Yazdır

KISA RAPOR
SHORT REPORT

Doi: 10.5578/tt.67630
Tuberk Toraks 2018;66(4):353-358

Geliş Tarihi/Received: 03.11.2018 • Kabul Ediliş Tarihi/Accepted: 19.11.2018

Yoğun bakımda IgG4 ilişkili hastalık nedeniyle takip edilen hastada gelişen hemafagositik sendrom

Dursun Fırat ERG?L1, Mehtap PEHLİVANLAR K???K2, ?zg?r K?M?RC?1, Fatma ?LGER1


1 Ondokuz Mayıs ?niversitesi Tıp Fak?ltesi, Anesteziyoloji ve Reanimasyon Anabilim Dalı, Yoğun Bakım Bilim Dalı, Samsun, T?rkiye

1 Division of Intensive Care, Department of Anesthesiology and Reanimation, Faculty of Medicine, Ondokuz Mayis University, Samsun, Turkey

2 Karadeniz Teknik ?niversitesi Tıp Fak?ltesi, G?ğ?s Hastalıkları Anabilim Dalı, Yoğun Bakım Bilim Dalı, Trabzon, T?rkiye

2 Department of Intensive Care, Department of Chest Diseases, Faculty of Medicine, Karadeniz Technical University, Trabzon, Turkey

?ZET

Yoğun bakımda IgG4 ilişkili hastalık nedeniyle takip edilen hastada gelişen hemafagositik sendrom

IgG4 ilişkili hastalık (IgG4-RD) ?oklu organları etkileyebilen, imm?n aracılı fibroinflamatuvar yanıt oluşturarak doku yıkımına ve organ yetmezliğine neden olabilen hastalıklar b?t?n?d?r. Hemofagositik sendrom, doğal katil h?crelerdeki defekt ve aşırı makrofaj aktivitesi sonucu oluşan hayatı tehdit eden hiperinflamatuvar ?l?mc?l bir hastalıktır. Hastalık sıklıkla kanser, infeksiyon, interstisyel akciğer hastalığı, Sj?gren sendromu, wegener vask?liti veya temporal arterit gibi diğer imm?n aracılı hastalıklarla da karıştırılabilir. Hemofagositik sendrom ise patogenezi tam olarak aydınlatılamamış olmakla birlikte, değişik nedenlerle aktive olan makrofajların kemik iliği h?cresel elemanları olan eritrosit, l?kosit, trombosit ve bunların ?nc?l h?crelerinin fagosite edilmesiyle oluşan patolojik ve klinik bir durum olup, hemofagositik lenfohistiyositozis (HLH) olarakta tanımlanır. Primer (ailesel) ve sekonder (infeksiyonlara bağlı) olmak ?zere iki tipi olmasına rağmen klinik bulgular aynıdır. Tanı i?in ailevi hastalık/bilinen gen defekti varlığı ve/veya 8 klinik ve laboratuvar tanı kriterinden en az 5'inin olması gereklidir. Acil ilk hedef hiperinflamasyonun baskılanması, ikinci hedef olayı tetikleyen uyarının ortadan kaldırılmasıdır. Sekonder HLH'de tedavi altta yatan nedene g?re planlanmalıdır.

Nadir g?r?len bir hastalığın nadir bir komplikasyonu olması ?zerine hemofagositik sendrom ile komplike olan IgG4 ilişkili hastalık tanısı alan bir olgu literat?r eşliğinde sunulmuştur.

Anahtar kelimeler: Hamofagositik sendrom; IgG4 ilişkili hastalık; yoğun bakım

ABSTRACT

Hemophagocytic syndrome in a patient followed for IgG4-related disease in intensive care unit

IgG4-related disease (IgG4-RD) is a set of diseases that can affect multiple organs, produce an immune-mediated fibroinflammatory response, and lead to tissue destruction and organ failure. Hemophagocytic syndrome is a life-threatening hyperinflammatory fatal disease caused by defect and excessive macrophage activity in natural killer cells. The disease can often be confused with other immune-mediated diseases such as cancer, infection, interstitial lung disease, sjogren's syndrome, wegener's vasculitis, or temporal arteritis. Hemophagocytic syndrome is defined as hemophagocytic lymphohistiocytosis (HLH) which is a pathological and clinical condition caused by phagocytosis of erythrocyte, leukocyte, platelet and precursor cells which are the cellular elements of the macrophages which are activated due to various reasons. Although there are two types as primary (familial) and secondary (depending on infections), the clinical findings are the same. Presence of familial disease/known gene defect and/or at least 5 of 8 clinical and laboratory diagnostic criteria is required for diagnosis. The first target is the suppression of hyperinflammation urgently, the second is the elimination of the stimulus triggering the event. In secondary HLH, treatment should be planned according to the underlying cause. As a rare complication of a rare disease, a case with the diagnosis of IgG4-related disease complicated with hemophagocytic syndrome is presented with the literature.

