Yazdır

OLGU SUNUMU
CASE REPORT

Doi: 10.5578/tt.46502
Tuberk Toraks 2018;66(1):72-75

Gelis Tarihi/Received: 25.12.2016 • Kabul Edilis Tarihi/Accepted: 02.01.2017

Anti-TNF tedavi ile ilişkili lupus like sendromu

Elvan ŞENT?RK1, Savaş ?ZSU1, Erhan ?APKIN2, Atilla T?RKYILMAZ3


1 Karadeniz Teknik ?niversitesi Tıp Fak?ltesi, G?ğ?s Hastalıkları Anabilim Dalı, Trabzon, T?rkiye

1 Department of Chest Diseases, Faculty of Medicine, Karadeniz Technical University, Trabzon, Turkey

2 Karadeniz Teknik ?niversitesi Tıp Fak?ltesi, Fiziksel Tıp ve Rehabilitasyon Anabilim Dalı, Trabzon, T?rkiye

2 Department of Physical Medicine and Rehabilitation, Faculty of Medicine, Karadeniz Technical University, Trabzon, Turkey

3 Karadeniz Teknik ?niversitesi Tıp Fak?ltesi, G?ğ?s Cerrahisi Anabilim Dalı, Trabzon, T?rkiye

3 Department of Chest Surgery, Faculty of Medicine, Karadeniz Technical University, Trabzon, Turkey

?ZET

Anti-tnf tedavi ile ilişkili lupus like sendromu

Elli altı yaşında erkek hasta; gece terlemesi, nefes darlığı, ?ks?r?k, sarı renkli balgam ve ateş şikayetiyle başvurdu. ?zge?mişinde, ankilozanspondilit nedeniyle t?m?r nekroz fakt?r?-alfa (TNF-a) antagonisti (etanersept) kullanım? ?yk?s? vardı. Postero-anterior akciğer grafisinde; sağ sin?s k?nt, sağ diyafragma ?st?nde diyafragmadan perifere uzanan atelektazi ile uyumlu lineer opasite, sol plevral ef?zyon, sol orta bazal parakardiyak opasite mevcuttu. Toraks tomografisinde; perikardiyal ve plevral ef?zyon ve komşu akciğer parankiminde kompresif atelektazi saptandı. Sitolojik incelemede lenfosit hakimiyeti saptandı. Plevra biyopsisinde aktif kronik pl?ritis ve fibrin?z eks?da, bening sitoloji olarak raporlandı. Olguda anti-TNF bağlı lupus nedeniyle gelişen pl?rezi d?ş?n?ld?. ?? g?n 100 mg prednol uygulandı. Bir ay sonraki kontrolde, sıvıda belirgin gerileme saptandı.

Anahtar kelimeler: Anti-TNF, lupus, plevral ef?zyon

SUMMARY

Lupus-like syndrome in patients treated with anti-tnf-a factors

A 56-year-old male patient presented with history of complaints of night sweats, short ness of breath, cough and yellow sputum, fever. There was a history of tumor neurosis factor-alpha (etanercept) due to ankylosing spondylitis. Postero-anterior chest X-ray; the right sinus was blunt, the right diaphragm had linear opacity compatible with atelectasis extending from the diaphragm to the periphery, left pleural effusion, left middle basal paracardiac opacity. In thorax tomography; pleural effusion and pericardial effusion and compressive atelectasis in the adjacent lung parenchyma were detected. Lymphocyte dominance had in cytological examination. Active chronic pleuritis and fibrinous exudate as benign cytology were reported in pleural biopsy. We are thought to develop pleurisy due to anti TNF-induced lupus like syndrome. 100 mg prednol was applied for three days. One month later the control was found toregress in the filter.

Key words: Anti-TNF, lupus, pleural effusion

Geliş Tarihi/Received: 25.12.2016 - Kabul Ediliş Tarihi/Accepted: 02.01.2017

GİRİŞ

İlaca bağlı lupus, lupus eritematozusun bir formudur. İlacın kesilmesi ile hastalık bulguları g?nler, aylar i?inde ortadan kalkmasına rağmen bazen iyileşme gecikebilmekte ve ek tedavi ihtiyacı olmaktadır (1). Son yıllarda yeni biyolojik ajanların ve anti-sitokin tedavilerin g?ndemde olmasıyla birlikte ilaca bağlı lupus g?r?lme sıklığı artmış, 100'den fazla ilacın lupus benzeri klinik bulgulara yol a?tığı bildirilmiştir. İlaca bağlı lupusun yıllık insidansı, Amerika Birleşik Devletleri'nde 15.000-20.000 yeni olgu olarak tespit edilmiştir. T?m lupuslu olguların %6-12'sini ilaca bağlı lupus grubu oluşturmaktadır (2).

