Yazdır

DERLEME
REVIEW

Doi: 10.5578/tt.67108
Tuberk Toraks 2018;66(3):239-248

Geliş Tarihi/Received: 13.06.2018 • Kabul Ediliş Tarihi/Accepted: 09.09.2018

Postent?basyon trakeal stenoz

Efsun Gonca UĞUR CHOUSEIN1, Mehmet Akif ?ZG?L1


1 İstanbul Yedikule G?ğ?s Hastalıkları ve G?ğ?s Cerrahisi Eğitim ve Araştırma Hastanesi, G?ğ?s Hastalıkları Kliniği, İstanbul, T?rkiye

1 Clinic of Chest Diseases, Istanbul Yedikule Chest Diseases and Thoracic Surgery Training and Research Hospital, Istanbul, Turkey

?ZET

Postent?basyon trakeal stenoz

Postent?basyon trakeal stenoz (PETS); son yıllarda yoğun bakım yataklarının ve endotrakeal ent?basyon gerektiren endikasyonların artışı, bu konuda farkındalığın artması nedeniyle eskiye nazaran daha sık g?rmeye başladığımız iyatrojenik bir komplikasyondur. PETS, asemptomatik olabilecek olgulardan, ?ok acil girişimsel m?dahale gerektirecek kadar ağır olgulara varan geniş bir klinik yelpazeye sahiptir. Bu nedenle anamnezinde ent?basyon olan, solunum sıkıntısı tarifleyen hastaların ayırıcı tanısında mutlaka akılda tutulmalıdır. Tanıda altın standart fiberoptik/rijid bronkoskopidir. Tedavisinde ilk tercih edilen y?ntem trakeal rezeksiyon ve u? uca anastomoz (TRA) olsa da cerrahiye uygun olmayan ya da bazı ?zel se?ilmiş olgularda bronkoskopik girişimler hayat kurtarıcı, cerrahiye kadar ge?ecek s?rede hastaya zaman kazandırıcı ve hatta k?r sağlayıcı olmaktadır.

Anahtar kelimeler: Ent?basyon; trakeal stenoz; bronkoskopi

SUMMARY

Postintubation tracheal stenosis

Postintubation tracheal stenosis (PITS) is an iatrogenic complication seen increasingly often as the number of intensive care unit (ICU) bed multiply, the indications for endotracheal intubation expand and disease awareness rises. PITS has a clinical severity spectrum ranging from asymptomatic cases to patients requiring urgent interventional procedures. It should therefore always be considered in the differential diagnosis in patients with a history of intubation who present with the complaint of difficult breathing. The golden standart for diagnosis is? fiberoptic/rigid bronchoscopy. Even though tracheal resection and end-to-end anastomosis (TRA)? is the preferred traetment, in some selected cases and in the patients who are not candidates for surgery, bronchoscopic interventions can be life saving, temporizing until surgery is possible and even be curative.

Key words: Intubation; tracheal stenosis; bronchoscopy

Geliş Tarihi/Received: 13.06.2018 - Kabul Ediliş Tarihi/Accepted: 09.09.2018

GİRİŞ

Postent?basyon trakeal stenoz (PETS) ilk kez 1800'l? yıllardan itibaren varlığından bahsedilen, sonradan posttrakeostomi trakeal stenoz (PTTS)'un da tariflenerek bu gruba eklendiği, ge?mişte nadir olarak nitelendirilse de tıptaki gelişmelerle birlikte hem ent?basyon gerektiren endikasyonların artışı hem de bu ent?basyonlar sonrası PETS oluşabileceği farkındalığının artması ile g?n?m?zde girişimsel bronkolojide daha sık g?zlenen ?nemli bir iyatrojenik komplikasyondur (1-3). PETS, benign trakeal stenozlar i?inde en sık rastlanan stenoz şeklidir.

Hastaların asemptomatik olabileceği g?z ?n?ne alınacak olursa sıklığı ile ilgili net bir rakam verilemese de ent?be olan t?m hastaların %63'?nde ?eşitli trakeal hasar gelişebileceği, %10-11'inde trakeal stenoza rastlanabileceği, t?m ent?be olmuş hastaların trakeal stenoz nedeniyle sadece %1-2'sinin semptomatik olabileceği bildirilmiştir. Yapılan prospektif bir ?alışmada ent?basyona bağlı trakeal stenoz gelişme oranının %19, trakeostomiye bağlı trakeal stenoz gelişme oranının %65 olduğu saptanmıştır (2,4-6).

