Yazdır

OLGU SUNUMU
CASE REPORT

Doi: 10.5578/tt.24232
Tuberk Toraks 2017;65(2):146-149

Gelis Tarihi/Received: 24.03.2016 • Kabul Edilis Tarihi/Accepted: 19.06.2016

Dikkat; wheezing ve boyun ağrısı birlikteliği spontan pn?momediastinumun erken tanısı i?in işaret olabilir

Ali YURTSEVEN1, E. Ulaş SAZ1


1 Ege ?niversitesi Tıp Fak?ltesi, ?ocuk Sağlığı ve Hastalıkları Anabilim Dalı, ?ocuk Acil Bilim Dalı, İzmir, T?rkiye

1 Section of Emergency Medicine, Department of Pediatrics, Faculty of Medicine, Ege University, Izmir, Turkey

?ZET

Dikkat; wheezing ve boyun ağrısı birlikteliği spontan pn?momediastinumun erken tanısı i?in işaret olabilir

Spontan pn?momediastinum (SPM) pediatrik yaş grubunda sık g?r?lmeyen klinik durumlardandır. Burada ilk hışıltı atağı ile komplike olan iki pediatrik spontan pn?momediastinum olgusu sunulmuştur. Altta yatan herhangi bir hastalık olup olmadığını araştırmak i?in yapılan tetkiklerde herhangi bir kronik hastalık varlığı tespit edilmemiştir. İntraalveoler ve interstisyel basın? gradiyentinin artmasına bağlı olarak pn?momediastinum en sık astımlı ?ocuklarda g?r?lmektedir. ?ocukluk ?ağında sık ge?irilen solunum yolu infeksiyonları SPM i?in predispozisyon oluşturur. Bunun da nedeni tıkanmış hava yollarındaki artmış basın? ya da parankimal infeksiyondan kaynaklanan doku nekrozudur.

Anahtar kelimeler: Wheezing, boyun ağrısı, pn?momediastinum

SUMMARY

Red flag; wheezing with neck pain may be a clue to the early diagnosis of spontaneous pneumomediastinum

Spontaneous pneumomediastinum is an uncommon clinical condition in pediatric field. We report two pediatric cases with first time wheezing episode complicated by pneumomediastinum. Investigations failed to reveal any underlying cause for secondary pneumomediastinum. Pneumomediastinum most commonly occurs in asthmatic children. It can be explained by increased pressure gradient between the intraalveolar and interstitial spaces. We conclude that high prevalence of respiratory infections in children predisposes for spontaneous pneumomediastinum due to increased pressure within obstructed airways, or by tissue necrosis from parenchymal infection.

Key words: Wheezing, neck pain, spontaneous pneumomediastinum

Geliş Tarihi/Received: 24.03.2016 - Kabul Ediliş Tarihi/Accepted: 19.06.2016

INTRODUCTION

Pneumomediastinum (PM) is an uncommon clinical entity in young children. Spontaneous PM (SPM) usually refers to benign condition seen most commonly in children with chronic obstructive pulmonary disease (1-3). It occurs when air leaks through small alveolar ruptures to the surrounding bronchovascular sheath or air escapes from the upper respiratory tract, intrathoracic airways, or gastrointestinal tract (3,4). Most common presenting symptoms include chest pain, dyspnea, and subcutaneous emphysema. These symptoms typically resolve spontaneously without sequelae.??

Here we report two patients with first-time wheezing episode presenting in mild respiratory distress, subcutaneous emphysema and radiographic findings of SPM.

CASE? rEPORTS

Case 1

A 5.5 years old girl presented to the emergency department with a 2 days history of cough and fever. On admission, physical examination revealed subcutaneous swelling and crepitus over the neck and upper anterior chest area, bilateral rhonchi with prolonged expiration. Her body temperature was 36.4?C, respiratory rate 26 breaths per minute, heart rate 129 beats per minute; blood pressure 91/55 mmHg and oxygen saturation was %94 on room air. Other systems examinations were unremarkable.

The chest X-Ray confirmed that she had subcutaneous emphysema on both sides of her neck, retrosternal emphysema, vertical lucent streak on the left side of the heart and continuous diaphragm sign.? No evidence was found of rib fracture or any abnormality within the lungs (Figure 1). White blood cell was 9430/mm3 and CRP was 1.6 mg/dL. Other laboratory findings including electrolyte levels, blood gas analysis were within normal limits. She was treated conservatively, and symptoms resolved 7 days postadmission.


