Yazdır

KISA RAPOR
SHORT REPORT

Doi: 10.5578/tt.50708
Tuberk Toraks 2017;65(3):249-254

Gelis Tarihi/Received: 11.02.2017 • Kabul Edilis Tarihi/Accepted: 27.02.2017

Pulmoner alveoler proteinozisli hastada iki taraflı total akciğer lavajı

M?ge ERBAY1, Yılmaz B?LB?L1, Funda ?ZTUNA1, Mehmet KILI?1, Neslihan ?Z?ELİK1, Şafak ERS?Z2


1 Karadeniz Teknik ?niversitesi Tıp Fak?ltesi, G?ğ?s Hastalıkları Anabilim Dalı, Trabzon, T?rkiye

1 Department of Chest Diseases, Faculty of Medicine, Karadeniz Tecnical University, Trabzon, Turkey

2 Karadeniz Teknik ?niversitesi Tıp Fak?ltesi, Patoloji Anabilim Dalı, Trabzon, T?rkiye

2 Department of Pathology, Faculty of Medicine, Karadeniz Tecnical University, Trabzon, Turkey

?ZET

Pulmoner alveoler proteinozisli hastada iki taraflı total akciğer lavajı

Pulmoner alveoler proteinozis (PAP) alveollerde s?rfaktan benzeri lipoprotein materyal birikimi ile karakterize nadir g?r?len bir akciğer hastalığıdır. PAP etyolojisinde; primer/idiyopatik, neonatal/konjenital, sekonder ve ekzojen/?evresel maruziyet yer alır. Radyolojik olarak yaygın buzlu cam g?r?n?m?, interlob?ler ve intralob?ler septal kalınlaşmalar g?r?l?r. Tanıda a?ık akciğer biyopsisi altın standart olarak kabul edilmekle birlikte, klinik ve radyolojik bulgular ile s?t g?r?n?ml? bronkoalveoler lavaj (BAL) sıvısı, biyopside periyodik asit shift (PAS) pozitif glob?llerin g?sterilmesi ile tanı konulabilir. Tedavide; destek tedavisi (oksijen), total akciğer lavajı, inhale/subk?tan gran?losit makrofaj koloni stim?lan fakt?r (GM-CSF), rituksimab, plazmaferez, akciğer transplantasyonu yer alır. ?ks?r?k ve nefes darlığı şikayetleri ile başvuran, BAL ve transbronşiyal biyopsi ile tanı konulan ve total akciğer lavajı ile tedavi edilen pulmoner alveoler proteinozis olgusu literat?r eşliğinde sunulmuştur.

Anahtar kelimeler: Bronkoalveoler lavaj, pulmoner alveoler proteinozis, total akciğer lavajı, periyodik asit shift

SUMMARY

Bilateral total lung lavage in a patient with pulmonary alveolar proteinosis

Pulmonary alveolar proteinosis (PAP) is a rare pulmonary disease characterised by alveolar accumulation of surfactant composed of proteins and lipids. Three main categories of PAP have been defined depending on the aetiology: primer/idiopathic, neonatal/congenital, secondary and exogenous/environmental exposure. Radiologically diffuse ground glass opacities, interlobular and intralobular septal thickening is seen. Although open lung biopsy is accepted as the gold standard in diagnosis, it can be diagnosed by showing bronchoalveolar lavage (BAL) fluid with a milky appearance and periodic acid-schiff (PAS) positive globules in biopsy with clinical and radiological findings. Theraphy for PAP are supportive care (oxygen), total lung lavage, inhale/subcutaneous granulocyte macrophage colony stimulating factor (GM-CSF), rituximab, plasmapheresis, lung transplantation. We report a case of PAP presented with cough and shortness of breath, diagnosed with BAL and transbronchial lung biopsy, treated by total lung lavage by reviewing literature.

