Yazd?r

ED?T?RE MEKTUP
LETTER TO THE EDITOR

Doi: 10.5578/tt.6055
Tuberk Toraks 2014;62(1):95-97

Geli? Tarihi/Received: 02.08.2013 • Kabul Edili? Tarihi/Accepted: 03.08.2013

Giri?imsel Bronkoskopi ile Tedavi Edilen Endobron?iyal Renal H?creli Karsinom: Olgu Sunumu

Derya ?ZAYDIN1, Fatih SE?MEN1, Zafer AKTA?1, Ayd?n YILMAZ1, Nazan ?EN2, Funda DEM?RA?3


1 Ankara Atat?rk G???s Hastal?klar? ve G???s Cerrahisi E?itim ve Ara?t?rma Hastanesi, G???s Hastal?klar? Klini?i,

Ankara, T?rkiye

1 Clinic of Chest Diseases, Ankara Ataturk Chest Diseases and Chest Surgery Training and Research Hospital,

Ankara, Turkey

2 Adana Ba?kent ?niversitesi Dr. Turgut Noyan Ara?t?rma Uygulama Merkezi, G???s Hastal?klar? Klini?i, Adana, T?rkiye

2 Department of Chest Diseases, Adana Baskent University Dr. Turgut Noyan Research and Practice Center, Adana, Turkey

3 Ankara Atat?rk G???s Hastal?klar? ve G???s Cerrahisi E?itim ve Ara?t?rma Hastanesi, Patoloji Klini?i, Ankara, T?rkiye

3 Clinic of Pathology, Ankara Ataturk Chest Diseases and Chest Surgery Training and Research Hospital, Ankara, Turkey

OLGU SUNUMU

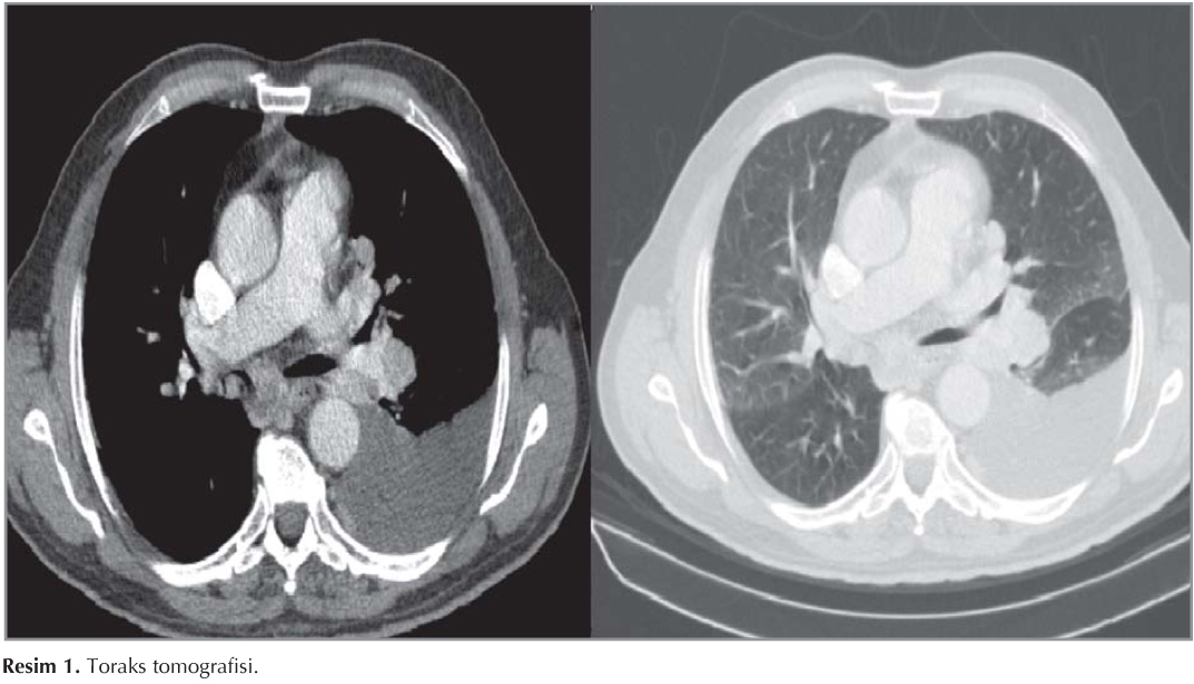
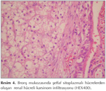
Yetmi? iki ya??nda, erkek hasta, May?s 2013 tarihinde sol yan a?r?s? ve hemoptizi ?ikayetiyle klini?imize ba?vurdu. Mevcut ?ikayetleri iki ay i?inde artan hastada d?? merkezde ?ekilen toraks ve abdomen tomografilerinde mediastinal lenfadenopatiler, sol akci?erde masif plevral ef?zyon i?inde ve parankimde multipl metastatik lezyonlar, sol b?brekte 126 mm nekrotik, egzofitik renal sinusa invazyon yapm?? malign kitle lezyonu ile sol surrenal lojda 24 mm'lik heterojen kitlesel lezyon saptand? (Resim 1). Hastan?n al?nan plevral s?v?s? malign sitolojiyle uyumlu olarak gelmi?. Hastaya sol b?brekten yap?lan tru-cut biyopsi sonucunda renal h?creli karsinom (?effaf h?creli tip ile uyumlu) saptanm??t?r. Hastaya yap?lan fiberoptik bronkoskopide sa? intermediyer bron?u tama yak?n t?kayan lezyon g?r?lmesi nedeniyle giri?imsel bronkoskopi yap?lmak ?zere hastanemize y?nlendirilmi?tir. Hastaya genel anestezi alt?nda rijid bronkoskop ile alt lob apikal segmentten kaynaklanan ve intermediyer bron?u tama yak?n t?kayan polipoid EBL 60 watt argon ile koag?le edilerek rijid forcepsle ??kar?ld? ve i?lem sonras? orta ve alt lob segmentlerinde tam a??kl?k sa?land? (Resim 2,3). Lezyondan al?nan biyopsi sonucu renal h?creli karsinom ile uyumlu olarak geldi (Resim 4).