Figure 1

Case 2

Eight years old boy presented to the emergency department complaining of gradual onset of neck pain and cough lasting for 7 days.? Upon presentation he was noted to have no respiratory distress but had limited neck movement on both sides. Swelling in his neck could not be recognized. He had a body temperature of 36.7?C, respiratory rate of 22 breaths? per minute, heart rate of 108 beats per minute,? blood pressure of 106/60 mmHg and oxygen saturation %97 on room air. His weight and height below 3rd percentile on growth chart. Other systems examinations were unremarkable.

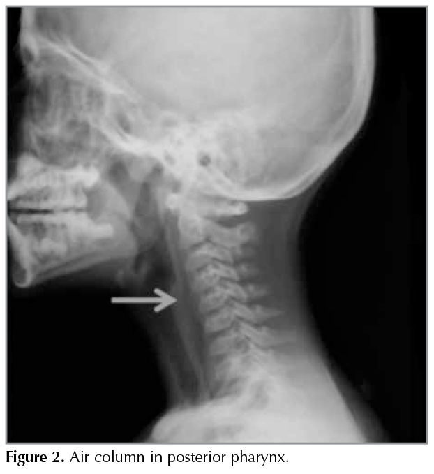
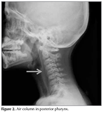
The cervical spine X-Ray showed that there was an air column in posterior pharynx (Figure 2). Chest/Neck? Computed tomography (CT); interstitial air was? present around the right inferior pulmonary vein, spread along the mediastinal? fat plans and the neck fasia which? was also evaluated as Macklin effect (Figure 3). On her laboratory investigations; White blood cell was 17.000/mm3 and CRP was 1.6 mg/dL. Other laboratory findings including electrolyte levels, blood gas analysis were within normal limits. The patient also was treated conservatively, and symptoms resolved 4 days postadmission.


Figure 2

Discussion

Presence of air in the mediastinum is defined pneumomediastinum or mediastinal emphysema. The pathophysiology of SPM first described by Macklin et al. is explained based on increased pressure gradient between the intraalveolar and interstitial spaces (4). Although this is a rare condition in young children, previously published data showed that it is more commonly seen in older children and adolescents. Stack et al. reported that the rate of SPM among children presenting for emergency treatment of asthma is between 0.3 and 5% (2). Another study demonstrated that 1 of 371 children older than 1 year with first-time wheezing episode reported to have PM on chest X-ray (5). The difference in reported incidence rates is due to differences in the diagnostic tests used and also to the severity of symptoms in the population studied. A bimodal peak in incidence is seen; the first one occurs during late infancy and early childhood, the second peak during adolescence (2).

Causes of SPM in children such as medical conditions (asthma, upper or lower respiratory tract infections), respiratory maneuvers (valsalva maneuver, vomiting, coughing), and surgical conditions (foreign body aspiration, perforation) have been reported. In most series, acute asthma exacerbations are the most common trigger (6-8). Both of our cases had acute lower respiratory tract infections which is associated cause for SPM. We believe that coughing was the responsible trigger in our patients.

Most adolescents with SPM present with acute chest pain which is typically retrosternal, and may radiate to the neck, shoulders, and arms (2,3). On the other hand the most common clinical findings in young children are respiratory distress, dysphagia, neck pain/swelling, torticollis, dysphonia and presence of interstitial emphysema (1,9,10). In our cases also, there was a history of cough, fever, neck pain and limited neck movement, and the examination revealed that subcutaneous emphysema swelling and crepitus.

In the presence of SPM clinical findings patients should be be evaluated with anteroposterior and lateral chest radiographs, which should include the cervical region.? Radiographs typically show a vertical lucent line along the left side of the heart and aortic arch, retropharyngeal lucency, subcutaneous emphysema of the anterior and posterior neck and anterior chest wall. In our cases almost most reported radiographic fındings of SPM was seen. Although, CT is more sensitive than plain radiographs in detecting SPM, many SPM detected only by CT are small and clinically not significant. As a result CT should be recommended only for evaluation of suspected underlying lung disease. Based on this recommendation CT obtained only for case 2 to investigate his failure to thrive. No underlying lung disease was found on his CT.

