Yazdır

EDİT?RE MEKTUP
LETTER TO THE EDITOR

Doi: 10.5578/tt.48563
Tuberk Toraks 2017;65(4):344-348

Gelis Tarihi/Received: 08.08.2015 • Kabul Edilis Tarihi/Accepted: 27.01.2017

Clinical characteristics of nontuberculosis mycobacterial pulmonary
infection in immunocompetent adult patients: 6 cases

Pelin Duru ?ETİNKAYA1, Ceyda ANAR2, Serir ?ZKAN AKTOĞU2, Onur Fevzi ERER2, G?neş ŞENOL3


1 Clinic of Chest Diseases, Adana Cukurova State Hospital, Adana, Turkey

1 Adana ?ukurova Devlet Hastanesi, G?ğ?s Hastalıkları Kliniği, Adana, T?rkiye

2 Clinic of Chest Diseases, Izmir Dr. Suat Seren Chest Diseases and Surgery Training and Research Hospital, Izmir, Turkey

2 İzmir Dr. Suat Seren G?ğ?s Hastalıkları ve Cerrahisi Eğitim ve Araştırma Hastanesi, G?ğ?s Hastalıkları Kliniği, İzmir, T?rkiye

3 Clinic of Infectious Diseases and Clinical Microbiology, Izmir Dr. Suat Seren Chest Diseases and Surgery Training and Research Hospital, Izmir, Turkey

3 İzmir Dr. Suat Seren G?ğ?s Hastalıkları ve Cerrahisi Eğitim ve Araştırma Hastanesi, İnfeksiyon Hastalıkları ve Klinik Mikrobiyoloji Kliniği, İzmir, T?rkiye

Nontuberculous mycobacteria (NTM) infections are clinically significant, particularly for immuncompromised patients. However, they could also be seen in immunocompetent hosts and presented with some different clinical characteristics. We identified 6 immunocompetent male patients with a history of antituberculous treatment.

Two patients were referred with a diagnosis of multi-drug resistant tuberculosis when resistance against 4 major drugs was determined. The details of the co-morbidities, history of antituberculous therapy, and susceptibility test results of the patients are presented in Table 1. All of the patients had acid-fast bacillus (AFB) smear-positive sputum specimens. Table 2 shows the results of sputum smear for AFB and sputum and/or bronchial lavage culture for NTM.


Table 1

Table 2

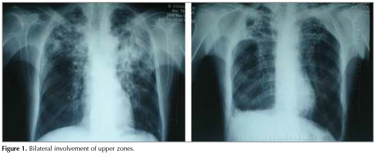
Plain chest radiography showed bilateral involvement of upper zones (Figure 1) in 5 patients, right middle zone in 1 patient, and cavity in 5 patients. Thoracic computed tomography (CT) revealed bronchiectasis in 5 patients, nodular opacities (micro-nodules with irregular borders) in 5, air cyst in 4 (as multiple air cysts, fig. 2), cavity in 3, peribronchial thickening in 3, sequelae in 4, ground-glass opacities in 3, pleural thickening in 5, minimal pleural effusion in 2, and enlargement of multiple mediastinal lymph nodes (diameter < 1 cm) in 4 (Table 3). Air cysts, bronchiectasis, and cavities were, generally, bilateral and in upper lobes whereas ground-glass opacities were seen in middle and lower lobes, and inferior and superior segments of the lingula.


Table 3

The treatment regimen of the patients was administered according to American Thoracic Society (ATS) guidelines and these regimens and the time to sputum conversion are shown in Table 4. The mean treatment duration of all six patients was 13.5 months. Five patients were successfully treated while 1 patient with Mycobacterium chelonae infection died.


Table 4

Pulmonary disease related to nontuberculous mycobacteria is quite rare in young people and those with no predisposing factor (1). The typical patient is older than 50 years of age and suffers from additional lung disorders such as chronic obstructive pulmonary disease (COPD), silicosis, bronchiectasis, tuberculosis sequelae, chronic bronchitis, pneumoconiosis, and lung cancer. Smoking is an important risk factor. A study in Turkey revealed accompanying respiratory diseases in 11 (26.2%) and non-respiratory diseases in 9 (21.4%) patients; the? main respiratory diseases were COPD, pulmonary embolism, asthma, silicosis, cystic fibrosis, and lung cancer whereas the main non-respiratory diseases were hypertension, leukemia, ischemic heart disease, cystic fibrosis, hepatitis B, and chronic renal failure (2). In this study, 5 patients had concomitant COPD while the remaining one had neither respiratory nor non-respiratory accompanying disease.

Any given patient with a positive mycobacterial culture of sputum or bronchial lavage cannot be accepted as having pulmonary NTM disease. These microorganisms colonize or contaminate essentially by entering into the body via inhaled aerosols or through contaminated drinking water (3). The interaction between mycobacteria and the body can be divided into three stages (4). The progression through stages of colonization, infection, and disease depends on several factors such as underlying comorbidity or immunodeficiency, type of the microorganism, growth rate, virulence, site of isolation, etc. In 2007, ATS defined the criteria that distinguish between colonization and disease (5). These diagnostic criteria included clinical and radiological parameters alongside microbiological criteria, expanding the criteria set in 1997. Our patients were diagnosed according to these criteria.

The most frequent HRCT findings are centrilobular nodules and cylindrical bronchiectasis (6).