Key words: Hemophagocytic syndrome; IgG4-related disease; intensice care unit

Geliş Tarihi/Received: 03.11.2018 - Kabul Ediliş Tarihi/Accepted: 19.11.2018

Gİrİş

IgG4 ilişkili hastalık (IgG4-RD) ?oklu organları etkileyebilen, imm?n aracılı fibroinflamatuvar yanıt oluşturarak doku yıkımına ve organ yetmezliğine neden olabilen hastalıklar b?t?n?d?r (1). Literat?rde her anatomik b?lgeyle ilgili olgular bildirildiyse de en ?ok etkilediği organlar arasında pankreas, safra kesesi, t?kr?k bezleri (submandibuler, parotroid) lakrimal bezler, retroperitoneum ve lenf nodları sayılabilir (2). G?n ge?tik?e bu anatomik yerlerinin dışında akciğer tutulumuyla giden IgG4 ilişkili akciğer hastalığı (IgG4-RILD) ilgili yayınlarda artmaktadır (3,4). Hastalık sıklıkla kanser, infeksiyon, interstisiyel akciğer hastalığı, Sj?gren sendromu, wegener vaskulit veya temporal arterit gibi diğer imm?n aracılı hastalıklarla da karıştırılabilir.

Hemofagositik sendrom ise patogenezi tam olarak aydınlatılamamış olmakla birlikte, değişik nedenlerle aktive olan makrofajların kemik iliği h?cresel elemanları olan eritrosit, l?kosit, trombosit ve bunların ?nc?l h?crelerinin fagosite edilmesiyle oluşan patolojik ve klinik bir durum olup, hemofagositik lenfohistiyositozis (HLH) olarakta tanımlanır.

Nadir g?r?len bir hastalığın nadir bir komplikasyonu olması ?zerine yoğun bakımda hemofagositik sendromla komplike olan IgG4 ilişkili hastalık tanısı alan bir olgu literat?r eşliğinde sunulmuştur.

OLGU

Altmış yedi yaşında kadın hasta ?rosepsis ve akut renal yetmezlik tablosunda yoğun bakım ?nitemize kabul edildi. Bilin? değişikliği, hipotansiyon, ateş, an?ri gelişmesi ?zerine acil serviste ilk diyalizi yapılmış ve hipotansiyonun derinleşmesi ve solunum y?zeyelleşmesi ?zerine ent?be edilerek mekanik ventilat?r desteği sağlanmış. Uygun sıvı tedavisine ek olarak noradrenalin 50 mcg/saat, adrenalin 1 mg/saat dozlarından pozitif inotrop-vazopress?r destekleri başlanmıştı. ?z ge?mişinde; ge?irilmiş idiyopatik pankreatit atağı, ?rolitiyazis nedeniyle nefrektomi ?yk?s?, son 5 yıldır diyabetes mellitus, son iki yıldır da IgG4 ilişkili hastalık nedeniyle uzun d?nem steroid, siklofosfamid, rituksimab kullanım ?yk?s? mevcuttu. Bir ay ?nce steroid tedavisine devam ederken artan ?ks?r?k ve solunum sıkıntısı, halsizlik, ateş, inflamatuvar belirte?ler ve kreatinin değerleri artan hastanın, steroid (metilprednisolon) dozu 2 x 250 mg'a arttırılmıştı.

