Yazdır

DERLEME
REVIEW

Doi: 10.5578/tt.47546
Tuberk Toraks 2017;65(1):41-55

Gelis Tarihi/Received: 09.01.2017 • Kabul Edilis Tarihi/Accepted: 22.01.2017

Plevral hastalıkların g?r?nt?lenmesi:
Akciğer grafisi temelinde g?r?nt?leme y?ntemlerinin değerlendirilmesi

Necdet POYRAZ1, Havva KALKAN2, Kemal ?DEV1, Sami CERAN3


1 Necmettin Erbakan ?niversitesi Meram Tıp Fak?ltesi, Radyoloji Anabilim Dalı, Konya, T?rkiye

1 Department of Radiology, Faculty of Meram Medicine, Necmettin Erbakan University, Konya, Turkey

2 Ağrı Devlet Hastanesi, Radyoloji Kliniği, Ağrı, T?rkiye

2 Clinic of Radiology, Ağrı State Hospital, Agri, Turkey

3 Necmettin Erbakan ?niversitesi Meram Tıp Fak?ltesi, G?ğ?s Cerrahisi Anabilim Dalı, Konya, T?rkiye

3 Department of Chest Surgery, Faculty of Meram Medicine, Necmettin Erbakan University, Konya, Turkey

?ZET

Plevral hastalıkların g?r?nt?lenmesi: Akciğer grafisi temelinde g?r?nt?leme y?ntemlerinin değerlendirilmesi

Plevra kaynaklı patolojilerin değerlendirilmesinde kullanılan birincil tanı y?ntemi konvansiyonel akciğer radyografisidir. Sıklıkla g?r?len plevra patolojisi plevral kalınlaşma ve ef?zyondur. Arka ?n akciğer radyografisi (PA, posteroanterior) k???k miktardaki plevral ef?zyonu g?stermeyebilir. Lateral dek?bitus radyografisi ve toraks ultrasonografisi (USG) az miktardaki plevral ef?zyonu ortaya koymada daha etkin y?ntemlerdir. PA radyografide tek taraflı homojen yoğunluk artışı g?steren olgularda toraks ultrasonografisi plevral ve parankimal patolojilerin ayırıcı tanısında yararlı bilgiler vermektedir. Akciğer radyografisinde saptanan plevral ef?zyon veya kalınlaşma altta yatan hastalığı veya parankimal patolojiyi gizleyebilir. Bu nedenle bilgisayarlı tomografi (BT) plevral hastalığın yaygınlığını ve nedenini ortaya koymada yararlı bilgiler sağlamaktadır. BT(koronal ve sagital reformat g?r?nt?ler) plevral kalınlaşma veya ef?zyonla birlikte bulunan parankimal lezyonların ayırt edilmesini sağlayabilir. Ayrıca BT g?ğ?s duvarı, mediasten ve diyafragma invazyonunu, hiler ve/veya mediastinal lezyonları ayrıntılı olarak g?sterebilir. Manyetik rezonans g?r?nt?leme (MRG) standart noninvaziv y?ntemlerin yetersiz kaldığı olgularda tamamlayıcı y?ntem olarak kullanılabilir.

Anahtar kelimeler: Plevra hastalıkları, radyografi, ultrasonografi, bilgisayarlı tomografi

SUMMARY

Imaging of pleural diseases: evaluation of imaging methods based on chest radiography

The most commonly employed radiologic method in diagnosis of pleural diseases is conventional chest radiograph. The commonest chest- X-Ray findings are the presence of pleural effusion and thickening. Small pleural effusions are not readily identified on posteroanterior chest radiograph. However, lateral decubitus chest radiograph and chest ultrasonography may show small pleural effusions. These are more efficient methods than posteroanterior chest radiograph in the erect position for demonstrating small amounts of free pleural effusions. Chest ultrasonograph may be able to help in distinguishing the pleural pathologies from parenchymal lesions. On chest radiograph pleural effusions or pleural thickening may obscure the visibility of the underlying disease or parenchymal abnormality. Thus, computed tomography (CT) may provide additional information of determining the extent and severity of pleural disease and may help to differentiate malign pleural lesions from the benign ones. Moreover, CT may provide the differentiation of parenchmal abnormalities from pleural pathologies. CT (coronal and sagittal reformatted images) that also show invasion of chest wall, mediastinum and diaphragm, as well as enlarged hilar or mediastinal lymph nodes. Standart non-invasive imaging techniques may be supplemented with magnetic resonans imaging (MRI).

Key words: Pleural diseases, radiography, ultrasonography, computed tomography

Geliş Tarihi/Received: 09.01.2017 • Kabul Ediliş Tarihi/Accepted: 22.01.2017???

GİRİŞ

Plevra kaynaklı hastalıkların tanı ve tedavisinde konvansiyonel akciğer radyografisi yanında diğer radyolojik y?ntemlerin ?nemli rol? vardır. Standart akciğer radyografisi birincil tanı y?ntemidir. Klinik bulgulara bağlı olarak radyografiden sonra kullanılan inceleme y?ntemleri ultrasonografi (USG) ve bilgisayarlı tomografi (BT)'dir. Plevra kaynaklı patolojilerin değerlendirilmesinde manyetik rezonans g?r?nt?lemenin (MRG) kullanımı sınırlıdır (1).

Bu derlemenin amacı plevra hastalıklarının tanısında konvansiyonel akciğer radyografisinin ?nemi ve karakteristik radyografik bulgularını ve USG, BT ve MRG y?ntemlerinin tanıya katkılarını tanımlamaktır.

Plevral Sıvı

Sağlıklı olgularda plevra boşluğunda 0.1-0.3 mL/kg civarında sıvı bulunmaktadır (?rneğin, 70 kg'lık bir insanda her bir hemitoraksta 10-20 mL plevral sıvı vardır). Bu sıvı solunum hareketleri esnasında plevra yapraklarının serbest olarak hareket etmesini sağlamaktadır.

Deneysel ?alışmalara g?re plevral sıvının normal şartlarda pariyetal plevra seviyesindeki sistemik basınca sahip mikrovask?ler dolaşımdan ekstraplevral interstisyuma ge?tiği ve oradan d?ş?k basın? farkı ile plevral boşluğa ge?iş yaptığı belirtilmektedir. Plevral boşluğa gelen sıvı fizyolojik şartlarda pariyetal plevradan direne olmaktadır. Visseral plevranın plevral sıvı direnajına katkısı ihmal edilebilir (2,3). Plevral sıvının (ef?zyon) ?retimi ve emilimi arasında devamlı bir denge vardır. Dolayısıyla plevral aralıkta fazla sıvı toplanması;

a. Plevra, akciğer veya lenfatik sistem sağlam iken hidrostatik basın? ve/veya onkotik basın? değişikliklerine bağlı olarak meydana gelebileceği gibi,

b. Plevrada, akciğerlerde veya lenfatik akımdaki patolojik değişikliklerde de plevral boşlukta sıvı toplanabilir.

Birinci gruptaki nedenlerle plevral boşluktaki toplanan sıvı trans?da ?zelliğindedir. İkinci gruptaki nedenlerle plevral boşlukta toplanan sıvı ise protein ve h?cre gibi elemanları i?ermektedir. Bu tip sıvılara eks?da adı verilmektedir (2). Trans?da ?zelliğindeki sıvı birikimine neden olan en yaygın neden kalp yetmezliğidir. Plazmada onkotik basın? azalmasına, dolayısıyla hipoproteinemiye neden olan bir?ok patoloji trans?da ?zelliğinde plevral sıvının oluşmasına yol a?maktadır. İnfeksiyon hastalıkları, malign hastalıklar, pulmoner tromboemboli ve kollajen doku hastalıkları eks?da ?zelliğinde plevral sıvının oluşmasına neden olmaktadır.

