Yazd?r

Oral antikoag?lan tedavinin nadir bir komplikasyonu: Hemotoraks

Ayd?n ??LEDA?1, G?khan ?EL?K1, G?zde K?YC?1, Eren G?RSOY2, Cabir Y?KSEL3


1 Ankara ?niversitesi T?p Fak?ltesi, G???s Hastal?klar? Anabilim Dal?, Ankara,

2 Ankara ?niversitesi T?p Fak?ltesi, Kardiyoloji Anabilim Dal?, Ankara,

3 Ankara ?niversitesi T?p Fak?ltesi, G???s Cerrahisi Anabilim Dal?, Ankara.

?ZET

Oral antikoag?lan tedavinin nadir bir komplikasyonu: Hemotoraks

Oral antikoag?lan tedavinin en ?nemli komplikasyonu kanama olmas?na ra?men hemotoraks geli?imi olduk?a nadirdir. Bu yaz?da, plevrada lokalize plaklar? bulunan, warfarin kullan?m?na ba?l? spontan hemotoraks geli?en ve medikal tedavi ile d?zelen bir olgu s?k kar??la??lmamas? nedeniyle sunulmaktad?r. Oral antikoag?lan tedavi alan hastalar?n, etkin antikoag?lan tedavinin sa?lanabilmesi ve yan etkiler bak?m?ndan takip edilmeleri ve bu hastalarda plevral s?v? geli?mesi halinde hemotoraks?n ay?r?c? tan?da ak?lda tutulmas? gerekir. Plevral plaklar ya da kal?nla?ma gibi plevral patolojilerin varl??? hemotoraks geli?imi i?in risk fakt?r? olabilir.

Anahtar Kelimeler: Warfarin, hemotoraks.

SUMMARY

A rare complication of oral anticoagulant treatment: hemothorax

Ayd?n ??LEDA?1, G?khan ?EL?K1, G?zde K?YC?1, Eren G?RSOY2, Cabir Y?KSEL3


1 Department of Chest Diseases, Faculty of Medicine, Ankara University, Ankara, Turkey,

2 Department of Cardiology, Faculty of Medicine, Ankara University, Ankara, Turkey,

3 Department of Chest Surgery, Faculty of Medicine, Ankara University, Ankara, Turkey.

Although bleeding is the most serious complication of oral anticoagulant treatment, hemothorax is extremely rare. Herein, a case with localized pleural plaques and spontaneous hemothorax due to warfarin treatment which was improved with medical treatment is presented because of its rarity. The patients recieving oral anticoagulant treatment should be monitorized for effective anticoagulation and adverse effects, if pleural effusion occurs, hemothorax should be kept in mind in the differential diagnosis. Pleural pathologies such as pleural plaques or thickening may be risk factors for hemothorax.

Key Words: Warfarin, hemothorax.

Geli? Tarihi/Received: 28/02/2011 - Kabul Edili? Tarihi/Accepted: 21/04/2011

Kumarinler veya vitamin K antagonistleri, oral antikoag?lan tedavinin 50 y?l? a?k?n s?redir ba?l?ca ila?lar?d?r. B?t?n d?nyada en yayg?n kullan?lan vitamin K antagonistleri warfarindir. Warfarin, primer ve sekonder ven?z tromboemboli profilaksisinde, prostetik kalp kapa?? veya atriyal fibrilasyon olanlarda sistemik embolinin ?nlenmesinde, miyokard infarkt?s? sonras? sistemik embolinin ?nlenmesinde ve rek?rren miyokard infarkt?s? riskini azaltmada etkilidir (1). En ?nemli komplikasyonu kanama olmas?na ra?men hemotoraks geli?imi olduk?a nadirdir. Bu yaz?da, warfarin tedavisinin komplikasyonu olarak geli?en ve terap?tik drenaj uygulanmadan d?zelen bir spontan hemotoraks olgusunu s?k kar??la??lmamas? sebebiyle sunuyoruz.

