Yazdır

KLİNİK ?ALIŞMA
RESEARCH ARTICLE

Doi: 10.5578/tt.27936
Tuberk Toraks 2018;66(4):325-333

Geliş Tarihi/Received: 25.07.2018 • Kabul Ediliş Tarihi/Accepted: 22.12.2018

Beh?et hastalığında g?r?len toraks bilgisayarlı tomografi bulgularını kavrama

Bet?l KIZILDAĞ1, Nursel YURTTUTAN1, Mehmet Akif SARICA1, Nurhan ATİLLA1, Murat BAYKARA1, Bet?l ŞEREFLİCAN2, G?zde YILDIRIM ?ETİN3


1 Kahramanmaraş S?t?? İmam ?niversitesi Tıp Fak?ltesi, Radyoloji Anabilim Dalı, Kahramanmaraş, T?rkiye

1 Department of Radiology, Faculty of Medicine, Kahramanmaras Sutcu Imam University, Kahramanmaras, Turkey

2 Abant İzzet Baysal ?niversitesi Tıp Fak?ltesi, Deri ve Z?hrevi Hastalıklar Bilim Dalı, Bolu, T?rkiye

2 Department of Dermatology, Faculty of Medicine, Abant Izzet Baysal University, Bolu, Turkey

3 Kahramanmaraş S?t?? İmam ?niversitesi Tıp Fak?ltesi, Romatoloji Bilim Dalı, Kahramanmaraş, T?rkiye

3 Department of Rheumatology, Faculty of Medicine, Kahramanmaras Sutcu Imam University, Kahramanmaras, Turkey

?ZET

Beh?et hastalığında g?r?len toraks bilgisayarlı tomografi bulgularını kavrama

Giriş: Bu ?alışmada Beh?et hastalığı (BH)'nda g?ğ?s ?ok kesitli bilgisayarlı tomografi (?KBT)'de g?r?len anormal bulguların sıklığını ve spektrumunu değerlendirmeyi ama?ladık.

Materyal ve Metod: ?alışmaya 2009-2016 yılları arasında, daha ?nce ya da ilk olarak BH tanısı konulan ve radyoloji b?l?m?ne toraks ?KBT ?ekilmek ?zere g?nderilen toplam 44 hasta retrospektif oarak değerlendirildi. Pulmoner arter, diğer b?y?k damarlar, kalp, mediasten, plevra ve perkikarddaki anormal bulgular not edildi.

Bulgular: On altı hastada bir ya da birden fazla BH ile ilişkili anormal bulgu vardı. Pulmoner arter tutulumu 12 hasta ile en sık (%27.2) ortaya ?ıkış şekli olup 8 tanesinde tromboz 4 tanesinde anevrizma vardı. Ortalama pulmoner arter ?apı 29 ? 3.7 mm idi. Pulmoner arter tutulumu olan hastaların pulmoner arter ?apları olmayanlara g?re anlamlı olarak daha fazlaydı (p< 0.001). Hilus ?evresinde kıvrımlı vask?ler yapı olarak g?r?len hipertrofik bronşiyal arter en sık g?r?len bilgisayarlı tomografi (BT) bulgusuydu (%66.6). Akciğer parankim bulguları subplevral alveolar opasiteler, fokal atelektazi ve iyi sınırlı olmayan nod?ler opasiteler şeklindeydi ve bunlar nadiren izole olup genellikle pulmoner arter tutulumu ile birliktelik g?steriyordu. Kalpte dolum defekti pulmoner arter anevrizması olan hastalarda en sık eşlik eden lezyonlardı (%75).

Sonu?: BH'nin toraks BT bulguları ayrık anatomik b?lgelerin aynı anda tutulumunun olabileceği geniş bir lezyon spektrumu ile ilişkilidir. Pulmoner arterde genişleme ve genişlemiş bronşiyal arter pulmoner arter tutulumu i?in ?nemli ipu?larıdır. Kalp boşlukları ?zelikle pulmoner arter tutulumu olan hastalarda dolum defektleri a?ısından g?zden ge?irilmelidir.