RİSK FAKT?RLERİ ve PATOGENEZ

PETS‘nin en sık nedenleri, ent?basyon ve trakeostomi ile ilişkili iyatrojenik travmadır. Trakeaya yapılan acil girişimler sırasında kıkırdak halkanın ve komşu dokunun hasarlanması veya y?ksek a?ılmış trakeostomi yeri, y?ksek cuff basıncı, uzamış ent?basyon, sık aspirasyon gerekliliğine bağlı irritasyon PETS i?in ?nemli risk fakt?rleridir. Bu fakt?rler ilk olarak trakeanın kıkırdak halkası ?zerindeki mukozasında hasara ve iskemik nekroza yol a?ar. Bu patolojik durum sonra daha derin dokuların da s?rece katılmasıyla gran?lasyon dokusu ve fibrozise ilerler, submukozal ve mukozal tabakada kalınlaşma ve b?ylece trakea l?meninde stenozla sonu?lanır (7-10).

G?n?m?zde geniş vol?ml?, d?ş?k basın?lı kaf kullanılmasına ve yoğun bakım şartlarındaki iyileşmeye rağmen PETS g?r?lmeye devam etmektedir (7,11). PETS; ?oğunlukla uzamış endotrakeal ent?basyon s?resinin bir sonucu olarak bildirilse de ?ok kısa s?reli ent?basyonlar sonrası da PETS gelişen olgular bildirilmektedir (8,12).

Seriden seriye değişmekle birlikte genelde serilerde kadın cinsiyet ?st?nl?ğ? g?ze ?arpmaktadır (13,14). D?ş?k kan basıncı, diyabet, obezite, kardiyovask?ler hastalık varlığı, refl?, anemi, n?tropeni, kadın cinsiyet, ent?basyon t?p?n?n i?eriğinde ve yerleştirilmesinde kullanılan kimyasal maddelere karşı kişinin hassasiyeti olması, kortikosteroid kullanımı, ileri yaş, sekresyon fazlalığı, infeksiyon, ciddi solunum yetmezliği, otoimm?n hastalıklar, uyku apnesi, farenks ya da larenks kanseri i?in radyoterapi almış olmak da? risk fakt?rleri olarak tanımlanmıştır (5,13-15). Derin sedasyon uygulanmayan hastalarda, olası trakeal irritasyona bağlı olarak PETS daha sık g?r?lm?şt?r (16).

TANI

Anamnez ve Fizik Muayene

Tanıda ilk aşama her zaman ş?phedir. Anamnezinde yoğun bakım yatışı olan hastada, sonrasında nefes darlığı, horlama ya da tekrarlayan infeksiyonlar s?z konusu olduğunda PETS akla getirilmelidir.

Trakeadaki darlığın yerine, derecesine g?re semptomlar değişebilir. Sıklıkla, başlangı?ta sadece egzersiz anında nefes darlığı olurken zamanla nefes darlığı istirahatte bile hissedilir olabilir. ?ks?r?k ve whezing de sıktır. Hava yollarındaki darlık, balgam ?ıkarmada g??l?ğe ve tekrarlayan infeksiyonlara neden olabilir.

Dispne ve whezing birlikteliği olan hastalar yanlışlıkla astım, bronşit ya da kronik obstr?ktif akciğer hastalığı (KOAH) tanıları alabilirler. Bronkodilat?re yanıt alınamayan dispneler bu nedenle g?zden ka?ırılmamalıdır.

Daralmış trakeada sorun yaratan bir sekresyon ya da kanama olmadık?a genelde akut bir tablo ortaya ?ıkmayabilir.

Solunum sistemi muayenesi darlık ?ok kritik orana gelmedik?e, istirahat halindeyken genellikle normaldir. Stridor, trakea ?apı 5 mm'nin altına inince ortaya ?ıkar. Trakeostomi skarı varlığı hastalıktan ş?phelenmek i?in bir ipucu olabilir. Hasta yoğun bakım yatışı sonrası ?ok kısa s?rede semptomatik hale gelebileceği gibi bazen de semptomların orta ?ıkması ayları hatta yılları alabilir (3,13).