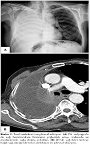
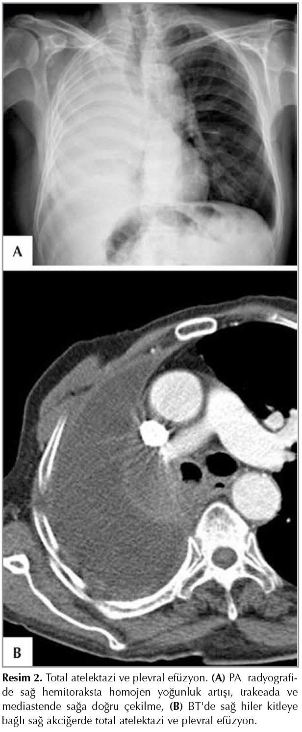
Vertikal pozisyondaki olguda plevral sıvı akciğerin alt y?zeyi ile diyafragma arasında toplanır. Plevral boşluktaki sıvı 75 mL'den az ise diyafragma ve kostofrenik sin?sler normal morfolojik yapıdadır. PA akciğer grafisi sıvının olduğunu g?stermeyebilir. Sıvı belirli miktara ulaşınca ?nce posterior, sonra lateral kostofrenik sin?ste kapanma g?r?l?r. Lateral kostofrenik sin?s?n kapanması i?in plevral sıvı en az 175 mL olmalıdır. Posterior kostofrenik sin?s lateral kostofrenik sin?sten daha derin olduğu i?in az miktardaki sıvı yan radyografide posterior kostofrenik sin?s?n kapalı olmasına neden olmaktadır (4-6). Plevral boşluktaki sıvı arttık?a etkilenen diyafragma yaprağı ve sin?slerin konturu silinir. Sıvı anterior, lateral ve posterior toraks duvarı boyunca plevral boşluğu doldurur. Mediastinal plevral boşluğa ise sıvının bir miktarı ge?ebilir. ??nk? akciğerin mediastinal y?zeyi hilus ve pulmoner ligament d?zeyinde fiksedir. Plevral boşluktaki sıvının belirli miktara ulaşması ile PA ve yan radyografilerde a?ıklığı yukarıya bakan yoğunluk artışı parabolik eğri konfig?rasyonu g?stermektedir (Resim 1). Plevral boşluktaki sıvı hastanın pozisyonunun değişmesiyle yer değiştirebilir (serbest plevral sıvı). Masif plevral sıvıya rağmen mediastende karşı tarafa itilme yoksa akciğerde atelektazi veya kollapsın bulunduğunun işaretidir. Bu bulgu bronş kanserinde g?r?lmektedir (Resim 2) (7).


Resim 1

Resim 2

USG serbest plevral sıvının solid ?zellikteki plevral lezyonlardan ayırt edilmesinde, radyografiden daha duyarlı olmasına rağmen, iki modalitenin birlikte kullanılması ile g?venirliliği artırmaktadır (%98). Bu olgularda radyografinin g?verliliği %68, USG'nin ise %92'dir (1,8). Plevral boşluktaki sıvı yaklaşık?? 75 mL'den az ise PA radyografide diyafragma normal morfolojik yapıyı g?sterir. Lateral dek?bitus pozisyonundaki akciğer radyografisi 5-10 mL gibi az miktardaki plevral sıvıyı g?sterebilir. Serbest plevral sıvı lateral dek?bitus pozisyonunda toraks duvarı ile akciğerin alt kenarı arasında d?zg?n horizontal yoğunluk artışı ile karakterize homojen dansite artışı g?sterir. Bu bulgu akciğerin sıvı i?erisinde yer almasından kaynaklanır. Kaynaklarda bu pozisyon ile 5-15 mL kadar plevral sıvının g?sterilebileceği belirtilmektedir (4-6,9). Lateral dek?bitus pozisyonunda toraks duvarı ile akciğer arasındaki mesafe 10 mm'den az ise tanısal ama?lı torasentez nadiren yapılmaktadır (5). Kaynaklarda az miktardaki serbest plevral sıvının (kalınlığı 15 mm) toraks USG ile g?sterilebileceği belirtilmektedir (10).

Atipik Plevral Sıvı

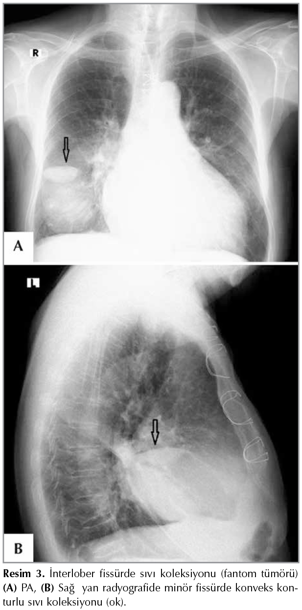
Plevra yaprakları arasındaki yapışıklıklar nedeniyle plevral boşluktaki sıvı yer değiştirmediği i?in tabanı plevraya yerleşmiş kitleye benzer bulgu verebilir (ankiste-lok?le plevral sıvı). Bu g?r?n?m ampiyem, hemotoraks veya t?berk?loz pl?rezi gibi yoğun plevral infilamasyonlarda g?r?lmektedir (1,4,5,7). Lok?le plevral sıvı lateral dek?bit radyografide yer değiştirmez. Ultrasonografi ve BT bu tip patolojilerde daha yararlı olmaktadır (5,7). Konjestif kalp yetmezliğinde sıklıkla interlober fiss?rde sıvı toplanmaktadır. Min?r veya maj?r fiss?rde toplanan sıvı konveks konturlu, oval veya yuvarlak sınırları muntazam opasite şeklinde g?r?lmektedir (Resim 3). Bu bulguya fantom t?m?r-yalancı t?m?r bulgusu (vanishing t?m?r) adı verilmektedir (7,11,12).


Resim 3

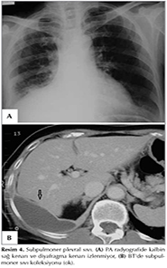
Subpulmoner Plevral Sıvı

Plevral sıvı bazen akciğerin alt y?zeyi ile diyafragma yaprağı arasında toplanmaktadır (Resim 4). Tek taraflı veya iki taraflı olabilir. Subpulmoner plevral sıvı olasılığını dışlamak i?in lateral dek?bit grafi ?ekilmelidir. Başlıca radyolojik bulgular;


Resim 4

a. Tek taraflı veya iki taraflı diyafragma kubbesinde y?kselme,

b. Diyafragmanın en y?ksek noktası, orta hatta olması gerekirken diyafragmanın 1/3 orta ve 2/3 lateral birleşimine yakın ve daha lateralde lokalizedir.

c. Diyafragma kubbesi lateral kostofrenik a?ıya doğru daha keskin eğim g?sterir,

d. Subpulmoner sıvı solda lokalize ise diyafragma ile mide hava cebi arasındaki mesafe 2 cm'den fazladır,

e. Lateral radyografide subpulmoner sıvı, alt lobun altında yatay ?izgi şeklinde g?r?l?r. Sıvıya ait bu ?izgi ?nde major fiss?r d?zeyinde dik olarak aşağıya iner,

f. Pulmoner vask?ler yapılar diyafragma konturunun arkasında izlenmesi gerekirken subpulmoner sıvının oluşturduğu yalancı kontur "ps?dodiyafragmatik kontur''un arkasında vask?ler yapılar g?r?lmez,

g. Kostofrenik sin?sler kapalıdır (4-6).

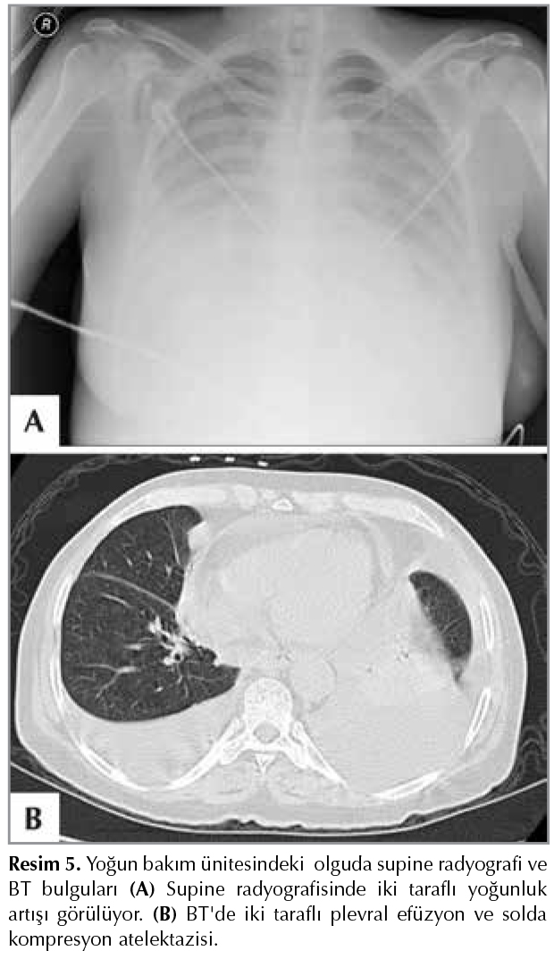
Yoğun bakım ?nitelerinde ve ?oklu organ yaralanması g?steren olgularda akciğer radyografisi yatak başında yatar pozisyonda (supine pozisyonu) elde edilmektedir. Supine pozisyonunda plevral sıvı yer ?ekimine bağlı olarak akciğerin dependan b?l?m?nde lokalize olmaktadır. Bu pozisyondaki radyografide başlıca bulgular (Resim 5);


Resim 5

a. Kostofrenik sin?slerde kapanma,

b. Tek taraflı olarak homojen yoğunluk artışı,

c. Diyafragma konturunda silinme,

d. Akciğerin apikal alanında yarım ay şeklinde dens band izlenir (apikal capping),

e. Alt lob d?zeyinde vask?ler yapıların g?r?lmesinde azalma ve min?r fiss?rde belirginleşme.

