Yazd?r

Asemptomatik inferior vena kava anevrizmal? olgu

Cengiz ?ZDEM?R, Esra B?LG?N, Hikmet FIRAT, Sad?k ARDI?


SB D??kap? Y?ld?r?m Beyaz?t E?itim ve Ara?t?rma Hastanesi, G???s Hastal?klar? Klini?i, Ankara.

?ZET

Asemptomatik inferior vena kava anevrizmal? olgu

Ven?z anevrizmalar yayg?n de?ildir, bunlar?n i?inde de inferior vena kavan?n segmenter anevrizmas? olduk?a nadirdir. ?nferior vena kavan?n segmenter anevrizmas? ilk kez 1973 y?l?nda Oh ve arkada?lar? taraf?ndan tan?mlanm??t?r. Ven?z anevrizmalar ?o?unlukla asemptomatik olmakla birlikte kar?n a?r?s?, gastrointestinal kanama, akut ven?z t?kan?kl?k, pulmoner emboliye hatta ani ?l?me neden olabilmesi a??s?ndan klinik ?nem ta??r. Olgumuz da asemptomatik olup, tesad?fen segmenter inferior vena kava anevrizmas? saptanm??t?r.

Anahtar Kelimeler: Vena kava inferior, anevrizma.

SUMMARY

Asymptomatic vena cava inferior aneurysm, case report

Cengiz ?ZDEM?R, Esra B?LG?N, Hikmet FIRAT, Sad?k ARDI?


Clinic of Chest Diseases, Diskapi Yildirim Beyazit Training and Research Hospital, Ankara, Turkey.

Venous aneurysms are uncommon, whereas localized aneurysms of the inferior vena cava are extremely rare. Localized aneurysm of inferior vena cava was first publisheded in 1973 by Oh et al. Though venous aneurysms are generally asymptomatic, it is clinically important because of showing the symptoms of abdominal pain, gastrointestinal bleeding, acute venous obstruction, pulmonary embolism and even sudden death. Our case is also asymptomatic and localized aneurysm of the inferior vena cava is detected incidentally.

Key Words: Vena cava, inferior, aneurysm.

Geli? Tarihi/Received: 28/06/2011 - Kabul Edili? Tarihi/Accepted: 29/06/2011

Ven?z anevrizmalar yayg?n de?ildir, bunlar?n i?inde de inferior vena kava (?VK) anevrizmas? olduk?a nadirdir. ?VK anevrizmas? ilk kez 1973 y?l?nda Oh ve arkada?lar? taraf?ndan tan?mlanm??t?r (1). Literat?rde 30 olgunun saptand??? bildirilmi?, yapt???m?z taramada ise 2010 y?l?nda iki yeni olgunun daha eklendi?i g?r?lm??t?r (2,3,4). Ven?z anevrizmalar ?o?unlukla asemptomatik olmakla birlikte kar?n a?r?s?, gastrointestinal sistem kanamas?, akut ven?z t?kan?kl?k, pulmoner emboliye hatta ani ?l?me neden olabilmesi a??s?ndan klinik ?nem ta??r (5). Burada asemptomatik olup, tesad?fen saptanan ?VK anevrizmal? bir olgu sunulmu?tur.

OLGU SUNUMU

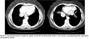
Elli sekiz ya??nda kad?n hasta, tekrarlayan ?ks?r?k ?ikayetiyle hastanemize ba?vurdu. Hasta ev han?m? idi ve sigara kullanm?yordu. ?yk?s?nde uzun s?redir nonprod?ktif ?ks?r?k ?ikayetine ek olarak s?k bo?az temizleme hissi ve bo?az a?r?s? mevcuttu. ?la? kullan?m ?yk?s? yoktu. Fizik muayenesi ve solunum fonksiyon testleri normal s?n?rlarda idi. Radyolojik tetkiklerinde; PA akci?er grafisi normal s?n?rlarda olan hastan?n waters grafisinde sa? maksiller sin?zit ile uyumlu bulgular? ve kontrastl? toraks bilgisayarl? tomografisi (BT)'nde diyafragma ?zerinde, sa? atriyum posterior kom?ulu?unda, ?VK'da anevrizmal geni?leme saptand? (Resim 1, 2). Yap?lan venografi incelemesiyle torasik ?VK segmentinde sakk?ler anevrizmal dilatasyon varl??? teyit edildi (Resim 3).


