Yazdır

OLGU SUNUMU
CASE REPORT

Doi: 10.5578/tt.67100
Tuberk Toraks 2018;66(3):253-257

Geliş Tarihi/Received: 11.06.2018 • Kabul Ediliş Tarihi/Accepted: 09.09.2018

Karbonmonoksit intoksikasyonundan organ donasyonuna;
ağır pulmoner hasarda organ koruyucu mekanik ventilasyon

Mehtap PEHLİVANLAR K???K1, Nazan K?YL? İLKAYA1, ?ağatay Erman ?ZT?RK1, Halil CEBECİ1, Davut AYDIN1, Fatma ?LGER1


1 Ondokuz Mayıs ?niversitesi Tıp Fak?ltesi, Anesteziyoloji ve Reanimasyon Anabilim Dalı, Yoğun Bakım Bilim Dalı, Samsun, T?rkiye

1 Division of Intensive Care, Department of Anesthesiology and Reanimation, Faculty of Medicine, Ondokuz Mayis University, Samsun, Turkey

?ZET

Karbonmonoksit intoksikasyonundan organ donasyonuna; ağır pulmoner hasarda organ koruyucu mekanik ventilasyon

Karbonmonoksit (CO) intoksikasyonu sonrası yoğun bakım ihtiyacı olan kritik hastalarda organ donasyonu soru işaretleri taşıyan bir konudur. Yirmi altı yaşında kadın hasta, t?pl? şofbenle su ısıtılan (%70 b?tan ve %30 propan karışımı) banyoda 20 dakika ge?irdikten sonra baygın vaziyette bulunmuştur. Glasgow koma skalası (GKS) 3 olan hastanın beyin bilgisayarlı tomografi (BT)'sinde ventrik?ler sistem silinmiş, beyaz-gri cevher ayrımı kaybolmuş ve fiss?rler silinmiş olarak izlendi. Torax BT'sinde her iki akciğer bazal ve posteriorlarda hava bronkogramları g?steren konsolide alanlar ve diğer alanlarda yaygın buzlu cam dansiteleri izlendi. Bilin? durumunda d?zelme olmayan hastada apne testi, n?rolojik muayene ve BT anjiyoyla beyinde kan akımı olmadığı ve beyin ?l?m? tanısı doğrulanmıştır. Hasta yatışının 2. g?n?nde yakınlarının da onamıyla b?brek ve karaciğer don?r? olmuştur. Karbonmonoksit zehirlenmelerinde yine y?ksek konsantrasyonlarda oksijen verilebilmesi ve kapalı alveollerin a?ılmasına (recruitment) olanak sağlayabileceği i?in kullanımı avantajlı olabilir. CO‘ya maruz kalmış don?rlerden yapılan başarılı b?brek, kalp, akciğer, karaciğer ve pankreas nakilleri raporlanmıştır. Karbonmonoksit intoksikasyonunda, organ koruyucu bakımın iyi yapıldığı beyin ?l?m? olgularının organ bekleyen hastalar i?in transplantasyona uygun olabileceğini ve literat?rde başarısız olguların da olmasına rağmen kesin kontrendikasyon olmadığını g?stermektedir.

Anahtar kelimeler: APRV; beyin ?l?m?; organ nakli; karbonmonoksit intoksikasyonu

ABSTRACT

From carbonmonoxide intoxication to organ donation; organ protective mechanic ventilation in severe pulmonary damage

Organ donation is a matter of concern in critically ill patients who need intensive care after carbonmonoxide (CO) intoxication. A 26-year-old female patient was unconscious after having spent 20 minutes in the bathroom with a water heater (70% butane and 30% propane mixture). In the CT of the patient with Glasgow Coma Scale (GCS) 3, ventricular system was erased, white-gray matter separation was lost and fissures were observed as erased. Torax CT showed conspicuous areas showing air bronchograms in both lung bases and posterior areas and diffuse frosted glass densities in other areas. In a patient with no improvement in consciousness; apnea test, neurological examination and CT angiography showed that there was no blood flow in the brain and brain death was confirmed. On the second day of hospitalization, the relatives gave their approval for the donation. It may also be advantageous to use oxygen at high concentrations in carbonmonoxide poisoning as it may allow recruitment of closed alveoli. Successful kidney, heart, lung, liver and pancreas transplants from donors exposed to CO have been reported. Carbonmonoxide intoxication may be appropriate for transplantation for patients who are waiting for organs of brain death cases where the organ preservation is well done. Although carbonmonoxide intoxication has failed in the literature, it shows that there is no definite contraindication.