Az miktarda ve orta miktardaki plevral sıvı bulunan olgularda bu bulgular her zaman g?r?lmeyebilir. Kaynaklarda belirtilen bulguların g?r?lme oranı %50.6'dan %97'ye kadar değişmektedir (5,13-15). Az miktarda ve orta miktardaki plevral sıvıların saptanmasında supine ve oturur pozisyondaki (semierekt) radyografilerin duyarlılığı d?ş?kt?r. Plevral sıvı? parankimal lezyon olarak tanımlanabilir. Bu olgularda radyografi, USG ve BT kadar duyarlı değildir (16).

Plevra Kalınlaşması

Plevradaki inflamasyondan sonra plevranın kalınlığı 1-10 mm olabilir. Plevranın inflamasyonundan sonra oluşan plevral kalınlaşma visseral plevra y?zeyindeki fibrozis nedeniyle meydana gelir. Plevral kalınlaşma lokalize veya yaygın olabilir. Bu olgularda plevral sıvıyı dışlamak i?in lateral dek?bit radyografisi, USG veya BT yapılmalıdır. Masif hemotoraks, piyotoraks (ampiyem), t?berk?loz pl?rezi nedeniyle yaygın plevral kalınlaşma meydana gelir (Resim 6) (5,7,17). Akciğer radyografisinde lateral ve posterior kostofrenik sin?slerde kapanma vardır. Pariyetal plevradaki kalınlaşma sonucunda birka? milimetre veya daha fazla kalınlıkta akciğeri kostalardan ve g?ğ?s duvarından ayıran fokal veya yaygın yumuşak doku dansite artışı g?r?lmektedir (17). Visseral plevra ve pariyetal plevra kalınlaşması sıklıkla, plevral sıvı ile birlikte bulunmaktadır ve en sık nedeni ampiyemdir. Visseral plevra kalınlaşmasının en sık nedeni ampiyemdir. Radyografide genellikle visseral plevra kalınlaşmasını pariyetal plevra kalınlaşmasından ayırt etmek g??t?r. Fiss?r kalınlaşması g?r?l?rse, pn?motoraks g?r?len bir akciğer y?zeyinde plevral kalınlaşmanın g?r?lmesi halinde visseral plevra kalınlaşmasından bahsedilebilir. Kontrastlı BT'de akciğerin y?zeyinde kontrast madde ile boyanan bir ?izgi g?r?lmesi halinde visseral plevranın kalınlaştığını s?ylemek m?mk?nd?r. Kalınlaşmış visseral plevra hava i?ermeyen akciğerlerden daha fazla boyanmaktadır. Akciğer apeksinde g?r?len plevral kalınlaşma genellikle t?berk?loz infeksiyonuna bağlı fibrozis g?steren olgularda tek taraflı veya iki taraflı g?r?lmektedir. Ayrıca kronik iskemik olaylardan sonraki iyileşme s?recinde de apikal alanlarda fibrozis g?r?lmektedir. Apikal alanda g?r?len fibrozis ile ayırıcı tanıda Pancoast t?m?r? d?ş?n?lmelidir (5).


Resim 6

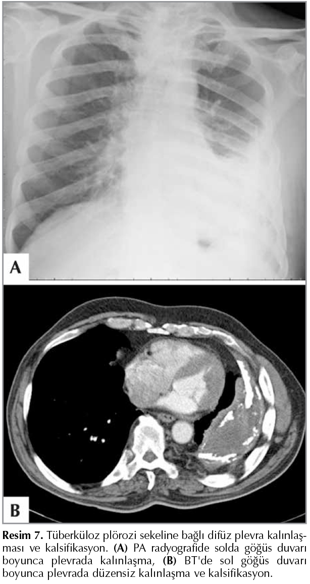
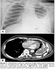
Dif?z Plevral Fibrozis

G?ğ?s duvarının en az 1/4'? boyunca kesintisiz olarak uzanan ve plevranın iki tabakasını da etkileyen kalınlaşma şeklinde tanımlanmaktadır. Plevral kalınlaşma 2 cm ya da 1 cm'den az olabilir. Dif?z plevral kalınlaşmaya (fibrotoraks) bağlı olarak plevral boşluğun fibr?z dokuya bağlı oblitere olması sıklıkla t?berk?loz pl?rezisi, bakteriyel infeksiyona bağlı ampiyem, hemotoraks, ?remi, pankreatit, kollajen doku hastalıkları ve asbest temasına bağlı olarak meydana gelir (1,18). Fibrozisle birlikte kalsifikasyon g?r?lmesi halinde kronik ampiyem, hemotoraks, t?berk?loz pl?rezi sekeli, edinsel pn?motoraks ve asbest maruziyeti d?ş?n?lmelidir (Resim 7) (19).


Resim 7

Asbest Temasına Bağlı Plevra Hastalıkları

Asbest lifsi yapıda (uzunluğu 10 mikrometre) mineral olup ısı, su ve strese y?ksek dayanıklı bir maddedir. Bu ?zelliği nedeniyle değişik iş kollarında ara madde olarak kullanılmaktadır. İ? Anadolu, G?neydoğu Anadolu ve Doğu Anadolu b?lgelerinde kırsal kesimde asbest i?eren ak toprak veya ?orak olarak adlandırılan toprak ısı ve su yalıtım amacıyla evlerin ?atısında ?rt? ve duvarlarında badana olarak kullanılmaktadır. Ak toprak i?erdiği asbest lifleri nedeniyle kırsal alanlarda yaşayanlarda doğumdan itibaren asbest temasının oluşmasına neden olmaktadır. Asbest temasına bağlı meydana gelen hastalıklar; plevral plaklar, benign plevral ef?zyon, yaygın plevral kalınlaşma, yuvarlak atelektazi ve malign plevral mezotelyomadır (20,21).

Asbest liflerine uzun s?re ve y?ksek konsantrasyonda maruz kalma sonucunda parankimde fibrozise (asbestozis), d?ş?k konsantrasyonda ve aralıklı maruz kalmada ise plevra hastalıkları daha sık g?r?lmektedir. Asbest lifleri solunum yoluyla inhale edildikten sonra peribronkovask?ler interstisyumdaki boşluklardan subplevral alana ilerlemekte ve buradan da mezotel h?creleri yoluyla plevral boşluğa ulaşmaktadır (20,22,23).

Plevra Plakları

Asbest temasının en yaygın bulgusudur. Bu bulgu asbest temasından 20 yıl veya daha fazla s?re ge?meden PA radyografide g?r?lmeyebilir. Plevral plaklar ?ncelikle pariyetal plevranın veya g?ğ?s duvarının posterolateralinde 7 ve 10. kostalar arasında, lateral g?ğ?s duvarında 6 ve 9. kostalar arasında, diyafragma kubbesinde plato şeklinde, d?zg?n veya nod?ler plevral kalınlaşmalar şeklinde g?r?lmektedir. Genellikle plaklar pariyetal plevrada g?r?lmesine rağmen visseral plevrada da g?r?lebilir. Plevral plakların g?sterilmesinde oblik radyografiler yararlıdır (20-23). Plaklar lateral pozisyonda yan g?ğ?s duvarının i? y?zeyine paralel, kalınlığı 1-10 mm olan yumuşak dansitede sınırları belirli dens bant şeklinde g?r?lebilir. Frontal pozisyonda plaklar sınırları belirsiz pe?e veya ?rt? şeklinde g?r?l?r. Kaynaklarda plevral plakların d?ş?k oranda postmortem olarak saptandığı belirtilmektedir (23,24).

Dif?z Plevra Kalınlaşması (Fibrotoraks)

G?ğ?s duvarı boyunca uzanan kesintisiz d?zg?n dansite artışı şeklinde g?r?l?r. Asbestozlu olgularda g?ğ?s duvarının en az 1/4'? boyunca plevrada g?r?len kalınlaşma şeklinde tanımlanmaktadır. Kostofrenik sin?ste tutulum g?r?lebilir. Plevradaki kalınlaşma 2 cm veya daha fazladır, ancak genellikle 1 cm'den azdır. Fibrotoraks olgularında ayırıcı tanıda t?berk?loz pl?rezi, ampiyem, hemotoraks, kollajen doku hastalıkları ve ?remiye bağlı plevral kalınlaşma d?ş?n?lmelidir (1,18,19,22,23).

