Yazdır

KISA RAPOR
SHORT REPORT

Doi: 10.5578/tt.40395
Tuberk Toraks 2017;65(4):337-341

Gelis Tarihi/Received: 01.02.2017 • Kabul Edilis Tarihi/Accepted: 27.02.2017

Nadir g?r?len bir olgu: Kikuchi-Fujimoto hastalığı

Mehtap PEHLİVANLAR K???K1, Hayriye BEKTAŞ AKSOY2, Savaş Sedat ?ZSU3, ?mit ?OBANOĞLU4, Tevfik ?ZL?3


1 Ondokuz Mayıs ?niversitesi Tıp Fak?ltesi, Anesteziyoloji ve Reanimasyon Anabilim Dalı, Yoğun Bakım Yan Dalı, Samsun, T?rkiye

1 Intensive Care Side Branch, Department of Anesthesiology and Reanimation, Faculty of Medicine, Ondokuz Mayis University, Samsun, Turkey

2 Samsun Mehmet Aydın Eğitim ve Araştırma Hastanesi, G?ğ?s Hastalıkları Kliniği, Samsun, T?rkiye

2 Clinic of Chest Diseases, Samsun Mehmet Aydin Training and Research Hospital, Samsun, Turkey

3 Karadeniz Teknik ?niversitesi Tıp Fak?ltesi, G?ğ?s Hastalıkları Anabilim Dalı, Trabzon, T?rkiye

3 Department of Chest Diseases, Faculty of Medicine, Karadeniz Technical University, Trabzon, Turkey

4 Karadeniz Teknik ?niversitesi Tıp Fak?ltesi, Tıbbi Patoloji Anabilim Dalı, Trabzon, T?rkiye

4 Department of Medical Pathology, Faculty of Medicine, Karadeniz Technical University, Trabzon, Turkey

?ZET

Nadir g?r?len bir olgu: Kikuchi-Fujimoto hastalığı

Kikuchi-Fujimoto hastalığı (KFH) genellikle kendi kendini sınırlayan benign lenf nodu tutulumları ile seyreden, etyolojisi tam olarak aydınlatılamamış bir hastalıktır. Lenf nodu tutulumlarının ?n planda olduğu ?zellikle lenfoma t?r? hastalıklarla karışabildiğinden ayırıcı tanı iyi yapılmalıdır. Kliniğimize halsizlik, eklem ağrıları, ateş, iştahsızlık, kilo kaybı, gece terlemesi semptomları ile başvuran 35 yaşında erkek hasta literat?rler eşliğinde sunulmuştur.

Anahtar kelimeler: Kikuchi-Fujimoto hastalığı, histiositik nekrotizan lenfadenit, nedeni bilinmeyen ateş

SUMMARY

A rare case: Kikuchi-Fujimoto disease

Kikuchi-Fujimoto's disease (CFD) is a disease that usually exhibits self-limited benign lymph node involvement. Etiology of illness is not fully understood.Differential diagnosis should be performed well because lymph node involvement can be confused with lymphoma type diseases. A 35-year-old male patient with weakness, joint aches, fever, loss of appetite, weight loss, night sweating symptoms presented with the literature.

Key words: Kikuchi-Fujimoto disease, histiocytic necrotizing lymphadenitis, fever of unknown origin

Geliş Tarihi/Received: 01.02.2017 - Kabul Ediliş Tarihi/Accepted: 27.02.2017

GİRİŞ

Kikuchi-Fujimoto hastalığı (KFH) veya histiyositik nekrotizan lenfadenit (HNL); iyi huylu, tanısı tutulan lenf nodunun patolojik incelenmesiyle konulan, histopatolojik incelemesinde; karyorektik n?kleer kalıntıları i?eren, nekroz alanlarını ?evreleyen lenfositik ve histiyositik h?cre topluluklarına rastlanan, etyolojisi tam olarak aydınlatılamamış bir hastalıktır (1). İlk kez 1972 yılında Japonya'da Kikuchi ve Fujimoto tarafından eş zamanlı tanımlanmış olup, sıklıkla gen? kadınlarda 4:1 oranında sık g?r?lmekle beraber klinik olarak ?zellikle servikal b?lge lenf nodlarının b?y?mesi ve ateş ile karakterizedir (2). Ayırıcı tanıda başta lenfomalar olmak ?zere malign hastalıklar, t?berk?loz, sistemik lupus eritematoz ve diğer benign durumlar d?ş?n?lmelidir (3). Sıklığı tam olarak bilinmemekle beraber Uzak Doğu Asya ?lkelerinde daha sık, ?lkemizde nadir g?r?lmektedir. Hastalık ortalama 1-6 ay i?inde spontan olarak gerilemektedir. Kanıtlanmış ve spesifik bir tedavisi yoktur (4). Olguların yaklaşık %3'?nde n?ks g?r?lmekte olup ciddi komplikasyonlar ve mortalite olduk?a d?ş?kt?r (5).????