Key words: Bronchoalveolar lavage, pulmonary alveolar proteinosis, whole lung lavage, periodic acid-schiff

Geliş Tarihi/Received: 11.02.2017 - Kabul Ediliş Tarihi/Accepted: 27.02.2017

GİRİŞ

Pulmoner alveoler proteinozis (PAP) ilk kez 1958'de Rosen ve arkadaşları tarafından tanımlanmış, nadir g?r?len, dif?z bir akciğer hastalığıdır (1). Alveollerde periyodik asit shift (PAS) pozitif boyanan fosfolipoprotein?z ?zellikteki s?rfaktan birikimi sonucunda gelişir. Nefes darlığı ve ?ks?r?k en sık g?r?len semptomlardır. PAP nadir g?r?len bir hastalık olup insidansının y?z binde 0.37 ve prevalansının milyonda 3.7 olduğu tahmin edilmektedir (2). Literat?rde 500'den az hasta rapor edilmiştir (3). Nadiren g?r?len bir hastalık olması ve total akciğer lavajı tedavisi uygulanması nedeni ile olgumuz sunulmuştur.

OLGU SUNUMU

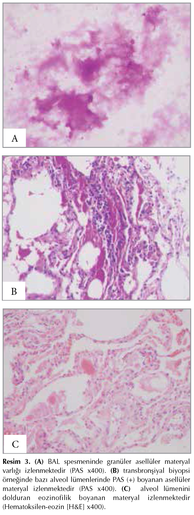
Kırk beş yaşında erkek hasta, ara ara olan ?ks?r?k ve son bir aydır artış g?steren nefes darlığı şikayetleri ile başvurdu. ?zge?mişinde 30 paket yılı sigara i?me ve inşaat iş?iliği (taş kesme) ?yk?s? mevcuttu. Solunum sistemi ve sistemik muayenesinde patolojik bulgu saptanmadı. Akciğer radyogramında, bilateral orta alt zonlarda buzlu cam opasitesi izlendi (Resim 1). Laboratuvar tetkiklerinde sedimentasyon hızı 3 mm/h, l?kosit 8.700 (x103/mL), hemoglobin 14.3 g/dL, trombosit 278.000 (x103/mL), LDH 575 U/L, CRP 0.3 mg/dL, pro-BNP 20.5 pg/mL bulundu. Hepatit markerları (HBV, HCV, HIV) negatifti. arteryel kan gazında istirahat halinde pH: 7.44, paCO2: 36.6 mmHg, paO2: 65.2 mmHg, SO2: %92.4, Alveoler-arteriyal oksijen gradienti (PA-aO2) 38.7 idi. Hafif eforla oksijensiz periferik SpO2 %84 olması nedeniyle 6 dakika y?r?me testi yapılamadı. Solunum fonksiyon testinde FEV1/FVC: %92, FEV1: %109 (3.57 litre), FVC: %91 (3.87 litre) ve akciğer karbonmonoksit dif?zyon testinde DLCO: %49 olarak saptandı. Y?ksek rezolusyonlu bilgisayarlı tomografide (YRBT) her iki akciğer parankiminde yaygın buzlu cam ve interlob?ler septal kalınlaşmalar g?zlendi (Resim 2). Dif?z parankimal akciğer hastalığı etyolojisi a?ısından hastaya bronkoskopi yapıldı ve sağ orta lob medial segmentten BAL yapıldı. BAL sıvısının beyaz renkte s?t g?r?n?m?nde olduğu izlendi. BAL histopatolojik incelemesinde, zeminde PAS (+) boyanan gran?ler materyal izlendiği, transbronşiyal biyopside (TBB) bu materyalin alveoler l?meni doldurduğu, g?r?n?m?n alveoler proteinozis i?in uyumlu olduğu raporlandı (Resim 3).