Anahtar kelimeler: Beh?et hastalığı; pulmoner bilgisayarlı tomografi (BT) anjiyografi; pulmoner arter anevrimaları

SUMMARY

Insights into chest computed tomography findings in Behcet's disease

Introduction: To evaluate the spectrum and frequency of abnormal chest multidedector computed tomography (MDCT) findings in Behcet's disease(BD).

Materials and Methods: Chest MDCT scans of 44 patients referred to radiology department for chest symptoms those had prior or newly established diagnosis of BD between 2009-2016 were retrospectively reviewed. Abnormal findings within pulmonary artery (PA), lungs, other large vessels, heart, mediastinum, pleura and pericardium were noted.

Results: Sixteen patients had one ore more computed tomography (CT) findings related to BD. PA involvement was most common (27.2%) presentation revealing thrombosis in 8 and aneurysms in 4 of 12 patients. Mean PA diameter was 29 ? 3.7 mm. Patients with PA involvement had significantly higher PA diameters than those without (p< 0.001). Hypertrophied bronchial artery seen as serpiginous vessels around hilum was a common finding (66.6%). Lung parenchyma findings was rarely isolated and usually associated with PA involvement with subpleural alveolar opacities, focal atelectasis and ill-defined nodular opacities. Cardiac filling defects were accompanying lesions in most of patients with PA aneurysms (75%).

Conclusion: BD is associated with a wide spectrum of simultaneous involvement of discrete anatomical sites. PA enlargement and hypertrophied bronchial artery is a clue for patients with PA involvement. Heart chambers should be checked for filling defects particularly in patients with PA aneurysms.

Key words: Behcet's disease; pulmonary computed tomography angiography; pulmonary artery aneurysms

Geliş Tarihi/Received: 25.07.2018 - Kabul Ediliş Tarihi/Accepted: 22.12.2018

INTRODUCTION

Behcet's disease (BD) or syndrome is a systemic vasculitis of unknown origin in which patients present with recurrent oral ulcers, genital ulcers, ocular signs, or skin lesions, first described by Turkish dermatologist Hulusi Behcet as a clinical triad (1). Although BD is seen mostly in Mediterranean, Middle East, and Far East regions, the number of cases per year is increasing due to migration in Europe and America (2). Young males between 20 and 30 years of age most commonly suffer from BD (3).

Additional sites, including the vessels, joints, heart, lungs, as well as the central nervous, gastrointestinal, and genitourinary organs, may be involved in different ranges. The main histopathology finding is vasculitis, characterized by perivascular inflammation in different sizes of arterial or venous vessel walls (3). Vascular involvement is not rare, affecting 40% of patients, while pulmonary manifestation is relatively rare, seen in 1-10% of all patients (3,4). In addition, cardiac involvement comprises a minority of cases with a %1-5 (5). Vascular manifestation (VM), including superficial phlebitis, deep vein thrombosis, large vein thrombosis, arterial thrombosis, and aneurysm, is one of the six items used to establish BD diagnosis according the International Criteria for Beh?et's Disease (ICBD), which is the latest revised criteria and has been used since 2006 (6). On the other hand, VM has an incidence of 40% among patients and is an important factor related to the mortality and morbidity rates of BD (7). Pulmonary embolism or Budd Chiarri syndrome associated mortality reaches 17% related to venous involvement (8). Immunsuppressive drugs are commonly used to control inflammation within the vessel walls, leading to in situ thrombosis. Anticoagulant medication is not offered due to the risk of fatal bleeding in thrombotic patients with aneurysms (9).