Bu olguyu sunmaktaki amacımız klinik olarak sebebi bilinmeyen ateş ve lenfadenopati tanısıyla izlenen hastalarda, ayırıcı tanıda nadir g?r?len ve benign seyirli KFH'nin de hatırlanmasını sağlamaktır. Bu a?ıdan bakıldığında g?ğ?s hastalıkları pratiğinde de akılda tutulması gerekli bir hastalık olarak kaydedilebilir.

OLGU SUNUMU

Otuz beş yaşında erkek hasta bir aydır halsizlik, eklem ağrıları, ara ara olan ateş y?ksekliği, iştahsızlık, 1 ay i?inde 10 kilo kaybı ve gece terlemesi yakınmaları ile kurumumuza başvurdu. Solunumsal yakınması olmayan hastanın dinlemekle akciğer sesleri normaldi, yapılan sistemik muayenesinde boyun sağ lojda yaklaşık 1 cm boyutunda ağrılı, mobil lenf nodu saptandı. ?zge?mişinde bilinen kronik bir hastalığı olmadığı, 17 paket/yılı sigara kullanımı olduğu; soy ge?mişinde ise teyzesinde meme kanseri olduğu ?ğrenildi. Genel durumu iyi, bilinci a?ık, oryante ve koopere idi. PA akciğer grafisinde total vertikal uzunluk artmış, her iki kostodiyafragmatik sin?sler a?ık olup sağ hilus hafif dolgun g?r?n?mde idi (Resim 1). ?ekilen boyun tomografisinde her iki submandibuler bez komşuluğunda, her iki ?n?arka juguler zincirde yaklaşık 11 x 10 mm boyutlara ulaşan round konfig?rasyonlarda birka? adet lenf nodu ve toraks bilgisayarlı tomografi (BT)'de mediastinal 1, 2, 4R-L, 7 nolu istasyonlarda b?y?ğ? 4R'de 18 x 17 mm boyutunda multipl lenf nodları saptanan hastanın ayırıcı tanısı i?in tetkikleri istendi (Resim 2). Bu arada tetkikleri devam eden hastaya seftriakson, klaritromisin ve antiinflamatuvar tedaviler başlandı. ?nceden de ateşli olduğu d?nemlerde parasetamol preparatları ve antibiyoterapi k?rleri aldığını ifade eden hastanın genel v?cut kırgınlığı ve halsizliğinin devam ettiği sorgulamadan ?ğrenildi.


Resim 1

Resim 2

Laboratuvar tetkiklerinde; l?kosit: 4800 x 103 /L, eozinofil %0.4, Hb: 12.8 g/dL, sedimentasyon: 55 mm/saat, CRP: 6.7 mg/dL, ALT: 18 U/L, ALT: 32 U/L, Anti-HIV:? negatif, balgam ARB incelemesi negatif geldi. Yapılan t?berk?lin deri testi (TDT) negatif saptandı. Sistemik lenf nodu yapan nedenleri araştırmak amacı ile ?ekilen batın ultrasonografi (USG) normaldi, kollajen doku markerları (ANA, ANCA, anti-ds DNA), Brucella Rose Bengal testi, CMV-Rubella-Toxoplasma PCR negatifti.? HSV-1 IgM sınırda pozitif, HSV-1 IgG pozitif, EBV VCA IgG ++, EBV IgM negatif saptandı.? Viral solunum yolu panelinde ise C. pneumoniae IgM zayıf pozitif olup diğer parametreler negatif idi. Tiroid fonksiyon testleri normaldi. Hasta boyunda mobil lenf nodu saptanması nedeni ile tanısal ama?lı ?rnekleme i?in ?ncelikle kulak burun boğaz kliniğine y?nlendirildi. Sağ juguler yerleşimli 1 cm'lik lenf nodu eksizyonel biyopsi patoloji sonucu histiyositik nekrotizan lenfadenit; KFH ile uyumlu olarak raporlandı (Resim 3). Nonspesifik tedaviden 20 g?n sonra klinik olarak d?zelen, palpabl lenf nodları regrese olan hastanın kontrol PA akciğer ve toraks BT'sinde sağ hiler lenf nodunda progresyon saptanmadı (Resim 4,5). Genel durumu stabil olan hastaya ?? ay sonrasına kontrol ?nerildi.


