Yazd?r

Akci?er infeksiyonuna ba?l? geli?en hemofagositik sendrom: Olgu sunumu

Pervin Korkmaz EkreN1, Erhan Erg?n2, Tuncay G?ksel1, Nazan ?zsan3, Mine Hek?mg?l3


1 Ege ?niversitesi T?p Fak?ltesi, G???s Hastal?klar? Anabilim Dal?, ?zmir,

2 SB Tepecik E?itim ve Ara?t?rma Hastanesi, ?? Hastal?klar? Klini?i, ?zmir,

3 Ege ?niversitesi T?p Fak?ltesi, Patoloji Anabilim Dal?, ?zmir.

?ZET

Akci?er infeksiyonuna ba?l? geli?en hemofagositik sendrom: Olgu sunumu

Otuz bir ya??nda erkek hastada ortaya ??kan pn?moni ve ampiyem uygulanan antibiyoterapi ve drenaj ile iyile?irken, pansitopeni ile karakterize hemofagositik sendrom tablosu geli?ti. Buna ba?l? geli?en hastane k?kenli infeksiyon, uygulanan antibiyotik tedavi ile d?zeldi. ?nfeksiyon d?zeldikten sonra laboratuvar de?erleriyle birlikte hemofagositik sendrom tablosu da spontan ?ifa buldu. ?nfeksiyonlar?n seyrinde bu kadar a??r hemofagositik sendrom tablosu nadir geli?en bir durum olmas? nedeniyle sunulmu?tur.

Anahtar Kelimeler: Hemofagositik sendrom, pn?moni, ampiyem.

SUMMARY

Hemophagocytic syndrome due to lung infection: a case report

Pervin Korkmaz EkreN1, Erhan Erg?n2, Tuncay G?ksel1, Nazan ?zsan3, Mine Hek?mg?l3


1 Department of Chest Diseases, Faculty of Medicine, Ege University, Izmir, Turkey,

2 Clinic of Internal Medicine, Tepecik Training and Research Hospital, Izmir, Turkey,

3 Department of Pathology, Faculty of Medicine, Ege University, Izmir, Turkey.

A 31-year-old man with pneumonia and ampiema was treated with antibiotics and drainage. Hemophagocytic syndrome, characterized with pancytopenia was arised during this treatment. Nosocomial infection due to pancytopenia was treated with antibiotics. Hemophagocytic syndrome was recovered spontaneously after the treatment of this nosocomial infection. Such a severe hemophagocytic syndrome due to infection is a rare condition.

Key Words: Hemophagocytic syndrome, pneumonia, ampiema.

Hemofagositik sendrom tek bir hastal?k de?il, altta yatan ?e?itli durumlarda ortaya ??kan, benzer inflamatuvar yan?t sonucu olu?an bir sendromdur. Her ya?ta g?r?lebilir (1). Ate?, splenomegali, sar?l?k, kemik ili?i ve di?er dokularda hemofagositoz (eritrosit, l?kosit ve trombositler ile ?nc?llerinin makrofajlarca fagositozu) ile karakterli nadir g?r?len bir hastal?kt?r (2). Primer ve sekonder olmak ?zere iki tipi vard?r. Primer otozomal resesif ge?i?li form di?er ad?yla familyal hemofagositik sendrom yakla??k 1/50.000 oran?nda yenido?an ?ocuklarda g?r?l?r (3,4). Sekonder form ise de?i?ik viral, bakteriyel, fungal ve paraziter infeksiyonlar; kollajen doku hastal?klar? ve malign hastal?klarla birlikte g?r?lmekte ise de en ?ok Epstein-Barr vir?s (EBV) infeksiyonu ile ba?lant?l?d?r (2). Bu yaz?da ciddi akci?er infeksiyonuna sekonder geli?en hemofagositik sendrom olgusu sunulmaktad?r.

OLGU SUNUMU

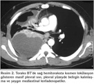
On be? paket/y?l sigara ?yk?s? olan ancak herhangi bir kronik hastal??? olmayan 31 ya??nda erkek hasta; 10 g?n ?nce ba?layan, nefes almakla artan, batar tarzda yan a?r?s?, ate? y?ksekli?i ve sar? renkli balgam ??karma yak?nmalar?yla hekime ba?vurmu?tur. Pn?moni tan?s? ile hastaya ayaktan oral sefuroksim ve klaritromisin i?eren antibiyotik tedavisi ba?lanm??t?r. Yan a?r?s? yak?nmas? ge?meyince ?ekilen toraks bilgisayarl? tomografi (BT)'de sa? hemitoraksta plevral s?v?, multipl mediastinal lenfadenopati ve sa? alt lobda i?inde hava bronkogramlar? i?eren konsolide alan izlenen olgu bir devlet hastanesine yat?r?lm?? ve sefuroksim kesilip, tedavisi intraven?z seftriakson ve oral klaritromisin ?eklinde tekrar d?zenlenmi?tir. ???nc? g?nde klinik yan?t al?namamas? ve ?ekilen akci?er grafisinde progresyon saptanmas? nedeniyle olgu hastanemize sevk edildi.