OLGU SUNUMU

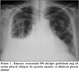
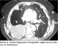
Yetmi? iki ya??nda, hipertansiyon ve atriyal fibrilasyon tan?lar?yla takip edilen hasta bir hafta ?nce ba?layan nefes darl???, ?ks?r?k ve sa? yan a?r?s? yak?nmalar?yla ba?vurdu. Ek hastal?k ve travma ?yk?s? bulunmayan hastan?n ?z ge?mi?inde ?evresel asbest maruziyeti mevcuttu. Fizik muayenede arteryel kan bas?nc? 100/60 mmHg ve nab?z 97/dakika-aritmikti. Sa? hemitoraksta skapula alt?nda solunum sesleri, vibrasyon torasikte azalma ve perk?syonda matite saptand?. Arter kan gaz? analizinde PaO2: 65 mmHg, PaCO2: 34 mmHg, pH: 7.46 ve SaO2: %95 idi. Laboratuvar incelemesinde Hb: 14.7 g/dL, Htc: %44.3, trombosit: 456 x 103/dL, l?kosit: 8.5 x 103/dL, eritrosit sedimentasyon h?z? 60 mm/saat idi. Kan biyokimyas? ve idrar analizi normaldi. Atriyal fibrilasyon nedeniyle warfarin tedavisi alan hastada PT: 111.5 saniye (N: 9.4-12.5 saniye) ve INR de?eri 8.85 (N: 0.82-1.07) olarak bulundu. G???s radyografisinde sa? alt zonda plevral ef?zyon ile uyumlu opasite ve d?zensiz s?n?rl? plevral plaklar izlendi (Resim 1). Ba?ka bir merkezde ?ekilen toraks bilgisayarl? tomografi anjiyografide tromboemboli ile uyumlu bulgu yoktu ve sa? akci?erde en kal?n yerinde 8 cm ?l??len plevral ef?zyon ve kom?ulu?unda subsegmenter atelektazi ve her iki akci?er ?st lob ve alt lob plevras?nda en kal?n yerinde 15 mm olan d?zensiz plevral kal?nla?ma ve kalsifik plaklar izlendi (Resim 2). Warfarin tedavisi kesilerek K vitamin replasman? yap?ld?. Normal INR d?zeyi sa?lanan hastaya tan?sal torasentez yap?ld? ve yakla??k 40 cc defibrine hemorajik s?v? aspire edildi. Plevral s?v? k?lt?r?nde ?reme olmad?. Sitolojik incelemede periferik kan elemanlar? aras?nda histiyosit ve reaktif mezotel h?creleri izlenen olguda, plevral s?v? hematokriti kan hematokritinin %50'sinden b?y?k saptanmas? ?zerine hemotoraks tan?s? konuldu. Hemotoraks miktar?n?n az olmas?, p?ht?l? olmamas? ve spontan olarak geriledi?inin izlenmesi nedeniyle drenaj yap?lmad?. Takiplerinde radyolojik d?zelme izlenen hasta komplikasyonsuz taburcu edildi (Resim 3).


Resim 1


Resim 2


Resim 3

TARTI?MA

Warfarin ven?z tromboz, pulmoner emboli, atriyal fibrilasyon ve/veya kalp kapak replasman? ile ili?kili tromboembolik komplikasyonlar?n ?nlenmesi ve tedavisinde d?nya genelinde s?k kullan?lan bir ila?t?r. Bununla birlikte kanama riskini art?rmas? halen ?nemli bir problem olmaya devam etmektedir. Amerika Birle?ik Devletleri'nde ila? yan etkisine ba?l? acil servise ba?vuru nedeni olarak bildirilen en s?k ila?lar warfarin ve ins?lindir (2,3,4).

Oral antikoag?lan tedavinin en ?nemli komplikasyonu olan kanama maj?r ve min?r kanama olarak s?n?fland?r?labilir (5,6). ?ntrakraniyal hemoraji, ?l?m veya hospitalizasyon gerektiren kanama maj?r kanama olarak tan?mlan?r. Maj?r kanama riski, uzun s?reli oral antikoag?lan tedavi alan hastalarda her y?l i?in %1.2-8.1 olarak bildirilmektedir (7,8). Kanama riskini etkileyen en ?nemli fakt?r antikoag?lan tedavi yo?unlu?u olup, INR d?zeyi maj?r belirleyicidir. Palareti ve arkada?lar?n?n yapt?klar? ?al??mada, INR d?zeyi 2-2.9'dan 3.0-4.4'e ??kt???nda kanama komplikasyonunun iki kat, 4.5-6.0'a ??kt???nda ise d?rt kat artt??? saptanm??t?r (9). Bizim olgumuzun da, tedavi uyumunun k?t? oldu?u ve laboratuvar monit?rizasyonuna y?nelik d?zenli kontrollere uymad??? saptand?. INR d?zeyi artt?k?a kanama riskinin de artmas?na ra?men, kanama epizotlar?n?n %50'si INR 4'?n alt?ndayken g?r?lmektedir. Kanama riskini art?ran hasta ile ilgili fakt?rler; ?nceden kanama ?yk?s? (?zellikle gastrointestinal sistem kanamas?), inme ?yk?s?, b?brek yetmezli?i, anemi veya hipertansiyon gibi ciddi komorbid durumlar ve kanser varl???d?r. ?leri ya? ile kanama riski aras?ndaki ili?ki ise tart??mal?d?r. Tedavinin erken d?nemlerinde kanama riski daha fazlad?r.

