Yazdır

KLİNİK ?ALIŞMA
RESEARCH ARTICLE

Doi: 10.5578/tt.10745
Tuberk Toraks 2016;64(4):310-314

Gelis Tarihi/Received: 15.12.2015 • Kabul Edilis Tarihi/Accepted: 20.01.2016

İnflamatuvar bağırsak hastalığı ve pulmoner emboli: 3 olgu nedeniyle

Bet?l ABANOZ1, Arif Mansur COŞAR2, M?ge ERBAY3, Savaş ?ZSU3, Yılmaz B?LB?L3


1 Trabzon Numune Eğitim ve Araştırma Hastanesi, Acil Tıp Kliniği, Trabzon, T?rkiye

1 Clinic of Emergency Medicine, Trabzon Numune Training and Research Hospital, Trabzon, Turkey

2 Karadeniz Teknik ?niversitesi Tıp Fak?ltesi, Gastroenteroloji Bilim Dalı, Trabzon, T?rkiye

2 Department of Gastroenterology, Faculty of Medicine, Karadeniz Technical University, Trabzon, Turkey

3 Karadeniz Teknik ?niversitesi Tıp Fak?ltesi, G?ğ?s Hastalıkları Anabilim Dalı, Trabzon, T?rkiye

3 Department of Chest Diseases, Faculty of Medicine, Karadeniz Technical University, Trabzon, Turkey

?ZET

İnflamatuvar bağırsak hastalığı ve pulmoner emboli: 3 olgu nedeniyle

İnflamatuvar bağırsak hastalıklarında (İBH) tromboembolik komplikasyonlar ciddi mortalite ve morbidite nedenidir. Tromboembolik olaylar daha ?ok akut atak sırasında ?zellikle steroid tedavisi alanlarda g?r?lmektedir. Farkındalığın artması ve ?zellikle antikoag?lan profilaksisi bu hastalarda olduk?a ?nemlidir. Bu ?alışmada pulmoner tromboemboli tanısı konulan 3 olgu g?ncel literat?r eşliğinde sunulmuştur.

Anahtar kelimeler: İnflamatuvar bağırsak hastalıkları, tromboz, mortalite, antikoag?lan

SUMMARY

Inflammatory bowel disease and pulmonary embolism: Because of 3 cases

Thromboembolic complications are an important cause of morbidity and mortality in inflammatory bowel diseases (IBD). Thromboembolic events are observed more frequently during acute flare of the disease, especially patients received steroid therapy. Increase in awareness and especially anticoagulation prophylaxis in these patients are extremely important. In this article, three cases with diagnosed pulmonary thromboembolism (PE) were presented accompanied by the current literature.

Key words: Inflammatory bowel diseases, thrombosis, mortality, anticoagulation

Geliş Tarihi/Received: 15.12.2015 • Kabul Ediliş Tarihi/Accepted: 20.01.2016

GİRİŞ

İnflamatuar bağırsak hastalığı (İBH) başlıca formları Crohn hastalığı (CH) ve ?lseratif kolit (?K) olan; ağırlıklı olarak gastrointestinal yolu etkilemesine rağmen, trombozis gibi ?eşitli ekstra-intestinal manifestasyonlarla ilişkili olabilen lokal ve sistemik inflamasyonla karakterizedir. İBH olan hastalarda tromboembolik olayın gelişmesi hayatı tehdit eden bir komplikasyondur (1).

İBH hastalarında tromboz prevalansının %1.2-%6.7 olduğu tahmin edilmektedir, otopsi ?alışmalarında ise bu oranın %39 kadar olduk?a y?ksek olduğu g?sterilmiştir (1,2).

Tromboz gelişme riski; İBH olanlarda normal pop?lasyonla karşılaştırıldığında ?? kat artmıştır (3). İBH hastalarında en sık bildirilen tromboembotik komplikasyon; derin ven trombozu (DVT) ve pulmoner emboli (PE)'dir (2). Bu ?alışmada PE tanısı konulan 3 olgu literat?r eşliğinde sunulmuştur.

