Yazd?r

Tedavisi geciken bir testis t?berk?lozunun seyri: Bir olgu nedeniyle*

Murat YAL?INSOY1, Sinem G?NG?R2, Esen AKKAYA1, Sevin? B?LG?N1, Esra AKK?T?K1,
Mehmet SIRMALI3, Deniz KONYA4


1 S?reyyapa?a G???s Hastal?klar? ve G???s Cerrahisi E?itim ve Ara?t?rma Hastanesi,

G???s Hastal?klar? Klini?i, ?stanbul,

2 ?niversal Taksim Alman Hastanesi, G???s Hastal?klar? B?l?m?, ?stanbul,

3 S?reyyapa?a G???s Hastal?klar? ve G???s Cerrahisi E?itim ve Ara?t?rma Hastanesi,

G???s Cerrahisi Klini?i, ?stanbul,

4 Marmara ?niversitesi T?p Fak?ltesi, Beyin ve Sinir Cerrahisi Anabilim Dal?, ?stanbul.

Tuberk Toraks 2013; 61(3): 255-257 • doi:10.5578/tt.4622

Geli? Tarihi/Received: 22/12/2012 - Kabul Edili? Tarihi/Accepted: 31/01/2013

* Bu olgu, T?rk Toraks Derne?i 15. Y?ll?k Kongresi (11-15 Nisan 2012)'nde sunulmu?tur.

Say?n Edit?r,

Araz ve arkada?lar? imzal?, T?berk?loz ve Toraks Dergisi'nin 2012 y?l? ???nc? say?s? 274-278 sayfa aral???nda yay?nlanm?? olan "A case with multisystemic involved of tuberculosis" ba?l?kl? makaleyi ilgiyle okuduk (1). ?al??mac?lar birden fazla sistemi tutan t?berk?loz olgular?n?n nadir g?r?ld???n? bildirmi?lerdir. Bu nedenle biz de 2012 y?l?nda T?rk Toraks Derne?i 15. Y?ll?k Kongresinde sundu?umuz, testis tutulumu ile ba?lay?p tedavi gecikmesi nedeniyle yumu?ak doku ve kemik tutulumu ile seyreden yayg?n bir t?berk?loz olgumuzun ?zelliklerini, hastal???n yayg?nl???, testis t?berk?lozunun nadir g?r?lmesi ve tedavi gecikmelerinin ?nemine dikkat ?ekmek amac?yla payla?mak istedik (2).