G?r?nt?leme

Tanının ikinci aşaması g?r?nt?lemedir. En basit g?r?nt?leme y?ntemi PA akciğer grafisidir (Resim 1). PA akciğer grafisi genelde normal saptanmakla birlikte, trakea l?menine ait hiperl?sen alanda d?zensizlik g?r?lebilir (Resim 2).


Resim 1

Resim 2

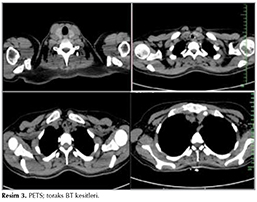
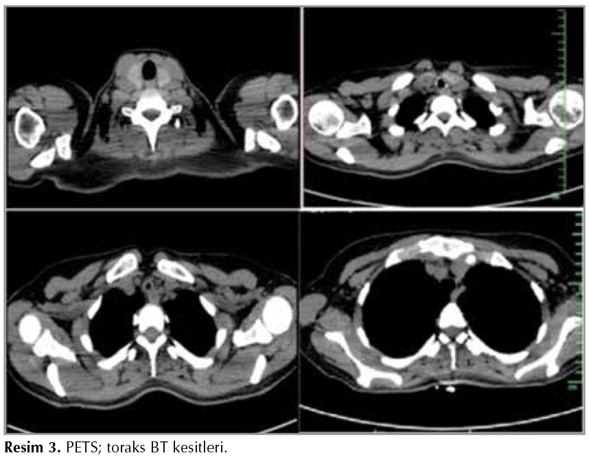
Diğer bir g?r?nt?leme y?ntemi bilgisayarlı tomografidir (Resim 3,4). ?zellikle iki boyutlu kesitler elde edildiğinde trakeayı doğru bir şekilde g?r?nt?lemeye yarayan, noninvaziv bir y?ntemdir. Darlığın lokalizasyonunu, tipini, boyutlarını, damarsal yapılarla ilişkisini, kıkırdak yapının b?t?nl?ğ?n? ve distal hava yollarını ?zellikle de girişimsel işlemler ?ncesi daha iyi değerlendirmeyi sağlar. Sonradan teknik olarak elde edilebilecek "sanal bronkoskopik g?r?nt?ler" de değerlendirmeye katkı sağlayabilir (17).


Resim 3

Resim 4

Solunum Fonksiyon Testleri

Dispne yakınması olan bir hastada solunum fonksiyon testlerindeki akım vol?m halkası ?oğu zaman olmasa da b?y?k hava yolu obstr?ksiyonunu, derecesini ve darlığın yeri (ekstratorasik ya da intratorasik obstr?ksiyon) hakkında yol g?sterici olabilir (Şekil 1) (18).


Şekil 1

Bronkoskopi

Bronkoskopi PETS'nin tanısında altın standarttır. Fiberoptik bronkoskopi de rijid bronkoskopi de, darlığın yerinin, derecesinin, uzunluğunun ve darlığın tipinin g?r?lmesini sağlar. Mukoza ve eşlik eden diğer patolojiler değerlendirilebilir (Resim 5,6). Fleksibl bronkoskopi tedaviden ziyade, sıklıkla rijid bronkoskopi ?ncesi darlığın değerlendirilmesi amacıyla kullanılmaktadır. Son yıllarda PETS'lerin değerlendirilmesi ve tedavisinde de rijid bronkoskopi kullanımı daha ?ok tercih edilmeye başlanmıştır (19).


Resim 5

Resim 6

STENOZ SINIFLAMALARI

Bronkoskopi ile tanı koyduğumuz trakeal stenozun morfolojisini, vokal kordlara ana karinaya mesafesini tariflemek hem klinisyenler arasında ortak bir dil oluşturmak hem de tedavi i?in gerekli planlamayı yapmakta faydalıdır (20).

Stenozun sınıflamasında tek bir sınıflandırma sistemi bulunmamaktadır. Pek ?ok araştırmacı tarafından farklı boyutlarda ele alınarak stenoz sınıflamaları yapılmıştır. Bir araştırmacı, ent?basyon sonrası trakeada izlenen obstr?ktif lezyonların yerini g?z ?n?ne alarak, stoma b?lgesi, cuff b?lgesi, cuff ile stoma arasındaki b?lge ve? t?p?n ucunun trakeaya temas ettiği noktayı baz alarak sınıflama yaparken, bir diğeri darlığın morfolojisine g?re stenozu sınıflandırmıştır (21,22).