OLGU SUNUMLARI

Olgu 1

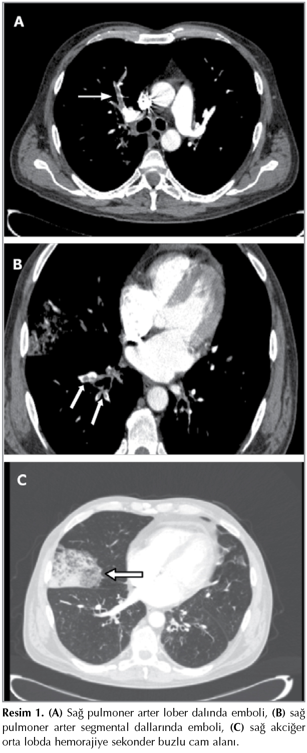
Elli yaşındaki erkek hasta 4 ay ?nce tanı aldığı ?lseratif kolitin atak tedavisi i?in gastroenteroloji servisinde yatarak metilprednizolon ve azatioprin tedavisi almakta idi. Hastanın ?zge?mişinde 30 paket/yıl sigara i?me ?yk?s? vardı. Yatışının 22. g?n?nde hastada sağ yan ağrısı ve taşikardi gelişti. Kan basıncı 100/60 mmHg, O2 sat?rasyonu %96 (O2 desteği ile), nabız: 155/dakika, solunum sayısı: 26/dakika idi. Kan tetkiklerinde; hemoglobin: 10.6 g/dL, beyaz k?re: 15.500 K/uL, platelet: 199.000 K/uL, troponin-I: 18 ng/mL (normal < 14 ng/mL) idi. PE ?n tanısıyla ?ekilen Toraks bilgisayarlı tomografi (BT)'sinde "sağ pulmoner arterin lober ve segmental dallarında, sol pulmoner arterin ?st lob segmental dallarında emboli ile uyumlu dolum defekti" ve "sağ akciğer orta lob lateralde, etrafında buzlu cam dansitesinin eşlik ettiği geniş boyutta hemorajiye sekonder konsolidasyon alanı" saptandı (Resim 1A,B,C). Hastaya heparin inf?zyon tedavisi başlandı. Takipte saatler i?inde hastanın tansiyonu 80/50 mmHg olması ?zerine hasta yoğun bakıma alındı ve 100 mg/2 saat alteplaz tedavisi verildi. Trombolitik tedaviye yanıt vermeyen hasta yoğun bakıma yatışının 16. saatinde eks oldu.