İlaca bağlı lupusun etyopatogenezinde otoantikorların varlığı ?zerinde durulmaktadır. İlaca bağlı lupus gelişen olgularda, histon proteinlerine karşı oluşan antihiston antikorları bulunmaktadır. Yapılan bir ?alışmada, prokainamid, hidralazin, klorpromazin ve kinidin alan olguların %95'inde anti-histon antikorları saptanırken, diğer otoantikorlar tespit edilmemiştir. Bununla beraber idiyopatik SLE'li olgularda %80 oranında antihiston antikorları g?r?l?rken, DNA ve ribon?kleoproteinlere karşı gelişen otoantikorlar da tespit edilmiştir (3). ?ift sarmallı DNA'ya karşı oluşan anti-ds DNA antikorları, prokainamid, hidralazin ve izoniazid gibi ila?lara bağlı lupus tablosunda saptanmadığı halde, interferon-a (IFN-a) ve t?mor nekroz fakt?r?-a (TNF-a) inhibit?rleri tedavisinde rastlanmaktadır (4).

TNF-a, hem idiyopatik hem de infeksiyona bağlı yangısal olayların d?zenlenmesinde ?nemli rol oynayan bir sitokindir. İnfeksiyonlarda anahtar rollerinden biri, invaziv infeksiyonun kontrol edilmesinde h?creler arası iletişimin kolaylaştırılmasıdır. Bekleneceği gibi, TNF-a inhibe edildiğinde, ciddi infeksiyonların gelişmesi kolaylaşır ve bir kez geliştikten sonra ortadan kaldırılması zorlaşır (5). TNF-a, aynı zamanda otoimm?n hastalıklarda da rol oynayabilir. Romatoid artrit, ankilozan spondilit, ps?riyatik artrit, Crohn hastalığı ve juvenil romatoid artrit gibi hastalıkların tedavisinde, TNF-a antagonistlerinin y?ksek oranda etkin olduğu klinik calışmalarda g?sterilmiştir (5,6).

Bu yazıda, TNF-a antagonisti kullanımına bağlı pl?rezi gelişen olgu literat?r eşliğinde sunulmuştur.

Olgu sunumu

Elli altı yaşında erkek hasta; bir aydır olan nefes darlığı, 15 g?nd?r olan ?ks?r?k ve sarı renkli balgam, iki g?nd?r olan ateş ve miyalji şikayetiyle başvurdu. ?z ge?mişinde hipertansiyon, diyabet, 15 yıldır ankilozan spondilit (AS) ?yk?s? mevcuttu. Hastanın infliksimab 400 mg 4 yıl boyunca iki ayda bir kullanma ?yk?s? mevcuttu. İnfliksimab yanıtsızlık nedeniyle 50 mg/hafta etanersept kullanımına ge?ilmiş, 10 ay s?reyle tedavi g?rmekteydi. 2011 yılında t?berk?lin cilt testi 23 mm bulunması sonucu 9 ay s?reyle INH profilaksisi almıştı. Fizik muayenede; genel durumu orta, bilinci a?ık, koopere ve oryante idi. Solunum sistemi muayenesinde solunum seslerinda sağ bazal raller? mevcuttu. Diğer sistem muayeneleri doğaldı. Periferik sat?rasyonu %92 idi, solunum sayısı 30/dk idi. Postero-anterior akciğer grafisinde; sağ sin?s k?nt, sağ diyafragma ?st?nde diyafragmadan perifere uzanan atelektazi ile uyumlu lineer opasite, sol plevral ef?zyon, sol orta bazal parakardiyak opasite mevcuttu (Resim 1).


