Yazdır

DERLEME
REVIEW

Doi: 10.5578/tt.9986
Tuberk Toraks 2015;63(4):257-264

Geliş Tarihi/Received: 10.07.2015 • Kabul Ediliş Tarihi/Accepted: 25.07.2015

Wegener gran?lomatozis akciğer tutulumunda bilgisayarlı tomografi bulguları: Resimlerle bir konu

Necdet POYRAZ1, Celalettin KORKMAZ2, Durdu Mehmet YAVŞAN2, Suat KESKİN1, Turgut TEKE2, Kemal ?DEV1


1 Necmettin Erbakan ?niversitesi, Radyoloji Anabilim Dalı, Konya, T?rkiye

1 Department of Radiology, Faculty of Medicine, Necmettin Erbakan University, Konya, Turkey

2 Necmettin Erbakan ?niversitesi, G?ğ?s Hastalıkları Anabilim Dalı, Konya, T?rkiye

2 Department of Chest Diseases, Faculty of Medicine, Necmettin Erbakan University, Konya, Turkey

?ZET

Wegener gran?lomatozis akciğer tutulumunda bilgisayarlı tomografi bulguları: Resimlerle bir konu

Wegener gran?lomatozis, akciğerde en iyi bilgisayarlı tomografide tanımlanan, değişik bulgularla ortaya ?ıkabilen nekrotizan gran?lomat?z bir vask?littir. G?r?nt?leme bulguları kaviteleşebilen nod?l veya kitleler; konsolidasyon ve buzlu cam yoğunluklarıdır. Wegener gran?lomatozis pn?moni, malignite ve infeksiyon dışı inflamatuvar hastalıkları taklit edebilir. Bu resimli derlemenin amacı Wegener gran?lomatozisin akciğer tutulumunda karakteristik bilgisayarlı tomografi bulgularını g?stermektir.

Anahtar kelimeler: Bilgisayarlı tomografi, gran?lomatoz, pulmoner, vask?lit

SUMMARY

Computed tomography findings in pulmonary involvement of wegener's granulomatosis: Pictorial review

Wegener's granulomatosis is a necrotising granulomatous vasculitis which has a variable manifestations in the chest that are best described on computed tomography. Imaging findings may include masses or nodules, which may cavitate; consolidations and ground-glass opacities. Wegener's granulomatosis can mimic pneumonia, malignancy, and noninfectious inflammatory diseases. The purpose of this pictorial essay is to demonstrate the characteristic computed tomography findings of pulmonary Wegener's granulomatosis.

Key words: Computed tomography, granulomatous, pulmonary, vasculitis

GİRİŞ

Wegener gran?lomatozis (WG) k???k ve orta boy damarları tutan nekrotizan vask?lit ile karakterize kronik gran?lomat?z bir hastalık olup ilk defa 1936 yılında Alman patolog Friedrich Wegener tarafından tanımlanmıştır (1). Nedeni bilinmemekle birlikte hastalıkta otoimm?n bir bileşenin olduğunu d?ş?nd?ren bulgu dolaşımdaki serum antin?trofil sitoplazmik antikorların (c-ANCA) varlığıdır (2). Bazen tek bir alanda sınırlı olabilen bu ?oklu organ sistemi hastalığı, ?zellikle akciğer ve b?brekleri tutabilir. Santral ve periferik sinir sistemi,? dalak ve b?y?k eklemler gibi diğer organ sistemlerini de daha az oranda tutabilir (3). Amerika'da yapılan epidemiyolojik bir ?alışmada beyazlarda daha sık g?r?ld?ğ?, kadın ve erkeleri eşit oranda etkilediği saptanmıştır. Hastalık genellikle 4. dekatta daha sık g?r?l?r, ancak herhangi bir yaşta da ortaya ?ıkabilir (4).

Tanı genellikle klinik ve radyolojik bulguların kombinasyonu ve c-ANCA testi ile konur. Bu test yaklaşık %90 oranında ?zg?ll?ğe sahip olup aktif sistemik WG'i g?stermede olduk?a duyarlı (%90-95), fakat organ sınırlı hastalıkta duyarlılığı daha d?ş?kt?r (%60) (5). Tanı i?in standart test y?ntemi biyopsidir. Akciğer biyopsisinde histopatolojik incelemelerde daha ?ok k???k ve orta ?aplı damarları etkileyen nekrotizan vask?lit ve gran?lomat?z inflamasyon g?r?l?r. B?breklerde ise tipik olarak fokal ve segmental nekrotizan glomerulonefrit g?r?l?r. Hastaların pek ?oğunda WG tanısı klinik ve radyolojik bulguların kombinasyonu ve c-ANCA varlığı ile konur (6).