Hasta yoğun bakıma kabul edildiğinde Hgb: 8.5 g/dL, beyaz k?re: 183 bin/mm?, n?trofil: 103 bin/mm3, platelet: 40 bin/mm?, potasyum: 5.2 mmol/L, sodyum: 131 mmol/L, klor: 94 mmol/L, ?re: 39 mg/dL, kreatinin: 2.32 mg/dL (trendi Şekil 1A'da verilmiştir), INR: 3.01, aPTT: 160 sn, ferritin: 21.229 μg/L (trendi Şekil 1B'de verilmiştir), trigliserid: 278 mg/dL, fibrinojen: 3.1 mg/dL olarak ?l??ld?. Periferik yaymasında blast oranı %2-3 idi. Takibinde k?lt?r ?remeleri negatif gelmiş olmasına rağmen hastaya ?rosepsis-pn?mosepsis ?n tanılarıyla meropenem 2 x 500 mg, teikoplanin 1 x 400 mg 48 saatte 1 olmak ?zere ampirik antibiyotik tedavileri başlandı. Yapılan batın ultrasonografisi (karaciğer 200 mm, dalak 160 mm) hepatosplenomegaliyle uyumluydu. Anteroposterior (AP) grafisinde sağ lobta yama tarzında sıvı ile uyumlu g?r?n?m mevcuttu (Resim 1A). Yatak başı yapılan ultrasonografide (USG) de akciğer serbest mai tespit edilmesi ?zerine (Resim 1B) USG eşlikli pl?reken kateter yerleştirildi. 1500 cc geleni olan hastanın plevral sıvısı eks?da ile uyumluydu, sitolojisi malignite a?ısından negatifti ve n?trofil ağırlıklıydı. Sıvı k?lt?r?nde ?reme olmadı.


Resim 1A-B

Takiplerinde ateşleri y?ksek seyreden hastanın steroid (metilprednisolon) tedavisine idame dozunda (3 x 20 mg) devam edildi. Beyaz k?rede ve trombosit değerlerinde anlamlı d?ş?ş g?zlemlendi. Trombosit değerleri 4 bin/mm? d?şen hastaya aferez trombosit replasmanları yapıldı. Hematoloji tarafından hemofagositik sendrom (HLH) d?ş?n?lerek d?ş?k doz steroid tedavisine ek olarak 5 g?n s?resince 400 mg/kg dozlarında imm?nglobulin (IVIG) tedavisine başlandı. Yatışının 10. g?n?nde kanda Acinobacter baumanii, idrarda Candida spp. ?remesi ?zerine antibiyotik tedavisi IV kolitsin ve IV flukanazol olacak şekilde değiştirildi. Tekrarlayan aralıklarda aferez trombosit replasmanı yapılan hastanın ikterinde (direkt/total: 7.5/8.5 mg/dL) artış olması, g?naşırı yapılan periferik yaymasında trombosit değerlerinin 10 bin/mm3'? ge?memesi ?zerine afarez transf?zyon durduruldu. Hastada bu tanılarla ?ncelikli hemofagositik sendrom olarak d?ş?n?ld? ancak hasta yakınları tarafından ileri tedavi kabul edilmeyince destek tedaviler altında takip edilirken kaybedildi.

