Yazdır

KLİNİK ?ALIŞMA
RESEARCH ARTICLE

Doi: 10.5578/tt.67686
Tuberk Toraks 2018;66(4):349-352

Geliş Tarihi/Received: 17.11.2018 • Kabul Ediliş Tarihi/Accepted: 19.11.2018

Multipl kaviter akciğer metastazı yapan endometriyum adenokarsinom olgusu

G?rkem VAYISOĞLU ŞAHİN1, G?listan KARADENİZ1, G?lru POLAT1, Fatma DEMİRCİ ??SULAR1, Zekiye AYDOĞDU2, Enver YALNIZ1


1 Sağlık Bilimleri ?niversitesi, Dr. Suat Seren G?ğ?s Hastalıkları ve Cerrahisi Eğitim ve Araştırma Hastanesi, G?ğ?s Hastalıkları Kliniği, İzmir, T?rkiye

1 Clinic of Chest Diseases, University of Health Sciences, Dr. Suat Seren Chest Diseases and Chest Surgery Training and Research Hospital, Izmir, Turkey

2 Sağlık Bilimleri ?niversitesi, Dr. Suat Seren G?ğ?s Hastalıkları ve Cerrahisi Eğitim ve Araştırma Hastanesi, Patoloji B?l?m?, İzmir, T?rkiye

2 Clinic of Chest Pathology, University of Health Sciences, Dr. Suat Seren Chest Diseases and Chest Surgery Training and Research Hospital, Izmir, Turkey

?ZET

Multipl kaviter akciğer metastazı yapan endometriyum adenokarsinom olgusu

Pulmoner metastazlar ?oğunlukla parankimal nod?ller, lenfatik-interstisyel yayılım ve plevral ef?zyon şeklinde g?r?l?r ancak kaviter ve kistik metastatik lezyonlar nadirdir. Akciğere ?oğunlukla meme kanseri, gastrointestinal t?m?rler, b?brek t?m?rleri, malign melanom, sarkomlar, lenfoma ve l?semi metastaz yapmakta iken endometrial adenokarsinom akciğere nadiren metastaz yapar. Kronik ?ks?r?k nedeniyle ?ekilen toraks bilgisayarlı tomografide multipl kistik-kaviter akciğer lezyonları saptanan ileri tetkik i?in sevk edilen 73 yaşındaki bayan hastada, endometrium adenokarsinom metastazı saptandı. Kistik-kaviter akciğer metastazlarının nadir g?r?lmesi ve endometrium karsinomlarının akciğere metastazının nadir olması nedeniyle olgumuzu sunmak istedik.

Anahtar kelimeler: Akciğer metastazı; multipl kaviter lezyon; endometrium karsinomu

ABSTRACT

A case of endometrium adenocarcinoma with multiple cavitary pulmonary metastasis

Pulmonary metastases are usually seen as parenchymal nodules, lymphatic-interstitial spread and pleural effusion, however cavitary and cystic metastatic lesions are rare. While breast cancer, gastrointestinal tumors, kidney tumors, malignant melanoma, sarcomas, lymphoma and leukemia mostly metastasize to the lung, endometrial adenocarcinoma rarely metastasizes. A 73-year-old woman with multiple cystic-cavitary lung lesions was referred to our clinic because of chronic cough. She had endometrial adenocarcinoma metastasis to the lung. We wanted to present our case because of the rare occurrence of cystic-cavitary lung metastases and the rare presentation of metastasis of endometrial carcinomas to the lung.

Key words: Lung metastasis; multiple cavitary lesion; endometrium carcinoma

Geliş Tarihi/Received: 17.11.2018 - Kabul Ediliş Tarihi/Accepted: 19.11.2018

Pulmoner metastazlar radyolojik olarak ?oğunlukla multipl parankimal nod?ller, lenfatik-interstisiyel yayılım ve plevral ef?zyon şeklinde olup, kaviter-kistik metastatik lezyonlar daha nadir g?r?lmektedir. Akciğere ?oğunlukla meme kanseri, akciğer kanseri, gastrointestinal t?m?rler, b?brek t?m?rleri, malign melanom, sarkomlar, lenfoma ve l?semi metastaz yapmaktadır. Endometrial adenokarsinom akciğere nadiren metastaz yapar. Multipl kaviter metastazların nadir g?r?lmesi, endometrial adenokarsinomun akciğer metastazının nadir olması nedeniyle olgumuzu sunmak istedik. 