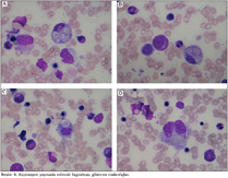
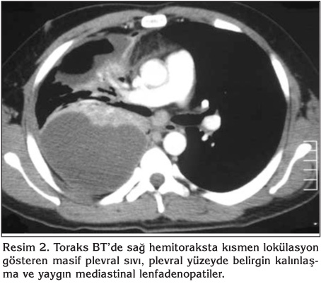
Klini?imize yat?r?ld???nda 39?C ate?, takipne (solunum say?s?: 28/dakika), perk?syonda sa? hemitoraksta matite ve osk?ltasyonda sa?da solunum sesi ?iddetinde azalma saptand?. Laboratuvar incelemesinde l?kosit 20.800/mm3, hemoglobin 12.3 g/dL, trombosit 433.000/mm3, sedimentasyon h?z? 100 mm/saat, aspartat aminotransferaz (AST) 52 U/L, alanin aminotransferaz (ALT) 54 U/L, oda havas?nda al?nan arteryel kan gaz?nda PaO2 51 mmHg bulundu. Posteroanterior akci?er grafisinde sa? hemitoraksta apeksten kaideye kadar homojen dansite art??? vard? (Resim 1). Pn?moni ve ampiyem tan?lar?yla antibiyotik tedavisi piperasilin-tazobaktam ile de?i?tirilirken olguya hemen bronkoskopi ve plevral ponksiyon yap?ld?. Endobron?iyal lezyon izlenmeyen olguda mikrobiyolojik de?erlendirmeler i?in ?rnekler al?nd?. Ultrasonografi (USG) e?li?inde yap?lan plevral ponksiyon sonucu 25 mL p?yden olu?an ?rnek al?nabildi. S?v?n?n biyokimyasal incelemesinde laktat dehidrogenaz (LDH) 29.300 U/L, total protein 5 g/dL, glukoz 10 mg/dL, adenozin deaminaz 76.3 U/L olarak saptan?rken, ?rne?in pH's?na teknik yetersizlikten dolay? bak?lamad?. Serbest plevral s?v? drene edilememesi nedeniyle ?ekilen toraks BT'de sa? hemitoraksta lok?lasyon g?steren masif plevral s?v?, plevral y?zeyde belirgin kal?nla?ma ve yayg?n mediastinal lenfadenopatiler g?r?ld? (Resim 2). G???s cerrahisi kons?ltasyonunda septik tablo nedeniyle cerrahi m?dahale d???n?lmedi. Sa? hemitoraksa vertebra ile skapula aras?na, toraks BT rehberli?inde ve USG e?li?inde ince plevral kateter (pl?rakan) tak?ld?. ?lerleyen g?nlerde toplam 1700 mL p?y bo?alt?ld?. Plevral s?v?n?n Gram boyamas?nda bakteri morfolojisi saptanmad? ve hasta ba??nda s?v?dan kan k?lt?r? besiyerine ekim yap?ld?. Al?nan bronkoskopik aspirasyon ve plevral s?v? ?rneklerinde bakteriyolojik, mikolojik, mikobakteriyolojik ?reme olmazken, patolojik inceleme sonucunda benign olarak de?erlendirildi. ?e?itli d?nemlerde al?nan kan ve balgam ?rneklerinde bakteriyolojik ?reme olmad?. Plevral kateter ile ilk bo?altma sonras? g?nde ortalama 200 mL plevral s?v? gelmeye devam eden olguda ???nc? g?nde, ate? kontrol alt?na al?nd?. Tedavinin yedinci g?n?nde tekrar ate?inde y?kselme ve l?kosit de?erlerinde d??me ba?lad?. Akci?er grafisinde d?zelme g?r?lmekle birlikte tekrarlanan toraks BT'de sa? hemitoraksta alt k?s?mda minimal lok?le s?v? oldu?u g?zlendi ve buradan USG e?li?inde ponksiyon denendi ama ?rnekleme