Benign Asbest Pl?rezisi

Asbest temasının erken bulgusudur. Plevral sıvı genellikle az miktarda ve tek taraflıdır. Tanı zorluğu olmasına rağmen, benign plevral ef?zyonun asbest teması olan olguların ilk 20 yılında g?r?lmektedir (23).

Kalsifiye Plevra Plakları

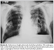
Plevrada lokalize plaklarda g?r?lmektedir. Sıklıkla asbest temasından 30-40 yıl sonra gelişmektedir. Kalsifikasyonlar g?ğ?s duvarı boyunca, diyafragma kubbesinde veya kalp konturu boyunca lokalize olmaktadır. Frontal pozisyonda (anfaz) d?zensiz kenarlı ?ınar ağacı yaprağına benzer (holly leaf) bulgu vermektedir (Resim 8). Oblik radyografiler parankimde lokalize nod?ler lezyonlardan ayırt edilmesinde yararlı olabilir (23). Plevral kalsifikasyon saptanan olgularda ayırıcı tanıda ampiyem, t?berk?loza bağlı plevra tutulumu ve travmatik hemotoraks d?ş?n?lmelidir (5).


Resim 8

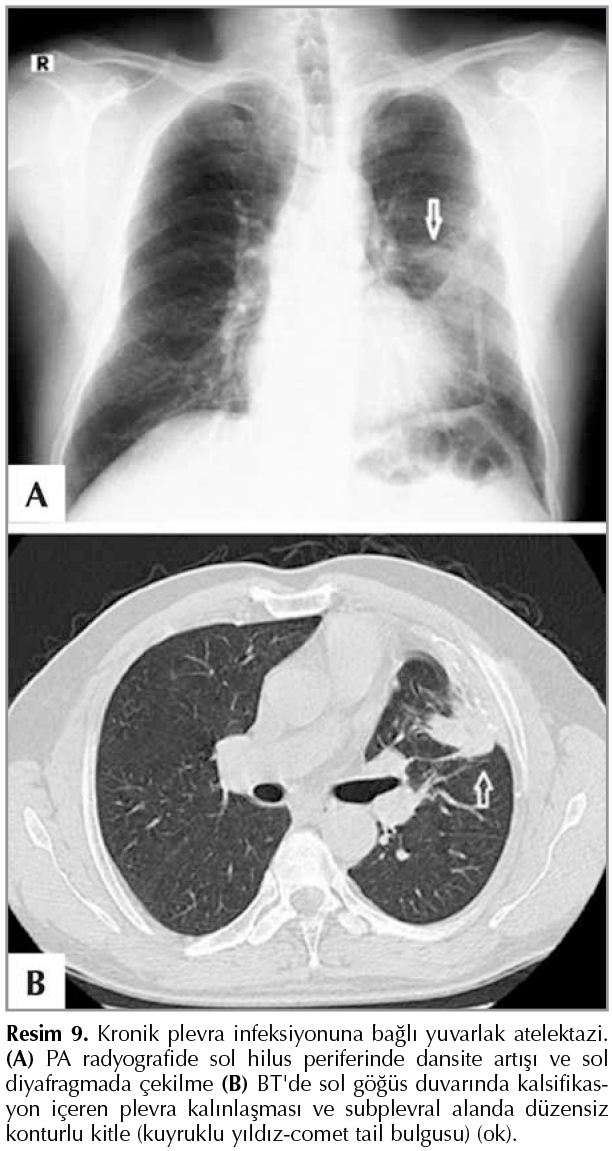
Yuvarlak Atelektazi

Asbest teması nedeniyle plevrada oluşan fibrotik s?re? akciğer parenkimini de etkileyerek atelektaziye neden olabilir. Atelektazik akciğer dokusuna bağlı kitle veya opasite ile birlikte kitleye doğru uzanan damarlar ve bronşlarla beraber kuyruklu yıldız (comet-tail sign) bulgusu meydana gelmektedir (Resim 9) (18,22,23).


Resim 9

Ampiyem

Plevra yaprakları arasında veya interlober fiss?rlerde p?r?lan ?zellikteki sıvının toplanmasıdır. Ampiyem serbest plevral sıvı veya lok?le şeklinde olabilir. Bakteriyel pn?moninin ve akciğer apsesinin seyri esnasında, septik emboliden, cerrahi girişimden sonra ayrıca mediastinal apseden, subfrenik apseden ve travma gibi nedenlerden dolayı da meydana gelebilir. Parapn?monik sıvıda olduğu gibi ampiyemin kesin tanısı plevral sıvının torasentezle direne edilmesine ve sıvının biyokimyasal analizine dayanır. Akciğer radyografisinde ampiyem serbest plevral sıvıya benzemekte ve meniskus bulgusu g?r?lmektedir. Ancak lobule konturlu olmaya eğilim g?sterir veya konveks kontur g?sterebilir. Bu bulgularla akciğer apsesinden ayırt edilebilir. Bronkoplevral fist?l varsa hava-sıvı seviyesi g?r?lebilir (1,25). Ampiyema necessitates kronik ampiyemin g?ğ?s duvarına uzandığını g?sterir (26). Kronik seyir g?steren ampiyemli olgular USG'de plevral kalınlaşma ile birlikte septalı kompleks yapı g?sterebilir (7,17). Bu olgularda g?ğ?s t?p? ile direnaj veya cerrahi girişim olası değildir. Ayırıcı tanıda t?berk?loz pl?rezi d?ş?n?lmelidir. Kontrastlı BT'de kalınlaşan plevra yapraklarının (split plevra bulgusu) arasında sıvının bulunması organize ampiyemin geliştiğini belirtir (7). Yetişkin yaşlarda kronik akciğer t?berk?lozuna bağlı ampiyem tanılı olgularda plevrada kalsifiye plak veya periferik kalsifikasyon g?r?lebilir (26)

Pn?motoraks

Plevra yapraklarının arasında pozitif basın?lı havanın toplanmasıdır. Hava plevral boşluğa g?ğ?s duvarı, mediasten ve diyafragma yoluyla veya visseral plevranın yırtılması sonucunda girebilir. Travmadan veya tanı ve tedavi amacıyla yapılan işlemlerden dolayı olmayan pn?motoraksa spontan pn?motoraks adı verilmektedir.

Spontan pn?motoraks: Primer, sekonder ve neonatal olmak ?zere ??e ayrılmaktadır. Primer spontan pn?motoraksa (PSP) idyopatik veya benign pn?motoraks adı verilmektedir. Sağlıklı ve gen? olgularda altta yatan herhangi bir hastalık olmadan meydana gelen pn?motoraksa benign spontan pn?motoraks adı verilmektedir. Ancak bu tip pn?motoraksın en yaygın nedeni subplevral bleb veya b?l?n plevral boşluğa r?pt?re olmasıdır (27,28). PSP %23-52 oranında 2 yıl i?inde tekrar g?r?lmektedir (28-30).

Sekonder spontan pn?motoraks ise akciğer parankiminde lokalize predispozan nedenlere veya konjenital patolojilere, KOAH gibi edinsel hastalıklara, bağ doku hastalıklarına (Ehlers-Danlos sendromu, Marfan sendromu) ve akkiz imm?n yetmezlik sendromu (AIDS) hastalığına bağlı olarak meydana gelir (Resim 10) (5,27,28,30).


Resim 10

Neonatal pn?motoraks, ?ocuklarda kistik akciğer hastalığında, mekonyum aspirasyonu, kan veya mukus aspirasyonu ile birlikte g?? doğumlarda ve resussitasyon gerektiren sıkıntılı solunum sendromlu (ARDS) bebeklerde g?r?lmektedir. Ayırıcı tanıda hyalin membran hastalığı, aspirasyon pn?monisi, akciğerin konjenital kistleri, lober amfizem ve diyafragma hernileri d?ş?n?lmelidir (28).

Katemenial pn?motoraks, kadınlarda menstr?el siklus esnasında vajina, uterus ve fallop t?pleri yoluyla havanın plevral boşluğa ge?mesiyle oluşmaktadır. Ayrıca pelvik endometriozis tanılı olgularda da aynı bulgular g?r?lmektedir.

Edinsel Pn?motoraks

Travmatik pn?motoraks: K?nt ve penetran travma nedeniyle ana bronşun yırtılması veya akciğer laserasyonu sonucunda oluşmaktadır. K?nt travmaya bağlı kosta kırığı ya da dislokasyon visseral plevrayı yırtarak pn?motoraksa neden olabilir. Hidropn?motoraks, disfaji ve pn?momediastinumun bulunması halinde ?zefagus yırtılması d?ş?n?lmelidir (27,28).