Key words: APRV; brain death; carbonmonoxide intoxication; organ donation

Geliş Tarihi/Received: 11.06.2018 - Kabul Ediliş Tarihi/Accepted: 09.09.2018

Gİrİş

Karbonmonoksit (CO) renksiz, kokusuz, tatsız, irritan olmayan bir gazdır. Karbon kaynağı olan yakıtların iyi yanmaması sonucu ortaya ?ıkar ve mortaliteyle sonu?lanabilen zehirlenmelere neden olabilir (1,2). Zehirlenme sonucu inhalasyonla alınan CO gazı alveoler kapiller memrandan ge?er ve hemoglobinle bağlandığı intravasküler alana ge?er. CO'nun ?oğu eritrositlerde biriktikten sonra kararlı hale gelir. CO'nun hemoglobine afinitesi oksijene g?re 220 kat daha fazladır. Bu sebeple hemoglobine afinitesi oksijenle kompetitif olarak ve kararlı şekilde bağlanarak molekülün oksijen taşıma kapasitesini etkiler. Oksijenin taşınma ve dokulara bırakılmasını engeller. CO'nun kardiyak miyoglobine afinitesi de olduk?a y?ksektir, bu nedenle erken d?nemde hipoksiye bağlı miyokardiyal depresyon ve iskemiye bağlı aritmiler gelişebilir (2-4).

CO intoksikasyonlarında ?oklu organ tutulumları ve sistem yetmezlikleri g?r?l?r. Akciğer grafisi sıklıkla normaldir ancak nadiren buzlu cam g?rüntüsü, perihiler dolgunluk, ya da intraalveolar ?dem izlenebilir. Bu hastalar solunum yetmezliği a?ısından yakından izlenmelidir. Nadir de olsa mekanik ventilasyon ve yoğun bakım desteği ihtiyacı olabilir. Ciddi intoksikasyonlarda şuur kapanmasına neden olabilecek beyin ?demi g?rülebilirken, tipik beyin bilgisayarlı tomografi (BBT)'si bulgusu bazal ganglionlarda fokal hipodens lezyonlardır. Bu bulgu ?zellikle globus palliduslarda simetrik dansite azalmasıdır (2,3). CO intoksikasyonu sonrası yoğun bakım ihtiyacı olan kritik hastalarda organ donasyonu soru işaretleri taşıyan bir konudur. Literat?rde başarılı transplantasyon yapılmış olgular olmakla beraber başarısız deneyimler de mevcuttur (5-7). Bu s?re?te organ koruyucu destek tedavilerin uygulanması ?ok ?nemlidir. Nadir g?r?len ciddi pulmoner tutulumlu olgularda yeni mekanik ventilasyon stratejileriyle y?ksek oksijen konsantrasyonları sağlanabilir. CO intoksikasyonu sonrası yoğun bakım ?nitemizde izlenen ve organ vericisi olan 26 yaşında kadın hasta literat?r eşliğinde sunulmuştur. Karbonmonoksit intoksikasyonunda, organ koruyucu bakımın iyi yapıldığında beyin ?l?m? olgularının organ bekleyen hastalar i?in transplantasyona uygun olabileceğini ve literat?rde başarısız olguların da olmasına rağmen kesin kontrendikasyon olmadığını g?stermektedir.

