M, Somandin S, Tamm M, Brutsche MH. Outcome of treated advanced non-small cell lung cancer with and without central airway obstruction. Chest 2006;130:1803-7.
  18. Bolliger CT, Mathur PN, Beamis JF, Becker HD, Cavaliere S, Colt H, et al. ERS/ATS statement on interventional pulmonology. European Respiratory Society/American Thoracic Society. Eur Respir J 2002;19:356-73.
  19. Ernst A, Silvestri GA, Johnstone D; American College of Chest Physicians. Interventional pulmonary procedures: Guidelines from the American College of Chest Physicians. Chest 2003;123:1693-717.
  20. Ernst A, Feller-Kopman D, Becker HD, Mehta AC. Central airway obstruction. Am J Respir Crit Care Med 2004;169:1278-97.
  21. Wood DE, Liu YH, Valli?res E, Karmy-Jones R, Mulligan MS. Airway stenting for malignant and benign tracheobronchial stenosis. Ann Thorac Surg 2003;76:167-72.
  22. Rafanan AL, Mehta AC. Stenting of the tracheobronchial tree. Radiol Clin North Am 2000;38:395-408.
  23. Profili S, Manca A, Feo CF, Padua G, Ortu R, Canalis GC, et al. Palliative airway stenting performed under radiological guidance and local anesthesia. Cardiovasc Intervent Radiol 2007;30:74-8.
  24. Cosano Povedano A, Mu?oz Cabrera L, Cosano Povedano FJ, Rubio S?nchez J, Pascual Mart?nez N, Escribano Due?as A. Endoscopic treatment of central airway stenosis: five years? experience. Arch Bronconeumol 2005;41:322-7.
  25. Thornton RH, Gordon RL, Kerlan RK, LaBerge JM, Wilson MW, Wolanske KA, et al. Outcomes of tracheobronchial stent placement for benign disease. Radiology 2006;240:273-82.
  26. Filler RM, Forte V, Chait P. Tracheobronchial stenting for the treatment of airway obstruction. J Pediatr Surg 1998;33:304-11.
  27. Zakaluzny SA, Lane JD, Mair EA. Complications of tracheobronchial airway stents. Otolaryngol Head Neck Surg 2003;128:478-88.
  28. Lemaire A, Burfeind WR, Toloza E, Balderson S, Petersen RP, Harpole DH Jr, et al. Outcomes of tracheobronchial stents in patients with malignant airway disease. Ann Thorac Surg 2005;80:434-7.
  29. Shin S, Lee YJ, Kang HR, Song JH, Park YS. Life-threatening complications of endotracheal stenting caused by respiratory secretions. Soonchunhyang Medical Science 2016;22:144-6.
  30. Freitag L, Tekolf E, Stamatis G, Greschuchna D. Clinical evaluation of a new bifurcated dynamic airway stent: A 5-year experience with 135 patients. Thorac Cardiovasc Surg 1997;45:6-12.
  31. Oki M, Saka H. New dedicated bifurcated silicone stent placement for stenosis around the primary right carina. Chest 2013;144:450-5.
  32. Ost DE, Shah AM, Lei X, Godoy MCB, Jimenez CA, Eapen GA, et al. Respiratory infections increase the risk of granulation tissue formation following airway stenting in patients with malignant airway obstruction. Chest 2012;141:1473-81.
  33. Dalar L. Airway stents: Indications, complications and difficulties. Experiences from Istanbul. 18th WCBIP/WCBE World Congress, 13-17 April 2014 Kyoto, Japan. (IP-SY18-5)
  34. Oki M, Saka H. Double Y-stenting for tracheobronchial stenosis. Eur Respir J 2012;40:1483-8.
  35. Dutau H, Maldonado F, Laroumagne S, Astoul P. Silicone stents, the rigid bronchoscope, and the standard of care in central airway stenosis. Curr Respir Care Rep 2012;1:46-53.
  36. Nam HS, Um SW, Koh WJ, Suh GY, Chung MP, Kwon OJ, et al. Clinical application of the Natural Y stent in the management of benign carinal stenosis. Ann Thorac Surg 2009;88:432-9.
  37. Grosu HB, Eapen GA, Morice RC, Jimenez CA, Casal RF, Almeida FA, et al. Stents are associated with increased risk of respiratory infections in patients undergoing airway interventions for malignant airways disease. Chest 2013;144:441-9.

Yazışma Adresi (Address for Correspondence)

Dr. Zafer AKTAŞ

Ankara Atat?rk G?ğ?s Hastalıkları ve

G?ğ?s Cerrahisi Eğitim ve Araştırma Hastanesi,

Girişimsel Pulmonoloji Kliniği,

Ankara - T?RKİYE

e-mail: zaferaktas88@gmail.com

Yazdır