G?nl?k pratikte en sık kullanılan ve kabul g?ren, Brichets ve arkadaşlarının yaptığı gibi basit ve kompleks olmak ?zere stenozları ikiye ayırmaktır.? Buna g?re; uzunluğu 1 cm'den az olan, web-like stenozlar (ince halka şeklinde soluk membran?z alan) ve gran?lomlar basit, 1 cm'den uzun, fibrozisin eşlik ettiği, kıkırdak hasarı ve malazinin eşlik ettiği darlıklar kompleks? stenoz olarak sınıflanır (Resim 7,8) (22).??


Resim 7

Resim 8

Myer ve arkadaşları yaptıkları sınıflamada bronkoskop ile trakea ?apını karşılaştırmayı tercih etmişken, Mc Caffrey subglottik alana olan mesafeyi ve stenozun trakeadaki uzunluğunu ele alarak sınıflama yapmıştır (Şekil 2,3) (23,24).


Şekil 2

Şekil 3

POSTENT?BASYON TRAKEAL STENOZDA TEDAVİ

PETS tanılı operabl hastada ilk tercih edilen tedavi trakeal rezeksiyon ve u? uca anastomoz (TRA). Grillo ve arkadaşlarının ?alışmasında 503 hastanın %93.7'sinde cerrahi sonrası başarı oranı %94 olarak bulunmuştur. Cerrahi sonrası en sık rastlanan komplikasyonlar gran?lasyon dokusu oluşumu (%9.7), yara yeri infeksiyonu (%3), glottik disfonksiyon (%2.2), a?ılma ve restenozis (%5.7)'dir. Mortalite oranı %2.4 olarak saptanmıştır (25).

İlk tercih edilen cerrahi y?ntem TRA iken, krikotrakeal rezeksiyon (KTR)'da uygulanabilmektedir. KTR'de başarı oranı olduk?a y?ksektir (%96.6), mortalite oranı %3.3't?r (26). PETS'de ilk tercih edilen tedavi cerrahi olsa da acil durumlarda (ki bu konuda genel kabul trakea ?apının 5 mm'den daha dar olduğu durumlardır) ve cerrahi tedavi olamayacak hastalarda bronkoskopik y?ntemler tercih edilebilir. Acil olmayan durumlarda, cerrahi bir kontrendikasyonu olmayan hastalarda darlığın kalıcı tedavisi olarak bronkoskopik y?ntemlerin se?ilmesi konusu hala tartışmalıdır. Ancak acil durumlarda trakeal darlığın hızla ortadan kaldırılması ve operasyona kadar hastaya zaman kazandırılması i?in bronkoskopik dilatasyon tercih edilmeli ve acil trakeostomiden ka?ınılmalıdır. B?yle bir durumda fiberoptik bronkoskopi değil? direkt rijid bronkoskopi ile işlem uygulanmalıdır ya da fiberoptik bronkoskop kullanılsa bile rijid bronkoskop hemen uygulayıcının yanı başında hazır olmalıdır (19,22,27,28). PETS'nin bronkoskopik tedavisinde ilk aşamadaki ama? hava yolunun a?ıklığının sağlanması ve sonrasında hava yolunun a?ıklığının korunmasıdır.

Hava Yolu A?ıklığının Sağlanması

Hava yolunun a?ıklığının sağlanmasında kullanılan metotları ?? grupta toplayabiliriz:

Mekanik dilatasyon (rijid t?p?n kendisi, balon, buji ve kesi),

Soğuk y?ntemler (kriyoterapi),

Sıcak y?ntemler [argon plazma koag?lasyon (APC), laser, elektrokoter] (29).

Mekanik dilatasyon: Artan ?apta rijid t?pler kullanılarak yapılan bu dilatasyon y?ntemi hızlı yanıt alınması, kısa s?re i?erisinde yapılabilir olması, tekrarlanabilir olması nedeniyle hayat kurtarıcı ?zelliğiyle de en sık kullanılan, tecr?beli ellerde yapılırsa da olduk?a g?venli olan bir y?ntemdir (Resim 9). Balon kateter ve buji ile darlık b?lgesi dilate edilebilir. Yine web-like stenozlarda kullanılabilen, saat 11 ve 13 hizalarında darlık alanına kesi yapılması da bir diğer tercih edilen y?ntemdir. Mekanik dilatasyon y?ntemlerinin başarı oranı %40-100'd?r. Laserasyon, r?pt?r, pn?motoraks, pn?momedastinum, hemoraji gibi komplikasyonlar g?r?lebilir (30).