İyatrojenik pn?motoraks: Tanı ve tedavi amacıyla yapılan girişimlere bağlı olarak oluşmaktadır. Sıklıkla transtorasik iğne aspirasyonu veya biyopsi nedeniyle oluşmaktadır. Santral ven?z kateter uygulanması esnasında (%3-6) ve torasentezden sonra kronik obstr?ktif akciğer hastalığı (KOAH) olan olgularda (%41) pn?motoraks daha sık g?r?nmektedir.

Barotravmatik pn?motoraks: Mekanik ventilasyon esnasında %50 oranında pn?motoraks gelişmektedir. Aspirasyon pn?monisinde bu oran %35'e kadar ?ıkmaktadır (27,28).

Pn?motorakta radyolojik bulgular: PA akciğer radyografisinde plevral boşlukta pozitif basın?lı havanın toplanması ile akciğerin pariyetal plevradan ve g?ğ?s duvarından ayrılması sonucunda visseral plevra opak ?izgi şeklinde g?r?lmektedir. Kollabe akciğer hiler b?lgeye doğru toplanmaktadır. Lateral dek?bit grafi, PA akciğer grafisine g?re daha duyarlıdır. Pn?motorakstan kuşku duyulan olgularda inspiryum radyografisi yeterli değilse, ekspiryum radyografisi ile tanı konulabilir. Hasta cildindeki ve elbisesindeki kıvrımlar ve g?ğ?s t?p?ne bağlı artefaklar visseral plevraya benzer bulgu verebilir. Ayrıca parankimdeki subplevral blep, kavite ve b?l gibi lezyonlar da yanılgıya neden olabilir (7,18,25,27). Travmalı olgularda radyografide k???k boyuttaki pn?motoraks ve kosta kırıkları g?r?lmeyebilir (okk?lt pn?motoraks). Bu olguların %5'inde pn?motoraks vardır ve bunların da %40'ında okk?lt pn?motoraks bulunduğu belirtilnektedir (28). Bu olgularda BT daha ayrıntılı bilgi vermektedir. Supine pozisyonundaki radyografide havanın akciğerin ?n b?l?m?nde toplanması nedeniyle orta derecedeki pn?motoraks g?r?lmeyebilir.

Travmatik olgularda supine pozisyonundaki

radyografide pn?motoraks bulguları:

a. Hipokondrium b?lgesinde veya t?m hemitoraksta radyol?sensi vardır,

b. Mediasten ve diyafragma sınırlarında artan keskin kontur bulgusu,

c. Hava kostofrenik sin?slerde toplandığı i?in derin radyol?sent kostofrenik sin?s bulgusu (derin sulkus bulgusu),

d. Yeni doğanlarda ve bebeklerde supine radyoğrafisinde kuşkulu bulgu varsa diğer pozisyonlardaki radyografiler g?zden ge?irilmelidir (18,31-33).

Pn?motoraksın kompikasyonları

Tansiyon Pn?motoraks

Pn?motoraks gelişen olgularda g?r?lebilen klinik tablodur. Solunum siklusu boyunca intraplevral basıncın atmosfer basıncını aşması durumudur. Her inspirasyonda toraks duvarından veya akciğerden intraplevral boşluğa giren hava ekspirasyonda ?ıkamazsa tansiyon pn?motoraks meydana gelmektedir. Plevral boşluğa hava girmesine neden olan lezyon, tek y?nl? valf mekanizması oluşturmakla su?lanmaktadır. Plevral boşluktaki basın? atmosfer basıncının ?zerine ?ıkması ile akciğer tamamen kollabe olur. Mediastende karşı tarafa itilme, tek taraflı hemitoraksta genişleme ve diyafragmada d?zleşme g?r?l?r (30).

Hidropn?motoraks

Pn?motorakslı olguların %20-50'sinde pn?motoraksla birlikte plevral boşlukta berrak sıvı, kanla karışık ser?z sıvı veya kanlı sıvı bulunabilir.

Re-ekspanse Pulmoner ?dem

Pn?motoraks nedeniyle direnaj işleminden sonra kollabe akciğerin hızlı bir şekilde ekspanse olmasıyla birlikte tek taraflı olarak akciğerde pulmoner ?dem meydana gelir.

Pn?momediastinum

Yeni doğanlarda ve travmalı olgularda trakeada veya b?y?k hava yollarında ve ?zefagusta yırtılma sonucunda pn?motoraks ile birlikte pn?momediastinum g?r?lebilir.

Parazit Kaynaklı Plevra Hastalıkları

Amebiyazis

Etkeni Entamoeba histolytica olan amebiyazis insanlarda en sık g?r?len paraziter hastalıklardan birisidir. Genellikle amipli dizanteri veya karaciğer apsesi şeklinde g?r?lmektedir. Pl?ropulmoner amebiyazis sıklıkla karaciğer apsesinin komlikasyonuna bağlı olarak meydana gelir. Başlıca bulgular; plevral ef?zyon, karaciğer apsesine bağlı akciğer parankim tutulumu, hepatobronşial fist?l ve izole amebik akciğer apsesidir. PA radyoğrafide sağ diyafragmada y?kselme, plevral ef?zyon ve parankim tutulumu g?r?lmektedir (34). Plevral ef?zyon daima karaciğer amebiyazisinin toraksa yayılmasıyla meydana gelir. Amebiyazisli olguların %62'sinde sadece plevral bulguların ve %92 sinde kombine pl?ropulmoner bulguların bulunduğu belirtilmektedir (35). Kesin yanı klinik bulgularla birlikte serolojik, g?r?nt?leme bulguları ve histopatolojik bulgularla konulmaktadır (34).

Hidatik Kist Hastalığı

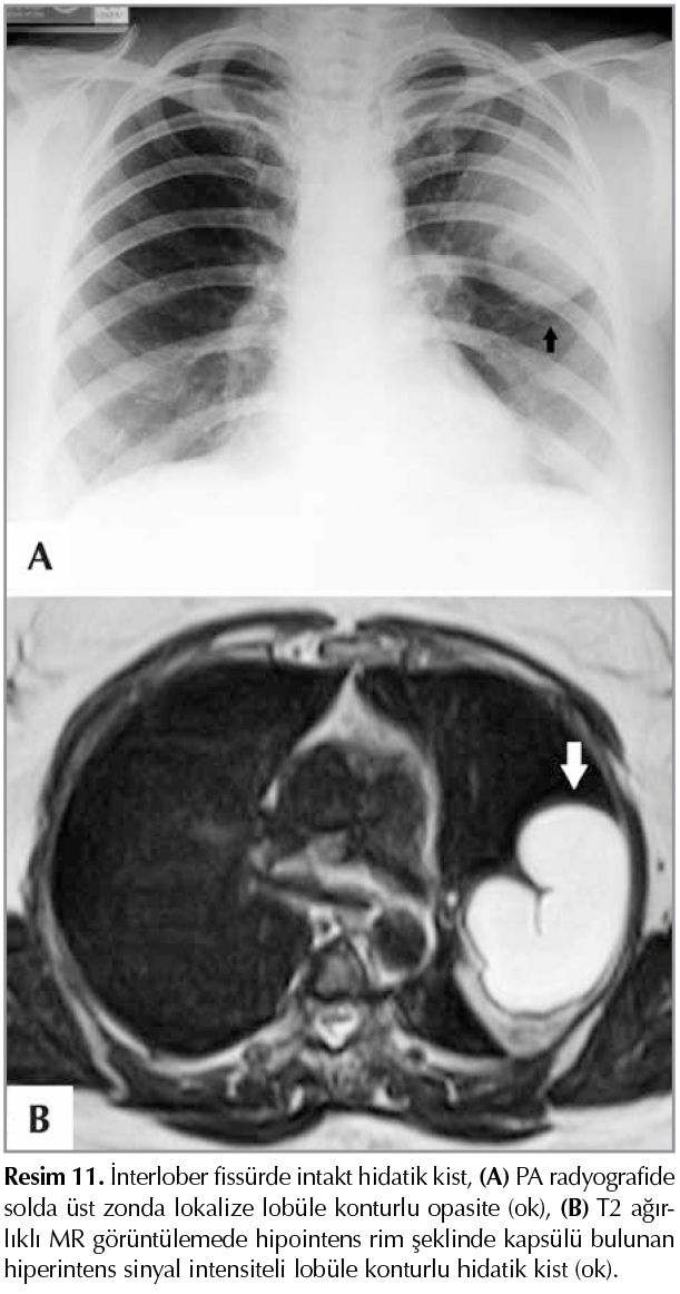
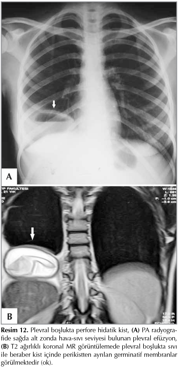
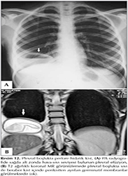
Hidatik kist nadiren plevral boşlukta ve interlober fiss?rde lokalize olmaktadır (primer plevral hidatidozis). Evcil k?peklerin neden olduğu hidatik kistle infekte olgularda sık g?r?lmemektedir (36). Plevral boşlukta ve interlober fiss?rdeki intakt hidatik kist PA radyografide homojen yoğunluk artışı g?stermektedir (Resim 11). USG'de ekoik kaps?ll? sıvı i?eren anekoik kistik lezyon şeklinde g?r?lmektedir. BT'?de diğer organlarda g?r?len bulgulara benzer şekilde kaps?ll? sıvı i?eren d?ş?k dansiteli kistik lezyon şeklinde g?r?lmektedir. MR g?r?nt?leme yumuşak doku kontrast ?zelliğine bağlı olarak gerek plevral boşluktaki, gerekse interlober fiss?rdeki kistik lezyonu diğer y?ntemlere g?re daha ayrıntılı g?stermektedir (37,38). Plevral boşluktaki intakt hidatik kist spontan olarak veya travma nedeniyle perfore olabilir Germinatif membranın perikistten ayrılması ile perfore hidatik kist i?in olduk?a spesifik bulgu olan g?r?n?m meydana gelmektedir. Bu olgularda PA radyografide plevral ef?zyona benzer bulgu ve hava-sıvı seviyesi g?r?lebilir. Bu olgularda yumuşak doku kontrast ?zelliği ve ?? boyutlu g?r?nt?leme ?zelliği nedeniyle MRG daha ayrıntılı bilgi vermektedir (Resim 12) (37,38).


