Yazdır

OLGU SUNUMU
CASE REPORT

Doi: 10.5578/tt.67609
Tuberk Toraks 2018;66(4):340-344

Geliş Tarihi/Received: 02.11.2018 • Kabul Ediliş Tarihi/Accepted: 11.11.2018

EGFR (+) akciğer adenokarsinomunun leptomeningeal metastazı: Olgu sunumu

Mutlu Onur G??SAV1, Aysu AYRANCI1, G?lru POLAT1, G?listan KARADENİZ1, Fatma DEMİRCİ ??SULAR1, ?zg?r ?ZTEKİN2, Mediha T?lin BOZKURT3, Murat AKYOL4, Enver YALNIZ1


1 Sağlık Bilimleri ?niversitesi, Dr. Suat Seren G?ğ?s Hastalıkları ve Cerrahisi Eğitim ve Araştırma Hastanesi, G?ğ?s Hastalıkları B?l?m?, İzmir, T?rkiye

1 Division of Chest Diseases, University of Health Sciences, Dr. Suat Seren Chest Diseases and Chest Surgery Training and Research Hospital, Izmir, Turkey

2 Sağlık Bilimleri ?niversitesi, Tepecik Eğitim ve Araştırma Hastanesi, Radyoloji B?l?m?, İzmir, T?rkiye

2 Division of Radiology, University of Health Sciences, Tepecik Training and Research Hospital, Izmir, Turkey

3 Sağlık Bilimleri ?niversitesi, Dr. Suat Seren G?ğ?s Hastalıkları ve Cerrahisi Eğitim ve Araştırma Hastanesi, Radyasyon Onkolojisi B?l?m?, İzmir, T?rkiye

3 Division of Radiation Oncology, University of Health Sciences Dr. Suat Seren Chest Diseases and Chest Surgery Training and Research Hospital, Izmir, Turkey

4 Sağlık Bilimleri ?niversitesi, Dr. Suat Seren G?ğ?s Hastalıkları ve Cerrahisi Eğitim ve Araştırma Hastanesi, Tıbbi Onkoloji B?l?m?, İzmir, T?rkiye

4 Division of Medical Oncology, University of Health Sciences, Dr. Suat Seren Chest Diseases and Chest Surgery Training and Research Hospital, Izmir, Turkey

?ZET

EGFR (+) akciğer adenokarsinomunun leptomeningeal metastazı: Olgu sunumu

Leptomeningeal metastaz leptomeninks ve subaraknoid aralığın malign h?crelerle infiltre olması olup ?ok nadir g?r?len bir komplikasyondur. K?t? prognoz g?stergesidir. G?r?lme sıklığı k???k h?creli dışı akciğer karsinomu (KHDAK)'nda %3.8'dir. Bu oran "epidermal growth factor receptor" (EGFR) mutasyonuna sahip hastalarda daha y?ksektir. Beyin manyetik rezonans g?r?nt?leme (MRG) tanıda ilk se?enektir. Nadir g?r?lmesi ve beyin metastazı gibi gross kitle lezyonu yaratmaması nedeniyle leptomeningeal metastaz tanısı zordur ve ?oğu zaman atlanmaktadır. Tedavide sistemik kemoterapi, intratekal tedavi, kraniyal radyoterapi ve hedefe y?nelik tedavi ajanları birer se?enektir. Uygun hastalarda hedefe y?nelik tedavilerin beyin omurilik sıvısına ge?ebilmesi nedeniyle umut verici olabileceği g?sterilmiştir. Biz de nadir g?r?lmesi, tanısının zor olması ve EGFR mutasyonu ile birlikteliği nedeniyle leptomeningeal metastaz (LM) tespit ettiğimiz EGFR pozitif akciğer adenokarsinomu hastamızı sunmayı uygun bulduk.

Anahtar kelimeler: Leptomeningeal metastaz; EGFR mutasyonu; kraniyal radyoterapi; hedefe y?nelik tedavi

ABSTRACT

Leptomeningeal metastasis of egfr (+) lung adenocarcinoma: a case report

Leptomeningeal metastasis is a very rare complication of infiltration of leptomeninges and subarachnoid space with malignant cells. It is an indicator of poor prognosis. Its incidence is 3.8% in non-small cell lung carcinoma (NSCLC). This rate is higher in patients with? epidermal growth factor receptor (EGFR) mutation. Brain magnetic resonance imaging (MRI) is the first choice in the diagnosis. The diagnosis of leptomeningeal metastasis is difficult and often bypassed because it is rare and does not cause gross mass lesions such as brain metastasis. Systemic chemotherapy, intrathecal therapy, cranial radiotherapy and targeted treatment agents are an option in the treatment. It has been shown that targeted therapies can be promising because of the ability to switch to cerebrospinal fluid in appropriate patients. We? present the case with EGFR positive lung adenocarcinoma whit leptomeningeal metastasis (LM) due to its rarity, difficulty in diagnosis and its association with EGFR mutation.