Imaging covering the whole chest by computed tomography (CT) reveals a wide spectrum of abnormalities, such as thoracic vessels, lungs, pleura, as well as cardiac chambers in BD (3). Vessel involvement results in occlusion, stenosis, vessel wall thickening, or aneurysm formation, which is an important cause of mortality in BD (3). The majority of lung manifestations, including pulmonary infarct, pulmonary hemorrhage, and pulmonary inflammation, arise from vasculitis and/or the occlusion of pulmonary vessels (10).Only a few studies have evaluated the pulmonary CT findings of BD, particularly in terms of clinical manifestation (11-13). In this study, we aimed to evaluate the spectrum and frequency of abnormal chest multidedector computed tomography (MDCT) findings related to BD.

MATERIALS and METHODS 

Patients

We retrospectively reviewed the medical records of 44 patients among 531 BD patients who underwent contrast-enhanced chest CT and/or pulmonary artery (PA) CT angiography at university hospital from January 2009 to January 2016. A hospital information system (HIS) review was conducted using a standardized data collection form. The indications for CT examination were either the presence of chest symptoms or abnormal chest X-Ray findings. In all patients, a BD diagnosis was established according the revised ICBD or International Study Group (ISG) criteria in the Rheumatology Department (6). Patients who had suboptimal CT scan quality for evaluation were excluded.

For each patient, the demographics, laboratory results [Erythrocyte sedimentation rate (ESR), C-reactive protein (CRP)] and clinical information, duration of the disease, course of the disease as well as chest X-Rays, contrast-enhanced chest CT, and pulmonary CT angiography findings were recorded. Ethical approval of the study was obtained from the Ethics Committee of our institution.

Computed Tomography Scanning

All patients underwent MDCT using either 4 (HiSpeed QX/i, GE Medical Systems, Milwaukee, WIS, US) or 16 detector systems (Alexion, Toshiba Medical Systems Corporation, Tokyo, Japan), with standard scan parameters for pulmonary CT angiography (a tube voltage of 130 kVp, a tube current of 100-350 mA, a slice thickness of 3 mm, a reconstruction increment of 1.5 mm, a gantry rotation time 0.75 second, a pitch of 1.5, a scan field of view (FOV) of 25 cm, and a matrix of 512 ? 512). Raw data were transferred to a 27'' iMac computer (Apple Inv. Cupertino/CA, USA). OsiriX V.4.9 imaging software was used for image interpretation. Multiplan reformatted as well as thick maximum intensity projection images were created from isometric axial volume data if needed. A contrast medium (iodinated nonionic water-soluble) was used at a rate of 4 mL/sec using an automated injector according to the pulmonary artery circulation, by placing ROI triggering image acquisition, at a threshold of 150/120 HU. During interpretation, we added the offered window width of 700 HU and window level of 100 HU for pulmonary thromboembolism with a routine lung and mediastina window width and levels (lung window; (window width, 1500 HU; window level, -600 HU), a mediastina window (window width, 350 HU; window level, 40 HU), and a pulmonary thromboembolism-specific window (window width, 700 HU; window level, 100 HU) (14).

Interpretation of Examinations

Chest X-Rays were evaluated in terms of hila enlargement, nodular opacity, cavity lesion, pleural effusion.

CT scans were reviewed and a consensus was obtained between two radiologists (BK, NY). Pathologic findings within PA and lobe and segmental branches, lung parenchyma, large vessels other than PA, cardiac chambers, mediastinum, pleura, and pericardium were noted. Each of the findings below was coded as present or absent: a) saccular aneurysm within PA branches, b) the enlargement of PA branches, c) wall thickening within PA branches, d) occlusion or stenosis of PA branches, e) enlargement of pulmonary trunk, f) nodules, g) ground glass attenuation, h) consolidation, i) cavitation, j) hypertrophied bronchial arteries, k) mediastina edema, l) mediastina lymph node enlargement, m) enlargement of the right side cardiac chambers, n) pericardial effusion/thickening, o) vein thrombosis in the chest (superior vena cava thrombosis or brachiocephalic vein thrombosis), p) intra-cardiac thrombosis, r) venous thrombosis outside the chest (portal vein, renal vein, or vena cava inferior), s) abnormal collateral vessels, and t) other parenchymal changes (emphysema, bronchiectasis, small airway disease).