Resim 1

Olgu 2

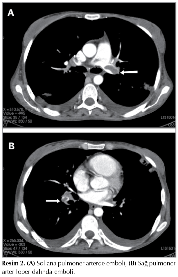
Otuz ?? yaşındaki kadın hasta 8 ay ?nce Crohn hastalığı tanısı almıştı, t?m?r nekroz fakt?r?-alfa (TNF-) inhibit?r? ve steroid tedavisi başlanmıştı. Hasta halsizlik, ateş, iştahsızlık ve anemi nedeniyle gastroenteroloji servisine yatırıldı. Oral alamayan hastaya periferik damar yolu a?ılamadığından santral kateter takıldı. Yatışının 2. g?n?nde hastanın g?ğ?s ağrısı, nefes darlığı ve senkop gelişmesi ?zerine hastaya toraks BT ?ekildi. Toraks BT'sinde "her iki akciğer ana pulmoner arterde, sağ akciğer ?st ve alt lob, sol akciğer ?st ve alt lob lober, segmental ve subsegmental pulmoner arter dallarında emboli ile uyumlu dolum defekti" saptandı (Resim 2A,B). Bu d?nemde yapılan kan tetkiklerinde hemoglobin: 9.4 g/dL, beyaz k?re: 2800 K/uL, platelet: 120.000 K/uL, D-Dimer: 1.68 ng/mL (normal < 0.5) idi. ?ncesinde tromboz profilaksisi almayan hastaya standart heparin tedavisi başlandı. İki g?n sonra ?ekilen ekokardiyografide; sistolik pulmoner arter basıncı: 40 mmHg ve sağ boşluklarda dilatasyon saptandı. Heparin tedavisi altında yatışının 7. g?n?nde hastada nefes darlığında artış, taşikardi ve O2 sat?rasyonunda d?şme saptandı. Hastanın tansiyonu 80/50 mmHg olması olması ?zerine hastada reemboli d?ş?n?ld?. Bu d?nemde ise D-Dimer seviyesi 9.68 ng/mL'e y?kseldi, troponin-I: 0.299 ng/mL (normal < 0.04)'du. Arterial kan gazında pH 7.47; PCO2: 25 mmHg; PO2: 27 mmHg; O2 sat?rasyonu %50 idi. Hasta yoğun bakıma alınarak 100 mg alteplaz verildi. Hasta arrest olunca 2. kez trombolitik tedavi verildi. Hasta yoğun bakıma yatışının 2. g?n?nde (hastaneye yatışın 9. g?n?) eks oldu.


Resim 2

Olgu 3

Otuz beş yaşındaki kadın hasta 1.5 ay ?nce ?K tanısı almıştı, 2 hafta hastanede yatırılarak tedavi aldıktan sonra oral azatioprin ve steroid tedavisi başlanarak taburcu edilmişti. Taburcu edildikten 2 hafta sonra hastada nefes darlığı, sırt ağrısı ve hemoptizi şikayeti başlamıştı. Fizik muayenesinde; kan basıncı 90/60 mmHg, nabız: 78 atım/dakika, oksijen sat?rasyonu %97 ve solunum sayısı 28 /dakika idi. Kan tetkiklerinde; hemoglobin 10.1 g/dL, beyaz k?re 10.800 K/uL, platelet 397.000 K/uL idi. D-dimer seviyesi 0.88 mg/L (normal < 0.5) idi. Bunun ?zerine ?ekilen toraks BT'sinde sağ ve sol alt segmenter damarlarda dolum defekti saptandı (Resim 3). Hastaya d?ş?k molek?l ağırlıklı heparin (DMAH) başlandı ve daha sonra warfarin tedavisi eklenen hasta yatışının 7. g?n?nde taburcu edildi.


Resim 3

TARTIŞMA

İBH hastalarında trombozun patofizyolojisi komplekstir ve hen?z tam aydınlatılamamıştır. Bir?ok fakt?r hemostazı etkileyebilir ve İBH'de PE gelişmesine katkıda bulunabilir. Sıvı azlığı, uzamış immobilizasyon, cerrahi, santral ven?z kateter kullanımı, steroid tedavisi, oral kontraseptif veya hormon replasman tedavisi, sigara kullanımı ve homosisteinemiye neden olan vitamin eksiklikleri gibi durumlar İBH hastalarında trombozun edinilmiş risk fakt?rleri olarak bulunmuştur (4). İnflamasyonun da, hemostatik dengeyi koag?lasyonun aktivasyonu y?n?nde etkilediği bir?ok ?alışmayla kanıtlanmıştır (5).

Ven?z tromboembolizm (VTE), hastalığın aktif d?neminde ve yaygın hastalığı olan hastalarda (pankoliti olan CH hastaları ve geniş kolon tutulumu olan ?K hastalarında) daha sık g?r?lmektedir (2,3). Grainge ve arkadaşlarının yaptığı ?alışmaya g?re; normal pop?lasyonda ven?z tromboembolinin yıllık insidans 0.6/1000 iken, İBH hastalarında yıllık insidansı 2.6/1000'dir. Bu oran atak d?neminde ise 9/1000'e ?ıkar. Ancak atak d?neminde hastaneye yattıklarında VTE'nin yıllık insidansı 37/1000'e y?kselir (3). Tromboemboli gelişen İBH hastaların %71'inin aktif d?neminde olduğu g?sterilmiştir (6). B?t?n veriler ışığında ilk iki hastamızın da hastaneye yatışı gerektiren atak d?neminde olduğu g?r?lmektedir. ???nc? olgumuz ise yeni tanı almıştı.

