Yazdır

EDİT?RE MEKTUP
LETTER TO THE EDITOR

Doi: 10.5578/tt.10133
Tuberk Toraks 2016;64(1):91-93

Geliş Tarihi/Received: 19.08.2015 • Kabul Edilis Tarihi/Accepted: 23.08.2015

Yeni tanımlanan bir antite: Kombine pulmoner fibrozis ve amfizem sendromu

G?listan KARADENİZ1, Sibel DORUK1, Neslin ŞAHİN2


1 Şifa ?niversitesi Tıp Fak?ltesi, G?ğ?s Hastalıkları Anabilim Dalı, İzmir, T?rkiye

1 Department of Chest Diseases, Faculty of Medicine, Sifa University, Izmir, Turkey

2 Şifa ?niversitesi Tıp Fak?ltesi, Radyoloji Anabilim Dalı, İzmir, T?rkiye?

2 Department of Radiology, Faculty of Medicine, Sifa University, Izmir, Turkey

T?berk?loz Toraks Dergisinin "2015;63(1)" sayısında yayınlanan ?z?elik ve arkadaşları tarafından yazılan combine pulmoner fibrozis ve amfizemli bir olgunun sunulduğu "Yeni tanımlanan bir antite: Kombine pulmoner fibrozis ve amfizem sendromu" başlıklı makaleyi okuduk (1). Yeni tanımlanan bir antite olarak bildirilen ve bizim de radyolojik ve klinik olarak benzer ?zellikleri taşıyan olgumuzu literat?r eşliğinde sunmak istedik.

Kombine pulmoner fibrozis ve amfizem sendromu (CPFE) akciğerin ?st loblarında amfizem ve alt loblarında fibrozis ile karakterize nadir g?r?len bir hastalıktır. İlk kez Wiggins ve arkadaşları 1990'da sekiz hastayı i?eren olgu serisinde bu antiteyi "kriptojenik fibrozan alveoli ve amfizem" birlikteliği olarak tanımlamışlardır (2). "Kombine pulmoner fibrozis ve amfizem sendromu" terimi ilk kez Cottin ve arkadaşları tarafından 2005'te sigara i?en, egzersiz dispnesi/egzersiz hipoksemisi olup ?st loblarda amfizem alt loblarda fibrozisin eşlik ettiği akciğer vol?mlerinin korunup, dif?zyonun kapasitesinin (DLCO) azaldığı bir sendrom olarak tanımlanmıştır (3).

Y?ksek ??z?n?rl?kl? bilgisayarlı tomografi (YRBT) bu sendromun tanısında b?y?k ?neme sahiptir (4). YRBT'de ?st loblarda sentrlob?ler ve/veya paraseptal, multipl b?ll?z amfizem ve alt loblarda subplevral retik?ler opasiteler, traksiyon bronşektazileri, bal peteği ve bazen buzlu cam opasiteleri g?r?l?r (3). Amfizem b?ll?z, paraseptal veya sentrilob?ler olabileceği gibi pulmoner fibrozisde ?oğunlukla usual interstisyel pn?moni nadiren diğer tip interstisyel pn?moniler olabilir (1,5). He ve arkadaşları M mod ultrason ile CPFE sendromunun tanısı i?in yeni bir metod tanımlamış, derin inspiryumda diyafram hareketinin IPF'li hastalarda normal ve normale yakın kronik obstr?ktif akciğer hastalığı (KOAH) hastalarda azalmış, CPFE sendromunda ise en d?ş?k olduğunu bulmuşlardır (6). IPF ve sağlıklı kontrol arasında diyafram hareketlerinde fark saptanmamıştır. Bu nedenle CPFE'yi KOAH ve IPF'den ayırmak i?in derin inspiryum sırasında M mod ultrasonografi ile diyafram hareketinin değerlendirilmesini ?nermişlerdir (6).

?z?elik ve arkadaşları literat?rde şimdiye kadar sadece 70 hastada CPFE sendromu tanımlandığını belirtmişler ancak CPFE sendromunun prevelansı tam olarak bilinmemektedir (4).