yap?lamad?. Bu nedenle ?? g?n s?reyle mevcut plevral kateter yard?m? ile g?nl?k 250.000 ?nite intraplevral streptokinaz uygulanarak yap???kl?klar?n a??lmas? ve k???k lokalize alanlar?n drene olmas? planland? ancak minimum plevral s?v? d?n??? izlendi. Hemogram de?erleri giderek d??en olgunun l?kositi 1000/mm3 (n?trofil: %47, lenfosit: %49), hemoglobini 6.1 g/dL, trombositi 94.000/mm3, uluslararas? normalle?tirilmi? oran? (INR) 1.5 (0.91-1.09) ve aktive parsiyel tromboplastin zaman? (aPTT) 45.4 saniye (22.5-31.3) olarak saptand?. Hastaya eritrosit replasman? yap?ld?; antibiyotik tedavisi imipenem ve vankomisin ?eklinde tekrar d?zenlendi. Laboratuvar incelemelerinde AST 396 U/L, ALT 95 U/L, gamaglutamil transferaz (GGT) 127 U/L, LDH 4164 U/L, ferritin 5325 ng/mL (30-400), trigliserid 357 mg/dL (< 200) olarak saptand? (Tablo 1). Fizik muayenesinde v?cudunda yayg?n ?dem; g?vdesinde daha belirgin olmak ?zere t?m v?cutta ka??nt?l? mak?lopap?ler ve pete?iyal lezyonlar ile splenomegali geli?ti?i g?zlendi. ?nfeksiyonun tekrar alevlenmesi, laboratuvar de?erlerinin bozulmas?n?n nedeni olarak hastane k?kenli ya da farkl? etyolojide infeksiyon ve buna ba?l? sepsise gidi?, altta olas? hematolojik malignite ya da ba? dokusu hastal???nda atak d???n?ld?. Al?nan kan ve balgam ?rneklerinde ?reme saptanmad? ve serolojik testlerde; brusella, EBV, sitomegalovir?s (CMV), insan imm?nyetmezlik vir?s? (HIV), influenza, parainfluenza, respiratuar sinsityal vir?s (RSV) infeksiyonunu d???nd?recek bir bulgu g?zlenmedi (Tablo 2). Romatolojik belirte?leri normal saptanan olgunun kemik ili?i biyopsi ve aspirasyonu sonucu hipersel?ler kemik ili?i ve hemofagositoz; biyopside gran?lositer seride art??, aspirasyon preparat?nda gran?lositer seri hakimiyeti, %5 dolay?nda k???k lenfosit ve eritrosit fagositozu g?steren makrofaj saptand? (Resim 3, 4). Geli?en bu hemofagositoz sendromu tablosunun etyolojisi ve gen? sa?l?kl? bir ki?ide bu atipik infeksiyon seyrinin a??klamas? ?u ?ekilde yap?ld?; ilk a??r pn?moni ve ampiyem tablosuna sekonder geli?en hemofagositik sendrom, hastan?n imm?n direncini d???rerek hastane k?kenli infeksiyona yakalanmas?na neden olmu?tur. ?mipenem ve vankomisin tedavisi ile ate?i d??en, laboratuvar de?erleri d?zelen olguda; 21. g?nde tedavi sonland?r?ld?. Toplam 36 g?n hastanede kalan olgunun taburculu?undan bir ay sonraki kontrol?nde laboratuvar de?erleri normal olarak saptan?rken, akci?er grafisinde hafif d?zeyde plevral kal?nla?ma ve ?ekintiler d???nda patoloji g?zlenmedi.


