Yazd?r

Kostan?n k???k h?creli osteosarkomu: Nadir bir olgunun tan?s? ve tedavisi

G?kt?rk FINDIK1, Ersin G?NAY2, Yetkin A?A?KIRAN3, Koray AYDO?DU1, Ertan AYDIN1, Sadi KAYA1


1 Atat?rk G???s Hastal?klar? ve G???s Cerrahisi E?itim ve Ara?t?rma Hastanesi, G???s Cerrahisi Klini?i, Ankara,

2 I?d?r Devlet Hastanesi, G???s Hastal?klar? Klini?i, I?d?r,

3 Ankara Atat?rk G???s Hastal?klar? ve G???s Cerrahisi E?itim ve Ara?t?rma Hastanesi, Patoloji Klini?i, Ankara.

?ZET

Kostan?n k???k h?creli osteosarkomu: Nadir bir olgunun tan?s? ve tedavisi

K???k h?creli osteosarkomlar Ewing sarkom ailesinin komponenti olarak s?n?fland?r?lan ?ok nadir t?m?rlerdir. Genellikle uzun kemikler tutulurken k?sa kemiklerin tutulmas? nadirdir. Ayr?ca, kosta tutulumu olduk?a nadirdir. Bildi?imiz kadar?yla literat?rde yaln?z bir olgu sunumu mevcuttur. Biz sol yan a?r?s?yla ba?vuran kostaya lokalize k???k h?creli osteosarkomlar olgusunu sunduk. Hastaya rezeksiyon ve adjuvan kemoterapi uyguland?. Kliniko-patolojik ?zellikler ve tedavi y?ntemleri literat?r e?li?inde tart???ld?.

Anahtar Kelimeler: Ewing sarkom, kosta, k???k h?creli osteosarkom.

SUMMARY

Small cell osteosarcoma of rib: diagnosis and treatment of the rare case

G?kt?rk FINDIK1, Ersin G?NAY2, Yetkin A?A?KIRAN3, Koray AYDO?DU1, Ertan AYDIN1, Sadi KAYA1


1 Clinic of Chest Surgery, Ataturk Chest Diseases and Chest Surgery Training and Research Hospital,

Ankara, Turkey,

2 Clinic of Chest Diseases, Igdir State Hospital, Igdir, Turkey,

3 Clinic of Pathology, Ankara Ataturk Chest Diseases and Chest Surgery Training and Research Hospital,

Ankara, Turkey.

Small cell osteosarcomas are very rare tumors which are classified as the component of Ewing's sarcoma family. Although the tumor generally is seen on long bones, short bone involvement is rare. Moreover, rib localization is quite uncommon and to the best of our knowledge, only one case has been reported so far. Herein, we described a case of rib-localized small cell osteosarcomas which was only presented with localized left sided pain. Resection surgery followed by adjuvant chemotherapy was performed. Clinico-pathological features and therapeutic approach are discussed in the light of the relevant literature.

Key Words: Ewing's sarcoma, rib, small cell osteosarcoma.

Geli? Tarihi/Received: 05/07/2011 - Kabul Edili? Tarihi/Accepted: 25/08/2011

INTRODUCTION

Small cell osteosarcoma (SCO) is a quite uncommon tumor which was firstly described by Sim et al. in 1979 (1). The tumor is classified as a component of Ewing's sarcoma which is the group of small round cell tumors with generally long bone involvement such as femur, tibia and humerus (2). Osteoid production is a typical characteristic of this tumor and alters the treatment strategy (3). SCO very rarely arises from the short bones such as ileum, clavicle, scapula and sacrum (4). Herein, we described a case of rib-localized SCO which underwent resection surgery. To the best of our knowledge only one case with rib localization has been described so far.

Case Report

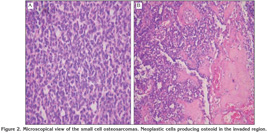
A 28-year-old woman presented with pain on her left side for three months. On physical examination, pain was present with palpation on the left side of chest wall and lung sounds were normal. Laboratory examinations were unremarkable. Postero-anterior chest X-ray showed opacity on the left sixth and seventh ribs. The patient admitted to our clinic with thorax computed tomography (CT) and PET/CT (positron emission tomography/computed tomography). CT of the thorax revealed an ill-defined destructive mass on the left anterolateral region of the sixth and seventh ribs (Figure 1). PET with 18 F-FDG depicted the lesion as a low grade malign neoplasm (SUVmax: 4.5) without any metastasis. We thought that the lesion was malignant according to the clinical and radiological findings. Because of the pain, we did not prefer taking biopsy under local anesthesia; we did it under general anesthesia. We studied frozen from the soft parts of the tissue which was taken with incisional biopsy. It was reported as malignant mesenchymal tumor or osteosarcoma. She underwent left posterolateral thoracotomy and a moderate swelling through the inside of left hemithorax originated especially from the sixth rib was detected. The sixth and the seventh ribs were enblock resected. Histopathological examination revealed the neoplastic cells that were uniformly small with diffuse growing pattern. These cells were strongly stained with focal SMA (smooth muscle actin) areas with vimentin. Tumor cells were negative for CD45, CD99, CD33 and CD56. Also chromogranin, pancreatin, EMA, TTF-1 were all negative. In addition to these findings, the most important component was osteoid production especially on the invaded regions (Figure 2). According to these clinical and histopathological findings the case was reported as primary SCO of the ribs. She was discharged on the 7th day of operation without any complication and referred to the medical oncology unit for chemotherapy. She was healthy and disease-free on the 17th month of follow-up (Figure 3).