CPFE yalnızca amfizemi olan olgulara g?re daha k?t? prognoza sahip iken izole IPF ile karşılaştırıldığında durum hala belirsizdir. Ancak ?oğunlukla izole IPF'ye g?re daha iyi prognoza sahip olduğu CPFE'de amfizemin koruyucu ?zelliği olduğu belirtilmektedir (4). CPFE sendromlu hastalarda kronik solunum yetmezliği, pulmoner arteryel hipertansiyon ve akciğer karsinomu daha sık g?r?lmekte olup bunlar başlıca mortalite sebepleridir (4). CPFE hastalarında obstr?ksiyon olmayanlarda (postbronkodilatat?r FEV1/FVC ≥ %70) olanlara g?re amfizemin derecesi daha hafif aksine pulmoner fibrosis daha şiddetlidir (7).

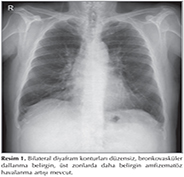
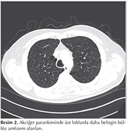
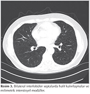
Olgumuz efor dispnesi nedeni ile polikliniğe başvuran altmış ?? yaşında erkekti. Fizik muayenesinde sağ ?st zonda nadir alanlar da ronk?sler duyuldu. ?zge?mişinde 40 paket/yıl sigara ?yk?s? mevcut olup 8 yıldır sigara kullanmıyordu. PA akciğer grafisinde diyafram konturları d?zensiz, amfizemat?z havalanma artışı ve bilateral pulmoner arterleri geniş izlendi (Resim 1). Solunum fonksiyon testinde FEV1: 3.28L (%120), FVC: 4.26 L (%123) ve FEV1/FVC: %77 idi. Karmonmonoksit dif?zyon testi %43 mmol/kPa/min idi. Ekokardiyografi incelmesinde ejeksiyon fraksiyonu %60 ve sistolik pulmoner arter basıncı (PAB) normaldi. Toraks BT'de akciğer parankiminde havalanma artışı ve ?st loblarda daha belirgin yaygın b?ll?z amfizem alanları ve her iki akciğerde interlobular septalarda hafif kalınlaşmalar ve milimetrik interstisyel nod?ller mevcuttu (Resim 2,3).


Resim 1

Resim 2

Resim 3

Efor dispnesi olup solunum fonksiyon testi normal olan kişilerde Toraks YRBT g?r?lmeli, Toraks YRBT'de ?st loblarda amfizem alt loblarda fibrozis ile uyumlu bulgu saptandığında CPFE sendromu d?ş?n?lmelidir. Bu yeni antite ile ilgili deneyimlerin artması i?in yapılacak yeni ?alışmalara ihtiya? vardır.

KAYNAKLAR

  1. ?z?elik N, ?zsu S. Yeni tanımlanan bir antite: Kombine pulmoner fibrosis ve amfizem sendromu. Tuberk Toraks 2015;63:48-52.
  2. Wiggins J, Strickland B, Turner-Warwick M. Combined cryptogenic fibrosing alveolitis and emphysema: the value of high resolution computed tomography in assessment. Respir Med 1990;84:365-9.
  3. Cottin V, Nunes H, Brillet PY, Delaval P, Devouassoux G, Tillie-Leblond I, et al. Combined pulmonary fibrosis and emphysema: a distinct under recognised entity. Eur Respir J 2005;26:586-93.
  4. Lin H, Jiang S. Combined pulmonary fibrosis and emphysema (CPFE): an entity different from emphysema or pulmonary fibrosis alone. J Thorac Dis 2015;7:767-79.
  5. Kitaguchi Y, Fujimoto K, Hanaoka M, Kawakami S, Honda T, Kubo K. Clinical characteristics of combined pulmonary fibrosis and emphysema. Respirology 2010;15:265-71.
  6. He L, Zhang W, Zhang J, Cao L, Gang L, Ma J, et al. Diaphragmatic motion studied by M-mode ultrasonography in combined pulmonary fibrosis and emphysema. Lung 2014;192:553-61.
  7. Kitaguchi Y, Fujimoto K, Hanaoka M, HondaT, Hotta J, Hirayama J. Pulmonary function impairment in patients with combined pulmonary fibrosis and emphysema with and without airflow obstruction. Int J Chron Obstruct Pulmon Dis 2014:29;9:805-11.

Yazışma Adresi (Address for Correspondence)

Dr. G?listan KARADENİZ

Şifa ?niversitesi Tıp Fak?ltesi,

G?ğ?s Hastalıkları Anabilim Dalı,

İzmİr - TURKEY

e-mail: drglstn35@gmail.com

Yazdır