Ascending aorta and main PA measurements were done at the level of bifurcation with a line perpendicular to the vessels. The aortic (Ao) diameter was achieved from the same slice and then the PA/Ao ratio was calculated (15).

A hypertrophied bronchial artery was noted if its diameter measured larger than 1.5 mm.

PA aneurysms were attributed to saccular or fusiform dilations within the walls of PA branches, which enhances simultaneously with pulmonary arteries. The anatomical site and the diameter of the aneurysms were noted (16).

PA thrombosis was attributed to filling defects by the vessel lumen leading either occlusion or stenosis.

Statistical Analysis

All statistics were established using SPSS version 17.0. The Wilcoxon rank sum and chi-square tests were used to compare continuous variables between patients with or without pulmonary involvement. A p-value was < 0.05 was considered statistically significant.

RESULTS

Demographics and clinical features of patients these 44 included are summarized in Table 1. In nearly half of patients the symptoms including, dyspnea, chest pain, dorsal pain, hemoptysis, and coughing were noted. Of the 11.3% (5/44) patients had other system involvement (2 had musculoskeletal and 2 had gastrointestinal involvement and 1 had arthritis). One patient had metastasis from lung cancer. Of the 36.3% of (16/44) patients had one or more CT findings related to BD. Fourteen were male and 2 was female. In 25% (11/44) of patients had active radiological disease findings and chronic disease related findings were 5/44 of them. PA involvement was present in 12/44 patients (27.2%). Among them seven patients 8/12 revealed PAT, while 4 /12 had concomitant PA aneurisma.


Table 1

Lung parenchyma involvement (isolated) related to BD without vascular involvement was present in 2/16 of patients with a ratio of 4.5% of all. In these two; isolated parenchymal involvement, diagnosis was based on clinical data and regression of lesions after immune suppressive treatment.

There were no patients with aorta or coronary artery involvement in our study group.

One patient had both PA and large vessel (VCI and renal vein) involvement.

One patients had thrombosis within superior vena cava, brachiocephalic vein and concomitant portal vein thrombosis.

Two patients had inferior vena cava occlusion with dilated azygos (> 10 mm) and hemi azygos veins in chest slices.

Other lung diseases, such as emphysema and bronchiectasis, were present in 4 patients (10%).

Lobar pneumonia was present in 2 of patients and in 1 patient multiple parenchymal metastatic nodules from primary colon carcinoma and and in 1 patient thoracic spondylodiscitis.

Correlation analysis revealed a positive and high association between PA abnormalities (such as saccular aneurysm, enlargement of PA branches, wall thickening, occlusion or stenosis of PA branches and the main PA diameter), the presence of cardiac findings, hypertrophied bronchial arteries and a moderate association with symptoms, parenchyma findings, and chest X-Ray abnormalities. The main PA diameter was well correlated with CRP levels, the ascending aorta diameter (age related), the existence of symptoms, lung parenchyma and cardiac abnormalities findings on CT. Chest X-Ray abnormalities related to PA, cardiac, and parenchyma involvement and were present in symptomatic patients and higher CRP levels. Lower extremity vein thrombosis (deep or superficial veins) was not correlated with any of the imaging findings. The existence of emphysema or bronchiectasis was not correlated with any of the parameters. Pericardial effusion or thickening was not correlated with any of the parameters. The existence of pleural disease was well correlated with mediastinum abnormalities and CRP levels. The presence of hypertrophied bronchial arteries was well correlated with PA involvement and cardiac abnormal findings.