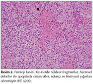
Resim 3

Resim 4

Resim 5

TARTIŞMA

KFH 1972 yılında ilk kez Kikuchi tarafından "retik?lin h?creli hiperplazi" ve daha sonra da aynı yıl i?erisinde Fujimoto tarafından "subakut nekrotizan lenfadenit" olarak tanımlanmış, genellikle servikal lenfadenopati ve ateşle seyreden bir hastalıktır (6). Tam patogenezi bilinmemekle beraber infeksiy?z bir ajana imm?n T h?cre ve histiyosit yanıtı ile meydana gelir. Tetikleyici ajanlar arasında EBV, human herpes vir?s-6 ve 8, HIV, parvovir?s B19, paramiksovir?s, parainfluenza vir?s, toksoplazma gelmektedir (7). Sitotoksik CD8+ T h?crelerin primer rol aldığı apopitotik h?cre ?l?m?, sell?ler imhada ?ncelikli mekanizmayı oluşturmaktadır (8). Histiyositler olayda g??lendirici olarak rol oynar. Apopitozis fas-fas ligand sistemi ile uyarılır. Morfolojik g?r?n?m? yaygın karyorekzis ve n?kleer artıkların eşlik ettiği yama tarzında fokal nekrotik odaklar (apopitotik body) ve bu alanların etrafında ?oğalan histiyositler, imm?noblastlar, yer yer plazma h?creleri ve T lenfositleri ile karakterizedir. IFN- ve IL-6'nın da olası rol oynayabileceği erkeklerde yapılan biyopsi ile KFH tanısı almış bir ?alışma ile kanıtlanmıştır (9).