Resim 1

Resim 2

Resim 3

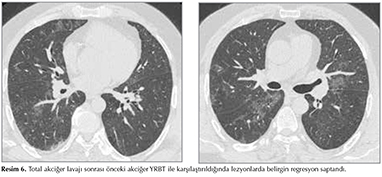
PAP tanısı ile istirahatte nefes darlığı ve hipoksemisi olan hastaya genel anestezi altında total akciğer lavajı planlandı. İlk seansda ameliyathanede ?ift l?menli endotrakeal t?p yoluyla sol akciğer yukarıda kalacak şekilde hasta lateralde k?bit pozisyona getirilerek total akciğer lavajı uygulandı. Sol akciğere her seferinde 500 cc ısıtılmış (37?C) serum fizyolojik (SF, %0.9 NaCl) verildi, ara ara t?p klemplenerek, g?ğ?s perk?syonu yapıldı ve sonrasında hasta trandelenburg pozisyonuna getirilerek sıvı boşaltıldı. Gelen sıvı berraklaşıncaya kadar işleme devam edildi ve toplam dokuz litre SF kullanıldı (Resim 4). İşlemle ilgili herhangi bir komplikasyon gelişmedi. Hastaya iki g?n sonra aynı işlem sağ akciğer i?in uygulandı ancak bu kez toplam 20 litre SF kullanıldı. İşlemle ilgili herhangi bir komplikasyon gelişmeyen hasta 48 saat g?zlem sonrasında taburcu edildi. On beş g?n sonraki kontrol akciğer radyogramında buzlu cam opasitelerde belirgin regresyon mevcuttu (Resim 5). Kontrol 6 dakika y?r?me testinde belirgin iyileşme (mesafe, bitiş saturasyonu) saptandı (başlangı? SpO2 %97, bitiş SpO2 %92, 396 metre y?r?d?). İşlemden d?rt ay sonra ?ekilen kontrol YRBT'de sağ akciğer ?st lobda, orta lob lateral segmentte ve alt lobda, sol akciğer ?st lobda ve alt lob mediobazal segmentte buzlu cam dansiteleri ve interlob?ler septal kalınlaşma izlendi ve hastanın ?nceki akciğer YRBT tetkiki ile karşılaştırıldığında akciğerdeki lezyonlarda belirgin regresyon saptandı (Resim 6). Hasta halen 12 aydır ek tedavi uygulanmaksızın klinik ve radyografik olarak stabil takip edilmektedir.


Resim 4

Resim 5

Resim 6

TARTIŞMA

PAP olguları beklendiği ?zere genellikle nefes darlığı, ?ks?r?k ve radyografide iki taraflı kelebek kanadı şeklinde santral yerleşimli, orta ve alt zonlarda, bilateral simetrik alveoler opasiteler ile başvurmaktadırlar. Alveollerin lipoprotein yapılı materyalle dolması nedeniyle hastalarda YRBT'de yaygın buzlu cam g?r?n?m?,? interlob?ler septal ve intralob?ler interstisyel kalınlaşmalar (crazy paving patern, kaldırım taşı g?r?n?m?) saptanmaktadır. Bu patern hastaların %75'inde g?r?lmektedir (4). Aynı g?r?n?m PAP dışında farklı hastalıklarda da saptanabilmektedir: Kardiyojenik pulmoner ?dem, alveoler hemoraji, akciğer infeksiyonu (mikoplazma, pneumocystis), eksojenli poid pn?moni veya bronkoalveoler karsinom gibi. Ancak olgumuzda olduğu gibi s?t rengi tipik BAL g?r?n?m? ve BAL sıvısının PAS + boyanması ve biyopside l?meni dolduran eozinofilik materyalin g?r?lmesi ile diğerlerinden kolayca ayırt edilebilmektedir. Tanıda a?ık akciğer biyopsisi altın standart olarak kabul edilmekle birlikte, Costabel ve Guzman s?t g?r?n?ml? BAL sıvısı ile birlikte PAS pozitif glob?llerin g?sterilmesi durumunda biyopsi gerekliliği olmadığını savunmaktadır (5). Bizim olgumuzda da a?ık akciğer biyopsisine gerek duyulmadan BAL ve TBB ile kolaylıkla tanıya gidilmiştir.

PAP bilindiği ?zere d?rt başlık altında sınıflandırılmaktadır (6):

1. Primer/idiyopatik,

2. Neonatal/konjenital,

3. Sekonder,

4. Ekzojen/?evresel maruziyete bağlı.

Sekonder form en sık kronik miyelositik l?semi ve miyelodisplastik sendroma eşlik etmektedir. ?evresel maruziyete bağlı/ekzojen form ise genellikle silika tozu, odun, kereste tozu, al?minyum tozu, ?imento tozları maruziyeti sonrası gelişmektedir. Olgumuz inşaat ve taş yontma iş?iliği ile uğraşması, hematolojik ya da imm?ns?presif hastalığının olmaması dikkate alınarak ?ncelikli olarak ?evresel/mesleki maruziyete bağlı form olan silikoproteinozis olarak değerlendirilmiştir. Literat?re g?z atıldığında, olguların %90'ında primer PAP g?r?ld?ğ?, ancak %5-10 kadarının sekonder form PAP olduğu bildirilmektedir (7).