Table 2 shows the distribution of CT findings those related with BD. Ten (12/16) of BD with PA involvement detected in 10 men and 2 women 28-52 years of age (mean age: 39.4 years). All patients had pulmonary CTA. Hemoptysis was the initial symptom in 4 patients. The duration of BD was between 0 and 10 years (mean: 4.4 years). The main PA diameter was 31.0 ? 3.7 mm on average. Patients with PAI had greater PA diameters than the rest of the patients statistically (p< 0.001). Patients current age, age at diagnosis, duration of disease, and ascending aorta dimensions did not differ for those with or without PAI. Thrombosis leading to stenosis or occlusions within the PA was found in 8 of patients; 6 of them were located in the lower lobe and 2 of them in both the upper and lower segmental artery branches. Saccular aneurysm was present in 4 patients, involving the bilateral interlobar artery in 2 patient; 1 upper lobe segmental artery and there were bilateral multiple PAAs involving the left main and upper and lower lobe segmental arteries, reaching 24 mm in one patient.


Table 2

Parenchyma signs on CT were sub-pleural alveolar infiltrates, consolidation, ill-defined round opacity, focal atelectasis, and cavitation. At least one of the following lung parenchymal findings, including ill-defined nodular infiltration, sub-pleural alveolar infiltrates, ground glass attenuation, mosaic attenuation, focal atelectasis, and consolidation and cavitation, detected on CT in 14 of patients (14/16). Sub-pleural alveolar infiltrates (9/16), and focal atelectasis (8/65) and ill-defined nodular opacity (5/16) were more common lesions in all patients, mostly seen in the lower lobes. The other lung lesions were consolidations (in 3 patients related with pulmonary infarct), cavitation (in 3), and mosaic attenuation (in 1 patient). One of patients with isolated parenchyma involvement had right upper lobe ill-defined nodular opacity with surrounding ground glass attenuation.

Intra-cardiac filling defects consistent with thrombosis was localized in the right atrium in three of patients and confirmed by echocardiography, with a maximum diameter of 24 mm, 13 mm and 19 mm, respectively.

Serpiginous vessels in the mediastinum revealing hypertrophied bronchial arteries were present in 8 patients. PA enlargement (higher dimension than AA) was detected in 8/12 of them.

Azygos vein enlargement was detected in 2 patients with inferior vena cava occlusion related to BD: Chest wall and upper abdominal slices revealed collateral formation around abdominal in both.

DISCUSSION

Pulmonary CTA is commonly used as a diagnostic tool in the evaluation of patients with BD presenting with pulmonary symptoms. Non-invasive and fast evaluation by MDCT displaying changes in the vessel wall or lumen provides critical information about disease activity and chronic stage. Imaging plays a major role in determining the immunosuppressive treatment and in avoiding unnecessary or sometimes fatal anticoagulant therapy (9). In addition, imaging recently has been offered as a biomarker for BD, because of ability of prognostic and therapeutic implications of serial pulmonary CTA (17). Complications of immune suppressive therapy should also be managed after imaging modalities.

Therefore, the incidence and correlations of imaging findings related to BD in patients with pulmonary findings referred to chest CT scans has essential diagnostic and therapeutic implications. Radiologists should encounter diverse spectrum of abnormalities, including PA, other large veins (IVC, SVC, and brachiocephalic veins) or arteries (aorta and coronary arteries), heart, lungs, mediastinum, and pleura as well (3). We found that structures within the upper abdomen may also demonstrate findings particularly related to vascular involvement in BD. For this study, we ascertain and group these lesion spectra in pulmonary CT angiography and with significant correlations.

In our study, 36.3 % of patients revealed one or more findings related to BD among those who underwent contrast-enhanced chest CT or CTA for pulmonary reasons. PAI, an important factor in BD causing significant mortality and morbidity, was represented with an incidence of 2.2% among patients with BD, with male dominance in this study. From recent data reported from Turkey, the percentage of PAI was 2% in a large cohort involving 2500 patients (11). There has also been an increasing trend of female patients with PAI in recent years (18).