Resim 1

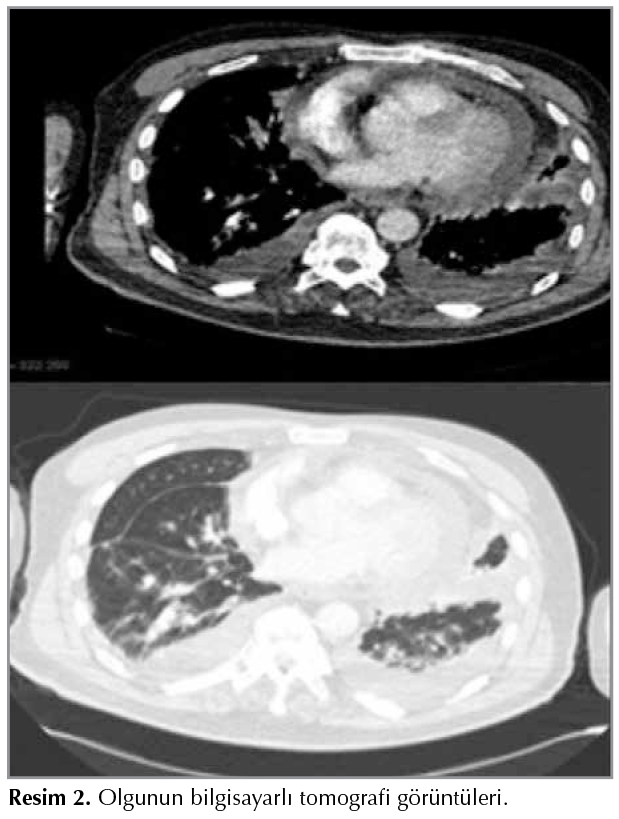
Laboratuvar testlerinde; sedimentasyon 64 mm/saat, CRP: 19 mg/dL, D-dimer 3.42 ?mg/mL; arter kan gazında; pH: 7.48, PaO2: 55 mmHg, PaCO2: 34 mmHg, HCO3: 26 mmol/L, SaO2: %89 idi. Pulmoner emboli protokol?nde toraks tomografisinde; pulmoner emboli saptanmadı perikardda en kalın yerinde 22 mm ulaşan ef?zyon her iki hemitoraksta plevral ef?zyon ve komşu akciğer parankiminde kompresif atelektazi saptandı (Resim 2).


Resim 2

Hastanın imm?nolojik değerlendirmesinde; ENA profili, ANCA, anti-CCP negatif iken anti-n?kleer antikor (++++) pozitif, anti-ds DNA? 325.5 IU/mL pozitif olarak geldi. ACE 37.1 U/L (8-52) olarak geldi. ?? kez g?nderilen balgam ARB negatif olarak geldi. Hastaya sol hemitorakstan USG eşliğinde torasentez yapıldı. Torasentez sıvısında bakılan glukoz: 97 mg/dL; total protein: 4.54 g/dL; albumin: 2.18 g/dL; LDH 609 U/L, pH: 7.52, lenfosit: 1.39 x 103 mL, n?trofil: 1.01 x 103 mL, adenozin deaminaz (ADA) d?zeyi: 25.2 U/L idi. Torasentez sıvısından bakılan t?berk?loz ARB ve PCR tetkiki negatif saptandı, k?lt?rde ?reme olmadı. Torasentez sıvı sitolojisi; lenfositler, az oranda mezotel h?creleri izlendi; benign sitoloji olarak raporlandı. Hastada ?n planda t?berk?loz pl?rezi d?ş?n?ld?ğ?nden hastaya sol hemitorakstan? VATS ekploratris, parsiyel pulmoner dekortikasyon, perikardiyal pencere a?ılması ameliyatları yapıldı. Biyopsi materyalinde t?berk?loz ARB PCR k?lt?r negatif olarak geldi. G?nderilen plevral ve perikardiyal biyopsi ?rneklerinde kronik ağırlıklı miksinflamasyon,? kapiller damar proliferasyonu, yer yer reaktif atipi bulguları birka? adet multin?kleer dev h?cre g?r?ld?. Aktif kronik pl?ritis ve fibrin?z eks?da, benign sitoloji olarak raporlandı.

Diğer nedenler dışlandıktan sonra hastada anti-TNF'ye bağlı lupus nedeniyle gelişen pl?rezi d?ş?n?ld?. ?? g?n 100 mg prednol uygulandı. Prednol azaltılarak kesildi. Hastanın tedavisine metotreksat ile devam edildi. Prednol sonrası postero-anterior akciğer grafisi tamamen d?zeldi (Resim 3).