Key words: Leptomeningeal metastasis; EGFR mutation; cranial radiotherapy; targeted therapy

Geliş Tarihi/Received: 02.11.2018 - Kabul Ediliş Tarihi/Accepted: 11.11.2018

Leptomeningeal metastaz (LM) leptomeninks ve subaraknoid aralığın malign h?crelerle infiltre olmasıdır. Bir?ok sistemik t?m?r?n n?rolojik nadir bir komplikasyonudur (1). Tanı aşamasında akciğer kanserli olguların %10'unda, hastalık seyri sırasında ise %15-20'sinde beyin metastazı gelişmektedir (2). Beyin metastazı akciğer kanserinin sık g?r?len bir komplikasyonu olmasına rağmen LM nadir olarak g?r?lmektedir. G?r?lme sıklığı ise k???k h?creli dışı akciğer kanserlerinde (KHDAK) %3.8 olarak rapor edilmiştir. LM en sık olarak adenokarsinomda izlenmekte olup Epidermal Growth Fakt?r Resept?r (EGFR) mutasyonuna sahip hastalarda diğer hastalara g?re daha sık g?r?lmekte ve k?t? prognoz g?stergesi olarak kabul edilmektedir (3).

Şiddetli baş ağrısı, bulantı-kusma, hafıza problemleri, duysal anormallikler, motor defisit ve inkontinans bu hastalarda en sık g?r?len semptomlardır. LM'si olan hastalarda kraniyal radyoterapi (RT) birinci tedavi se?eneği olmakla birlikte intratekal tedavi, sistemik kemoterapi (KT) ve tirozin kinaz inhibit?rleri (TKİ) de diğer tedavi y?ntemleridir (4).

Leptomeningeal metastaz tespit ettiğimiz hastamızı nadir g?r?lmesi, tanısının zor olması ve EGFR mutasyonuyla ilişkisini vurgulamak amacıyla sunuyoruz.

Olgu

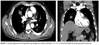
Bilinen bir hastalık ?yk?s? olmayan 49 yaşındaki erkek hasta; ?ks?r?k şikayetiyle başka bir merkeze başvurmuş ve ?ekilen akciğer grafisinde izlenen nod?ler lezyonun ileri tetkiki i?in tarafımıza y?nlendirilmiştir. ?ks?r?k şikayeti devam eden hastanın ?z ve soy ge?mişinde herhangi bir ?zellik saptanmadı. Sigara kullanım ?yk?s? yoktu. Fizik muayenesinde ve laboratuvar tetkiklerinde herhangi bir patolojik ?zellik olmayıp akciğer grafisinde sağ akciğer alt zonda parakardiyak alanda yaklaşık 2-3 cm boyutunda d?zensiz sınırlı opasite izlendi. ?ekilen toraks bilgisayarlı tomografi (BT)'de sağ akciğer orta lobda yaklaşık 2.5 x 2.1 cm boyutlu lob?le konturlu parankim lezyonu izlendi (Resim 1). Yapılan bronkoskopide endobronşiyal lezyon saptanmadı. Patoloji sonucu benign olarak raporlandı. BT eşliğinde transtorasik ince iğne aspirasyon biyopsisi yapılıp patoloji sonucu TTF-1 pozitif, CK5/6 negatif akciğer adenokarsinomu olarak raporlandı.


Resim 1

Şiddetli baş ağrısı, baş d?nmesi, dengede bozukluk şikayeti olması ?zerine hasta servisimize yatırıldı. Kontrastlı beyin BT ?ekildi. Metastaz d?ş?nd?ren lezyon saptanmadı. Hastaya a?ık manyetik rezonans g?r?nt?leme (MRG)'de kontrastlı kraniyal MRG ?ekildi. MRG'de de herhangi bir patoloji saptanmadı. Evreleme amacıyla ?ekilen pozitron emisyon tomografisi (PET-BT)'de; sağ akciğer orta lobda 2.5 x 2.1 cm boyutlu lob?le konturlu parankimal lezyonla uyumlu alanda malignite d?zeyinde artmış 18-FDG tutulumu izlendi (Resim 2). Hasta T1bN0M0 olarak değerlendirildi.