The main differential diagnosis for SPM includes spontaneous esophageal rupture (SER) and myopericarditis. Myopericarditis can cause chest pain that is similar to that of SPM; however, in the absence of other findings such as ECG changes and decreased heart sounds myoperocarditis can be ruled out (1). The other differential diagnosis for SPM is SER (Boerhaave syndrome) typically presents with chest pain, subcutaneous emphysema, and other signs (1). However, patients with esophageal perforation are more likely to have hypotension and shock than those with SPM. In our cases there was no history of violent vomiting or as a complication of an esophageal foreign body.????

Although, SPM usually is a benign condition and resolves without sequelae within 3 to 15 days rarely some complications such as pneumopericardium or massive pneumomediastinum may occur (1-3,11,12). Benign uncomplicated SPM is managed conservatively with analgesia, rest, avoidance of maneuvers that increase pulmonary pressure, and treatment of the underlying medical conditions. Since in our cases lower respiratory tract infection was the underlying medical condition symptomatic treatment was administered.? Radiograph was obtained before discharge for both cases which revealed complete resolution of the SPM.??

SPM is uncommon condition in children. The diagnosis is based on clinical findings, physical examination and radiographs. It is benign in itself, and most cases can be managed by supportive care. Emergency physician should be aware of developing SPM in children with first time wheezing episode if the patient has neck pain, swelling and crepitus.

REFERENCES

  1. Chalumeau M, Le Clainche L, Sayeg N, Sannier N, Michel JL, Marianowski R, et al. Spontaneous pneumomediastinum in children. Pediatr Pulmonol 2001;31:67-75.
  2. Stack AM, Caputo GL. Pneumomediastinum in childhood asthma. Pediatr Emerg Care 1996;12:98-101.
  3. Dekel B, Paret G, Szeinberg A, Vardi A, Barzilay Z. Spontaneous pneumomediastinum in children: clinical and natural history. Eur J Pediatr 1996;155:695-7.
  4. Macklin CC. Transport of air along sheaths of pulmonic blood vessels from alveoli to mediastinum: clinical implications. Arch Intern Med 1939;64:913-26.
  5. Gershel JC, Goldman HS, Stein RE, shelov SP, Ziprkowski M. The usefulness of chest radiographs in first asthma attacks. N Engl J Med 1983;309:336-9.?
  6. Hahn CD, Choi YU, Lee D, Frizzi JD. Pneumoperitoneum due to gastric perforation after cardiopulmonary resuscitation: case report. Am J Crit Care 2008;17:388.
  7. V?zquez JL, V?zquez I, Gonz?lez ML Garcia-Tejedor JL, Reparaz A. Pneumomediastinum and pneumothorax as presenting signs in severe Mycoplasma pneumoniae pneumonia. Pediatr Radiol 2007;37:1286.
  8. Mu?iz AE. False-negative capnographic reading caused by a malfunctioning bag-valve-mask device resulting in a pneumomediastinum. Resuscitation 2008;78:378-80.
  9. Panacek EA, Singer AJ, Sherman BW, Prescott A, Rutherford WF. Spontaneous pneumomediastinum: clinical and natural history. Ann Emerg Med 1992;21:1222-7.
  10. Huon LK, Chang YL, Wang PC, Chen PY. Head and neck manifestations of spontaneous pneumomediastinum. Otolaryngol Head Neck Surg 2012;146:53-7.
  11. Yellin A, Gapany-Gapanavicius M, Lieberman Y. Spontaneous pneumomediastinum: is it a rare cause of chest pain? Thorax 1983;38:383.
  12. Herlan DB, Landreneau RJ, Ferson PF. Massive spontaneous subcutaneous emphysema. Acute management with infraclavicular "blow holes". Chest 1992;102:503-5.

Yazışma Adresi (Address for Correspondence)

Dr. E. Ulaş SAZ

Ege ?niversitesi Tıp Fak?ltesi Hastanesi,

?ocuk Sağlığı ve Hastalıkları Anabilim Dalı

?ocuk Acil Bilim Dalı,

35100, Bornova, İzmir, T?rkiye

e-mail: ulas.saz@ege.edu.tr

Yazdır