Resim 3

TARTIŞMA

İla? ilişkili lupus eritematozus bir veya daha fazla SLE semptomları ile karşımıza ?ıkabilir. Artralji, lenfadenopati, raş, ateş gibi semptom ve bulgularla beraber ve daha ?nce otoimm?n hastalığı d?ş?nd?recek semptom ?yk?s?n?n olmaması ?nemlidir. İla? ilişkili lupus eritematozusda spesifik bir semptom yoktur.

İlk klinik ?alışmalarda anti-TNF ajanların neredeyse hi? ciddi yan etki olmaksızın g??l? bir etkisi olduğu bildirilmiştir. Fakat bunların daha yaygın kullanımı, infeksiyonlar, kanser, vask?lit, lupus benzeri otoimm?n hastalık, multipl skleroz benzeri demiyelinizan hastalıklar, karaciğer hastalığı, aplastik anemi, lenfoma, ciddi allerji ve aseptik menenjit gibi bir?ok yan etkinin ortaya ?ıkmasına neden olmuştur (5). Bu ila?ların en ?nemli yan etkilerinden birisi t?berk?lozdur. İspanya'da 2000 yılında yapılan bir ?alışmada infliksimab ile tedavi edilen hastalarda TB sıklığının 20 kat arttığı belirtilmiştir (7). İngiltere'de 2008 yılına kadar anti-TNF-a tedavisi alan 10.712 RA hastası ?zerinde yapılan ?alışmada, t?berk?loz oranlar 100.000 hasta yılı başına t?m TNF-a inhibit?rleri i?in 95, adalimumab i?in 144, infliksimab i?in 136 ve etanersept i?in 39 olarak saptanmıştır (8). Bizim hastamızın ADA d?zeyinin d?ş?k olması, torasentez sıvısından ve balgamından bakılan aside direncli basil (ARB) g?r?lmemesi ve t?berk?loz k?lt?r?n?n negatif gelmesi ?zerine t?berk?loz pl?rezi tanısı dışlanmıştır. Yine biyopside gran?lom olmaması t?berk?loz pl?rezi tanısının ekarte edilmesini sağlamıştır.

Anti-TNF-a kullanan hastalarda ?nemli bir yan etkide sarkoidoz gelişimidir. Anti-TNF-a tedavisi ile ilişkili ilk sarkoidoz olgusu 2002'de yayınlamış olup, bug?ne kadar 30'un ?zerinde olgu bildirilmiştir (9). İla? başlanması ile sarkoidoz tanısı konulması arasında ge?en ortalama s?re 20.5 ay olarak bulunmuştur (1-69 ay). Anti-TNF-a, olguların %51.6'sında RA i?in, %25.8'inde AS ve %16.1'inde ps?riyatik artrit i?in kullanılmıştır. En sık radyolojik bulgu olarak, sıklıkla pulmoner infiltratların eşlik ettiği hiler ve mediastinal lenfadenopatiler saptanmış olup, t?m olgularda tedavi ?ncesi g?ğ?s radyografisinin normal olduğu bildirilmiştir. Olguların %58.1'inde akciğer, %25.8'inde de cilt, %12.9'unda g?z tutulumu izlenmiştir. Serum ACE d?zeyi olguların 15'inde ?l??lm?ş olup bunların da 10'unda y?kseldiği bulunmuştur. Olgumuzda mediastinal LAP olmaması ve ACE d?zeyinin normal olması nedeniyle sarkoidoz d?ş?n?lmemiştir.

Ankilozan spondilitte pl?ro-pulmoner tutulum g?r?lmektedir ancak, plevral ef?zyon ve mediastinal lenfadenopati ?ok nadirdir (10). Rosenow ve arkadaşları, 2080 ankilozan spondilit hastasından ???nde ge?ici eks?datif plevral ef?zyon bildirmişlerdir (11). Literat?rde TNF-a antagonisti kullanımı sonrası ilaca bağlı lupus gelişen olgular da bildirilmiştir (12). Bu klinik durumda da plevral ef?zyon saptanabilir. Anti-TNF kullanan hastalarda lupus-like sendromu prevalansı %0.5-1 bulunmuşken infliksimab kullanan hastalarda %0.19 olarak bulunmuştur (13,14). Diğer yandan romatoid artrit nedeniyle anti-TNF kullanan hastalarda lupus-like sendromu oranı %0.1-0.6 iken, Crohnlu hastalarda %1.6 olarak raporlanmıştır (15). Ancak, ilaca bağlı lupusta genellikle ateş, artralji, miyalji, artrit, serozit ve deri d?k?nt?leri oluşur. %30-40 olguda pulmoner infiltratlar da eşlik eder (16). Olgumuzda ef?zyonun olması, beraberinde ateş, miyalji gibi sistemik semptomların bulunması ve anti-n?kleer antikor, anti-ds DNA pozitif bulunması nedeniyle TNF-a antagonisti kullanımına bağlı? lupus d?ş?n?lm?şt?r.