Resim 1


Resim 2


Tablo 1


Tablo 2


Resim 3


Resim 4

TARTI?MA

Hemofagositik sendrom tan?s? Tablo 3'te belirtilen hemofagositik sendrom ?al??ma grubunun geli?tirdi?i kriterlere g?re koyulmaktad?r (5). Ate? ve splenomegali en s?k g?r?len klinik bulgu olup, hepatomegali, sar?l?k ve ensefalopati, meninjizm ve konv?lziyon gibi santral sinir sitemine ait bulgular da bildirilmi?tir (2,6). Lenfadenopati, ra?, ikter ve n?rolojik semptomlar daha nadirdir (4,7,8). Bizim olgumuzdaki tan? kriterlerini kar??layan klinik ve laboratuvar bulgular? Tablo 2'de g?sterilmi?tir. Bu bulgular?n CMV, EBV, akut HIV gibi viral infeksiyonlarda da bulunabilece?i belirtilmi?se de bizim hastam?zda bu infeksiyonlar?n olmad??? serolojik testlerle g?sterildi. Uzun s?reli n?tropeni de olmad??? i?in EBV-DNA istenmedi; yap?lan antikor tarama testlerinin yeterli ve g?venilebilir oldu?u d???n?ld?. Hastal???n laboratuvar bulgular? aras?nda en belirgin olarak hastam?zda pansitopeni mevcuttu. Kan biyokimyas?ndaki LDH y?ksekli?i, hiperbilirubinemi, hipofibrinojenemi; artm?? hemoliz ve dissemine intravask?ler koag?lasyon ile de birlikte bulunabilmektedir (2). Olgumuzun kemik ili?i yaymas?nda g?sterdi?imiz gibi histopatolojik olarak kemik ili?i, dalak, lenf nodlar?, santral sinir sistemi ve deride hemofagositoz (aktive olmu? makrofajlar?n eritrosit, l?kosit ve trombositler ile bu h?crelerin ?nc?lerini fagosite etmesi) bu hastal???n karakteristi?idir (2,9).


Tablo 3

Hemofagositik sendromdaki semptomlar?n t?m? y?ksek konsantrasyondaki inflamatuvar sitokinler, aktive lenfosit ve histiyositlerin organ infiltrasyonu ile a??klanabilir (10,11). ?nterl?kin (IL)-1 ve IL-6 ate?e yol a?arken; y?ksek d?zeydeki t?m?r nekroz fakt?r?-alfa (TNF-α) ve interferon-gama (IFN-γ) pansitopeni olu?umunda hemofagositozdan daha fazla etkilidir. TNF-α, lipoprotein lipaz? inhibe ederek trigliserid d?zeyinin artmas?na neden olur. Ferritin sekresyonundan sadece aktive makrofajlar sorumlu de?ildir, plazminojen aktivasyonuyla olu?an y?ksek plazmin seviyesi ve hiperfibrinolizis de ferritin art???na neden olmaktad?r. Aktive lenfositler, y?ksek konsantrasyondaki ??z?nm?? interl?kin resept?rlerinin kayna??d?r. Hepatosplenomegali, artm?? karaci?er enzimleri ve bilirubin, n?rolojik semptomlar; aktive olmu? lenfosit ve histiyositlerin organ infiltrasyonu sonucu olu?ur (1). Hemofagositik sendrom genellikle hematolojik maligniteler, primer veya sekonder imm?nyetmezlik, otoimm?n hastal?klar; viral, bakteriyel veya parazitik infeksiyonlar?n seyrinde ortaya ??kmaktad?r (2,12,13,14,15). Goto ve arkada?lar?, hemofagositik sendrom tan?s? alan bir dissemine t?berk?lozlu hasta bildirmi?lerdir (12). Sepsisli ve trombositopenik hastalar aras?nda da hastal???n s?kl??? ara?t?r?lm??t?r. Stephan ve arkada?lar?, sepsisli ve trombositopenik 20 yo?un bak?m hastas?n?n %60'?nda kemik ili?i aspirat?nda hemofagositik sendrom g?stererek trombositopeni ve dissemine intravask?ler koag?lopatinin artm?? olan platelet spesifik imm?nglobuline ba?l? olabilece?ini belirtmi?lerdir (15).

Sitokinlerin art??? nedeniyle hiperinflamasyon geli?ti?ine g?re tedavide lenfositler i?in sitotoksik olan, dendritik h?crelerin farkl?la?mas?n? engelleyen ve sitokin salg?lamas?n? inhibe eden kortikosteroid tedavide kullan?lmaktad?r. 1980 y?l?nda hemofagositik sendromda tedaviye monosit ve histiyositik hastal?klarda olduk?a etkili olan etoposid girmi?tir. Fransa'da steroid ve siklosporin tedavisi ile kombine olarak kullan?lan antitimosit globulin ba?ar?l? sonu?lar vermi?tir. K?k h?cre nakli de tedavide denenen di?er bir y?ntemdir (1). EBV infeksiyonu d???ndaki hemofagositik sendromda genelde destekleyici tedavi verilir ve olgular?n %60-70'i bu tedavi ile iyile?ir. EBV ba?lant?l? hemofagositik sendrom e?er tedavi edilmezse hemen her zaman ?l?mle sonu?lan?r (16). Olgumuzda da infeksiyon tedavisine ek olarak destek tedavi uygulanm?? ve izleminde kortikosteroid veya sitotoksik ajanlar?n kullan?lmas?na gerek kalmam??t?r. Hastan?n ilk yat???nda cerrahi tedavi uygulansayd?; bu klinik tablo ortaya ??kmayabilirdi.