Resim 11

Resim 12

Plevranın hidatik kistle tutulumu sıklıkla akciğerdeki veya karaciğerdeki kistik lezyonun plevral boşluğa perfore olmasından sonra ve diğer organlardan hematojen yayılıma bağlı olarak veya agresif cerrahi girişiminden sonra meydana gelmektedir [sekonder plevral hidatidozis-(SPH)] (39,40). Ayrıca radyografide tek taraflı hemitoraksta homojen yoğunluk artışı g?steren olgularda tanı amacıyla yapılan torasentezden veya perk?tan trastorasik biyopsiden sonra plevral boşluktaki kistin perfore olması sonucunda da SPH meydana gelebilir (41,42). Akciğerde lokalize hidatik kistin plevral boşluğa perfore olması ile yaşamı tehdit eden pn?motoraks, hidropn?motoraks, plevral ef?zyon ve ampiyem gibi komplikasyonlara neden olmaktadır. Hidatik kiste bağlı pn?motoraks g?r?lme oranı 145 olgu i?eren bir ?alışmada 43 (%29.7) olgu ve 67 olgu i?eren diğer ?alışmada 33 (%49.3) olgu? olarak belirtilmektedir (43,44). Hidatik kistle infekte olgularda karaciğerde lokalize kistik lezyonlara bağlı olarak diyafragma yoluyla plevra ve akciğer parankim tutulum oranı %0.6-6 arasında değişmektedir (45). Bu olgularda PA radyografinin tanısal değeri yeterli değildir. USG sadece karaciğerdeki kistik lezyonları g?stermektedir. MRG aynı anda plevra ve karaciğerdeki hidatik kiste bağlı tutulumla birlikte diyafragma yoluyla plevra tutulumunu daha ayrıntılı g?stermektedir (45,46).

Plevra t?m?rleri

Lipom

Pevranın en sık g?r?len benign t?m?r?d?r. Akciğer radyografisinde ve BT'de tesad?fen g?r?lmektedir. Yağ dansitesinde homojen atenuasyon (-50 HU,-150 HU) g?steren olgularda BT ile kesin tanı koymak m?mk?nd?r. T?m?r heterojen olduğu zaman ve -150 HU'den b?y?k atenuasyon değeri g?stermesi halinde liposarkomdan ş?phe edilmelidir (47-49).

Lokalize Fibr?z T?m?r (Benign Fibr?z Mezotelyoma)

Asbest teması ile ilişkisi belirlenmemiştir. Benign t?m?r olup, malign olgular da tanımlanmıştır (1,47,48). T?m?r olguların %80'inde visseral plevradan, %20'si pariyetal plevradan, diyafragmatik plevradan ve mediastinal plevradan kaynaklanmaktadır? (Resim 13) (50). Patognomonik radyolojik bulgular yoktur. Radyografide akciğer periferinde veya fiss?rde lokalize sınırları muntazam, lobule konturlu tek kitle şeklinde g?r?lmektedir. Sıklıkla bir sap ile (%30-50) plevraya yerleşmiştir. Kitlede kalsifikasyon ve basıya bağlı atelektazi g?r?lebilir. BT bulguları da spesifik olmayıp, radyografi bulgularına benzemektedir (47).


Resim 13

Dif?z Malign Plevral Mezotelyoma

Dif?z malign plevral mezotelyoma (DMPM) etyolojisinde en ?nemli neden asbest veya erionit tipi mineral lif teması sorumlu tutulmaktadır. Bu liflerin inhale edilmesi ile sıklıkla plevra, daha az oranda periton ve perikard mezotelyumundan DMPM gelişmektedir. DMPM mesleksel temasta ilk temastan sonra genellikle 30-40 yıl sonra ortaya ?ıkmaktadır. Yani latent periyod 30-40 yıl civarındadır (51-53). ?evresel temasta ise bu değerler değişmektedir. Asbest veya erionitle temas kırsal alanda doğumla başlamaktadır. ?lkemizdeki serilerde latent periyod 50-55 yaş civarındadır. İnhale edilen asbest lifleri aerodinamik yapıları nedeniyle bronşial alanda kolayca ilerleyerek akciğerin periferik b?lgelerine ulaşabilir. Akciğerlerde lenfatik dokusuna giren lifler pariyetal plevraya ulaşabilir. Diğer malign patolojilerde olduğu gibi lenfojen, hematojen yayılım yapabilir. Klinik değerlendirmede en sık bulgu nefes darlığı, pl?retik olmayan yan ağrısı ve ?ks?r?kt?r (53).

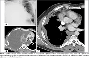
Akciğer radyografisinde olguların %80-95'inde g?r?len orta derecedeki veya masif plevral sıvıya bağlı tek taraflı homojen yoğunluk artışı ile birlikte mediastende karşı tarafa doğru yer değiştirme g?r?lebilir (Resim 14). Olguların %10-29'unda plevral sıvı yoktur veya daha az oranda g?r?lebilir. Plevral sıvı tek taraflı veya iki taraflı (%5-10) olabilir (54,55). Bazı kaynaklarda (olguların %95'inde) mediastende yer değişikliği ile birlikte veya yer değişikliği olmaksızın tek taraflı plevral sıvı g?r?lebileceği belirtilmiştir. Mediastende yer değişikliğinin olmaması akciğeri ?evreleyen plevral kitle nedeniyle mediastenin fikse olmasından kaynaklandığı belirtilmiştir (53,54,56,57). Asbest temaslı olgularda g?r?len plevral ef?zyon DMPM'yi d?ş?nd?rmesine rağmen, DMPM'nin erken d?neminde g?r?len ef?zyon kalp yetmezliğinde, ampiyemde ve diğer benign ve malign hastalıklarda g?r?len plevral sıvılara benzerlik g?stermektedir (55). Plevral sıvı ile beraber veya sıvı olmadan nod?ler veya d?zensiz dif?z plevral kalınlaşma en yaygın radyografi bulgusudur (Resim 14) (58,59). DMPM'li olguların %45-60'ında plevral aralığı ve fiss?rleri invaze eden d?zensiz konturlu veya lob?le konturlu nod?ler plevra kalınlaşması veya kitle g?r?n?m? vardır. Plevral kitlenin b?y?mesi ve akciğeri ?epe?evre sarması ile tek taraflı hacim kaybı, interkostal aralıklarda daralma ve mediastenle aynı tarafa doğru yer değişikliği g?r?lebilir (60-62). Ancak DMPM'nin erken d?nem tanısında radyografinin ?zg?ll?ğ? d?ş?kt?r (59,61). Plevrada dif?z nod?ler veya d?zensiz kalınlaşma g?steren olguların ayırıcı tanısında fibrotoraksa neden olan benign hastalıklar (organize kanama, t?berk?loz pl?rezi, ampiyem ve benign asbestoza bağlı plevral sıvı ve plevral plaklar), lokalize fibroz t?m?r, malign plevral mezotelyoma ve metastatik t?m?rler d?ş?n?lmelidir (58).