Bu hastalarda kullanılan glukokortikoidler protrombotik ajanlardır. ?zellikle yakın zamanda kullanıldığında trombozisi ind?kler ve y?ksek dozlarda kullanıldığında daha trombojenik olur (7). Bizim ?? olgumuz da, VTE geliştiği sırada steroid ve imm?nmod?lat?r tedavi almaktaydı. Aynı zamanda 2. hastada santral kateter takıldıktan sonra PE gelişti. Bu durumda kolaylaştırıcı bir fakt?r olarak değerlendirilebilir.

Sigara i?mek tromboz i?in bir risk fakt?r?d?r. Sigara; İBH'nin patogenezinde yer alan platelet aktivasyonu ve platelet-l?kosit agregasyonuna neden olabilir. Ayrıca sigara, CH i?in sadece predispozan değil, aynı zamanda hastalığın progresyonunda da olumsuz etkisi vardır. ?K'te ise tromboza karşı koruyucu olarak g?r?nse de, nikotin ila? olarak kullanıldığında protrombotik etkisi ağır basar. Birinci olgumuzda sigara risk fakt?r?n?n bulunması tromboz gelişimini kolaylaştırmış olabilir (8).

Oral kontraseptif (OKS) kullanımının tromboemboli i?in predizpozan olduğu bilinmektedir. CH ile OKS kullanımı arasında zayıf bir epidemiyolojik ilişki g?sterilmiştir, fakat hastalığın progresyonunu k?t?leştirmiyor gibi g?r?nmektedir. OKS kullanımı da sigara gibi karıştırıcı bir fakt?r olabilir (8). Bizim her iki hastamızda atak nedeniyle hastaneye yatışı s?z konusuydu ve steroid tedavisi almaktaydı. Ayrıca, iki kadın hastamızda OKS kullanım ?yk?s? yoktu.

İleri yaş VTE i?in bağımsız bir risk fakt?r? olmasına rağmen, İBH hastalarında VTE oranı 40 yaşın altında daha y?ksektir. İBH tipleri ve cinsiyetler arasında ise VTE riski a?ısından fark yoktur (9). Bizim 3 olgumuzdan 2'si 40 yaşın altında idi.

Hekimlerin bu artmış VTE riskinin farkında olmalarına rağmen, İBH hastalarında VTE y?netimine ilişkin klinik pratikte sorun yaşanabilir. ?rneğin bu hastalarda kanlı ishal varlığı antikoag?lan kullanımı i?in yanlış bir şekilde kontrendikasyon olarak değerlendirilmektedir. İlaveten İBH dışı bir durum nedeniyle hastaneye yattıklarında profilaksi ve VTE geliştiğinde antikoag?lasyonun s?resi gibi konularda belirsizlik vardır (10). Bu hastalar diğer hastalar gibi akut PE tanısı aldıklarında tedavi edilmelidirler ve hastaneye yattıklarında da ciddi kanama gibi kontrendikasyona yol a?acak durum yoksa tromboprofilaksi yapılması gerekmektedir. Hastanede yatmakta olan İBH'li hastalara; tromboprofilaksi amacıyla standart heparin (g?nde 2 x 5000 U veya y?ksek riskli hastalarda 3 x 5000 U, cilt altı), d?ş?k molek?l ağırlıklı heparin (enoksoparin g?nde 1 x 40 mg, cilt altı veya dalteparin g?nde 1 x 5000 U, cilt altı) ya da fondaparinuks (g?nde 1 x 2.5 mg, cilt altı) ?nerilmektedir. Kanama riski y?ksek olan hastalarda mekanik tromboprofilaksi yapılması gerekir. Bu ama?la basın?lı elastik ?oraplar (diz ve uyluk boyu) ve aralıklı pn?matik kompresyon cihazları kullanılır (11). İBH'de tromboprofilaksi yaklaşımı Tablo 1'de ?zetlenmiştir (10,12).