Resim 9

Soğuk Y?ntemler:

Kriyoterapi: İ?erisinde nitr?z oksit, karbondioksit ve sıvı nitrojen ihtiva eden dondurma y?ntemidir. -40, -60 dereceye kadar dokuyu soğutur. İ?erisinde su i?eren dokularda koag?lasyon nekrozuna yol a?arak etki eder. Etkisi ge? ortaya ?ıkar. ?alışmalarda ?ok etkili bulunmasa da işlem tekrar sıklığını azalttığına dair veriler mevcuttur (29,31,32).

Sıcak Y?ntemler:

Argon plazma koag?lasyon: Direkt temas gerektirmeyen, kullanımı kolay, hızlı etki eden, trakea duvarında derin penetrasyonu olmadığı i?in d?ş?k komplikasyon ve kanama riskine sahip bir termal tedavi y?ntemidir. PETS'de de kullanıma uygundur (29,33).

Elektrokoter: Darlık alanını saat 3, 6 ve 9 y?nlerinde keserek, koag?le eden bir diğer termal tedavi y?ntemidir. Ancak perforasyon riski y?ksek olduğu i?in ?ok dikkatli kullanılmalıdır, t?m diğer termal tedavi y?ntemlerindeki gibi kanama a?ısından g?venli bir y?ntemdir (29,34).

Laser: İşlem yapılan alanı koag?le ederek etki eden bu y?ntem hızlı etkili olması, d?ş?k kanama riski nedeniyle PETS'de tercih edilebilecek y?ntemlerdendir. Nd-YAG, CO2, Diot olmak ?zere farklı tipleri vardır (29,35).

Hava Yolu A?ıklığının Korunması

Hava yolu a?ıklığı sağlandıktan sonraki aşamada hava yolunun a?ıklığının devamı sağlanmalıdır. Bu ama?la kullanılan y?ntemler ise stentler, mitomisin-C ve steroid kullanımıdır.

Stentler: Cerrahiyi kabul etmeyen ya da inoperabl olgularda hem palyasyon, hem k?r, hem de bazı hastalarda cerrahiye kadar ge?ecek zamanda hastaya zaman kazandırmak ama?lı, hava yolunda a?ıklık sağlamak ve hava yoluna destek ama?lı kullanılan ara?lardır. Hızlı etkili bir tedavi y?ntemidir. Metal ve silikon olmak ?zere iki ?eşit stent vardır. PETS'ler benign nedenli stenozlar olduğu i?in gereğinde ?ıkarılabileceğinden uygulamada metal stentler değil silikon stentler tercih edilir (Resim 10). Stenozun uzunluğu dikkate alınarak d?z stentler (silikon, polifleks) kullanılabilir (Resim 11).


Resim 10

Resim 11

 

Ge?mişte kullanılan d?z trakeal silikon stentlerde migrasyon sık iken, artık g?n?m?zde kum saati şekilli silikon stenotik stentlerin kullanıma girmesiyle bu risk de olduk?a azalmıştır (36-38) (Şekil 4) (Resim 12,13,14,15,16,17).


Şekil 4

Resim 12

Resim 13

Resim 14

Resim 15

Resim 16

Resim 17

Mitomisin-C: DNA sentezini inhibe ederek, fibroblast ve kollajen proliferasyonunu engelleyen antrasiklin antibiyotiktir. Topikal olarak kullanılan, uygulaması kolay ve kısa olan, ge? etkisi ortaya ?ıktığı iddia edilen bir ajandır. PETS'de efektivitesi ş?pheli olmakla birlikte yukarıda bahsettiğimiz diğer tedavilerle kombine kullanımının tedavide başarıyı artırdığına dair bulgular vardır. Merkezden merkeze değişen, 0.4 mg/mL ile 2.0 mg/mL arasında değişen dozlarda kullanımı bildirilmiştir (39).