TARTIŞMA

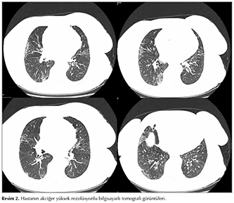
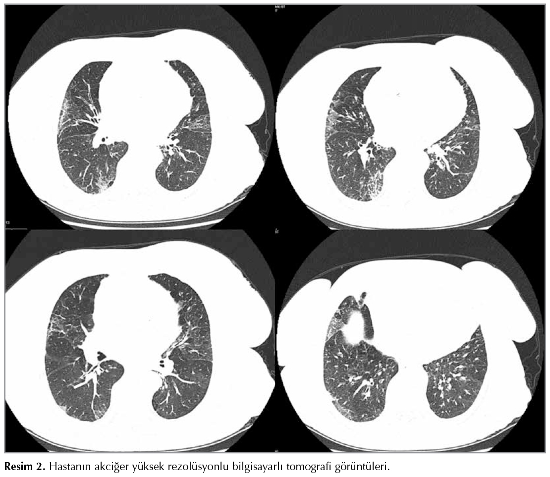
Bu makalede, sekonder tipe dahil olan ve tanı kriterlerini kapsayan IgG4 ilişkili hastalığa bağlı geliştiğini d?ş?nd?ğ?m?z hemofagositik sendrom tanısı alan bir olgu sunulmuştur. Hastanın ge?miş ?yk?s?nde ge?irilmiş idiyopatik pankreatit atağı, septal kalınlaşmayla giden yer yer buzlu camlarla karekterize dif?z interstisiyel akciğer hastalık varlığı, kemik iliği biyopsisinde plazmasitozis ile uyumlu g?r?nt?, y?ksek kan IgG4 d?zeyleri nedeniyle hemofagositik sendrom tanısı almıştır (Şekil 2A ve Şekil 2B). Literat?r değerlendirmelerinde Umahara ve arkadaşları IgG4 ilişkili hastalık i?in tanı kriterleri oluşturmuştur (4). Buna g?re kesin (definite), muhtemel (possible), olası (probable) tanılar şeklinde ayrılabilir. Bu tarifte diğer spesifik organ tutulumları akut idiyopatik pankreatit, renal yetersizlik ve Mickulik disease olarak tanımlanmıştır. Bizim hastamız da ilk tanı aldığı d?nemde bir akut pankreatit atağı ge?irmiştir ve bu tablonun muhtemel (possible) kısmında yer almaktadır. Akciğer ilişkili IgG4 hastalığında ise radyolojik olarak, solid nod?ler tip, yuvarlak şekilli buzlu cam opasite tipi, alveolar interstisiyel tip ve bronkovask?ler tip şeklinde tanımlamalar yapılmıştır (Resim 2) (5). Bizim olgumuzda interstisyel akciğer hastalığı nedeniyle uzun s?re değişik dozlarda ve ?eşitte imm?ns?presif tedavi almış olması, laboratuvar ve klinik bulgularıyla ?ncelikle sepsis d?ş?n?lm?şt?r. Takiplerinde pansitopeni, diren?li ateş, hepatosplenomegali, ferritin y?ksekliği, total bilirubin y?ksekliği gibi bulgular nedeniyle ?ncelikli olarak hemofagositik sendrom d?ş?n?lm?şt?r. Hastada y?ksek kanama riski olması, diğer bulguların g??l? bir şekilde hemofagositik sendrom d?ş?nd?rmesi nedeniyle bu d?nemde kemik iliği aspirasyonu yapılamamıştır. Tekrarlayan seferlerde yapılan periferik yayma ile de akut l?koz yapabilen bir maliginite varlığı dışlanmıştır. Hemofagositik sendrom, doğal katil h?crelerdeki defekt ve aşırı makrofaj aktivitesi sonucu oluşan hayatı tehdit eden hiperinflamatuvar ?l?mc?l bir hastalıktır (6). İsve?'te 0.12/100.000, Japonya'da 0.342/100.000, T?rkiye'de ise 7.5/10.000 g?r?ld?ğ? bildirilmektedir (2). Primer (ailesel) ve sekonder (infeksiyonlara bağlı) olmak ?zere iki tipi olmasına rağmen klinik bulgular aynıdır. Ateş, hepatosplenomegali, pansitopeni sık g?r?l?r. Ferritin seviyesi > 500 μg/L olan 330 olgunun incelediği ?alışmada > 10.000 μg/L ferritin değerlerinde tanının %90 duyarlı %96 ?zg?l olduğu, > 30.000 μg/L değerlerinde ise %100 ?zg?l olduğu bildirilmiş (6). Bizim olgumuzda da ferritin değerleri en y?ksek 22.000 μg/L seviyesini g?rm?şt? (hastalık ilişkili tanı kriterleri Tablo 1'de sunulmuştur) (6,7).


Resim 2

Tablo 1

Tanı i?in ailevi hastalık/bilinen gen defekti varlığı ve/veya 8 klinik ve laboratuvar tanı kriterinden en az 5'inin olması gereklidir (8).

HLH'de acil ilk hedef hiperinflamasyonun baskılanması, ikinci hedef olayı tetikleyen uyarının ortadan kaldırılmasıdır. Sekonder HLH'de tedavi altta yatan nedene g?re planlanmalıdır. Altta otoimm?n bir hastalık varsa hızla imm?ns?presif tedavi başlanması gerekirken infeksiyonlarda ?ncelik; infeksiyonun tedavisi olmalıdır (9). Kazanılmış HLH'de primer etkenin d?zeltilmesi veya tedavi edilmesiyle HLH bulguları d?zelebilir. Ancak klinik bulgular HLH nedeniyle ilerliyorsa intraven?z imm?nglobulin, steroid veya siklosporin A ve etoposid gibi ila?lar kullanılabilir. Zorlu olgularda plazmaferez de denenebilir (10).