Hastalarda genellikle sin?zit, ?ks?r?k, hemoptizi ve dispne gibi solunum sistemine ait semptom ve bulgular vardır. Hemoptizi hastaların %30-40'ında, dif?z alveolar hemoraji ise %10'unda g?r?l?r (7).

Son zamanlarda kombine sitotoksik ve kortikosteroid tedavilerine bağlı prognoz ve uzun d?nem sağkalımda ciddi iyileştirmeler sağlanmıştır. İmm?ns?presif tedavi ?ncesi neredeyse hastaların tamamı teşhisten sonra 6 ay i?inde kaybedilirdi. G?n?m?zde ise teşhisten sonra ortalama sağkalım 20 yılın ?st?ne ?ıkmıştır ve ?l?mlerin ?oğu hem hastalık hem de tedavinin komplikasyonlarına bağlı olmaktadır.? Akciğer tutulumları tedaviyle tamamen d?zelebilir ya da bir miktar skar dokusu gelişebilir. Buzlu cam yoğunlukları genellikle tamamen kaybolur, fakat nod?l ve konsolidasyon alanları sebat edebilir ya da rezid? skarla iyileşebilir (8).

Nod?l ve Kitleler

Akciğer nod?l ve kitleleri WG'li olguların %90'dan fazlasında g?r?len en sık radyolojik bulgulardır.? Hastalık s?recinde nod?l ve kitle boyutlarında b?y?me ve k???lmelerle seyreden değişkenlikler WG'nin bir ?zelliğidir. Nod?l veya kitleler tek ya da birden ?ok olabilir ve ?apları birka? milimetreden 10 cm'ye kadar ?ıkabilir (Resim 1). Nod?ller daha ?ok bilateral olup akciğerin b?t?n zonlarında rastgele dağılım g?sterirler. Fakat peribronkovask?ler, subplevral, anjiyosentrik dağılımlar da tanımlanmıştır (3,8,9).


Resim 1

Olguların yaklaşık %50'sinde, ?zellikle 2 cm'den b?y?k nod?llerde kavitasyon g?r?l?r. Kaviteler d?zg?n ve ince duvarlı ya da kalın duvarlı ve d?zensiz i? kontur yapısına sahip olabilir, ?ok b?y?k boyutlara ulaşıp t?m lobu tutabilir. Kaviter lezyonlar tedaviden sonra ince duvarlı kistlere d?n?şebilir ya da tamamen kaybolabilir (Resim 2,3) (10).


Resim 2

Resim 3

WG nod?lleri bazen sentrilob?ler dağılım g?sterebilir (Resim 4). Bu durumda t?berk?loz, aşırı duyarlılık pn?monisi veya akut viral, bakteriyel ve fungal pn?monileri taklit edebilir. WG nod?lleri ve kaviteleri metastaz, akciğer abseleri ve septik embolilerle karışabilir (6). Nod?l ?evresinde kanama, bilgisayarlı tomografi (BT) kesitlerinde buzlu cam yoğunluğu şeklinde g?r?lebilir. BT halo bulgusu olarak tanımlanan bu g?r?n?m hipervask?ler metastaz ve Aspergillus fumigatus da olduğu gibi anjiyoinvaziv infeksiyonlarda da g?r?lebilir (Resim 5). WG'de bazen fokal hemorajiyi ?evreleyen organize pn?moni ile uyumlu konsolidasyonun oluşturduğu "Ters halo bulgusu" da g?r?lebilir (Resim 6). WG'de sekonder gelişen nod?l ve kitlelerde ışınsal yayılımlı skar dokusu, spik?lasyonlar ve komşu plevraya uzanan bantlar belirgin ?zelliklerdir (Resim 7). Bu ?zellikler akut pulmoner infarkt, septik emboli veya hematojen metastaz gibi diğer periferik kitleye neden olan hastalıklarda genellikle g?r?lmez (11).


Resim 4

Resim 5

Resim 6

Resim 7

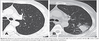
WG takip s?recinde yeni kitle ve nod?ller ortaya ?ıkabilir (Resim 8). Nod?ller tedavi edilmezse b?y?yebilir veya kaviteleşebilir; tedavi edildiği zaman genellikle kaybolur ya da skar dokusu ile iyileşir (Resim 9). WG hastalarında malignite riski iki kat artmış olduğu i?in klinik veya imm?nolojik testlerle tanısı doğrulanamayan ş?pheli nod?llere mutlaka biyopsi yapılmalıdır (6).?