Kortikosteroidler: Kortikosteroidlerin PETS'de tek başına kullanımı s?z konusu değildir. Diğer tedavi se?enekleri ile kombine edilerek kullanılır. Sık tekrarlanan bronkoskopik dilatasyon sayısını, rezeke edilecek darlık alanını ve cerrahi rezeksiyon gereksinimini azalttığına dair ?mit verici bilgiler vardır (40).

Multimodalite Tedavinin ?nemi

Şu ana kadar bahsedilen endoskopik tedaviler tek başlarına elbette uygulanabilir. Ancak multimodalite tedavi dediğimiz, birden fazla tekniğin bir arada kullanıldığı durumlarda tedavi başarısının daha y?ksek olduğu bilinmektedir (22,41,42).

POSTENT?BASYON TRAKEAL STENOZLARDA TAKİP

Web-like (basit) PETS'lerde ve kompleks tip PETS'de tedavi ve takip farklıdır. Web-like stenozu olan bir hastada tedavide ilk se?enek girişimsel bronkolojik yaklaşımdır. Darlık alanı artan ?apta rijid t?plerle dilate edilir. Topikal uygulamalarla tedavi kombine edilir. Belirli aralıklarla ve hastanın semptomları gerektirdik?e bronkoskopi, solunum fonksiyon testi ve radyolojik kontrolleri planlanır. Genelde girişimsel işlem sonrası d?nemde 24 aylık bir takip ?nerilir ve bu takip s?resi i?erisinde darlıkta rek?rrens yoksa hasta takipten ?ıkarılır. Ancak tekrarlayan darlık durumunda bronkoskopik dilatasyon ?? kereye kadar tekrarlanır. ??ten fazla dilatasyon gerektiğinde artık hasta kompleks tipte stenoz gibi ele alınarak; cerrahiye uygunluk a?ısından değerlendirilir. Cerrahi olamayacaksa stent yerleştirilir. Kompleks tip stenozlarda ise hasta ?ncelikle cerrahi a?ısından değerlendirilmelidir. Cerrahiye uygun hastalara TRA uygulanır. Cerrahiye uygun olmayan ya da cerrahiyi kabul etmeyen hastalara dilatasyonun ardından stent uygulaması yapılır. İnoperabl hastalar stent ile 24 aya kadar takip edilir. Bu s?re i?erisinde stentin ?ıkarılması denenebilir. Ancak bu deneme ile ilgili belirtilmiş literat?rde net bir s?re olmamasına rağmen 6. ayda uygun s?re olarak belirtilmektedir. Darlıkta n?ks olursa tekrar uygulanabilir. İlk uygulama anında operabl olmayan hastalar, takiplerinde operabl hale gelmeleri durumunda 6 ay-1 yıl sonra stent ?ıkarılmadır. Stent ?ıkarıldığında rek?rrens gelişirse hasta cerrahi a?ıdan tekrar değerlendirilmelidir (Şekil 5) (22,43,44).