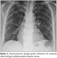
Yetmiş ?? yaşında kadın hasta, ?? haftadır devam eden ?ks?r?k yakınmasıyla polikliniğimize başvurdu. ?z ge?mişinde bir ay ?nce dış merkezde endometriyum adenokarsinomu tanısı mevcuttu. Solunum sistemi bakısı olağan olup vital bulgular ve diğer sistem bakıları da normaldi. Laboratuvar bulgularında hemogram, rutin biyokimya testleri ve CRP normal sınırlarda bulundu. Akciğer grafisinde alt zonlarda daha belirgin retik?lonod?ler dansite artımı mevcuttu (Resim 1). Bu nedenle ?ekilen toraks bilgisayarlı tomografi (BT)'de parankim penceresinde bilateral kaviter lezyonlar izlendi (Resim 2). Fiberoptik bronkoskopide (FOB) endobronşiyal lezyon saptanmadı. FOB ile sağ orta lobtan bronkoalveoler lavaj (BAL) ve fır?a yapıldı. Bronş aspirasyonunda bakteriyel ve mantar k?lt?rlerinde ?reme olmadı, asidorezistan basil (ARB) direkt bakıları negatif sonu?landı. BAL ve fır?a sitolojileri benign olup BAL'da spesifik bulgu saptanmadı. Bakılan ANA, p-ANCA, c-ANCA romatolojik markerları negatif sonu?landı. Tanısal ama?lı BT eşliğinde transtorasik ince iğne aspirasyon biyopsisi (TTİİAB) yapıldı. Hastanın patoloji sonucu "Malign sitoloji; h?cre bloğunda izlenen iğsi n?kleuslu atipik h?crelerde, imm?nhistokimya (İHK) ile pansitokeratin, ?strojen resept?r? (ER), progesteron resept?r? (PR) pozitif; vimentin negatif saptanmıştır. Klinik ?yk? eşliğinde bulgular; endometriyum adenokarsinom metastazı ile uyumludur" olarak raporlandı (Resim 4). Hasta Jinekolojik Onkoloji B?l?m?ne y?nlendirildi. Endometriyum karsinomu ve akciğer metastazı tanıları olan hastaya kemoterapi ?nerildi. Ancak hasta ve yakınları kemoterapiyi kabul etmedikleri i?in semptomatik tedaviyle takip edildi. Olgumuzda tanıdan itibaren 2 yıl ge?miş olup performansı iyi, ?ks?r?k ve bel ağrısı yakınması mevcuttur.


Resim 1

Resim 2

Resim 4

Primer malignitelerin akciğer metastazı hematojen, lenfojen ya da direkt invazyon yoluyla olabilmektedir. Metastazların yayılım şekli, yeri, b?y?kl?ğ? gibi bir?ok ?zellik, altta yatan t?m?re ve kişinin direncine g?re değişmektedir (1). Akciğer metastazları genellikle multipl nod?ler lezyonlar, plevral ef?zyon, lenfanjitik yayılım şeklinde g?r?lmektedir. Bunlar arasında kaviter lezyonların g?r?lme sıklığı yaklaşık %4 olarak saptanmıştır (2). Bu duruma yol a?an malignitelerin başında ise gastrointestinal t?m?rler, meme kanseri, ?riner sistem t?m?rleri, sarkomlar, lenfoma, l?semi gelmektedir. Mesane karsinomunun akciğere kaviter metastazı da olduk?a sık g?r?lmektedir ve akciğer kavitasyonuyla en g??l? ilişkili h?cre tipinin skuam?z histoloji olduğunu destekleyen ?alışmalar vardır (3). Endometrial karsinomların akciğere metastazı ise daha nadirdir ve sınırlı olgu serilerinde endometriyum karsinomunun pulmoner metastaz insidansı %2.3-4.7 arasında bildirilmiştir (4). Bouros ve arkadaşlarının yayınladığı, pulmoner metastazın saptandığı endometrial karsinom tanılı 90 hastalık bir seride %72 oranda multipl pulmoner nod?l paterni g?zlenmiştir. Bu ?alışmada yalnızca bir olguda kaviter pulmoner metastaz ve bu metastazın adenokarsinom sitolojisinde olduğu bildirilmiştir (5).