Resim 14

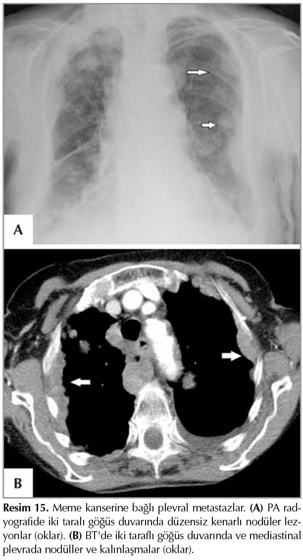
Plevranın Metastatik T?m?rleri

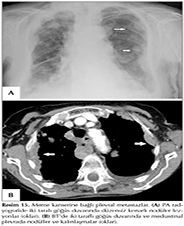
Plevrada lokalize t?moral lezyonların ?nemli b?l?m?n? diğer organlardaki t?m?rlerden kaynaklanan metastatik lezyonlar oluşturmaktadır. Başlıca metastatik lezyonlar akciğer kanserine (%40), meme kanserine (%20), lenfomaya (%10) ve diğer organ t?m?rlerine bağlıdır (48,63). İnvaziv timomanın plevral metastazlarını malign mezotelyomadan ayırt etmek g??t?r. Metastatik plevral lezyonlar plevrada nod?ler lezyonlara veya dif?z kalınlaşmaya neden olmakta ve radyografik bulguları mezotelyoma ile benzerlik g?stermektedir (Resim 15) (47).


Resim 15

Postoperatif D?nemde Plevral Boşluk

Torasik cerrahi girişim sonrası toraks duvarını oluşturan yumuşak dokular, kemik yapılar ve mediastende yer alan organlarda (?zefagus, trakea ve ana bronşlar, damarlar ve kalp boşlukları), diyafragmada ve akciğer parankimindeki morfolojik değişikliklerle birlikte gelişen komplikasyonların değerlendirilmesinde akciğer radyografisi ile birlikte USG ve kontrastlı BT yaygın olarak kullanılmaktadır (64). Akciğer patolojilerinde pn?monektomi (intraplevral, ekstraplevral, intraperikardiyal ve sleeve pn?monektomi), lobektomi ve sınırlı rezeksiyon (sleeve lobektomi, segmentektomi ve parenkim koruyucu cerrahi girişim) gibi cerrahi işlemler uygulanmaktadır. Akciğer parenkiminde rezeksiyon işleminin yapılmasından sonra, rezeksiyonun tipine ve cerrahi girişimin yapılmasından sonraki ge?en zamana g?re değişen komplikasyonlar g?r?lmektedir. Pn?monektomiden sonra yaklaşık 6-8 ay sonra plevral boşluk fibroz doku ile oblitere olmaktadır. Cerrahi girişimden sonra erken d?nemde en yaygın g?r?len komplikasyonlar; hemotoraks, şilotoraks, akciğer ?demi, akciğer torsiyonu, atelektazi, pn?moni, kalıcı hava ka?ağı, bronkoplevral fist?l (BPF) ve ampiyemdir (64). Ge? d?nemde g?r?len komplikasyonlar; postpn?monektomi sendromu, rezeksiyon alanında n?ks t?m?r gelişmesi, ?zefago-plevral fist?l (%0.2-1.0), lobektomiden sonra hava yollarında ve damarlarda darlık ve rezeksiyon alanında yabancı cisim ve torsiyonla birlikte kardiyak herniasyondur (63). Pn?monektomiden sonra g?r?len en ?nemli komplikasyon BPF'dir. Prevalansı %2-13 ve mortalite oranı %30-70'dir (63)).

BPF yalnız cerrahi rezeksiyondan sonra değil, travma, infeksiyon, t?moral kitle ve radyasyon gibi nedenlerden dolayı da g?r?lebilir (18,33). BPF'de radyolojik bulgular (Resim 16):


Resim 16

a. Plevral boşlukta hava artışı,

b. Hava-sıvı seviyesi,

c. Hava-sıvı seviyesinde değişiklik g?r?lmesi,

d .Tansiyon pn?motoraks,

e. Mediastenin cerrahi girişimden ?nceki konumuna d?nmesi,

f. Aspirasyon pn?monisi bulguları (18,33,64).

Sonu?

Plevra kaynaklı patolojilerin değerlendirilmesinde standart invaziv olmayan tanı y?ntemi? PA akciğer radyografisidir. Ancak dif?z plevral lezyonların tanısında PA akciğer radyografisinin duyarlılığı ve ?zg?ll?ğ? d?ş?kt?r. Toraks USG az miktardaki veya lok?le plevral sıvının saptanmasında yararlı y?ntemdir. USG plevral sıvıların morfolojik yapısını radyografiye g?re daha ayrıntılı g?stermektedir. Ayrıca USG rehberliğinde plevra biyopsisi ve sıvı drenajının g?venilir şekilde yapılması m?mk?nd?r. Kalsifikasyon gibi radyografide saptanan plevral lezyonlar, plevral lezyonların periferik parankimal lezyonlardan ayırt edilmesi BT de daha ayrıntılı olarak g?sterilmektedir. Ancak kesin tanı i?in g?r?nt?leme bulguları ile birlikte klinik bulguların kombine edilmesi gerekmektedir. Kontrastlı toraks BT yapılamıyan ve diğer y?ntemlerle tanı konulamayan olgularda MRG tamamlayıcı y?ntem olarak kullanılmaktadır.