Bizim olgumuzda IVIG verilmesine ek olarak IV d?ş?k doz metilprednizolon verilmiştir. Sonrasında gelişen infeksiyonlara spesifik antibiyotik tedavi eklenmiştir. Spesifik tedavinin yanında destekleyici tedavi de ?nemlidir. Destekleyici tedavi hayatı tehdit eden t?m klinik durumlardakine benzerdir. HLH hastalarında y?ksek kanama riski mevcuttur. Hayatı tehdit eden akut kanamada taze donmuş plazma, trombosit transf?zyonu, aktive FVII ihtiyaca g?re verilmelidir. Prognozu olduk?a k?t? olan bu tabloda tedavisiz sağkalım %4 d?zeyindedir. Mortalite riski ?zellikle ilk haftada daha y?ksek olmakla birlikte, altta yatan nedenin mortaliteyi etkilediği, en iyi prognozun infeksiyon ve otoimm?n hastalığa bağlı HLH'de olduğu kaydedilmiş olsa da bizim olgumuzda olduğu gibi mortal seyir oranı y?ksektir (11).

SONU?

Klinik takiplerde sık karşılaşılmayan bir durum olan "hemofagositik sendrom" ?zellikle ?oklu hastalıkların bir arada g?r?lebildiği yoğun bakım ?nitelerinde akla gelmelidir. Farklı nedenlerle ve klinik tablolarla prezente olabilen bu hastalık; sıklıkla kan tablosunda pansitopeni, nedeni bilinmeyen ateş, hepatosplenomegali, ferritin artışı, hipertriglisemi gibi basit laboratuvar ve klinik ipu?larıyla kendini g?stermektedir. IgG4 ilişkili hastalık yine nadir g?r?len ve akciğerde interstisiyel değişikliklerle kendini g?sterebilen multiorgan tutulumlu bir hastalık olup, hemofagositik sendromla beraberliğini g?steren yayın olmaması a?ısından makalemizin literat?re katkı sağlayacağı kanaatindeyiz.

KAYNAKLAR

  1. Stone JH, Zen Y, Deshpande V. IgG4-related disease. N Engl J Med 2012;366:539-51.
  2. Kamisawa T, Funata N, Hayashi Y, Eishi Y, Koike M, Tsuruta K, et al. A new clinicopathological entity of IgG4-related autoimmune disease. J Gastroenterol 2003;38:982-4.
  3. Lv X, Gao F, Liu Q, Zhang S, Huang Z, Zhu Y, et al. Clinical and pathological characteristics of IgG4-related interstitial lung disease. Exp Ther Med 2018;15:1465-73.
  4. Umehara H, Okazaki K, Masaki Y, Kawano M, Yamamoto M, Saeki T, et al. Comprehensive diagnostic criteria for IgG4-related disease (IgG4-RD), 2011. Mod Rheumatol 2012;22:21-30.
  5. Inoue D, Zen Y, Abo H, Gabata T, Demachi H, Kobayashi T, et al. Immunoglobulin G4-related lung disease: CT findings with pathologic correlations. Radiology 2009;251:260-70.
  6. Weitzman S. Approach to hemophagocytic syndromes. Hematology Am Soc Hematol Educ Program 2011;2011:178-83.
  7. Allen CE, Yu X, Kozinetz CA, McClain KL. Highly elevated ferritin levels and the diagnosis of hemophagocytic lymphohistiocytosis. Pediatr Blood Cancer 2008;50:1227-35.
  8. Henter JI, Horne A, Arico M, Egeler RM, Filipovich AH, Imashuku S, et al. HLH-2004: diagnostic and therapeutic guidelines for hemophagocytic lymphohistiocytosis. Pediatr Blood Cancer 2007;48:124-31.
  9. Garcia-Montoya L, Saenz-Tenorio CN, Janta I, Menarguez J, Lopez-Longo FJ, Monteagudo I, et al. Hemophagocytic lymphohistiocytosis in a patient with Sjogren's syndrome: case report and review. Rheumatol Int 2017;37:663-9.
  10. Atteritano M, David A, Bagnato G, Beninati C, Frisina A, Iaria C, et al. Haemophagocytic syndrome in rheumatic patients. A systematic review. Eur Rev Med Pharmacol Sci 2012;16:1414-24.
  11. Otrock ZK, Eby CS. Clinical characteristics, prognostic factors, and outcomes of adult patients with hemophagocytic lymphohistiocytosis. Am J Hematol 2015;90:220-4.

Yazışma Adresi (Address for Correspondence)

Dr. Mehtap PEHLİVANLAR K???K

Karadeniz Teknik ?niversitesi Tıp Fak?ltesi,

G?ğ?s Hastalıkları Anabilim Dalı,

Yoğun Bakım Bilim Dalı,

TRABZON - T?RKİYE

e-mail: mehtap_phlvnlr@hotmail.com

Yazdır