Oral antikoag?lan tedaviye ba?l? maj?r kanama s?kl?kla gastrointestinal sistem, yumu?ak doku ve ?riner sistem kaynakl? olup toraksa ait kanamalar nadir g?r?l?rler ve t?m kanamalar?n %3'?n? olu?turur (10). Hemotoraks ise olduk?a nadir olup literat?rde ?ok az say?da olgu sunumu ?eklinde bildirilmi?tir (11,12,13).

Hemotoraks?n klinik ?nemi, intraplevral bo?lu?a olan kanaman?n miktar?na, h?z?na, etyolojisine, e?lik eden pn?motoraks gibi lezyonlar?n varl???na ve kronik hale gelip gelmemesine g?re de?i?iklik g?sterir. Hemotoraks, ?o?unlukla g???s duvar? veya intratorasik organlar?n travma ile yaralanmas? sonucu meydana gelmekle birlikte travmaya ba?l? olmaks?z?n da g?r?lebilir ve nontravmatik ya da spontan hemotoraks olarak adland?r?l?r (14). Nadir g?r?len nontravmatik hemotoraks?n en s?k nedeni metastatik malign plevra hastal?klar?d?r (15). Bu durumun daha nadir nedenleri ise, pulmoner emboli, katamenial hemotoraks, hemofili-trombositopeni gibi kan hastal?klar?, spontan pn?motoraks, r?pt?re torasik aorta, pankreatik ps?dokist, r?pt?re patent duktus arteriyozis, aort koarktasyon r?pt?r?, herediter hemorajik telenjiektazi, intratorasik ekstramed?ller hematopoezis ve sunulan olguda oldu?u gibi antikoag?lan tedavi komplikasyonudur.

Hemotoraksl? olgularda uygulanan temel tedavi, kanl? s?v?y? bo?altmak ve devam eden kanaman?n yo?unlu?unu belirlemek amac?yla g???s t?p? tak?larak drenaj uygulanmas?d?r. Bizim olgumuzda ise hemotoraks miktar?n?n az olmas?, p?ht?l? olmamas? ve spontan olarak geriledi?inin izlenmesi nedeniyle drenaj yap?lmad?. Warfarin tedavisi kesilerek uluslararas? k?lavuz temel al?narak oral K vitamini uyguland? ve yat???n?n ikinci g?n?nde hastada normal INR d?zeyine ula??ld? (16).

Asbeste maruz kalma sonucunda plevrada bir?ok hastal?k ortaya ??kabilir. Bunlar plevral plaklar, benign plevral ef?zyon, dif?z plevral kal?nla?ma, round atelektazi ve malign mezotelyomad?r. Plevral plaklar asbeste maruz kalman?n en erken ve s?k g?r?len i?aretidir. Bizim olgumuzda da ?evresel asbest maruziyetine ba?l? plevral plaklar ve plevrada kal?nla?ma mevcuttu. Bu patolojilerle hemotoraks geli?imi aras?nda ili?kiye dair literat?rde bilgi bulunmamas?na ra?men, ?zellikle kanama diyatezi olan olgularda, vask?ler yap?y? etkileyerek risk fakt?r? olabilece?ini d???nd?k. Kanamaya yatk?nl?k yaratan durumdaki hastalarda ?zellikle bu hastada d???n?ld??? gibi; INR y?ksekli?i ile plevral plaklar?n birlikteli?i durumunda hemotoraks geli?ebilir. Bu nedenle plevral plak bulunan olgular?n bu y?nden takip edilmelerinin bu konuda bilgi sa?layaca??n? d???nmekteyiz.

Sonu? olarak, oral antikoag?lan tedavi alan hastalar?n, etkin antikoag?lan tedavinin sa?lanabilmesi ve yan etkiler bak?m?ndan takip edilmeleri ve bu hastalarda plevral s?v? geli?mesi halinde hemotoraks?n, ay?r?c? tan?da ak?lda tutulmas? gerekir. Plevral plaklar ya da kal?nla?ma gibi plevral patolojilerin varl??? hemotoraks geli?imi i?in risk fakt?r? olabilir.