Tablo 1


Tablo 2


Tablo 3

Kronik sin?zite ba?l? postnazal drip sendromu a??s?ndan tedavisi d?zenlenen hasta, ?VK anevrizmas? a??s?ndan asemptomatik oldu?u ve komplikasyon saptanmamas? nedeniyle radyolojik takibe al?nd?. Halen kontrollerinin ikinci y?l?nda, asemptomatik olarak takip edilmektedir.

TARTI?MA

Ven?z anevrizmalar; fist?l ya da ps?doanevrizmalarla ili?kisi olmaks?z?n, tek bir ba?lant?yla ana ven?z yap?ya ba?lanan, lokalize ven?z dilatasyon olarak tan?mlan?r. Histopatolojik olarak normal ven duvar?n?n her ?? tabakas?n? i?erdikleri i?in ger?ek anevrizmalard?r, fakat duvar yap?s?nda bulunan kas, elastik ve fibr?z dokularda art?? mevcuttur (5,6). Ven?z anevrizmalar i?inde olduk?a nadir g?r?len ?VK anevrizmas?n?n etyolojisi bilinmemekle birlikte, embriyolojik olarak ven?z yap?lar aras?ndaki anastomozlardan geli?ti?i ve di?er kardiyovask?ler anomalilerle ili?kili olabilece?i ileri s?r?lm??t?r (7).

?VK anevrizmalar? sakk?ler, fusiform ve divertik?ler yap?da olabilir (8). ?VK anevrizmalar?, Gradman ve Steinberg taraf?ndan embriyolojik ve anatomik ?zelliklerine g?re d?rt tip (tip 1-4) olarak s?n?fland?r?lm??t?r (7). Tip 1 anevrizmalar ven?z obstr?ksiyon olmaks?z?n suprahepatik ven?z anevrizmalard?r. Tip 2 anevrizmalar infrahepatik ve suprahepatik kaval venin kesilmesiyle ili?kili anevrizmalard?r. Tip 3 anevrizmalar konjenital anomalilerle ili?kisiz infrarenal ?VK ile s?n?rl? anevrizmalard?r. Tip 4 anevrizmalar ise iliyak veni i?erir ve sol yerle?imli ?VK birlikteli?i mevcuttur. Literat?rdeki ?VK anevrizmalar?n?n ?o?u sakk?ler yap?da tip 3 anevrizmalard?r. Bizim hastam?zda ise sakk?ler yap?da tip 1 ?VK mevcuttu.

?VK anevrizmalar? ?o?unlukla asemptomatik olup, hastalarda kar?n a?r?s?, gastrointestinal sistem kanamas?, akut ven?z okl?zyon, pulmoner emboli ve ?l?m g?r?lebilir (2,3). Bizim hastam?zda asemptomatik ?VK anevrizmas? tesad?fen saptanm??t?r. ?VK anevrizmas?n?n tan?s?ndan genellikle ba?ka nedenler i?in yap?lan ara?t?rmalar s?ras?nda saptanan fizik muayene ve radyolojik g?r?nt?leme y?ntemleri bulgular?yla ??phelenilir. Akci?er grafisi, BT, Dupleks renkli doppler ultrasonografi, manyetik rezonans anjiyografi ve konvansiyonel venografi gibi g?r?nt?leme y?ntemleri tan?n?n do?rulanmas?nda kullan?labilir (5). BT ile ?VK'n?n normal boyutu infrahepatik segment i?in 2.7 ? 1.5-3.7 cm iken, kardiyak segment i?in 2.39 ? 0.5 cm'dir (1,9). Bizim olgumuzda da BT ile saptanan suprahepatik anevrizman?n boyutu, 3.3 x 4 x 3 cm idi ve tan? venografiyle do?ruland?.