Figure 1


Figure 2


Figure 3

Discussion

SCO constitutes approximately 1% of osteosarcomas arising from bones. Generally long bones, especially femur, tibia and humerus are affected with a ratio of 65%. The age range differs from 6 to 83 years (average; 20 years) (5). Most of the patients are younger than the age of 20 years. Male to female ratio is 4/5 (6). The tumor usually arises from metaphysis but rarely from diaphysis. Short bones such as mandible, sacrum, vertebra, ileum are quite rarely affected (7). To our knowledge, only one case with rib localization was reported in the literature. This is the second case with the diagnosis of SCO of the ribs.

Generally the main symptoms are pain and swelling on the affected region. Duration of the symptoms is often short (approximately 3 months) (5). Rarely, long-duration of symptoms lasting for years has been described (1).

The tumor can manifest as a gross aggressive indefinable mass lesion. Detection of new bone tissue formation on the chest radiography is an important finding. 18 F-FDG PET/CT performed in the early period may be a useful diagnostic tool in distinguishing the malign lesions from the benign ones. In our case PET/CT revealed the lesion as a low grade malign neoplasm or tumor with a SUVmax value of 4.5.

Histopathological investigations play important role in the diagnosis and distinguishing this rare tumor from the others with small round cell. Because, SCO resembles Ewing's sarcoma, however, osteoid production is the special characteristic to exlude from Ewing's sarcoma (4). Besides, soft tissue mineralization is that of periostal new bone formation which is characteristically laminated. This is in contrast to the mineralized to the tumor matrix seen in the soft tissue or intramedullary compartment with osteosarcoma (4). Given the frequent occurence of a large group of the tumors with small round cells, immunohistochemistry is crucial and should be interpreted in the differential diagnosis as well as the demographic and clinical features. In our case, we exluded Ewing's sarcoma with CD99 negativity; lymphoma with CD45; small cell lung cancer with CD56, chromogranin, pancreatin, EMA and TTF-1 negativity; rabdomyosarcoma with CD33, S100 and desmin negativity. Besides, pathognomonically, the tumor had the component of osteoid formation especially on the invaded regions. A final evaluation in the light of the above mentioned findings ascertained the definite diagnosis of SCO.

The only treatment of these tumors is surgery (8). Postoperative chemotherapy and radiotherapy (RT) may be administered. The mainly used chemotherapeutic agents are vincristin, adriamycine, actinomycine D and cyclophosphamide. But, chemo-radiotherapy together is not necessary without the evidence of any malignant cells on the surgical margin or the presence of distant metastasis (4). The 5 year-survival rate for the classic osteosarcoma is 77%, whereas it is 28% for small cell osteosarcoma (3,9).

As a conclusion, rib-localized SCO is a very rare entity and should be kept in mind in the differential diagnosis of the tumors with small round cells. Definite diagnosis may be a challenge and immunohistochemistry has a crucial role. When complete surgical resection for involved ribs is performed adjuvant chemotherapy enables an excellent prognosis especially in early-diagnosed cases.

CONFLICT of INTEREST

None declared.

REFERENCES

  1. Sim FH, Unni KK, Beabout JW, Dahlin DC. Osteosarcoma with small cells simulating Ewings tumor. J Bone Joint Surgery 1979; 61A: 207-15. [?zet]
  2. Giangaspero F, Stracca V, Visona A, Eusebi V. Small-cell osteosarcoma of the mandible. Appl Pathol 1984; 2: 28-31. [?zet]
  3. Park SH, Kim I. Small cell osteogenic sarcoma of the ribs: cytological, immunohistochemical, and ultrastructural study with literature review. Ultrastruct Pathol 1999; 23: 133-40. [?zet]
  4. Dickersin GR, Rosenberg AE. The ultrastructure of small-cell osteosarcoma, with a review of the light microscopy and differential diagnosis. Hum Pathol 1991; 22: 267-75. [?zet]
  5. Martin SE, Dwyer A, Kissane JM, Costa J. Small-cell osteosarcoma. Cancer 1982: 50: 990-6. [?zet]
  6. Devaney K, Vinh TN, Sweet DE. Small cell osteosarcoma of bone: an immunohistochemical study with differential diagnostic considerations. Hum Pathol 1993; 24: 1211-25. [?zet]
  7. De Lathouwer L, Lerinck PL, Mayer R, Nendes da Costa P. Two cases of osteogenic sarcoma of the mandible; indications for immediate reconstruction. Acta Chir Belg 1974; 73: 49-58.
  8. Lushiku HB, Gebhart M. Osteosarcoma of the proximal fibula: report of 3 cases. Acta Chir Belg 1997; 97: 260-3. [?zet]
  9. Glasser DB, Lane JM, Huvos AG, Marcove RC, Rosen G. Survival, prognosis, and therapeutic response in osteogenic sarcoma. The Memorial Hospital experience. Cancer 1992: 69: 698-708. [?zet]

Yaz??ma Adresi (Address for Correspondence):

Dr. Ersin G?NAY,

I?d?r Devlet Hastanesi,

2. G???s Hastal?klar? Poliklini?i,

I?DIR - TURKEY

e-mail: ersingunay@gmail.com

Yazd?r