KFH ?ncelikle kadınlarda tanımlanmasına rağmen bizim olgumuzda da olduğu ?zere erkek cinsiyette de g?r?lebilir. ?oğu hasta 40 yaşından k???k olup Amerika Birleşik Devletleri (ABD)'nde ?alışmalarda tanımlanmış ortalama yaş 30?dur. İlk olarak iki ayrı Japon olguda tanımlanmasına rağmen t?m ırk ve etnik gruplarda g?r?lebilir, nitekim ABD'de 88 KFH olgusunu i?eren bir ?alışmada, olguların %75'inin Kafkas ırkından olduğu g?r?lm?şt?r (10). En sık prezentasyonu ateş ve servikal lenf nodu ile başvuran gen? kadın hasta şeklindedir. D?ş?k şiddette, persistan ve yaklaşık bir hafta kadar devam eden ateş; bizim olgumuzda da olduğu gibi başvuru yakınmalarının %30-50?sini oluşturmaktadır. Ateş ve lenfadenopati dışında eşlik edebilen diğer sistemik semptomlar; gece terlemeleri, mide bulantısı, kusma, yaklaşık kilonun %10'unu bulan kilo kaybı, ishal olarak sıralanabilir (11). Bunların dışında ve daha az sıklıkla miyalji, artralji, g?ğ?s ve karın ağrısı, abdominal lenfadenopatiye bağlı olabilecek hepatomegali ve splenomegali g?r?lebilir (10). Hastamızda ateş ve lenfadenopatinin yanı sıra artralji-miyalji ve kilo kaybı da mevcuttu. Hastalık en sık servikal lenf nodu tutulumuyla tanımlanmasına rağmen; aksiller, epitroklear, inguinal, intraparotid, iliak, retrokrural, ??lyak, peripankreatit ve nadir olmasına karşın olgumuzda da saptadığımız şekilde mediastinal lenf nodu tutulumuyla da prezente olabilir. Olgumuzdaki gibi genelde lenf nodu boyutu 1-2 cm civarında sert, d?zg?n y?zeyli ve mobildir. Nadiren daha b?y?k boyutlara ulaşabilir (< 7 cm) (12). Aseptik menenjit, tremor-ataksi gibi akut serebellar semptomlar, pan?veit, bilateral papiller konjunktivit, otoimm?n hepatit, periferal n?ropati, brakiyal n?rit ile tanımlanmış nadir olgularda literat?rlerde mevcuttur (13). Laboratuvar bulgularına bakıldığında genelde tam kan sayımında patolojik bulgu saptanmaz, ancak karakteristik ?zellik olarak l?kopeni saptanabilir (14). Eritrosit sedimentasyon hızı %70 olguda > 60 mm/saat olabilir (15). Olgumuzda başvuru sedimentasyon hızı 55 mm/saat, periferik kan sayımında patoloji saptanmamıştı. Ateş ve lenfadenopati nedenleri araştırılan olguda serolojik ?alışmalara bakıldığında ayırıcı tanı a?ısından tetkik edilmesi gerekli kollajen doku markırları (ANA, anti-ds DNA, ANCA) ve Rose Bengal testi negatif, HSV-1 IgM sınırda pozitif, EBV-CMV, Brucella-Rubella-Toxoplasma PCR, HIV serolojileri negatifti. G?ğ?s hastalıkları pratiğinde lenf nodu ayırıcı tanısında ilk akla gelen t?berk?lozla ilgili balgam ARB-K?lt?r ve TDT negatifti. Aile ?yk?s? sorgulandığında da indeks olgu saptanmadı. Hastalığın kesin tanısı lenf nodu biyopsisi ile konulmaktadır ve ?zellikle lenfoma gibi daha ciddi durumların ekartasyonu ama?lı muhakkak yapılmalıdır. En başta ?nerilen biyopsi şekli eksizyonel biyopsidir (16,17). KFH'de mikroskobik inceleme bulguları; nodal yapıyı bozabilen parakortikal alanda koag?lasyon nekrozuna sekonder bol miktarda karyorektik debrisler ve farklılaşmış histiyositledir. Perinodal infiltrasyon sıktır, kaps?lde infiltre olabilir. Koag?lasyon nekrozu KFH tanısı i?in ?n koşul değildir. Artmış mitotik aktiviteye sahip fok?sler histiyosit, plazmositik monositler (imm?nhistokimyasal ?alışmalarda CD68 +) imm?noblastlar, lenfositler gibi farklı h?cresel tipleri kapsar, ancak karakteristik olarak n?trofiller ve plazma h?creleri g?r?lmez (17,18). KFH'nin histopatolojik bulgularının SLE lenfadenitine ?ok benzemesi nedeniyle kendini sınırlayan bir SLE formu olduğu da ?ne s?r?lmektedir (19). Bizim olgumuzun patolojisinde yaygın histiyosit h?cre infiltrasyonu, yer yer fokal nekrotik odaklar KFH ile uyumlu olarak saptanmıştı, SLE markırları ve periferik kan tablosu normal; klinik olarak SLE ilişkili semptomu olmayan hastada SLE d?ş?n?lmedi. Ayrıca atipik sitolojinin ve tek tip h?cre infiltrasyonunun olmaması ile de lenfomadan ayrımı yapıldı. Genelde karakteristik histopatolojik bulgular lenf nodlarında tanımlanmasına karşın, cilt biyopsilerinde de değişken bulgular saptanabilir. Olgumuzda ateş, lenfadenopati, mediastinal lenf nodu tutulumları dışında herhangi bir tutulum saptanmamıştı.

KFH tedavisinde ise kanıtlanmış bir y?ntem yoktur.? Semptomlar ortaya ?ıktığında analjezik, antipiretiklerle semptomatik tedavi ?nerilir ve genellikle 1-4 ay i?erisinde kendiliğinden geriler. Persistan ciddi semptomları olan hastalar glukokortikoidlerle ya da intraven?z imm?nglobulinlerle tedavi edilebilirler (20). Takip eden yıllar i?inde SLE ortaya ?ıkma olasılığı y?ksek olduğu i?in semptomların yakın takibi gereklidir.

Klinik, laboratuvar ve patolojik bulgular beraber değerlendirildiğinde KFH tanısı koyduğumuz hastamızda lenf nodunun total ?ıkarılmasıyla, nonspesifik antibiyoterapi ve antiinflamatuvar tedavi ile yaklaşık 20 g?n i?inde semptomlarda anlamlı d?zelme izlendi.

Sonu? olarak; ateş, lenfadenopati ve y?ksek sedimentasyon hızı ile başvuran hastalarda g?ğ?s hastalıkları pratiğinde daha sık karşılaştığımız malign lenfomalar ve t?berk?loz gibi hastalıkların yanı sıra benign seyirli bir hastalık olan KFH da akılda tutulmalıdır.