The duration of BD with pulmonary findings was between 0 and 10 years (mean: 4.4 years) in our study, which is similar to previous studies (12,13). Diagnosis of BD was established in 3 of 16 (18.5%) initially according to chest imaging findings in this study. Zang et al. reported a higher percentage in their study (6/15; 40%) (13). As such, radiologists may be the first clinicians who suggest the existence of BD in patients who has presented pulmonary or cardiovascular manifestations firstly at the time diagnosis. Thus they should be familiar with the spectrum of chest imaging findings.

Chest X-Ray is the first choice of imaging for pulmonary symptoms in BD, but in our study, it revealed normal findings in 31.2% (5/16) of patients who had evidence of pulmonary or vascular involvement on CT. The presence of abnormal findings was correlated with pulmonary artery, cardiac, and parenchymal findings on CT and was present in symptomatic patients with higher ESRs. Seyahi et al. also declared that patients with isolated PAT may have normal chest X-Ray findings; thus, CTA is necessary for patients with BD, particularly with hemoptysis (11).

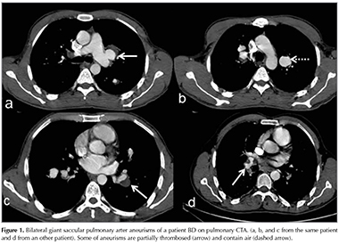
PAA and PAT are the two common presentations of PAI related to BD due to inflammation of the vessel walls (Figure 1). Mural thrombosis in the vein lumen causes intraluminal filling defects consistent with occlusion or stenosis, characteristic of PAT. PAAs are fusiform or saccular dilations of vessels enhancing simultaneously with PA. BD is the most common underlying pathology in patients with PAAs (11). PAAs may consist of partial thrombosis or air bubbles. In their study, Seyahi et al. reported that PAA patients may also have PAT findings, and 8 patients revealed isolated PAT signs among 34 patients with PAA in their cohort (11). In our study, all patients with PAA demonstrated concomitant PAT findings. In addition our study included more isolated PAT cases than PAA (PAA 4, isolated PAT 8). In our patients, right lower lobe artery was the most frequent site of aneurysms, similar to others' reports (11-13).


Figure 1

In our patient group, dilated or hypertrophied bronchial artery (larger than 1.5 mm) seen as serpiginous vessels around the hilum was common sign (8/12, 66.6%) in patients with PAI (Figure 2). This finding is defined in chronic thromboembolism as a response to a decrease in pulmonary flow and ischemia (19). It is a sign of a chronic compensatory process to pulmonary artery occlusion. We postulate that PA involvement in BD is not as acute as pulmonary thromboembolism, so there is enough time for bronchial artery to be hypertrophied. The existence of hypertrophied bronchial arteries was correlated with PA involvement and cardiac abnormal findings in this study. Therefore, we think that this finding is a valuable clue in constituting the diagnosis of PAI in patients with BD. The incidence of this finding was not discussed as much in the literature related to BD. In a previous article, the authors described a case of acute thrombosis in PA revealing hypertrophied bronchial arteries, despite immunosuppressive and anticoagulant treatment (18).


Figure 2

Heart chambers and pericardia are other sites of involvement in BD. The site of thrombosis is frequently the right ventricle followed by the right atrium in BD (11). Among our patients, CT demonstrated intra-cardiac filling defects consistent with thrombosis adhering to the right ventricle's anterior and lateral walls in 3 patients which had PAAs also (Figure 3). The thrombosis nearly regressed completely, except for minimal focal thickening. Echocardiography confirmed the presence and site of the localization of thrombosis in all of them. Left ventricular involvement is rare and reported only in a few cases in the literature (20). It should be noted that majority (3/4) of the patients with PAA had concomitant thrombosis the right cardiac chambers those could be seen on non gated chest scans in our study. Thus patients with PAA should be examined for intracardiac thrombosis particularly in the right ventricle.