KAYNAKLAR

  1. M?ller NL. Imaging of the plevra. Radiology 1993:297-309.
  2. Metintaş M. Plevra hastalıkları. TTD 9. G?ğ?s Hastalıkları? Mesleki Gelişim Kursu. Antalya: 2012:116-23.
  3. Sarısoy HT, G?rcan Mİ, Demirci A. Plevra patolojilerinde radyolojik g?r?nt?leme. J Clin Analitical Med 2010;11-5.
  4. Vix VA. Roentgenographic manifestations of pleural disease. Semin Roentgenol 1977;12:277-86.
  5. Light RW. Pleural disease. 4th ed. Philadelphia: Lippincott Williams & Wilkins, 2001:21-41.
  6. Akman C. Radyolojik değerlendirme. In: G?z? O, K?kt?rk O (edit?rler). Plevral hastalıkları. Toraks Kitapları 2003:31-9.
  7. Rubens MB, Padley SP. Pleura. In: Sutton D (ed). Text book of radiology and imaging. 6th ed. Edinburg: Churchill Livingstone, 1998:579-97.
  8. Lipscomb DY, Flower CDR, Hadfield JW. Ultrasound of the pleura: an assessment of its clinical value. Clin Radiol 1981;32:289-90.
  9. Moskowitz H, Platt RI, Schatter R, Mellins H. Roentgen visualization of minute pleural effusion. An experimental study to determine the minimum amount of pleural fluid visible on a radiograph. Radiology 1973;109:33-5.
  10. Kocijancic I, Vidmar K, Ivanovi- Herceg Z. Chest sonography versus lateral decubitus radiography in the diagnosis of small pleural effusions. J Clin Ultrasound 2002;31:69-74.
  11. Fleischner FG. Atypical arragement of free pleural effusion. Radiol Clin North Am 1963; 1:347-62.
  12. Higgins JA, Juergens JL, Bruwer AJ, Parkin TW. Loculated interlobar pleural effusion due to congestive heart failure; report of five cases. Arch Intero Med 1955;96:180-7.
  13. Emamian SA, Kaasbol MA, Olsen JF, Pedersen JF. Accuracy of the diagnosis of pleural effusion on supine chest X-ray. Eur? Radiol 1997;7:57-60.
  14. Ruskin JA, Gurrey JW, Thorsen MK, Goodman LR. Detection of pleural effusions on supine chest radiographs. AJR Am J Roentgenol 1987;148:681-3.
  15. Woodring JH. Recognition of pleural effusion on supine radiographs; how much fluid is required? AJR Am J Roentgenol 1984;142:59-64.
  16. Kitazono MT, Lau CT, Parada AN, Renjen P, Miller WT Jr. Differentiation of pleural effusions, from accuracy? of bedside chest radiography. AJR Am J Roentgenol 2010;194:407-12.
  17. ?zkan R. Plevra hastalıklarda radyolojik bulgular. T?rkiye Klinikleri J Radiol Special Topics 2002;2:96-110.
  18. M?ller NL, Fraser RS, Colman NC, Pare PD. Radiollogic diagnosis of disease of the chest. 1st ed. Philadelphia: WB Saunders Com, 2001:664-5.
  19. Savaş I. Pleural fibrosis. In: G?z? O, K?kt?rk O (edit?rler) Plevra hastalıkları. Toraks Kitapları 2003:322-4.
  20. Metintaş M, Hillerdal G, Metintaş S. Environmental asbestos exposure and malignant plevral mesothelioma. Respir Med 1999;93:349-55.
  21. Metintaş M. Asbest temasına bağlı pleural patolojiler ve mezotelyoma. T?rkiye Klinikleri J lnt Med Sci 2005;1:96-110.
  22. ??pl? L. Aspeste bağlı plevra hastalıkları. In: G?z? O, K?kt?rk O (edit?rler). Plevra hastalıkları. Toraks Kitapları 2003;4:224-9.
  23. McLoud TC. Conventional radiography in the diagnosis of asbestos-related disease. Radiol Clin North Am 1992;30:1177-89.
  24. Hillerdal G, Lindgren A. Pleural plaques; Correlation of autopsy findings to radiographic findings and occupational history. Eur J Respir 1980;61:314-9.
  25. Mc Loud TC.? Pleura. In Thoracic radiology. The requisite Chapter 18. St Louis: Mosby, 1998;483-96.
  26. Mc Adams Hr, Erasmus? J, Winter JA. Radiologic manifestations of pulmonary tuberculosis. Radiol Clin North Am 1995;33:655-78.
  27. Lillingtone GA. A diagnostic approach to chest. 3rd ed.? Baltiomore: Williams & Wilkins, 1987:369-437.
  28. Topcu S. Pn?motoraks. In: G?z? O, K?kt?rk O (edit?rler). Plevra hastalıkları. Toraks Kitapları 2003;4:302-21.
  29. Gobbel WG, Rhea WG, Nelson IA, Daniel RA. Spontaneous pneumothorax. J Thorac Cardiovasc Surg 1963;46:331-45.
  30. Altınnok T, Topcu S. Pneumotoraks. In: ?zl? T, Metintaş U, Karadağ M, Kaya A (edit?rler). Solunum sistemi ve hastalıkları. İstanbul: İstanbul Tıp Kitabevi 2010;1997-2003.
  31. Miller LA, Chest Wall. Lung and pleural space travma. Radiol Clin North Am 2006;44:213-24.
  32. Tocino IM, Miller MH, Fairfax WR. Distrubation of pneumothorax in the supine and semi recumbent critically ill adult. AJR Am J Roentgenol 1985;144:901-5.
  33. Wilson AG. Pleura and pleural disorders. In : Armstrong P, Wilson AG, Dee P, Hansell DM (eds). Imaging of the disease of the chest. 2nd ed. St Louis: Mosby, 1995:641-716.
  34. Ravdin JI. Entamoeba histolytica. In: Mandell GL, Bennet JE, Dolin? R (eds). Principles and practice of infectious disease. 2nd ed. Philadelphia: Churchill Livingstone, 1998:2798-810.
  35. Stephan SJ, Urogoda CG. Pleuro pulmonary amebiasis: a rewiev of 40 cases. Br J Dis Chest 1970;64:96-108.
  36. Skerett SJ, Plorde JJ. Parasitic infections of the pleural space. Semin Respir Med 1982;13:242-58.
  37. Emlik D, Kiresi D, Sunam GS, Kivrak AS, Ceran S, Odev K. Intrathoracic extrapulmonary hydatid disease: radiologic manifestations. Can Assoc Radiol J 2010;61:170-6.
  38. ?dev K, Kaya HE. Akciğer ve toraks hidatik kistinde radyolojik bulgular. T?rkiye Klinikleri J Radiol Special Topics 2015;8:21-33.
  39. Roberts PP. Parazitic infections of the pleural? space. Semin Respir Infect 1988;3:362-82.
  40. Aguilar X, Fernandez- Muixi J, Magarolos R, Saur? A, Vidal F, Richart C. An unusual presentation of secondary pleural hydatidosis. Eur Respir J 1998;11:243-5.
  41. Al Karawi MA, El Shiekh AR, El Tayeb BO, Yasawy MI. Un intentional percutaneous aspiration of a pleural hydatid cyst. Thorax 1991;46:859-60.
  42. Kıreşi DA, Karabacakoğlu A, ?dev K, Karak?se S. Uncomman locations of hydatid cysts. Acta Radiol 2003;44:622-36.
  43. Arıbaş OK, Kanat F, G?rm?ş N, Turk E. Pleural complications of hydatid disease. J Thorac Cardiovasc Surg 2002;123:492-7.
  44. Kuzucu A, Soysal ?, ?zgel M, Yologlu S. Compicated hydatid cysts of the lung: clinical and theropeutic Issues.? Ann Thorac Surg 2004;77;1200-4.
  45. Pedrosa I, Saiz A, Arrazola J, Ferreir?s J, Pedrosa CS. Hydatid disease: radiologic and pathologic features and complications.? Radiographics 2000;20:795-817.
  46. Kilani T, El Hammani S, Horchani H, Ben Miled-Mrad K, Hantous S, Mestiri I, et al. Hydatid disease of the liver with thoracic involvement. World J Surg 2001;25:40-5.
  47. Dynes MC, White Em, FRY WA, Ghahremani GG. Imaging manisfestations of pleural tumors. Radiographics 1992;12:1191-201.
  48. Epler GR, McLoud TC, Munn CS, Colby TV. Pleural lipoma. Diagnosis by computed tomography. Chest 1986;90:265-8.
  49. Munk PL, M?ller NL. Pleural liposarcoma. CT diagnosis. J Comput Assist Tomogr 1988;12:709-10.
  50. Hill JK, Heitmiller RF, Askin FB, Kuhlman JE. Localized benign pleural mesothelioma arising in a radiation field. Clin Imaging 1997;21:187-94.
  51. Metintas M, Ozdemir N, Hillerdal G, U?gun I, Metintas S, Baykul C, et al. Environmental asbestos exposure and malignant pleural mesothelioma. Respir Med 1999;93:349-55.
  52. Boutin C, Schlesser M, Frenay C, Astoul P. Malignant pleural mesothlioma. Eur Respir J 1998;12:972-81.
  53. Metintaş M. Asbest temasına bağlı plevral patolojiler ve mezotelyoma. T?rkiye Klinikleri J Int Med Sci 2005;1:96-110.
  54. Wechsler RJ, Steiner RM, Conant EF. Occupationally induced neoplasms of the lung and pleura. Radiol Clin North Am 1992;30:1245-68.
  55. Ismail-Khan R, Robinson LA, Williams CC, Garrett CR, Bepler G, Simon GR. Malignant pleural mesothelioma. A compre hensive review. Cancer Control 2006;13:255-63.
  56. Hansell DM, Armstrong P, Lynch DA, McAdams HP. Imaging of the diseases of the chest. 4th ed. Philadelphia: Elsevier Mosby, 2005:859-63.
  57. McLoud TC. CT and MR in pleural disease. Clin Chest Med 1998;19:261-76.
  58. ?dev K, Metintaş M, ?zkan R. Malign plevral mezotelyoma. T?rkiye Standartları Rehberi. Radyolojik G?r?nt?leme Bulguları. Eskişehir: OG?, 2014;43-53.
  59. Marom EM, Erasmus JJ, Pass HI, Patz EF Jr. The role of imaging in malignant pleural mesothelioma. Semin Oncol 2002;29:26-35.
  60. Eibel R, Tuengerthal S, Schoenberg SO. The role of new imaging techniques in diagnosis and staging of malignant pleural mesothelioma. Curr Opin Oncol 2003;15:131-8.
  61. Rabinowitz JG, Efremidis SC, Cohen B, Dan S, Efremidis A, Chahinian AP, et al. A comparative study of mesothelioma and asbestosis using computed tomography and conventional chest radiography. Radiology 1982;144:453-60.
  62. Henschke CI, Yankelevitz DF, Davis SD. Pleural disease: multimodality imaging and clinical management. Curr Probl Diagn Radiol 1991;20:159-79.
  63. Kim EA, Lee KS, Shim YM, Kim J, Kim K, Kim TS, et al. Radiographic and CT findings in complications following pulmonary resection. Radiographics 2002;22:67-86.
  64. Sarısoy HT. Postoperatif d?nem hastalarında radyolojik g?r?nt?leme. Toraks Cerrahi B?lteni 2013;202-6.

Yazışma Adresi (Address for Correspondence)

Dr. Necdet POYRAZ

Necmettin Erbakan ?niversitesi Meram Tıp Fak?ltesi,

Radyoloji Anabilim Dalı,

KONYA - TURKEY

e-mail: necdetpoyraz@gmail.com

Yazdır