Resim 8

Resim 9

İntraven?z kontrast madde verildikten sonra nod?llerin ?oğunda periferal kontrast tutulumuyla beraber ya da tutulum olmaksızın santral d?ş?k aten?asyon g?r?l?r (7).

Buzlu Cam Yoğunlukları ve Konsolidasyonlar

İkinci en sık g?r?nt?leme bulgusu hava boşluğu konsolidasyon ve buzlu cam yoğunlukları (BCY) olguların yaklaşık %50'sinde g?r?l?r ve nod?llerle birlikte olabilir (3,6,7). BCY ve konsolidasyonlar tek başına olduklarında genellikle ilk tanı infeksiyondur ve yeterli antibiyotik tedavisi başarısız olduktan sonra WG tanısı d?ş?n?l?r. Konsolidasyon ve BCY rastgele dağılım g?sterebilir, pulmoner infarkt benzeri plevral tabanlı ??gen şekilli olabilir ya da peribronşiyal dağılımlı olabilir. Konsolidasyon alanı kavitasyon odağı i?erebilir (Resim 10). Yamalı ya da daha az sıklıkla, yaygın BCY olguların %20-30'unda g?r?l?r (Resim 11). Pulmoner nod?l ve kitlelerde olduğu gibi BCY ve konsolidasyonlar da tedaviden bağımsız olarak b?y?y?p k???lebilir ve kaybolabilir (11). BCY bulgusu alveolar hemoraji veya intraalveolar debristen kaynaklanabilir. Arteriollerin tutulmasıyla akciğerde mozaik aten?asyon paterniyle ilişkili BCY g?r?lebilir (7). Subplevral alanların korunduğu yaygın BCY olan hastaların %10'unda bulgular genellikle dif?z alveolar hemorajiyi d?ş?nd?r?r. Hemorajinin şiddetine bağlı olarak BCY ve daha dens konsolidasyonlar birbirlerine karışabilir. Alveolar hemoraji genellikle akut ortaya ?ıkar ve tedavi edilmediğinde ?l?mc?l olabilir. Fakat tedaviyle genellikle tam rezorbe olur, bazı hastalar spontan iyileşebilir (8,10).


Resim 10

Resim 11

WG'de konsolidasyon pulmoner infarktlara ya da organize pn?moniye sekonder ortaya ?ıkmış olabilir (9). BCY ve konsolidasyonlar nonspesifik olup infeksiy?z pn?moni (bakteriyel, viral, fungal), akciğer ?demi, akut respiratuar distres sendromu (ARDS) ve invaziv m?sin?z adenokarsinomla karışabilir.

Sentrilob?ler k???k nod?ller, tomurcuklanan ağa? paterni, septal ?izgiler, nod?l, kitle veya konsolidasyon alanı i?inde kalsifikasyon odağı gibi diğer parankimal anormallikler k???k hasta gruplarında tanımlanmıştır (9).

Bronşiyal duvar kalınlaşması hastaların %50-60'ında g?r?l?r. Trakeal duvar kalınlaşması ise %15 hastada vardır. Bronşiyal duvar kalınlaşması genellikle hafif derecededir. Belirgin kalınlaşma parsiyel ya da tam segmental ya da lober obstr?ksiyonla birlikte olabilir. Hastaların %10-20'sinde bronşiyektazi ve yaklaşık %30'unda yamalı hava hapsi alanları vardır (Resim 12) (6,9).


Resim 12

Plevral ef?zyon olguların %15-20'sinde g?r?l?r. Renal ve kardiyak tutulum akciğer ?demine neden olabilir (Resim 13) (5). Mediastinal lenfadenopati BT'de olguların %20'sinde g?r?l?rken hiler lenf nodu b?y?mesi %3 hastada g?r?l?r. Bazen b?y?m?ş mediastinal lenf nodları trakea ve bronşlara bası yapabilir (12).


Resim 13

Tedavi sonrası kontrol BT'de olguların ?oğunda parankimal lezyonların tama yakın kaybolduğu g?r?l?r, fakat bazı hastalarda tekrar n?ks g?r?lebilir (Resim 9) (8,10,13).

Sonu?