Figure 3

The spectrum of lung parenchyma CT findings is diverse and these may be confused with other common entities, such as infection, particularly in patients under immunosuppressive treatment. They are seen frequently in cases of PAI, but isolated lesions reported are attributed to microscopic pulmonary vascular disease (3,13.) In their study, Zhang et al. discussed that isolated lung lesions related to BD should be suspected in patients with a poor response to antibiotherapy (13). In our study, 9 of 12 patients with PAI revealed parenchymal changes in CT and plain X-Ray. The most common CT findings were ill-defined nodular opacities, sub pleural alveolar infiltrates/consolidations and focal atelectasis, cavitation (Figure 4). Isolated parenchyma involvement of BD is also another finding which has scarce known properties. Zang et al. reported isolated parenchymal involvement in 6 of 15 patients (13). They also claimed that the clinical outcome of this group is better than those with PAI radiologic ally. In this entity the findings are related to micro vascular involvement. Although not histopathologically confirmed, 1 of our patients had parenchyma lesions without evidence of lobar, or segmental PA involvement. These lesions appeared under antibiotics treatment and regressed after the administration of immunosuppressive agents.


Figure 4

Venous wall thickening, intraluminal filling defects, or occlusion of the vein lumen with surrounding collateral veins were detected in the vascular involvement of patients other than the pulmonary arteries. Collateral formation through the chest or abdominal wall as well as hepatic focal parenchyma enhancement should be a marker for thrombotic disease in CT scans. In the current study, 2 patients with vascular thrombosis demonstrated a dilated azygos vein (larger than 10 mm) due to IVC occlusion and collateral veins within the abdominal cavity and chest wall. One patient had VCS and brachiocephalic vein thrombosis, demonstrating collateral veins around mediastinum and chest wall (21). Radiologists should be careful when viewing the subsequent images from the lower chest to the upper abdomen to determine whether there is any collateral formation related to venous obstruction or thrombosis in the IVC, renal vein, SMV, or hepatic veins.

Limitations

Owing to the small number of patients, which has limited our study to compare outcome or treatment of patients in previous studies; we think that the diverse spectrum of radiological findings was compatible with the literature. Being a retrospective study, data were collected from HIS, and all the CT scans were not done using the same CT scanner. Final diagnosis were made clinically. And no histopathologic results were available.

Conclusion

Pulmonary involvement is a potentially fatal component of BD. Gaining further knowledge about pulmonary imaging findings and being able to predict pulmonary involvement are critical for this group of patients. Intense attention should be paid owing to diverse spectrum of pathologies including thoracic vessels, lungs, pleura as well as cardiac chambers. BD is associated with a wide spectrum of simultaneous involvement of discrete anatomical sites. PA enlargement and hypertrophied bronchial artery is a clue for patients with PA involvement. Heart chambers should be checked for filling defects particularly in patients with PA aneurysms.

Acknowledgments

This article is not supported by any organizations. Authors declared no conflicts of interest.