?VK anevrizmas? nadir g?r?ld??? i?in hastal???n seyri bilinmemektedir ve standart tedavi konusunda fikir birli?i yoktur. Tedavi se?enekleri aras?nda, cerrahi rezeksiyon ve g?r?nt?leme y?ntemleriyle konservatif yakla??m bulunmaktad?r (7). Tip 2 ve tip 3 anevrizmalar komplikasyon geli?tirme oran? y?ksek oldu?u i?in cerrahi tedaviye ihtiya? duyulur. Asemptomatik ve ?ok b?y?k olmayan tip 1 anevrizmalar, komplikasyon geli?me riski d???k oldu?u i?in konservatif yakla??mla takip edilebilir (2). Takipte boyutlar?nda art??, kanama veya emboli gibi komplikasyon geli?en asemptomatik olgularda cerrahi rezeksiyon y?ntemleri uygulanmal?d?r (2,10,11). Bizim olgumuzda hastan?n asemptomatik olmas? ve komplikasyon geli?me riski a??s?ndan daha az riskli olan tip 1 ?VK anevrizmas?na sahip olmas? nedeniyle izlem karar? verildi. Hasta ikinci y?l?nda ve halen asemptomatik olarak takip edilmektedir.

Sonu? olarak; ven?z anevrizmalar i?inde olduk?a nadir g?r?len ?VK anevrizmas? ciddi komplikasyonlar yan?nda asemptomatik olarak da ortaya ??kabilir. Radyolojik g?r?nt?leme y?ntemleriyle saptanan anevrizman?n ?zellikleri tedavi se?iminde yol g?stericidir. Bizim olgumuzdaki gibi asemptomatik, nispeten k???k boyutta tip 1 ?VK anevrizmalar?n?n tedavisinde konservatif g?zlem bir se?enek olarak d???n?lebilir.

?IKAR ?ATI?MASI

Bildirilmemi?tir.

KAYNAKLAR

  1. Oh KS, Dorst JP, Haroutunian LM. Inferior vena cava varix. Radiology 1973; 109: 161-2.
  2. Davidovic L, Dragas M, Bozic V, Takac D. Aneurysm of the inferior vena cava: case report and review of the literature. Phlebology 2008; 23: 184-8. [?zet]
  3. Deshpande A, Sahoo S, Chaudhari P, Abhijit R. Aneurysm of the inferior cava: accurate preoperative diagnosis and surgical excision. ANZ J Surg 2010; 80: 552-3.
  4. Qaradaghi L, Imren VY, Ereren E, Tumer NB. Inferior vena cava aneurysm with hemothorax: rare presentation. Ann Vasc Surg 2010; 24: 823. [?zet]
  5. Calligaro KD, Ahmad S, Dandora R, Dougherty MJ, Savarese RP, Doerr KJ, et al. Venous aneurysms: surgical indications and review of the literatur. Surgery 1995; 117: 1-6. [?zet]
  6. Debing E, Vanhulle A, van Tussenbroek F, von Kemp K, van den Brande P. Idiopathic aneurysm of the inferior vena cava as a cause of massive penile bleeding. Eur J Vasc Endovasc Surg 1998; 15: 365-8. [?zet]
  7. Gradman WS, Steinberg F. Aneurysm of the inferior vena cava: a case report and review literature. Ann Vasc Surg 1993; 7: 347-353.
  8. Levesque H, Cailleux N, Courtois H, Claver E, Millon P, Benozio M. ?diopathic saccular aneurysm of the inferior vena cava: a new case. J Vasc Surg 1993; 18: 544-5.
  9. Moncada R, Demos TC, Marsan R, Churchill RJ, Reynes C, Love L. CT diagnosis of idiopathic aneurysms of the thoracic systemic veins. J Comput Assist Tomogr 1985; 9: 305-9. [?zet]
  10. Augustin N, Meisner H, Sebening F. Ombined membranous obstruction and sacculer aneurysm of the inferior vena cava. Thorac Cardiovasc Surg 1995; 43: 223-6. [?zet]
  11. Debing E, Vanhulle A, Van Tussenbroek F, von Kemp K, Van den Brande P. Idiopathic aneurysm of the inferior vena cava as a cause of massive penile bleeding. Eur J Vasc Endovasc Surg 1998; 15: 365-8.

Yaz??ma Adresi (Address for Correspondence):

Dr. Hikmet FIRAT,

SB D??kap? Y?ld?r?m Beyaz?t E?itim ve

Ara?t?rma Hastanesi, G???s Hastal?klar? Klini?i,

ANKARA - TURKEY

e-mail: hikfirat@gmail.com

Yazd?r