Resim 2

Şiddetli baş ağrısı, denge kaybı şikayetlerine bulantı, fışkırır tarzda kusma ve sağ hemipleji eklenmesi ?zerine hasta n?roloji hekimine kons?lte edildi. Muayenesinde herhangi bir patoloji saptanmadı. Klinik olarak metastaz ş?phesi devam etmesi ?zerine kapalı MRG cihazında kontrastlı kraniyal MRG ?ekildi. Serebral ve serebellar leptomeningeal y?zeylerde LM'yi destekleyen kontrastlanma artışı tespit edildi (T1bN0M1-Evre 4) (Resim 3). Yaş grubuna g?re belirgin ventrik?ler sistem genişlemesi ve ventrik?l ?evresinde de subepandimal beyin omurilik sıvısı (BOS) sızıntısı izlendi. Hasta beyin cerrahisine kons?lte edildi. Acil cerrahi girişim d?ş?n?lmedi. Hastaya anti?dem tedavisi ve kraniyal radyoterapi (RT) başlandı. Hastanın performansı d?ş?k olduğu i?in sistemik kemoterapi (KT) d?ş?n?lmedi. Patoloji preperatlarında ?alışılan mutasyon analizinde EGFR exon 21 L858R mutasyonu saptanan hastaya erlotinib tedavisi başlandı. Hasta tedavinin 3. haftasında olup halen takibimizdedir.


Resim 3

Tartışma

LM, solid organ t?m?rlerinin nadir bir n?rolojik komplikasyonudur. Solid organ t?m?rlerinde %1-5 arasında g?r?l?r. En sık meme kanseri, akciğer kanseri ve malign melanomda izlenmektedir (3,5). K???k h?creli dışı akciğer karsinomunda ise %1-3.5 arasında g?r?lmekte olup en sık adenokarsinom alt tipinde g?r?l?r (1,6). EGFR mutasyonu pozitif olan hastalarda g?r?lme oranı %9 olarak bulunmuştur ve EGFR mutasyonu negatif olan hastalara g?re ?ok daha sıktır (6). Hastamız da EGFR L858R mutasyonu olan akciğer adenokarsinomudur.

Akciğer karsinomu tanısı ile LM gelişmesi arasındaki s?re ortalama 11.1 aydır. Sudo ve arkadaşlarının 37 LM'li akciğer kanseri hastasında yaptıkları ?alışmada ortalama LM g?r?lme s?resi 407 g?nd?r (5,7). Su Jin Lee ve arkadaşlarının yaptığı ?alışmada ise LM saptanan hastaların %17.4'?nde tanı akciğer kanseri tanı aşamasında, %43'?nde ise primer t?m?r?n kısmi yanıt veya stabil hastalık olarak değerlendirildiği d?nemde tespit edilmiştir (7). Hastamızda da LM primer t?m?r?n tanı aşamasında saptanmıştır.

LM k?t? prognoz g?stergesidir. Tedavisiz izlemde tanı konulduktan sonra ortalama yaşam ?mr? 3 aydır (1,3). Son yıllarda tedavide ?nemli bir yer edinen TKİ bu hastalarda ortalama yaşam ?mr?n? 3 yıla kadar uzatmaktadır (3). Bu nedenle adenokarsinom tanılı akciğer kanseri hastalarında mutasyon analizi ve TKİ tedavisinin ?nemi unutulmamalıdır.

Beyin metastazı ile LM'nin semptomları arasında belirgin bir farklılık yoktur. Her iki durumda da şiddetli baş ağrısı, bulantı, kusma, bilin?te bozulma gibi semptomlar olabilir (7,8). Bu y?zden n?rolojik semptomları olan ve kraniyal g?r?nt?lemede beyin parankiminde metastatik lezyon saptanmayan hastalarda LM tanıda d?ş?n?lmelidir. Hastamızda daha ?nce yapılan kraniyal g?r?nt?leme y?ntemlerinde tanı konulamamasına rağmen klinik ş?phemiz ileri tetkikleri istememize ve tanıyı koymamıza yardımcı olmuştur. Tanıda kontrastlı kraniyal MRG ilk se?enektir. Nadir g?r?len bir metastaz olması ve beyin metastazı gibi etrafında ?dem oluşturan kitle imajının g?r?lmemesi nedeniyle beyin MRG'de de tespiti zordur. Klinisyenin ş?phesi tanıya ulaşmada ilk basamaktır.