OLGU SUNUMU

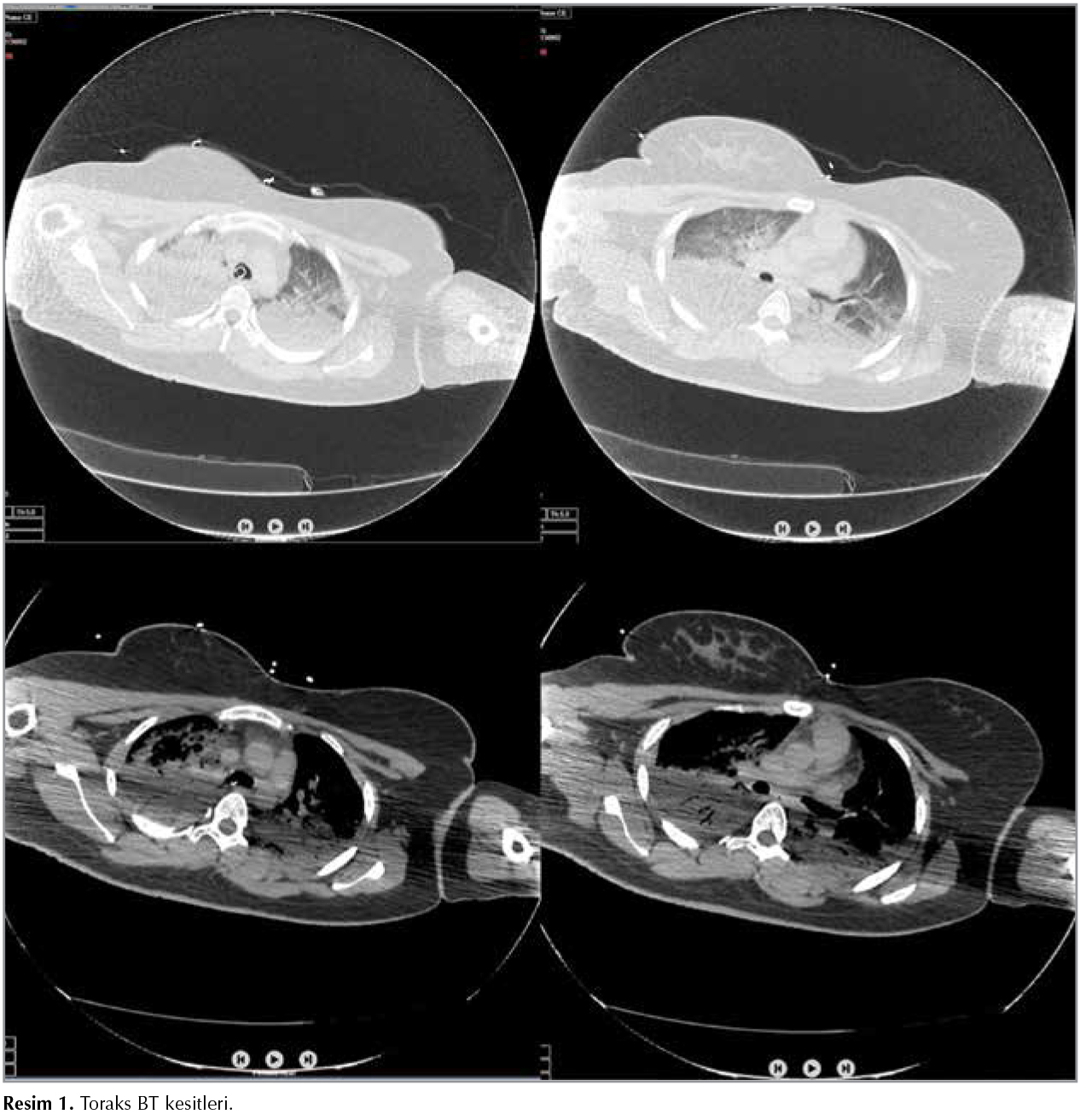
Yirmi altı yaşında kadın hasta, t?pl? şofbenle su ısıtılan (%70 b?tan ve %30 propan karışımı) banyoda 20 dakika ge?irdikten sonra baygın vaziyette bulunmuştur.? Ent?be halde, GKS: 3, pupiller fiks dilateyken ilk bakılan karboksihemoglobin (COHb) %67, kontrol? %33.9 olarak değerlendirilmiştir. Hastanın acil servisimizde bakılan en k?t? kan gazında pH: 7.19, pCO2: 43.5 mmHg, pO2: 490 mmHg, HCO3: 15.4 mEq/L, BE: -11 ve COHb: %27.1 (N: 0.5 2.5) saptanmıştır. K?t? hemodinami, derin koma ve ağır ARDS tablosu nedeniyle (il i?erisinde hiperbarik oksijen tedavisi imkanı yoktur) hastanın hiperbarik oksijen i?in sevki planlanamamıştır. Hasta takibi i?in yoğun bakım ?nitemize devralınmıştır. Genel durumu k?t?, şuuru koma, GKS: 3 olan hastanın santal sinir sistemi değerlendirilmesi i?in ?ekilen BBT'sinde ventrik?ler sistem silinmiş, beyaz-gri cevher ayrımı kaybolmuş ve fiss?rler silinmiş olarak izlenmektedir. ?ekilen Torax BT'sinde her iki akciğer bazal ve posteriorlarda hava bronkogramları g?steren konsolide alanlar ve diğer alanlarda yaygın buzlu cam dansiteleri izlendi (Resim 1). Servisimize ilk kabul?ndeki biyokimyasal değerleri Na: 167 mEq/L, K: 2.7 mEq/L, glukoz: 161 mg/dL, kreatin 0.96 mg/dL, BUN: 9.7 mg/dL, hemoglobin: 8 g/dL, COHb: %20.9, ?l??lm?şt?r. Hipotansif seyreden hastaya (OKB < 65 mmHg) hemodinamik instabilite nedeniyle dopamin inf?zyonu (1 μg/kg/dk) başlanmıştır. Ciddi beyin ?demi nedeniyle mannitol 6x100 mg IV başlandı. Mekanik ventilat?rde airway pressure releasing ventilation (APRV) modda (FiO2: %100, Phigh: 20 cmH20, Plow: 0 cmH20, Thigh: 4 sn, Tlow: 0.8 sn) takip edilen hastada 2 saat sonra oksijenizasyonda belirgin iyileşme, kan gazında d?zelme, COHb'de normalizasyon (COHb: %0.3) ve kontrol APAC grafisinde belirgin d?zelme sağlanmıştır (Resim 2). Bilin? durumunda d?zelme olmayan hastada apne testi, n?rolojik muayene ve BT anjiyoyla beyinde kan akımı olmadığı ve beyin ?l?m? tanısı doğrulanmıştır. Hasta yatışının 2. g?n?nde yakınlarının da onamıyla b?brek ve karaciğer don?r? olmuştur.