?IKAR?ATI?MASI

Bildirilmemi?tir.

KAYNAKLAR

  1. Ansell J, Hirsh J, Hylek E, Jacobson A, Crowther M, Palareti G; American College of Chest Physicians.Pharmacology and management of the vitamin K antagonists: American College of Chest Physicians Evidence-Based Clinical Practice Guidelines (8th ed). Chest 2008; 133 (6 Suppl): S160-S98.
    [?zet] [Tam Metin] [PDF]
  2. Budnitz DS, Pollock DA, Mendelsohn AB, Weidenbach KN, McDonald AK, Annest JL. Emergency department visits for outpatient adverse drug events: demonstration for a national surveillance system. Ann Emerg Med 2005; 45: 197-206. [?zet]
  3. Budnitz DS, Pollock DA, Weidenbach KN, Mendelsohn AB, Schroeder TJ, Annest JL. National surveillance of emergency department visits for outpatient adverse drug events. JAMA 2006; 296: 1858-66. [?zet] [Tam Metin] [PDF]
  4. Levine MN, Raskob G, Landefeld CS, Kearon C. Hemorrhagic complications of anticoagulant treatment Chest 2001; 119 (Suppl): 108-21. [Tam Metin] [PDF]
  5. Markis M, Watson HG. The management of coumarin-induced over-anticoagulation. Br J Haematol 2001; 114: 271-80. [Tam Metin] [PDF]
  6. Schulman S, Kearon C. Definition of major bleeding in clinical investigations of antihemostatic medicinal products in non surgical patients. J Thromb Haemost 2005; 3: 692-4.
    [?zet] [Tam Metin] [PDF]
  7. Levine MN, Raskob G, Landefeld S, Kearon C. Hemorrhagic complications of anticoagulant treatment. Chest 1998; 114 (5 Suppl): S511-S23. [PDF]
  8. Gallus AS, Baker RI, Chong BH, Ockelford PA, Street AM. Consensus guidelines for warfarin therapy. Recommendations from the Australasian Society of Thrombosis and Haemostasis. Med J Aust 2000; 172: 600-5. [?zet]
  9. Palareti G, Leali N, Coccheri S, Poggi M, Manotti C, D'Angelo A, et al. Bleeding complications of oral anticoagulant treatment: an inception-cohort, prospective collaborative study (ISCOAT). Italian Study on Complications of Oral Anticoagulant Therapy. Lancet 1996; 348: 423-8. [?zet]
  10. Landefeld CS, Beyth RJ. Anticoagulant-releated bleeding; clinical epidemiology, prediction and prevention. Am J Med 1993; 95: 315-28. [?zet]
  11. Nasilowski J, Krenke R. Hemothorax with high number of eosinophils following warfarin overdose. Pneumonol Alergol Pol 2002; 70: 496-503. [?zet]
  12. Moskovitz B, Braner B, Engel A, Kleinhaus U, Levin DR. Multifocal bleeding due to anticoagulant therapy. Urol Int 1988; 43: 53-5. [?zet]
  13. Simon HB, Dagget MW, DeSanctis RW. Hemothorax as a complication of anticoagulant therapy in the presence of pulmonary infarction. JAMA 1969; 208: 1830-4.
  14. Akay H. The diagnostic and therapeutic approach in hemothorax. Solunum 2002; 4: 195-205. [PDF]
  15. Ece T. Hemothorax. In: G?z? O, K?kt?rk O (eds). Pleural Diseases. Thorax Books, Istanbul: Turgut Publishing Company, 2003: 295-302.
  16. Ansell J, Hirsh J, Poller L, Bussey H, Jacobson A, Hylek E. The pharmacology and management of the vitamin K antagonists: the Seventh ACCP Conference on Antithrombotic and Thrombolytic Therapy. Chest 2004; 126 (3 Suppl): S204-S33. [?zet] [Tam Metin] [PDF]

Yaz??ma Adresi (Address for Correspondence):

Dr. Ayd?n ??LEDA?,

Ankara ?niversitesi T?p Fak?ltesi,

G???s Hastal?klar? Anabilim Dal?,

ANKARA - TURKEY

e-mail: aciledag@yahoo.com

Yazd?r