Şekil 5

KAYNAKLAR

  1. Lorenz RR. Adult laryngotracheal stenosis: etiology and surgical management. Current Opin Otolaryngol 2003;11:467-72.
  2. Stauffer JL, Olson DE, Petty TL. Complications and consequences of endotracheal intubation and tracheotomy: a prospective study of 150 critically ill adult patients. Am J Med 1981;70:65-76.
  3. Geffin B, Grillo HC, Cooper JD, Pontoppidan H. Stenosis following tracheostomy for respiratory care. JAMA 1971;216:1984-8.
  4. Esteller-Mor? E, Iba?ez J, Mati?? E, Adem? JM, Nolla M, Quer IM. Prognostic factors in laryngotracheal injury following intubation and/or tracheotomy in ICU patients. Eur Arch Otorhinolaryngol 2005;262:880-3.
  5. Kastanos N, Estopa Miro R, Marin Perez A, Xaubet Mir A, Agusti-Vidal A. Laryngotracheal injury due to endotracheal intubation: incidence, evolution, and predisposing factors. A prospective long-term study. Crit Care Med 1983;11:362-7.
  6. Herraka L, Ahidb S, Abouqalb R, Lescotc B, Gharbic N. Tracheal stenosis after intubation and/or tracheostomy. Egyptian Journal of Chest Diseases and Tuberculosis 2014;63:233-7.
  7. Mathias DB, Wedley JR. The effects of cuffed endotracheal tubes on the tracheal wall. Br J Anaesth 1974;46:849-52.
  8. House JC, Noordzij JP, Murgia B, Langmore S. Laryngeal Injury From Prolonged Intubation: a prospective analysis of contributing factors.? Laryngoscope 2011;121:596-600.
  9. Papla B, Dyduch G, Olechnowicz WFH. Post-intubation tracheal stenosis-morphological-clinical investigations. Pol J Pathol 2003;54:261-6.
  10. Ernst A, Silvestri GA, Johnstone D. Interventional pulmonary procedures: guidelines from the american college of chest physicians. Chest 2003;123:1693-717.
  11. Grillo HC, Cooper JD, Geffin B, Pontoppidan H. A low-pressure cuff for tracheostomy tubes to minimize tracheal injury. A comparative clinical trial. J Thorac Cardiovasc Surg 1971;62:898-907.
  12. De S, De S. Post intubation tracheal stenosis. Indian J Crit Care Med 2008;12:194-7.
  13. Zias N, Chroneou A, Tabba MK, Gonzales AV, Gray AW, Lamb CR, et al. Post tracheostomy and post intubation tracheal stenosis: report of 31 cases and review of the literat?re. BMC Pulm Med 2008;8:18.
  14. Poetker DM, Ettema SL, Blumin JH, Toohill RJ, Merati AL. Association of airway abnormalities and risk factors in 37 subglottic stenosis patients. Curr Opin Oltolaryngol Head Neck Surg 2006;135:434-7.
  15. Nicolli EA, Carey RM, Farquhar D, Haft S, Alfonso KP, Mirza N. Risk factors for adult acquired subglottic stenosis. The Journal of Laryngology&Otology 2017;131:264-7.
  16. Schweigera C, Manicaa D, Pereirab DRR, Carvalhob PRA, Pivab JP, Kuhla G, et al. Undersedation is a risk factor for the development of subglottic stenosis in intubated children. J Pediatr (Rio J) 2017;93:351-5.
  17. Morshed K, Trojanowska A, Szymanski M, Trojanowski P, Szymanska A, Smolen A, et al. Evaluation of tracheal stenosis: comparison between computed tomography virtual tracheobronchoscopy with multiplanar reformatting, flexible tracheofiberoscopy and intra-operative findings. Eur Arch Otorhinolaryngol 2011;268:591-7.
  18. Ranu H, Wilde M, Madden B. Pulmonary Function Tests. Ulster Med J 2011;80:84-90.
  19. Bacon JL, Patterson CM, Madden BP. Indications and interventional options for non-resectable tracheal stenosis. J Thorac Dis 2014;6:258-70.
  20. Begnaud A, Connett JE, Harwood EM, Jantz  MA, Mehta HJ. Measuring central airway obstruction. What Do Bronchoscopists Do? Ann Am Thorac Soc 2015;12:85-90.
  21. Ernst A, Silvestri GA, Johnstone D. Interventional pulmonary procedures: guidelines from the american college of chest physicians. Chest 2003;123:1693-717.
  22. Brichet A, Verkindre C, Dupont J, Carlier ML, Darras J, Wurtz A, et al. Multidisciplinary approach to management of postintubation tracheal stenosis. Eur Respir J 1999;13:888-93.
  23. Myer CM, O'Connor DM, Cotton RT. Proposed grading system for subglottic stenosis based on endotracheal tube sizes. Ann Otol Rhinol Laryngol 1994;103:319-23.
  24. McCaffrey TV. Classification of laryngotracheal stenosis. Laryngoscope 1992;102:1335-40.