G?n?m?zde LM y?netimiyle ilgili herhangi bir kılavuz bulunmamaktadır. LM olan hastalarda kraniyal RT birinci tedavi se?eneği olmakla birlikte intratekal tedavi, sistemik KT ve TKİ'de diğer tedavi y?ntemleridir (4). Yapılan ?alışmalar TKİ'lerin ?zellikle performansı d?ş?k hastalarda tedavide yararını ortaya koymaktadır. TKİ kullanan EGFR pozitif metastatik akciğer karsinomu hastalarında sağkalımın 3 yıla kadar uzadığını g?steren ?alışmalar mevcuttur (3). Preklinik ?alışmalar TKİ'lerin bos-beyin bariyerinden (BBB) d?ş?k bir penetrasyona sahip olduğunu g?stermesine rağmen; EGFR (+) KHDAK hastalarında beyin metastazlarının tedavisi ve gelişiminin ?nlenmesinde TKİ'lerin etkinliğini g?steren klinik ?alışmalar mevcuttur (3,9). Ayrıca y?ksek doz erlotinibin EGFR (+) KHDAK hastalarının kraniyal metastazlarını kontrol ettiğine dair ?alışmalar da mevcuttur (9,10). Hastamıza da tedavide ilk aşamada kraniyal RT yapılmış olup EGFR mutasyonu saptanması ?zerine ise erlotinib tedavisi başlanmıştır.

Sonu? olarak, başlangı?ta operabl olarak değerlendirilen hastanın n?rolojik semptomlarının devam etmesi ?zerine yapılan ileri tetkikler sonunda LM saptanmıştır. LM nadir g?r?lmesi, tanısının zor olması ve EGFR mutasyonuyla ilişkisine vurgu yapmak amacıyla hastamız sunulmuştur.

KAYNAKLAR

  1. Cihan Y. Patients with leptomeningeal metastases: case reports. T?rk Onkoloji Dergisi 2011;26:129-33.
  2. Moğulko? N. Akciğer kanserlerinin semptomları, bulguları. In: Haydaroğlu A, ed. Akciğer kanserleri: tanı ve tedavi. İzmir: Ege ?niversitesi Basımevi, 2000:57-76.
  3. Niu H, Zhou J, Maan H, Markman M, Niu J. Treatment of leptomeningeal metastases in a patient with non-small cell lung cancer harboring EGFR T790M mutation. Case Rep Oncol 2017;10:840-5.
  4. Morris PG, Reiner AS, Szenberg OR, Clarke JL, Panageas KS, Perez HR, et al. Leptomeningeal metastasis from non-small cell lung cancer: survival and the impact of whole brain radiotherapy. J Thorac Oncol 2012;7:382-5.
  5. Sudo J, Honmura Y, Kurimoto F, Komagata H, Sakai H, Yoneda S. Meningeal carcinomatosis in patients with lung cancer. Nihon Kokyuki Gakkai Zasshi 2006;44:795-9.
  6. Gion M, Remon J, Caramella C, Soria JC, Besse B. Symptomatic leptomeningeal metastasis improvement with nivolumab in advanced non-small cell lung cancer patient. Lung Cancer 2017;108:72-4.
  7. Lee SJ, Lee JI, Nam DH, Ahn YC, Han JH, Sun JM, et al. Leptomeningeal carcinomatosis in non-small-cell lung cancer patients: impact on survival and correlated prognostic factors. J Thorac Oncol 2013; 8:155-91.
  8. Park JH, Kim YJ, Lee JO, Lee KW, Kim JH, Bang SM, et al. Clinical outcomes of leptomeningeal metastasis in patients with non-small cell lung cancer in the modern chemotherapy era. Lung Cancer 2012;76:387-92.
  9. Ballard P, Yates JW, Yang Z, Kim DW, Yang JC, Cantarini M, et al. Preclinical comparison of osimertinib with other EGFR-TKIs in EGFR-mutant NSCLC brain metastases models, and early evidence of clinical brain metastases activity. Clin Cancer Res 2016.
  10. Hata A, Kaji R, Fujita S, Katakami N. High-dose erlotinib for refractory brain metastases in a patient with relapsed non-small cell lung cancer. J Thorac Oncol 2011;6:653-4.

Yazışma Adresi (Address for Correspondence)

Dr. Mutlu Onur G??SAV

Sağlık Bilimleri ?niversitesi,

Dr. Suat Seren G?ğ?s Hastalıkları ve Cerrahisi

Eğitim ve Araştırma Hastanesi,

G?ğ?s Hastalıkları B?l?m?,

İZMİR - T?RKİYE

e-mail: mo.gucsav@gmail.com

Yazdır