KAYNAKLAR

  1. Olsen NJ. Drug-induced autoimmunity. Best Practice Research Clinical Rheumatology 2004;18:677-4.
  2. Yung RL, Richardson BC. Drug-induced lupus. Rheum Dis Clin North Am 1994;20:61-86.
  3. Yung RL, Johnson KJ, Richardson BC. New concepts in the pathogenesis of drug-induced lupus. Lab Invest 1995;73:746-59.
  4. De Rycke L, Kruithof E, Van Damme N, Hoffman IE. Anti nuclear anti bodies following infliximab treatment in patients with rheumatoid arthritis or spondyl arthropathy. Arthritis Rheum 2003;48:1015-23.
  5. Botsios C. Safety of tumour necrosis factor and interleukin-1 blocking agents in rheumatic diseases. Autoimmunity Reviews 2005;4:162-70.
  6. Crum NF, Lederman ER, Wallace MR. Infections associated with tumor necrosis factor-a antagonists. Medicine 2005;84:291-302.
  7. Gomez-Reino JJ, Carmona L, Valverde VR, Mola EM, Montero MD; BIOBADASER Group. Treatment of rheumatoid arthritis with tumor necrosis factor inhibitors may predispose to significant increase in tuberculosis risk: a multicenter active-surveillance report. Arthritis Rheum 2003;48:2122-7.
  8. Dixon WG, Hyrich KL, Watson KD, Lunt M, Galloway J, Ustianowski A, et al. Drug-specific risk of tuberculosis in patients with rheumatoid arthritis treated with anti-TNF therapy: results from the British Society for Rheumatology Biologics Register (BSRBR). Ann Rheum Dis 2010;69:522-8.
  9. Kanellopoulou T, Filiotou A, Kranidioti H, Dourakis SP. Sarcoid-like granulomatosis in patients treated with anti-TNF-a factors. A case report and review of the literature. Clin Rheumatol 2011;30:581-3.
  10. King TE, Cherniak RM, Schwarz MI. The lungs and connective tissue diseases. In: Murray JF, Nadel JA (eds). Textbook of Pulmonary Medicine. 2nd ed. Philadelphia: WB Saunders Company, 1994:1865-6.
  11. Rosenow E, Strimlan CV, Muhm JR, Ferguson RH. Pleuropulmonary manifestations of ankylosing spondylitis. Mayo Clin Proc 1977;52:641-9.
  12. Benucci M, Gobbi FL, Fossi F, Manfredi M, Del Rosso A. Drug-induced lupus after treatment with infliximab in rheumatoid arthritis. J Clin Rheumatol 2005;11(1):47-9.
  13. Aringer M, Smolen JS. The role of tumor necrosis factor-alpha in systemic lupus erythematosus. Arthritis Res Ther 2008;10(1):202.
  14. De Bandt M, Sibilia J, Le Loet X, Prouzeau S, Fautrel B, Marcelli C, et al. Club rhumatismes et inflammation. Systemic lupus erythematosus induced by anti-tumour necrosis factor alpha therapy: a French national survey. Arthritis Res Ther 2005;7(3):R545-R551.
  15. Mongey AB, Hess EV. Drug insight: auto immune effects of medications: what's new? Nat Clin Pract Rheumatol 2008;4(3):136-44.
  16. Furin JJ, Johnson JL. Recent advances in the diagnosis and management of tuberculosis. Curr Opin Pulm Med 2005;11:189-94.

Yazışma Adresi (Address for Correspondence)

Dr. Savaş ?ZSU

Karadeniz Teknik ?nviversitesi Farabi Hastanesi,

G?ğ?s Hastalıkları, Anabilim Dalı,

TRABZON - TURKEY

e-mail: savasozsu@gmail.com

Yazdır