Resim 1

Resim 2

TARTIŞMA

CO renksiz, kokusuz ve olduk?a toksik bir gaz olup d?nya ?apında zehirlenmeye bağlı ?l?mlerin ?nde gelen sebeplerindendir. CO'nun hemoglobine afinitesi oksijene g?re 200 kat fazladır, bu sebeple CO intoksikasyonunda dokulara oksijen sunumu azalır, oksihemoglobin disosiasyon eğrisi sola kayar. CO miyoglobine g??l? bağlanır, mitokondrilere oksijen sunumu azalır bu sebeple beyin, kalp, b?brek, iskelet kası, deri, periferal sinir gibi hemen hemen bütün organları etkileyebilen sıklıkla k?t? prognozlu bir durum ortaya ?ıkar (6,7). Genellikle akciğer grafisi normaldir ancak nadiren olgumuzdaki gibi buzlu cam g?r?nt?s?, perihiler dolgunluk, ya da intraalveolar ?dem bulguları g?r?lebilir ve bunlar k?t? prognozu g?sterir. "Airway pressure release ventilation (APRV)" metoduyla uygulanan mekanik ventilasyon kapiller ka?ağa bağlı interstisyel ?dem tedavisinde ?nemli bir mekanik ventilasyon stratejisi olarak akılda tutulabilir (8). APRV devamlı pozitif hava yolu basıncı (CPAP)'nın iki farklı değeri arasında solunmasını sağlayan ve her seviyede spontan solunum eforu olduğunda buna izin veren bir ventilasyon modudur. APRV hala oksijenizasyonun olduk?a zor olduğu akut solunum sıkıntısı sendromu (ARDS) hastalarında alternatif bir kurtarıcı mod olarak d?ş?n?lmektedir (9). APRV'nin ARDS tedavisinde klasik ventilasyona kıyasla hastanın hemodinamik durumunu k?t?leştirmeksizin daha d?ş?k tepe basıncı, daha iyi oksijenasyon, daha az dolaşımsal kayıp ve daha iyi gaz değişimi sağladığı doğrulanmıştır. Spontan ventilasyonun korunması, en iyi perf?ze olan dependant akciğer b?lgelerinde ?ncelikli olarak ventilasyon sağlayarak ventilasyon-perf?zyon oranının d?zelmesini sağlar (10). Beyin ?l?m? gelişmesi olası, organ koruyucu tedavilerin olduk?a ?nemli olduğu, k?t? prognozlu olgularda akciğerlerin korunması i?in uygulanabilecek tedaviler arasında APRV mod da d?ş?n?lebilir. Karbonmonoksit zehirlenmelerinde yine y?ksek konsantrasyonlarda oksijen verilebilmesi ve kapalı alveollerin a?ılmasına (recruitment) olanak sağlayabileceği i?in kullanımı avantajlı olabilir. CO‘ya maruz kalmış don?rlerden yapılan başarılı b?brek, kalp, akciğer, karaciğer ve pankreas nakilleri raporlanmıştır (5,11-15). CO kan damarlarını gevşetir, platelet agregasyonunun inhibisyonu ve fibrinolizis artışıyla antitrombotik etki yapar. Karbonmonoksit iskemi/reperf?zyon hasarını ve inflamatuvar cevabı azaltmaktadır. Hayvan modellerindeki ?alışmalarda da don?rlerde yapılan karbonmonoksit tedavisiyle greft fonksiyonlarında iyileşme g?r?lm?şt?r. Karbonmonoksit inhale eden don?rlerin azalmış apoptoz ve artmış endotel h?cre ?mr? sayesinde daha iyi greft fonksiyonu g?sterdiği de bildirilmiştir (6). Bizim olgumuzda hastamız karaciğer ve b?brek don?r? oldu ancak kalp ve akciğer i?in uygun alıcı bulunamadığından donasyon yapılamadı.