REFERENCES

  1. Behcet H. Uber rezidivierende, apthoese, durch ein virus verursachte geschwuere am mund, am auge und an den genitalien. Dermatol Monatsschr 1937;105:1152-7.
  2. Hiller N, Lieberman S, Chajek-Shaul T, Bar-Ziv J, Shaham D. Thoracic manifestations of Beh?et disease at CT. Radiographics 2004;24:801-8.
  3. Tunaci A, Berkmen YM, Gokemen E. Thoracic involvement in Behcet's disease: pathologic, clinical and imagingfeatures. AJR Am J Roentgenol 1995;164:51-6.
  4. Erkan F, Gul A, Tasali E. Pulmonary manifestations of Behcet's disease. Thorax 2001;56:572-8.
  5. Wechsler B, Du LT, Kieffer E. Cardiovascular manifestations of Behcet's disease. Ann Med Interne (Paris) 1999;150:542-54.
  6. International Team for the Revision of the International Criteria for Behcet's Disease. Revision of the International Criteria for Behcet's Disease (ICBD). Clin Exp Rheumatol 2006;24(Suppl 42):S14-S15.
  7. Kural-Seyahi E, Fresko I, Seyahi N, Ozyazgan Y, Mat C, Hamuryudan V, et al. The long-term mortality and morbidity of Behcet syndrome: a 2-decade out come survey of 387 patients followed at a dedicated center. Medicine (Baltimore) 2003;82:60-76.
  8. Saadoun D, Wechsler B, Desseaux K, Le Thi Huong D, Amoura Z, Resche-Rigon M, et al. Mortality in Behcet's disease. Arthritis Rheum 2010;62:2806-12.
  9. Hatemi G, Silman A, Bang D, Bodaghi B, Chamberlain AM, Gul A, et al. EULAR Expert Committee. EULAR recommendations for the management of Beh?et disease. Ann Rheum Dis 2008;67:1656-62.
  10. Ceylan N, Bayraktaroglu S, Erturk SM, Savas R, Alper H. Pulmonary and vascular manifestations of Behcet disease: imaging findings. AJR Am J Roentgenol 2010;194:W158-64.
  11. Seyahi E, Melikoglu M, Akman C, Hamuryudan V, Ozer H, Hatemi G, et al. Pulmonary artery involvement and associated lung disease in Beh?et disease: a series of 47 patients. Medicine (Baltimore) 2012;91:1.
  12. Emad Y, Abdel-Razek N, Gheita T, el-Wakd M, el-Gohary T, Samadoni A. Multislice CT pulmonaryfindings in Beh?et's disease (report of 16 cases). Clin Rheumatol 2007;26:879-84.
  13. Zhang X, Dai H, Ma Z, Yang Y, Liu Y. Pulmonary involvement in patients with Beh?et's disease: report of 15 cases. Clin Respir 2015;9:414-22.
  14. Wittram C. How I do it: CT pulmonary angiography. AJR Am J Roentgenol 2007;188:1255-61.
  15. Ng CS, Wells AU, Padley SP. A CT sign of chronic pulmonary arterial hypertension: the ratio of main pulmonary artery to aortic diameter. J Thorac Imaging 1999;14:270-8.
  16. Swensen SJ, Viggiano RW, Midthun DE, M?ller NL, Sherrick A, Yamashita K, et al. Lung nodule enhancement at CT: multicenter study. Radiology 2000;214:73-80.
  17. Tsai HY, Chin CS, Tsai IC. Imaging as a biomarker in Beh?et disease: prognostic and therapeutic implications of serial pulmonary CT angiography. AJR Am J Roentgenol 2011;196:W105-6.
  18. Seyahi E, Yazici H. Beh?et's syndrome: pulmonary vascular disease. Curr Opin Rheumatol 2015;27:18-23.
  19. Mogulkoc N, Burgess MI, Bishop PW. Intracardiacthrombus in Behcet's disease: a systematic review. Chest 2000;118:479-87.
  20. Lisitsyna T, Alekberova Z, Ovcharov P, Volkov A, Korsakova J, Nasonov E. Left ventricular intracardiac thrombus in a patientwith Beh?et disease successfully treated with immunosuppressive agents without anticoagulation: a case report and review of the literature. Rheumatol Int 2015;35:1931-5.
  21. Temiz?z O, Genchellac H, Yekeler E, Demir MK, Unl? E, Ozdemir H. CT-angiographic demonstration of hepatic collateral pathways due to superior vena cava obstruction in Beh?et disease. Diagn Interv Radiol 2010;16:302-5.

Yazışma Adresi (Address for Correspondence)

Dr. Bet?l KIZILDAĞ

KS? Sağlık Uygulama Araştırma Hastanesi,

Avşar Yerleşkesi

KAHRAMANMARAŞ - T?RKİYE

e-mail: dr.betulkizildag@hotmail.com

Yazdır