KAYNAKLAR

  1. Dorfman RF. Histiocytic necrotizing lymphadenitis of Kikuchi and Fujimoto. Archives of Pathology & Laboratory Medicine 1987;111:1026-9.
  2. Kikuchi M. Lymphadenitis showing focal reticulum cells hyperplasia with nuclear debris and phagocytosis: A clinicopathological study. Nippon Ketsueki Gakkai Zasshi 1972;35:379-80.
  3. Chamulak GA, Brynes RK, Nathwani BN. Kikuchi-Fujimoto disease mimicking malignant lymphoma. Am J Surg Pathol 1990;14:514-23.
  4. Turner RR, Martin J, Dorfman RF. Necrotizing lymphadenitis: a study of 30 cases. Am J Surg Pathol 1983;7:115-24.
  5. Garc?a CE, Girdhar-Gopal HV, Dorfman DM. Kikuchi-Fujimoto disease of the neck update. Annals of Otology, Rhinology & Laryngology 1993;102:11-5.
  6. Aslan V, Bildirici K, Eren ?, G?lbaş Z. Kikuchi-Fujimoto Hastalığı: Olgu sunumu. T?rkiye Ekopatoloji Dergisi 2001;7:46-8.
  7. Hudnall SD, Chen T, Amr S, Young KH, Henry K. Detection of human herpesvirus DNA in Kikuchi-Fujimoto disease and reactive lymphoid hyperplasia. Int J Clin Exp Pathol 2008;1:362-8.
  8. Iguchi KS, Hideo Yamane, Kazuo Konishi, Masahiro Takayama, Yoshiaki Nakai, Takayuki Nakagawa, Shigetaro Shibata, Keizo Nishimura, Hiroyoshi. Apoptotic cell death in Kikuchi's disease: a TEM study. Acta Oto-Laryngologica 1998;118:250-3.
  9. Kubota M, Tsukamoto R, Kurokawa K, Imai T, Furusho K. Elevated serum interferon and interleukin-6 in patients with necrotizing lymphadenitis (Kikuchi's disease). Br J Haematol 1996;95:613-5.
  10. Dorfman R, Berry G. Kikuchi's histiocytic necrotizing lymphadenitis: an analysis of 108 cases with emphasis on differential diagnosis. Semin Diag Pathol 1988.
  11. Kuo TT. Cutaneous manifestation of Kikuchi's: histiocytic necrotizing lymphadenitis. Am J Surg Pathol 1990;14:872-6.
  12. Kuo TT. A clinicopathologic study of 79 cases with an analysis of histologic subtypes, immunohistology, and DNA ploidy. Am J Surg Pathol 1995;19:798-809.
  13. Kapoor S. Rare Complications of Kikuchi's Disease: Beyond Pain Control. The Korean Journal of Pain 2012;25:281-2.
  14. Song JY, Cheong HJ, Kee SY, Lee J, Sohn JW, Kim MJ, et al. Disease spectrum of cervical lymphadenitis: analysis based on ultrasound-guided core-needle gun biopsy. J Infect 2007;55:310-6.
  15. Norris AH, Krasinskas AM, Salhany KE, Gluckman SJ. Kikuchi-Fujimoto disease: a benign cause of fever and lymphadenopathy. Am J Med 1996;101:401-5.
  16. Mannar? GM, Boccato P, Rinaldo A, La Rosa F, Ferlito A. Histiocytic necrotizing lymphadenitis (Kikuchi-Fujimoto disease) diagnosed by fine needle aspiration biopsy. ORL 1999;61:367-71.
  17. Tsang WY, Chan JK. Fine-needle aspiration cytologic diagnosis of Kikuchi's lymphadenitis: a report of 27 cases. Am J Clin Pathol 1994;102:454-8.
  18. Ohshima K, Karube K, Hamasaki M, Makimoto Y, Fujii A, Kawano R, et al. Apoptosis-and cell cycle-associated gene expression profiling of histiocytic necrotising lymphadenitis. Eur J Haematol 2004;72:322-9.
  19. Papaioannou G, Speletas M, Kaloutsi V, Pavlitou-Tsiontsi A. Histiocytic necrotizing lymphadenitis (Kikuchi-Fujimoto disease) associated with antiphospholipid syndrome: case report and literature review. Ann? Hematol 2002;81:732-5.
  20. Lin D, Villegas M, Tan P, Wang S, Shek L. Severe Kikuchi's disease responsive to immune modulation. Singapore Med J 2010;51:e18-21.

Yazışma Adresi (Address for Correspondence)

Dr. Mehtap PEHLİVANLAR K???K

Ondokuz Mayıs ?niversitesi Tıp Fak?ltesi,

Anesteziyoloji ve Reanimasyon Anabilim Dalı,

Yoğun Bakım Yan Dalı, Samsun, T?rkiye

e-mail: mehtap_phlvnlr@hotmail.com

Yazdır