SONU?

CO intoksikasyonunda pulmoner tutulumda ARDS tablosuyla nadiren karşılaşılır. Bu durumda yoğun bakım ihtiyacı gelişen ağır olgularda APRV mod ile uygulanan mekanik ventilasyon başarılı sonu?lar verebilir, artan olgu sayılarıyla deneyimler arttırılmalıdır. Ek olarak son yayınlar karbonmonoksit intoksikasyonunda, organ koruyucu bakımın iyi yapıldığı beyin ?l?m? olgularının organ bekleyen hastalar i?in transplantasyona uygun olabileceğini ve literat?rde başarısız olguların da olmasına rağmen kesin kontrendikasyon olmadığını g?stermektedir.

KAYNAKLAR

  1. Health effects of outdoor air pollution. Committee of the environmental and occupational health assembly of the american thoracic society. Am J Respir Crit Care Med 1996;153:3-50.
  2. Kandiş H, Katırcı Y, ?akır Z, Aslan Ş, Uzkeser M, Bilir ?. Acil servise karbonmonoksit entoksikasyonu ile başvuran olguların geriye d?n?k analizi. Akademik Acil Tıp Dergisi 2007;5:21-5.
  3. Ernst A, Zibrak JD. Carbonmonoxide poisoning. N Engl J Med 1998;339:1603-8.
  4. Piantadosi CA. Carbonmonoxide poisoning. Undersea Hyperb Med 2004;31:167-77.
  5. Bentley MJ, Mullen JC, Lopushinsky SR, Modry DL. Successful cardiac transplantation with methanol or
    carbonmonoxide-poisoned donors. Ann Thorac Surg 2001;71:1194-7.
  6. Fujisaki N, Nakao A, Osako T, Nishimura T, Yamada T, Kohama K, et al. Can carbonmonoxide-poisoned victims be organ donors? Medical Gas Research 2014;4:13.
  7. Martin-Suarez S, Mikus E, Pilato E, Bacchini M, Savini C, Grigioni F, et al. Cardiac transplantation from a carbonmonoxide intoxicated donor. Transplant Proc 2008;40:1563-5.
  8. Dries DJ, Marini JJ. Airway pressure release ventilation. J Burn Care Res 2009;30:929-36.
  9. Stock MC, Downs JB, Frolicher DA. Airway pressure release ventilation. Crit Care Med 1987;15:462-6.
  10. Froese AB, Bryan AC. Effects of anesthesia and paralysis on diaphragmatic mechanics in man. Anesthesiology 1974;41:242-55.
  11. Bojakowski K, Gaciong Z, Grochowiecki T, Szmidt J. Carbonmonoxide may reduce ischemia reperfusion injury: a case report of complicated kidney transplantation from a carbonmonoxide poisoned donor. Transplant Proc 2007;39:2928-9.
  12. Koerner MM, Tenderich G, Minami K, Morshuis M, Mirow N, Arusoglu L, et al. Extended donor criteria: use of cardiac allografts after carbonmonoxide poisoning. Transplantation 1997;63:1358-60.
  13. Luckraz H, Tsui SS, Parameshwar J, Wallwork J, Large SR. Improved outcome with organs from carbonmonoxide poisoned donors for intrathoracic transplantation. Ann Thorac Surg 2001;72:709-13.
  14. Shennib H, Adoumie R, Fraser R. Successful transplantation of a lung allograft from a carbonmonoxide-poisoning victim. J Heart Lung Transplant 1992;11(1 Pt 1):68-71.
  15. Verran D, Chui A, Painter D, Shun A, Dorney S, McCaughan G, et al. Use of liver allografts from carbonmonoxide poisoned cadaveric donors. Transplantation 1996;62:1514-5.

Yazışma Adresi (Address for Correspondence)

Dr. Mehtap PEHLİVANLAR K???K

Ondokuz Mayıs ?niversitesı Tıp Fak?ltesi,

Anesteziyoloji ve Reanimasyon Anabilim Dalı,

Yoğun Bakım Bilim Dalı,

Samsun - T?rkiye

E-mail: mehtap_phlvnlr@hotmail.com

Yazdır