Pulmoner metastazların ?oğu semptomlara yol a?maz. Radyografik ?alışmalarla rastlantısal olarak hasta takiplerinde ortaya ?ıkmaktadır (6). Hastaların %5'inden daha azında nefes darlığı, ağrı, ?ks?r?k ya da hemoptizi semptom olarak ortaya ?ıkar (7). Bizim olgumuz ise kronik ?ks?r?k semptomuyla tarafımıza başvurmuştur.

Kistik metastazların r?pt?re olarak spontan pn?motorakslara yol a?abileceği bilinmektedir (8). Shouichi Okamoto ve arkadaşlarının yaptıkları bir ?alışmada uterin perivask?ler epiteloid h?cre t?m?r?n?n, Akiko Murakami ve arkadaşlarının ?alışmasında da endometrial stromal sarkomun akciğere multipl kaviter metastaz yaptığı izlenmiştir (9,10). Her iki hastada da spontan pn?motoraks gelişmiş, bu durumun kaviter metastazlara sekonder sık g?r?lebileceği bildirilmiştir. Bizim olgumuzun takibinde pn?motoraks oluşmamıştır.

SONU?

Multipl kaviter akciğer lezyonlarının ayırıcı tanısında diğer organlardan metastaz olabileceği ve nadiren de olsa genital sistemin primer odak olabileceği akılda tutulmalıdır.

KAYNAKLAR

  1. ?zkan M, Tokat AO, Kavuk?u Ş. Akciğerin metastatik t?m?rleri. Tuberk Toraks 2003;51:207-15.
  2. En?n S, ?zdemir N. Akciğerin matastatik t?m?rleri. In: ?kten İ, G?ng?r A, edit?rler. G?ğ?s Cerrahisi. Ankara: Sim Matbaacılık, 2003:1111-22.
  3. Hiensch R, Belete H, Rashidfarokhi M, Galperin I, Shakil F, Epelbaum O. Unusual patterns of thoracic metastasis of urinary bladder carcinoma. J Clin Imaging Sci 2017;7:23.
  4. Ballon S, Donaldson R, Growdon W. Pulmonary metastasis in endometrial carcinoma. In: Weiss L, Gilbert H (eds). Pulmonary metastasis. Boston: GK Hall,1978:182.
  5. Bouros D, Papadakis K, Siafakas N, Fuller Af Jr. Patterns of pulmonary metastasis from uterine cancer. Oncology 1996;53:360-3.
  6. G?ven T, Sırmalı M, T?r?t H, Fındık G, Gezer S, Kaya S, et al. Outcomes of metastasectomy in secondary tumors of the lung: a retrospective analysis of 74 patients. Turk Gogus Kalp Damar 2006;14:216-21.
  7. Putnam JB Jr. Secondary tumors of the lung. In: Shields TW, Locicero J, Ponn RB, editors. General Thoracic Surgery. 6th ed. Philadelphia: Lippincott Williams&Wilkins, 2005;1831-62.
  8. Sayar A, Turna A, Metin M, K???kyagci N, Solak O, G?rses A. Simultaneous bilateral spontaneous pneumothorax report of 12 cases and review of the literature. Acta Chir Belg 2004;104:572-6.
  9. Okamoto S, Komura M, Terao Y Kurusaki-Arakawa A, Hayashi T, Saito T, et al. Malign bir uterin perivask?ler epiteloid h?cre t?m?r?nden (PEComa) kistik ve nod?ler akciğer metastazlarının neden olduğu pn?motoraks. Respir Med Vaka Rep 2017;22:77-82.
  10. Murakami A, Hayashi T, Terao Y, Mori T, Kumasaka T, Seyama K, et al. Cystic, nodular and cavitary metastases to the lungs in a patient with endometrial stromal sarcoma of the uterus. Intern Med 2014;53:1001-5.

Yazışma Adresi (Address for Correspondence)

Dr. G?listan KARADENİZ

Dr. Suat Seren G?ğ?s Hastalıkları ve

G?ğ?s Cerrahisi Eğitim ve Araştırma Hastanesi,

G?ğ?s Hastalıkları Kliniği,

İZMİR - T?RKİYE

e-mail: drglstn35@gmail.com

Yazdır