ATS and BTS (British Thoracic Society) recommend use of drug susceptibility test for cases of treatment failure and relapse (7,8). Routine susceptibility testing of MAC isolates is recommended for clarithromycin only, and that of Mycobacterium kansasii isolates for rifampicin alone. Routine susceptibility tests for RGM should be against amikacin, imipenem, doxycycline, quinolones, trimethoprim/sulfamethoxazole (TMP-SMX), cefoxitin, clarithromycin, linezolid, and tobramycin (7). In our cases, drug susceptibility test was performed, and treatment was revised accordingly.

Specific treatment recommendations against species such as MAC and M. kansasii are usually more evident-based. The initial regimen recommended for MAC-related lung disease includes clarithromycin, azithromycin, ethambutol, and rifampicin, for most patients. Aminoglycosides are recommended for the initial treatment of patients with severe infections and those who underwent treatment earlier (9). Although combination therapies including amikacin and clarithromycin are generally used, the treatment of Mycobacterium abscessus can be very difficult due to development of high resistance against antituberculous drugs (9). Some studies reported the efficiency of tigecycline in the treatment of M. abscessus (10). In another study, patients with M. abscessus pulmonary disease who were treated with multi-drug antibiotic therapy and surgery or antibiotic therapy alone had similar clinical outcomes (11). However, surgical resection, in addition to antibiotics, may offer a prolonged microbiological response.

Although considerable developments have been made in the diagnosis of pulmonary disease related to nontuberculous mycobacteria, it is still difficult to point to a reliable and efficacious treatment regimen. The most important and annoying reason impeding a scientifically efficient treatment is that nontuberculous mycobacteria are not responsive to antibiotics in vivo, regardless of the results of in vitro susceptibility tests. The fact that most laboratories included in the Tuberculosis Control Program in Turkey do not perform routine identification of mycobacterial species results in a delay in the diagnosis of NTM cases, the development of resistance against either first-line antituberculous drugs or second-line drugs that would be used in NTM disease, and thus further complicating the course of treatment. The data on the real incidence and prevalence of NTM infections are limited, and there is no standard therapy regimen accepted to be efficacious in the treatment of the disease; therefore, it is obvious that randomized clinical trials in well-defined patient populations will play a larger role in understanding the disease in every aspect and in establishing the evidence-based treatment of NTM infection.

In cases with active NTM infection, the decision of treatment and the choice of drugs should be made by considering the clinical and bacteriological findings together. In cases where the expected benefit is not much more than possible toxicity and risk of drug non-compliance, supportive therapy and follow-up might be a better option.

REFERENCES

  1. Collins CH, Yates MD. Infection and colonisation by Mycobacterium kansasii and Mycobacterium xenopi: aerosols as a possible source? J Infect 1984;8:178-9.
  2. Babalık A, Kuyucu T, Ordu EN, et al. Non-tuberculous mycobacteria infection: 75 cases. Tuberk Toraks 2012;60: 20-31.
  3. Wolinsky E. When is an infection disease? Rev Infect Dis 1981;3:1025-7.
  4. Kili?aslan Z, Kuyucu T, Babalik A, et al. Non-tuberculous Mycobacterial lung diseases:? retrospective analysis of 42 cases. TurkiyeKlinikleri J Med Sci 2013;33:854-67.
  5. Griffith DE, Aksamit T, Brown-Elliott BA, et al. ATS Mycobacterial Diseases Subcommittee; American Thoracic Society; Infectious Disease Society of America. An official ATS/IDSA statement: diagnosis, treatment, and prevention of nontuberculous mycobacterial diseases. Am J Respir Crit Care Med 2007;175:367-416.
  6. Fujita J, Ohtsuki Y, Suemitsu I, et al. Pathological and radiological changes in resected lung specimens in Mycobacterium avium-intracellulare complex disease. Eur Respir J 1999;13:535-40.
  7. Diagnosis and treatment of disease caused by nontuberculous mycobacteria. This official statement of the American Thoracic Society was approved by the Board of Directors, March 1997. Medical Section of the American Lung Association. Am J Respir Crit Care Med 1997;156:1-25.
  8. Subcommittee of the Joint Tuberculosis Committee of the British Thoracic Society. Management of opportunist mycobacterial infections: Joint Tuberculosis Committee Guidelines 1999. Thorax 2000;55:210-8.
  9. Thomson RM, Yew WW. When and how to treat pulmonary non-tuberculous mycobacterial diseases. Respirology 2009;14:12-26.
  10. Wallace RJ Jr, Brown-Elliott BA, Crist CJ, Mann L, Wilson RW. Comparison of the in vitro activity of the glycylcyclinetigecycline (formerly GAR-936) with those of tetracycline, minocycline, and doxycycline against isolates of nontuberculous mycobacteria. Antimicrob Agents Chemother 2002;46:3164-7.
  11. Jarand J, Levin A, Zhang L, et al. Clinical and microbiologic outcomes in patients receiving treatment for Mycobacterium abscessus pulmonary disease. Clin Infect Dis 2011;52:565-71.

Yazışma Adresi (Address for Correspondence)

Dr. Ceyda ANAR

İzmir Dr. Suat Seren G?ğ?s Hastalıkları ve Cerrahisi

Eğitim ve Araştırma Hastanesi,

G?ğ?s Hastalıkları Kliniği,

İzmir - T?rkiye

e-mail: drceydaanar@hotmail.com

Geliş Tarihi/Received: 08.08.2015 - Kabul Ediliş Tarihi/Accepted: 27.01.2017

Yazdır