Sonu? olarak; bu sunumda pn?moni ve ampiyeme sekonder geli?en hemofagositik sendrom olgusu tart???lmaktad?r. ?nfeksiyonlar s?ras?nda a??klanamayan genel durum bozulmas? ya da imm?n diren? d???kl??? meydana gelmesi durumunda, nadir g?r?len bir hastal?k olan hemofagositik sendrom akla gelmelidir.

?IKAR?ATI?MASI

Bildirilmemi?tir.

KAYNAKLAR

  1. Janka GE. Hemophagocytic syndromes. Blood Rev 2007; 21: 245-53. [?zet]
  2. Fisman DN. Hemophagocytic syndromesand infection. Emerg nfect Dis 2000; 6: 601-8. [?zet] [PDF]
  3. Henter JI, Elinder G, S?der O, Ost A. Incidence in Sweden and clinical features of familial hemophagocytic lymphohistiocytosis. Acta Paediatr Scand 1991; 80: 428-35. [?zet]
  4. Henter JI, Aric? M, Elinder G, Imashuku S, Janka G. Familial hemophagocytic lymphohistiocytosis. Primary hemophagocytic lymphohistiocytosis. Hematol Oncol Clin North Am 1998; 12: 417-33. [?zet]
  5. Henter JI, Horne A, Aric? M, Egeler RM, Filipovich AH, Imashuku S, et al. HLH-2004: Diagnostic and therapeutic guidelines for hemophagocytic lymphohistiocytosis. Pediatr Blood Cancer 2007; 48: 124-31.
    [?zet]
  6. Henter J, Nennesmo I. Neuropathologic findings and neurologic symptoms in twenty-three children with hemophagocytic lymphohistiocytosis. J Pediatr 1997; 130: 358-65. [?zet]
  7. Janka GE. Familial hemophagocytic lymphohistiocytosis. Eur J Pediatr 1983; 140: 221-30. [?zet]
  8. Janka G. Familial and acquired hemophagocytic lymphohistiocytosis. Eur Pediatr 2006. Epub ahead of print. [?zet]
  9. Ost A, Nilsson-Ardnor S, Henter J. Autopsy findings in 27 children with haemophagocytic lymphohistiocytosis. Histopathology 1998; 32: 310-6. [?zet]
  10. Schneider EM, Lorenz I, M?ller-Rosenberger M, Steinbach G, Kron M, Janka-Schaub GE. Hemophagocytic lymphohistiocytosis is associated with deficiencies of cellular cytolysis but normal expression of transcripts relevant to killer-cell-induced apoptosis. Blood 2002; 100: 2891-8.
    [?zet] [Tam Metin] [PDF]
  11. Henter JI, Elinder G, S?der O, Hansson M, Andersson B, Andersson U. Hypercytokinemia in familial hemophagocytic lymphohistiocytosis. Blood 1991; 78: 2918-22. [?zet] [PDF]
  12. Goto S, Aoike I, Shibasaki Y, Morita T, Miyazaki S, Shimizu T, et al. A successfully treated case of disseminated tuberculosis-associated hemophagocytic syndrome and multiple organ dysfunction syndrome. Am J Kidney Dis 2001; 38: E19. [?zet]
  13. Sekigawa I, Suzuki J, Nawata M, Ikeda K, Koike M, Iida N, et al. Hemophagocytosis in autoimmune disease. Clin Exp Rheumatol 2001; 19: 333-8. [?zet]
  14. Aouba A, Noguera ME, Clauvel JP, Quint L. Hemophagocytic syndrome associated with Plasmodium vivax infection. Br J Haematol 2000; 108: 832-3. [?zet] [PDF]
  15. Stephan F, Thioliere B, Verdy E, Tulliez M. Role of hemophagocytic histiocytosis in the etiology of thrombocytopenia in patients with sepsis sydrome or septic shock. Clin Infect Dis 1997; 25: 1159-64.
    [?zet] [PDF]
  16. Janka G, Imashuku S, Elinder G, Schneider M, Henter JI. Infection- and malignancy-associated hemophagocytic syndromes. Secondary hemophagocytic lymphohistiocytosis. Hematol Oncol Clin North Am 1998; 12: 435-44. [?zet]

Yaz??ma Adresi (Address for Correspondence):

Dr. Pervin Korkmaz Ekren,

Ege ?niversitesi T?p Fak?ltesi,

G???s Hastal?klar? Anabilim Dal?,

Bornova 35100 ?ZM?R - TURKEY

e-mail: pervinkorkmaz@yahoo.com

Yazd?r