Resim 1

Resim 2

Resim 3

Resim 4

TARTI?MA

Akci?erler ekstratorasik solid t?m?rlerin s?k metastaz yapt??? b?lgelerden biridir. Ekstratorasik malignensilerden en s?k akci?ere metastaz yapan t?m?rler meme, b?brek ve kolorektal kanserlerdir (1). Akci?er metastazlar? s?k g?r?lmesine ra?men endobron?iyal metastaz nadir g?r?len bir durumdur. Endobron?iyal metastazlar subepitelyal yerle?imlidir ve malign h?crelerin buraya lenfatikler veya bron?iyal arterler arac?l???yla metastaz yapt??? d???n?lmektedir. Endobron?iyal metastaz insidans? %2 olarak bildirilmektedir (2,3). Biber ve arkada?lar?n?n yapt??? metastatik akci?er kanserlerinin de?erlendirildi?i bir ?al??mada bu oran %16 olarak saptanm??t?r (4). Metastatik endobron?iyal lezyonlarda kar??la??lan semptomlar primer akci?er kanseri semptomlar?na benzer ?ekilde ?ks?r?k, nefes darl??? ve hemoptizi ile belirti verir. Az s?kl?kta olmakla beraber bazen renal h?creli karsinom primer t?m?r?n tan?s?ndan ?nce endobron?iyal lezyon ?eklinde ortaya ??kabilir (5). Bu nedenle bu t?m?rleri primer akci?er kanseri lezyonundan ay?rmak i?in bronkoskopik biyopsi kullan?l?r (6). Bronkoskopi, endobron?iyal tedavi, cerrahi evreleme, ekstratorasik malignitelerde radyolojik olarak metastaz? taklit edecek durumlar? (akci?er infeksiyonu, hemoraji, ila? reaksiyonu gibi) da ay?rt etmek i?in ?ok ?nemlidir (7). Metastatik renal h?creli karsinomun cerrahi tedavisinde nefrektomi palyatif ama?l?d?r. Bu hastalarda nefrektominin alfa interferon ile birlikte uygulamas?n?n sa?kal?m? art?rd??? bildirilmektedir. Kemoterapide 5-florourasil (5-FU) ?nerilmektedir (8). Renal h?creli karsinomun endobron?iyal metastaz? geli?ti?inde uygulanabilecek bilinen standart bir tedavi y?ntemi yoktur. Tedavi hastan?n performans?, t?m?r lokalizasyonu ve yap?s?na g?re lokal radyoterapi, kemoterapi ve giri?imsel bronkoskopik teknikleri kapsar (9,10).

?IKAR ?ATI?MASI

Bildirilmemi?tir.

KAYNAKLAR

  1. Akoglu S, U?an ES, Celik G, Sener G, Sevin? C, Kilin? O, et al. Endobronchial metastases from extrathoracic malignancies. Clin Exp Metastasis? 2005;22(7):587-91.
  2. Froudarakis ME, Bouros D, Siafakas NM. Endoluminal metastases of the tracheobronchial tree. Chest 2001;119:679-81.
  3. DeBeer RA, Garcia RL, Alexander SC. Endobronchial metastasis from cancer of the breast. Chest? 1978;73(1):94-6.
  4. Biber ?, Bilen S, Y?lmaz ? ve ark. Metastatik akci?er kanserlerinin de?erlendirilmesinde fiberoptik bronkoskopinin yeri. Solunum Hastal?klar? 1997;8:261-6.
  5. Tomita M, Shino Y, Sugaya S, Ikemoto I, Oishi Y. A case of lung collapse caused by endobronchial metastasis from renal cell carcinoma re-inflated with laser and electrosurgical snaring. Acta Urol Jpn 2002;48:459-62.
  6. Salud A, Porcel JM, Rovirosa A, Bellmunt J. Endobronchial metastatic disease: analysis of 32 cases. J Surg Oncol?1996;62(4):249-52.
  7. D?az G, Jim?nez D, Dom?nguez-Reboiras S, Carrillo F, P?rez-Rodr?guez E. Yield of bronchoscopy in the diagnosis of neoplasm metastatic to lung. Respir Med? 2003;97(1):27-9.
  8. Ljungberg B, Hanbury DC, Kuczyk MA, Merseburger AS, Mulders PF, Patard JJ, et al. Renal cell carcinoma guideline. Eur Urol? 2007;51(6):1502-10.
  9. Kiryu T, Hoshi H, Matsui E, et al. Endotracheal/endobronchial metastases: clinicopathologic study with special reference to developmental modes. Chest 2001;119:768-75.
  10. Pisch J, Villamena PC, Harvey JC, Rosenblatt E, Mishra S, Beattie EJ. High dose-rate endobronchial irradiation in malignant air way obstruction. Chest 1993;104:721-5.

Yaz??ma Adresi (Address for Correspondence)

Dr. Derya ?ZAYDIN

Ankara Atat?rk G???s Hastal?klar? ve

G???s Cerrahisi E?itim ve

Ara?t?rma Hastanesi, G???s Hastal?klar? Klini?i,

Ke?i?ren, ANKARA - TURKEY

e-mail: drsegmen@hotmail.com

Yazd?r