OLGU SUNUMU

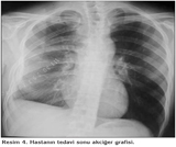
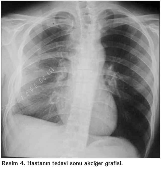
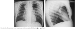
Yirmi bir ya??ndaki erkek hastaya, 2011 y?l? ?ubat ay?nda sol testiste a?r? ve ciltte ak?nt? ?ikayetiyle ba?vurdu?u merkezde, testiste kitle saptanarak, malignite ??phesiyle or?iektomi yap?lm??t?r. Hastan?n or?iektomi patolojisi kazeifiye gran?lomat?z iltihap olarak raporlanm?? olup, adli olgu/h?k?ml? olan hastan?n, kendisinden ve sevk i?lemlerinden kaynaklanan nedenlerle tedavisi ba?lanamam??. 2011 y?l? Eyl?l ay?nda g???s ve s?rt a?r?s? ve bu s?re zarf?nda yakla??k 10 kg kilo kayb?yla merkezimize ba?vuran olgunun g???s ?n y?z?nde fluktuasyon veren apse formasyonu d???nda fizik muayene bulgular?nda patoloji saptanmam??t?r (Resim 1). Laboratuvar incelemede; tam kan say?m? ve biyokimyasal de?erleri normal s?n?rlarda idi. Posteroanterior akci?er grafisinde paratrakeal dansite art???, yan grafide sternum ?n?nde yumu?ak doku art??? ile bombele?me mevcuttu (Resim 2). Toraks ve bat?n bilgisayarl? tomografi (BT) incelemesinde; toraks ?n duvar? sternum anteriorunda ve sol lateralinde, cilt alt? dokularda hipodens yer kaplay?c? lezyon, posterior mediastende paravertebral alanda en geni? yerinde 42 mm kal?nl??a ula?an vertebra korpusunda ve sa? kotlarda destr?ksiyona yol a?an heterojen dansitede yer kaplay?c? lezyon, sa? hemitoraks posteriorunda D10 vertebra korpusu solunda ve kotlarda destr?ksiyona yol a?an 40 x 25 mm boyutunda yumu?ak doku lezyonu, sa? hemitoraksta pl?rezi izlendi (Resim 3). G???s ?n y?z?nde fluktuasyon veren apseye yap?lan i?ne aspirasyonuyla p? aspire edildi ve Erlich Ziehl Neelsen aside diren?li boyama y?ntemiyle incelemede aside diren?li basil (ARB) g?r?lmedi. Apse materyalinin aerop ve anaerop k?lt?rlerinde ?reme olmad?. Al?nan balgam ?rne?inde direkt muayenede ARB negatif kald?. Yap?lan tetkikler sonucunda testis t?berk?lozunun yan? s?ra pl?rezi, g???s ?n duvar?nda so?uk apse, vertebra ?n y?z?nde paravertebral apse (Psoas apsesi), vertebralarda destr?ksiyon saptand?. Olguya testis t?berk?lozunun yan? s?ra yayg?n tutulum nedeniyle rifampin, izoniazid, pirazinamid ve etambutol olmak ?zere antit?berk?loz tedavi ba?land?. Merkezimize m?racaat?nda pl?rezide d?zelme mevcuttu (Resim 3B). Tedavi alt?nda, vertebra destr?ksiyonu a??s?ndan n?ro?ir?rji kons?ltasyonlar? devam eden hastan?n, tedaviye ra?men g???s ?n y?z?ndeki apsede d?zelme olmamas? ve hastan?n a?r? ve gerginlik ?ikayetleri olmas? nedeniyle g???s t?p? tak?ld? ve apse bo?alt?larak hasta rahatlat?ld? (Resim 3B). Takiplerde hastadan al?nan balgam ?rne?inin spesifik k?lt?r? negatif kald?. G???s ?n duvar?ndan aspire edilen p?den yap?lan spesifik k?lt?rde Mycobacterium tuberculosis ?redi. ?la? duyarl?l?k testlerinde diren? paterni saptanmad?. Vertebralara y?nelik ?ekilen manyetik rezonans g?r?nt?leme (MRG)'de; C5-6 diskinde posterior sa? paramedian prot?zyon, T1-T8 vertebralarda korpuslarda destr?ksiyon ve intervertebral foramen yoluyla spinal kanal i?ine uzanan 18 x 6.5 x 8.5 cm boyutlar?nda ankaps?le y?ksek dansiteli koleksiyon mevcuttu. Beyin ve sinir cerrahisi ile kons?lte edilen hastaya 2011 y?l? Aral?k ay?nda T3-T4 torakotomi + apse drenaj operasyonu yap?ld?. Postoperatif d?nemde ?ekilen MRG ile apsenin bo?alt?ld??? verifiye edildi. Tedavi sonras? lezyonlar geriledi ve yeni lezyon olu?mad? (Resim 4). Hasta halen ?ikayetsiz olup, t?berk?loz tedavisi sonland?r?lm??t?r. Hastal?k seyrine bak?ld???nda; adli olgu/h?k?ml? hastada, hastan?n kendisinden (hasta gecikmesi), sevk i?lemlerinden (sevk zincirinde gecikme) ve doktor gecikmelerinden (doktor gecikmesi) kaynaklanan yedi ayl?k bir tedavi gecikmesi olmu? ve ba?lang??taki testis t?berk?lozu, yayg?n t?berk?loz ile sonlanm??t?r.