Hastalığın tedavisi b?y?k oranda hastalığın şiddeti ile ilişkilidir. Tedavi se?enekleri arasında; destek tedavisi (oksijen), total akciğer lavajı, inhale/subk?tan gran?losit makrofaj koloni stim?lan fakt?r (GM-CSF), rituksimab, plazmaferez, akciğer transplantasyonu yer almaktadır (8-11).

Bunun yanı sıra PAP hastalarında yaklaşık %10-50 arasında spontanremisyon olduğu da bilinmektedir (12). Orta ağır semptomları ve hipoksemisi olan hastalarda en yaygın ve etkili tedavi şekli total akciğer lavajıdır (13,14). Kesin histolojik tanı sonrasında Tablo 1'deki kriterlerden en az birini karşılayan olgulara bu tedavi ?nerilmektedir (15). Hastamızda kesin patolojik tanı ile birlikte hafif eforla ciddi nefes darlığı ve hipoksemisi olması nedeniyle semptomatik tedavi yanında total akciğer lavajı uygulanmıştır. İşleme bağlı hipoksemi, hidropn?motoraks, sepsis ve akut respiratuvar distres sendromu gibi komplikasyonlar gelişebilmekle birlikte, olgumuzda farklı zamanlarda yapılan lavaj sonrasında herhangi bir komplikasyon kaydedilmemiştir. Lavaj yapılan hastaların %30-40'ında yalnızca bir kez lavaj ihtiyacı olurken, diğerlerine 6 ila 12 aylık aralıklarla tekrar akciğer lavajı gereksinimi ortaya ?ıkabilmektedir (16).


Tablo 1

Tedavisiz takip edilen ya da total akciğer lavajı yapılan PAP hastalarının uzun s?reli prognozu ile ilgili kapsamlı bir analiz bulunmamaktadır. Seymour ve arkadaşları tarafından yapılan bir analizde, herhangi bir zamanda total akciğer lavajı yapılan hastalarda, beş yıllık sağkalım %94 ? 2 iken, herhangi bir tedavi almamış olanlarda bu oran anlamlı d?ş?k (%85 ? 5) bulunmuştur (3). Asamato ve arkadaşları tarafından yapılan bir diğer ?alışmada ise bunun tersi olarak total akciğer lavajı yapılan 51 olgunun %82'sinin, takipteki 17 olgunun ise %94'?n?n remisyonda kaldığı saptanmıştır (17).

Son yıllarda PAP patogenezinde azalmış GM-CSF'nin rol alabileceğinin d?ş?n?lmesi, hastalığın tedavisinde inhale veya subk?tan yolla GM-CSF kullanılabileceği tezini g?ndeme getirmiştir (9). Akciğer epitel h?crelerinden sekrete edilen GM-CSF surfaktan klerensinde rol almaktadır. GM-CSF eksikliğinde veya yokluğunda alveollerde protein ve fosfolipid yapıda surfaktan birikimi olmaktadır. Bunlar g?z ?n?ne alınarak Huaringa ve arkadaşları tarafından PAP y?netiminde ilk olarak GM-CSF'nin denendiği ve total akciğer lavajının sadece GM-CSF'nin terap?tik başarısızlığında kullanıldığı belirtilmiştir (18).

Total akciğer lavajına diren?li olanlarda veya GM-CSF tedavisine yanıtsız olan veya kabul edilemez yan etkiler gelişenlerde rituksimab tedavisinin denenebileceği bildirilmektedir (16). Ancak bu tedavinin kullanım alanı tam olarak tanımlanmamış ve tedaviye y?nelik g??l? bilimsel veriler ortaya konmamıştır. Diğer yandan birincil tedavide ?zellikle glukokortikoidler veya diğer imm?ns?presif ajanların rol? olmadığı da belirtilmektedir (3). Akciğer transplantasyonu son d?nem hastalarda bir se?enek olarak yerini korumakla birlikte, nakil sonrasında allograftında n?ks olan olgular da bildirilmiştir (19).

Sonu? olarak, PAP nadir g?r?len bir hastalık olmakla birlikte, dif?z interstisyel akciğer hastalıklarından tipik lavaj ve biyopsi bulguları ile genellikle kolayca ayırt edilebilmektedir. Total akciğer lavajı, kesin tanı konulan ve uygun endikasyonu olan olgularda sıklıkla y?z g?ld?r?c? sonu? vermekte ancak sonraki d?nemde n?kslerin olabileceği dikkate alınmalıdır.