  25. Grillo HC, Donahue DM. Post intubation tracheal stenosis. Semin Thorac Cardiovasc Surg 1996;8:370-80.
  26. Ahn HY, Cho JS, Kim YD, Hoseok I. Surgical outcomes of postintubational posttrachestomy tracheal stenosis: report of 18 cases in single instutition. Ann Thorac Cardiovasc Surg 2015;21:14-7.
  27. Foccoli P, Scappaticci E, Rea F, Revello F, Bezzi M, Cavaliere S. Management of post-intubation and/or tracheotomy tracheal stenoses. Monaldi Arch Chest Dis 2011;75:182-5.
  28. Rahman NA, Fruchter O, Shitrit D, Fox BD, Kramer MR. Flexible bronchoscopic management of benign tracheal stenosis: long-term follow-up of 115 patients. J Cardiothorac Surg 2010;5:2.
  29. Sachdeva A, Pickering EM, Lee HJ. From electrocautery, balloon dilatation, neodymiumdoped:yttrium-aluminum-garnet (Nd:YAG) laser to argon plasma coagulation and cryotherapy. J Thorac Dis 2015;7:363-79.
  30. Oh SK, Park KN, Lee SW. Long term results of endoscopic dilatation for tracheal and subglottic stenosis. Clin Exp Otorhinolaryngol 2014;7:324-8.
  31. Jung YR, Jeong JT, Lee MK, Kim SH, Yong SJ, Lee SJ, et al. Recurred post-intubation tracheal stenosis treated with bronchoscopic cryotherapy. Intern Med 2016;55:3331-5.
  32. Bhora FY, Ayub A, Forleiter CM, Huang CY, Alshehri K, Rehmani S, et al. Treatment of benign tracheal stenosis using endoluminal spray cryotherapy. JAMA Otolaryngol Head Neck Surg 2016;142:1082-7.
  33. Jabbardarjani H, Kiani A, Sheikhi N. Argon plasma coagulation in treatment of postintubation tracheal stenosis. J Lasers Med Sci 2011;2:49-53.
  34. The electrosurgical knife in an optimized intermittent cutting mode for the endoscopic treatment of benign web-like tracheobronchial stenosis. Lutz Freitag and All. Archivos de Bronconeumologia 2012.
  35. Gelb AF, Epstein JD. Nd-YAG laser treatment of tracheal stenosis. West J Med 1984;141:472-5.
  36. Dutau H, Maldonado F, Laroumagne S, Astoul P. Silicone stents, the rigid bronchoscope, and the standard of care in central airway stenosis. Curr Respir Care Rep 2012;1:46-53.
  37. Vergnon JM, Costes F, Polio JC. Efficacy and tolerance of a new silicone stent for the treatment of benign tracheal stenosis preliminary results. Chest 2000;118:422-6.
  38. D?az-Jim?nez JP, Castro MJ, Moya JA. Silicone stents in the management of benign tracheobronchial stenoses tolerance and early results in 63 patients. Chest 1996;109:626-9.
  39. Jose RS, Heinrich DB. Bronchoscopic application of mitomycin-c as adjuvant treatment for benign airway stenosis. Journal of Bronchology&Interventional Pulmonology 2011;18:53-5.
  40. Shadmehr MB, Abbasidezfouli A, Farzanegan R, Pejhan S, Daneshvar A, Sheikhy K, et al. The role of systemic steroids in postintubation tracheal stenosis: a randomized clinical trial. Ann Thorac Surg 2017;103:246-53.
  41. Mehta AC, Lee FY, Cordasco EM, Kirby T, Eliachar I, De Boer G. Concentric tracheal and subglottic stenosis: management using the Nd-YAG laser for mucosal sparing followed by gentle dilatation. Chest 1993;104:673-7.
  42. Fuller MA, Sigler M, Kambali S, Alalawi R. Successful treatment of post-intubation tracheal stenosis with balloon dilation, argon plasma coagulation, electrocautery and application of mitomycin C. The South West Respiratory and Critical Care Chronicles 2015;3:14-8.
  43. Melkane AE, Matar NE, Haddad AC, Nassar MN, Almoutran HG, Rohayem Z, et al. Management of postintubation tracheal stenosis: appropriate ındications make outcome differences. Respiration 2010;79:395-401.
  44. Galluccio G, Lucantoni G, Battistoni P, Paone G, Batzella S, Lucifora V, et al. Interventional endoscopy in the management of benign tracheal stenoses: definitive treatment at long-term follow-up. Europian Journal of Cardio-thoracic Surgery 2009;35:429-34.

Yazışma Adresi (Address for Correspondence)

Dr. Efsun Gonca UĞUR CHOUSEIN

İstanbul Yedikule G?ğ?s Hastalıkları ve

G?ğ?s Cerrahisi Eğitim ve Araştırma Hastanesi,

G?ğ?s Hastalıkları Kliniği,

İSTANBUL - T?RKİYE

e-mail: efsungoncachousein@yahoo.com

Yazdır