Tablo 1

Sonu? olarak İBH'de PE'de genel pop?lasyona g?re daha sık g?r?lmektedir ve mortalite daha y?ksektir. ?zellikle yatan hastalarda kılavuzlara uygun bir şekilde antikoag?lan profilaksisi ile beraber hidrasyon ve erken mobilite gibi yaklaşımlar hayat kurtarıcı olabilir.

KAYNAKLAR

  1. Talbot RW, Heppell J, Dozois RR, Beart Jr RW. Vascular complications of inflammatory bowel disease. Mayo Clin Proc 1986;61:140-5.
  2. Miehsler W, Reinisch W, Valic E, Osterode W, Tillinger W, Feichtenschlager T, et al. Is inflammatory bowel disease an indepen- dent and disease specific risk factor for thromboembolism? Gut 2004;53:542-8.
  3. Grainge MJ, West J, Card TR. Venous thromboembolism during active disease and remission in inflammatory bowel disease: a cohort study. Lancet 2010;375:657-63.
  4. Danese S, Sans M, Fiocchi C. Inflammatory bowel disease: The role of environmental factors. Autoimmun Rev 2004;3:394-400.
  5. Esmon CT. The interactions between inflammation and coagulation. Br J Haematol 2005;131:417-30.
  6. Bollen L, Vande Casteele N, Ballet V, van Assche G, Ferrante M, Vermeire S, et al. Thromboembolism as an important complication of inflammatory bowel disease. Eur J Gastroenterol Hepatol 2016;28:1-7.
  7. Johannesdottir SA, Horvath-Puho E, Dekkers OM, Cannegieter SC, J?rgensen JO, Ehrenstein V, et al. Use of glucocorticoids and risk of venous thromboembolism: a nationwide populationbased case-control study. JAMA Intern Med 2013;173: 743-52.
  8. Irving PM, Pasi KJ, Rampton DS. Thrombosis and Inflammatory Bowel Disease. Clin Gastroenterol Hepatol 2005;3:617-28.
  9. Bernstein CN, Blanchard JF, Houston DS, Wajda A. The incidence of deep venous thrombosis and pulmonary embolism among patients with inflammatory bowel disease: a population-based cohort study. Thromb Haemost 2001;85:430-34.
  10. Nguyen GC, Bernstein CN, Bitton A, Chan AK, Griffiths AM, Leontiadis GI, et al. Consensus statements on the risk, prevention, and treatment of venous thromboembolism in inflammatory bowel disease: Canadian Association of Gastroenterology. Gastroenterology 2014;146:835-48.
  11. T?rk Toraks Derneği. Pulmoner tromboembolizm tanı ve tedavi uzlaşı raporu. 2015;70-80.
  12. Kearon C, Akl EA, Comerota AJ, Prandoni P, Bounameaux H, Goldhaber SZ, et al. Antithrombotic therapy for VTE disease antithrombotic therapy and prevention of thrombosis, 9th (ed). American College of Chest Physicians Evidence-Based Clinical Practice Guidelines, 2012;419-96.

Yazışma Adresi (Address for Correspondence)

Dr. Savaş ?ZSU

Karadeniz Teknik ?niversitesi Tıp Fak?ltesi,

G?ğ?s Hastalıkları Anabilim Dalı,

TRABZON - TURKEY

e-mail: savasozsu@gmail.com

Yazdır