WG'nin radyolojik bulguları nonspesifiktir ve BT bulguları pn?moni, malignite ve infeksiyon dışı inflamatuvar hastalıkları taklit edebilir. Tanı klinik ve laboratuvar bulgular ile birlikte yapılır. Herhangi bir organ sistemi tutulabilir, fakat ?oğu zaman toraks tutulumuna ait radyolojik bulgular daha baskın olarak izlenir. ?zellikle multipl pulmoner lezyonların değerlendirilmesinde ayırıcı tanıda mutlaka akılda tutulmalıdır. WG'nin ilk bulguları genellikle toraks BT'de ortaya ?ıkar ve bu bulgulara aşina olan bir radyolog tanıyı ilk koyan doktor olabilir. Akciğerde en belirgin radyolojik bulgular bilateral kavitasyonlu ya da kavitasyonsuz nod?l ve kitleler, BCY ve b?y?k boyutlara ulaşabilen konsolidasyonlardır. Hava yolu, mediasten, kardiyak ve plevral tutuluma ait bulgular daha az g?r?l?r. WG tanı ve takibi i?in se?ilecek g?r?nt?leme modalitesi BT'dir.

KAYNAKLAR

  1. Wegener F. ?ber eine eigenartige rhinogene Granulomatose mit besonderer Beteilgung des Arteriensytems und den Nieren. Beitr Pathol Anat Allg Pathol 1939;102:36-68.
  2. Borgmann S, Haubitz M. Genetic impact of pathogenesis and prognosis of ANCA-associated vasculitides. Clin Exp Rheumatol 2004;22(suppl 36):S79-S86.
  3. Ananthakrishnan L, Sharma N, Kanne JP. Wegener's granulomatosis in the chest: high-resolution CT findings. AJR Am J Roentgenol 2009;192:676-82.
  4. Olivencia-Simmons I. Wegener's granulomatosis: symptoms, diagnosis, and treatment. J Am Acad Nurse Pract 2007;19:315-20.
  5. Frankel SK, Cosgrove GP, Fischer, Meehan RT, Brown KK. Update in the diagnosis and management of pulmonary vasculitis. Chest 2006;129:452-65.
  6. Cordier JF, Valeyre D, Guillevin L, Loire R, Brechot JM. Pulmonary Wegener's granulomatosis. A clinical and imaging study of 77 cases. CHEST Journal 1990;97:906-12.
  7. Chung MP, Yi CA, Lee HY, Han J, Lee KS. Imaging of pulmonary vasculitis. Radiology 2010;255:322-41.
  8. Pretorius ES, Stone JH, Hellman DB, Fishman EK. Wegener's granulomatosis: CT evolution of pulmonary parenchymal findings in treated disease. Crit Rev Computed Tomogr 2004;45:67-85.
  9. Lohrmann C, Uhl M, Kotter E, Burger D, Ghanem N, Langer M. Pulmonary manifestations of Wegener granulomatosis: CT findings in 57 patients and a review of the literature. Eur J Radiol 2005;53:471-7.
  10. Kimura S, Ashizawa K, Matsuyama N, Kadota J, Kohno S, Hayashi K. Imaging of Wegener's granulomatosis: changes by serial chest CT. Nihon Kokyuki Gakkai zasshi= the journal of the Japanese Respiratory Society 2002;40:171-6.
  11. Martinez F, Chung JH, Digumarthy SR, Kanne JP, Abbott GF, Shepard JAO, et al. Common and uncommon manifestations of Wegener granulomatosis at chest CT: radiologic-pathologic correlation. Radiographics 2011;32:51-69.
  12. Lee K, Kim T, Fujimoto K, Moriya H, Watanabe H, Tateishi U, et al. Thoracic manifestation of Wegener's granulomatosis: CT findings in 30 patients. European Radiology 2003;13:43-51.
  13. Guneyli S, Gucenmez S, Aksu K, Kocacelebi K, Acar T, Savas R, et al. Imaging findings of pulmonary granulomatosis with polyangiitis (Wegener's granulomatosis): lesions invading the pulmonary fissure, pleura? or diaphragm mimicking malignancy. Wiener klinische Wochenschrift 2015;1-7.

Yazışma Adresi (Address for Correspondence)

Dr. Necdet POYRAZ

Necmettin Erbakan ?niversitesi,

Radyoloji Anabilim Dalı,

KONYA - TURKEY

e-mail: necdetpoyraz@gmail.com

Yazdır