Resim 1

Resim 2

Resim 3

Resim 4

TARTI?MA

M. tuberculosis, her doku ve organda yerle?erek hastal?k olu?turabilir. Akci?er-plevra tutulumu s?kl?kla g?r?lmekle beraber nadiren organ tutulumu yaparak farkl? klinik tablolara yol a?ar. Birden fazla sistemi tutan t?berk?loz olgular?, ?ocuklarda ve AIDS gibi imm?n sistemin bask?land??? hastalarda s?k g?r?lmekle birlikte, olgumuzda oldu?u gibi, nadir de olsa imm?n sistemi normal eri?kinlerde de bildirilmektedir (1,3,4,5). Genito?riner t?berk?loz, primer pulmoner infeksiyondan sonra hematojen yay?l?mla b?breklerde ba?lar ve nadir g?r?l?r (%6.6) (3). Erkek genital t?berk?lozunda skrotal ve testik?ler kitle en s?k saptanan bulgudur. Kronik drene olan fist?l, a?r?l? intraskrotal kitle nadir g?r?len bulgulardand?r. Tan? cerrahi olarak ??kar?lan kitlenin incelenmesiyle konur (6,7). Olgumuzda da skrotal kitlenin cerrahi olarak ??kar?lmas?yla tan? konulmu?, tedavi gecikmesiyle hastal?k yayg?n hal alm??t?r. Bu durumda medikal tedavinin yan? s?ra cerrahi m?dahalelere de ihtiya? olmu?, tedavi s?resi uzam??t?r.

Sonu? olarak; t?berk?lozun erken tan? ve tedavisi, geli?ebilecek ciddi komplikasyonlar? ?nlemek a??s?ndan ?nemlidir.

?IKAR?ATI?MASI

Bildirilmemi?tir.

KAYNAKLAR

  1. Araz ?, ?zkaya ?, G??er H, Ta??? F, Kele? S, Ulusan DZ, ?ahin ?. A case with multisystemic involved of tuberculosis. Tuberk Toraks 2012; 60: 274-8.
  2. Akkaya E, Yal??nsoy M, G?ng?r S, Bilgin S, Akk?t?k S, S?rmal? M, et al. A case report: Course of the treatment delay of testicular tuberculosis. Turkish Thoracic of Society 15th Annual Congress Abstract Book. 11-15 April 2012, Antalya, P504.
  3. Iseman MD. A Clinician's Guide to Tuberculosis. Philadelphia: Lippincot Williams and Wilkins, 2000: 145-97.
  4. Erbay A, Bodur H, ?evik MA, Y?lmaz A. Disseminated tuberculosis with skin-soft issue involvement and abscessus. Tuberk Toraks 2002; 50: 492-6.
  5. Babal?k A, ?al???r HC. Multidrug resistant tuberculosis with multiple organ involvement. Tuberk Toraks 2012; 60: 261-4.
  6. Ya?ar KK, ?eng?z G, Y?ld?r?m F, Ergin G, Nazl?can ?, Yi?it M. A case of genital system tuberculosis with chronic system drainnage. ANKEM 2006; 20: 34-6.
  7. Akbay EK, K???k ?, Akdeniz F, Pala EE, Ko? G, Bayol ?, Y?lmaz Y. A case report: Epididymal orchitis. New Urology? Journal 2011; 6: 42-4.

Yaz??ma Adresi (Address for Correspondence):

Dr. Murat YAL?INSOY,

SB S?reyyapa?a G???s Hastal?klar? ve

G???s Cerrahisi E?itim ve Ara?t?rma Hastanesi

C blok 19. Servis Ba??b?y?k/Maltepe, ?STANBUL - TURKEY

e-mail: mrtyalcinsoy@yahoo.com

Yazd?r