KAYNAKLAR

  1. Rosen SH, Castleman B, Liebow AA. Pulmonary alveolar proteinosis. N Engl J Med 1958; 258:1123-42.
  2. Ben Dov I, Kishinevski Y, Roznman J, Soliman A, Bishara H, Zelligson E, et al. Pulmonary alveolar proteinosis in Israel: ethnic clustering. Isr Med Assoc J 1999;1:75-8.
  3. Seymour JF, Presneill JJ. Pulmonary alveolar proteinosis: progress in the first 44 years. Am J Respir Crit Care Med 2002;166:215-35.
  4. Holbert JM, Costello P, Li W, Hoffman RM, Rogers RM. CT features of pulmonary alveolar proteinosis. Am J Roentgenol 2001;176:1287-94.
  5. Costabel U, Guzman J. Bronchoalveolar lavage in interstitial lung disease. Curr Opin Pulm Med 2001;7:255-61.
  6. Şahin ?. Pulmoner alveoler proteinoz. In: Karadağ M (ed). Solunum sistemi ve hastalıkları temel başvuru kitabı. Birinci baskı. İstanbul: Medikal Yayıncılık, 2010:1135-41.
  7. Ioachimescu OC, Kavuru MS. Pulmonary alveolar proteinosis. Chron Respir Dis 2006;3:149-59.
  8. Borie R, Danel C, Debray MP, Taille C, Dombret MC, Aubier M, et al. Pulmonary alveolar proteinosis. Eur Respir Rev 2011;20:98.
  9. Seymour JF, Presneill JJ, Schoch OD, Downie GH, Moore PE, Doyle IR, et al. Therapeutic efficacy of granulocyte-macrophage colony-stimulating factor in patients with idiopathic acquired alveolar proteinosis. Am J Respir Crit Care Med 2001;163:524-31.
  10. Kavuru MS, Malur A, Marshall I, Barna BP, Meziane M, Huizar I, et al. An open-label trial of rituximab therapy in pulmonary alveolar proteinosis. Eur Respir J 2011;38:1361-7.
  11. Luisetti M, Rodi G, Perotti C, Campo I, Mariani F, Pozzi E, et al. Plasmapheresis for treatment of pulmonary alveolar proteinosis. Eur Respir J 2009;33:1220-2.
  12. Dirksen U, Nishinakamura R, Groneck P, Hattenhorst U, Nogee L, Murray R, et al. Human pulmonary alveolar proteinosis associated with a defect in GM-CSF/IL-3/IL-5 receptor common beta chain expression. J Clin Invest 1997; 100:2211.
  13. Bonella F, Bauer PC, Griese M, Ohshimo S, Guzman J, Costabel U, et al. Pulmonary alveolar proteinosis: new insights from a single center cohort of 70 patients. Respir Med 2011;105:1908.
  14. Leth S, Bendstrup E, Vestergaard H, Hilberg O. Autoimmune pulmonary alveolar proteinosis: treatment options in year 2013. Respirology 2013;18:82.
  15. Persson A. Pulmonary alveolar proteinosis. In: Fishman AP (ed). Pulmonary diseases and disorders. New York: Mc Graw Hill Book Company, 1998:1225-30.
  16. UpToDate. Available from: http://www.uptodate.com. Erişim tarihi: 01 Ocak 2017.
  17. Asamato H, Kitaichi M, Nishimura K, Itoh H, Izumi T. Primary pulmonary alveolar proteinosis. Clinical observation of 68 patients in Japan. Nippon Kyobu Shikkan Gakkai Zasshi 1995;33:835-45.
  18. Huaringa AJ, Francis WH. Pulmonary alveolar proteinosis: a case report and world literature review. Respirol Case Rep 2016;4:201.
  19. Parker LA, Novotny DB. Recurrent alveolar proteinosis following double lung transplantation. Chest 1997; 111:1457.

Yazışma Adresi (Address for Correspondence)

Dr. M?ge ERBAY

Karadeniz Teknik ?niversitesi Tıp Fak?ltesi,

G?ğ?s Hastalıkları Anabilim Dalı,

Trabzon - T?rkiye

e-mail: drmugerbay@gmail.com

Yazdır