Yazd?r

Pulmoner sekestrasyonun anormal damarsal yap?s?n? g?stermede
bilgisayarl? tomografinin g?venilirli?i

Hakan B?Y?KO?LAN1, Ertu?rul MAV?L?2, Nuri TUTAR1, Asiye KANBAY1,

Mehmet B?LG?N3, Fatma Sema OYMAK1, ?nci G?LMEZ1, Ramazan DEM?R1


1 Erciyes ?niversitesi T?p Fak?ltesi, G???s Hastal?klar? Anabilim Dal?, Kayseri,

2 Erciyes ?niversitesi T?p Fak?ltesi, Radyoloji Anabilim Dal?, Kayseri,

3 Erciyes ?niversitesi T?p Fak?ltesi, G???s Cerrahisi Anabilim Dal?, Kayseri.

?ZET

Pulmoner sekestrasyonun anormal damarsal yap?s?n? g?stermede bilgisayarl? tomografinin g?venilirli?i

Bronkopulmoner sekestrasyon nadir g?r?len konjenital damarsal malformasyondur. Besleyici arterin g?sterilmesi tan?y? koydurmaktad?r. Bu ?al??mada bilgisayarl? tomografinin besleyici arteri ve drenaj veni g?stermedeki etkinli?i ara?t?r?lm??t?r. 2003-2008 y?llar? aras?nda pulmoner sekestrasyon tan?s? alan ya?lar? 5-49 aras?nda de?i?en sekiz hasta (alt? erkek, iki kad?n) incelendi. B?t?n hastalara bilgisayarl? toraks tomografisi ve anjiyografi yap?ld?. T?m olgularda anormal besleyici arter g?r?nt?lendi. Olgular?n besleyici arterleri; alt? olguda inen torasik aort, bir olguda arkus aort, bir olguda internal mamarial arter, iki olguda interkostal arterler ve bir olguda da ??lyak arter olarak tespit edildi. D?rt olguda cerrahi, bir olguda da arteryel embolizasyon yap?ld?. ?zellikle multidetekt?r bilgisayarl? tomografinin anormal damarlar? g?stermede olduk?a ba?ar?l? oldu?u g?sterildi.

Anahtar Kelimeler: Pulmoner sekestrasyon, spiral tomografi, multidetekt?r tomografi.

 

SUMMARY

Evaluation of diagnostic accuracy of computed tomography to assess the angioarchitecture of
pulmonary sequestration

Hakan B?Y?KO?LAN1, Ertu?rul MAV?L?2, Nuri TUTAR1, Asiye KANBAY1,

Mehmet B?LG?N3, Fatma Sema OYMAK1, ?nci G?LMEZ1, Ramazan DEM?R1


1 Department of Chest Diseases, Faculty of Medicine, Erciyes University, Kayseri, Turkey,

2 Department of Radiology, Faculty of Medicine, Erciyes University, Kayseri, Turkey,

3 Department of Chest Surgery, Faculty of Medicine, Erciyes University, Kayseri, Turkey.

Bronchopulmonary sequestration is an unusual congenital malformation consisting of abnormal lung tissue that lacks normal communication with the tracheobronchial tree. The diagnosis of pulmonary sequestration is based on identifying this systemic arterial supply. We aimed to evaluate the sensitivity of multidetector computed tomography in demonstrating the feeding artery and draining veins. Between 2003 and 2008, 8 patients (6 males, 2 females) ranging in age from 5 to 49 years with a diagnosis of pulmonary sequestration were identified. All patients underwent evaluation with chest tomography (spiral or multi detector tomography) and digital subtraction angiography. Aberrant systemic arterial supply was demonstrated in all cases: from the descending thoracic aorta (n= 6); arcus aorta (n= 1), internal mammarial artery (n= 1), intercostal arteries (n= 2) and celiac axis (n= 1). Four patients underwent surgery which confirmed the angioarchitecture depicted on angiography. One patient underwent angiography with embolization using. Computed tomography especially multidetector computed tomography is a powerful noninvasive technique for the detection of pulmonary sequestration.

Key Words: Pulmonary sequestration, helical computed chest tomography, multidetector computed tomography.

Pulmonary sequestration (PS) is an unusual congenital malformation consisting of abnormal lung tissue that lacks normal communication with the tracheobronchial tree. It is categorized into 2 types intralobar (75%) and extralobar (25%). Extralobar pulmonary sequestrations (ELS ) are masses of lung parenchyma that have a distinct pleural covering maintaining complete anatomical separation of the mass from adjacent normal lung tissue. On the contrary, intra-lobar sequestrations (ILS) are masses of lung parenchyma that are contiguous with the bordering normal lung (1,2,3).

ILS has a predilection for the posterior basal segments of the lower lobes, occurs more often on the left and shows venous drainage into the pulmonary veins. ELS is characterized by a separate pleural investment and shows venous drainage into the azygous system (1,2,3).

The diagnosis of pulmonary sequestration is based on identifying this systemic arterial supply (4). Arteriography is the method of choice to demonstrate the systemic vessels supplying the abnormal portion of the lung (4,5). Several studies mainly consisting of case reports have shown that magnetic resonance imaging (MRI), helical computed tomography (HCT) and multidetector computed tomography (MDCT) angiography may be used to demonstrate the aberrant vasculature and the bronchial anatomy (6,7,8,9,10,11). In the study we aimed to evaluate the accuracy of MDCT in demonstrating the feeding artery and draining veins.

MATERIALS and methods

Between 2003 and 2008, eight patients (6 males, 2 females) ranging in age from 5 to 49 years with a diagnosis of pulmonary sequestration were identified. We retrospectively reviewed the records of eight patients with PS. This study was approved by Institutional Review Board at the Erciyes University at Kayseri. The diagnosis was suspected with the clinical history and chest radiographic findings. Two patients were examined with a helical CT (Shimadzu SCT-7000XT, Kyoto, Japan) and six patients with 16 row multidetector CT scanner (Light Speed 16, GE Medical Systems, Milwaukee, Wis, USA). First, scanograms were taken in supine position. Then serial scans were taken, starting from the apices of the lungs, ending at the level of the adrenal glands. Helical CT was obtained after the administration of 2-4 mL/kg (maximum contrast doses 120 mL) non-ionic contrast agent with a concentration of 350 mg/mL at a flow rate of 3 mL/sec using an automated injector. Images were obtained 25 sec after the injection.

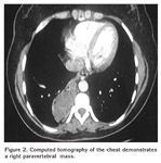
Multidetector CT was obtained after the administration of 2-4 mL/kg (maximum contrast doses 80 mL) non-ionic contrast agent with a concentration of 350/100 mg/dL (Iomeron 350, Bracco) via a subcutaneous antecubital vein at a rate of 3.5 mL/sec. Bolus tracking method was used. Acquisition was triggered automatically when the contrast reached the level of aorta. The images were sent to the workstation (Advantage Workstation, ADW 4.2, GE. Medical Systems). One of the patient?s multidetector CT angiography scan was? demonstrated Figure 1, 2.


Figure 1

Figure 2

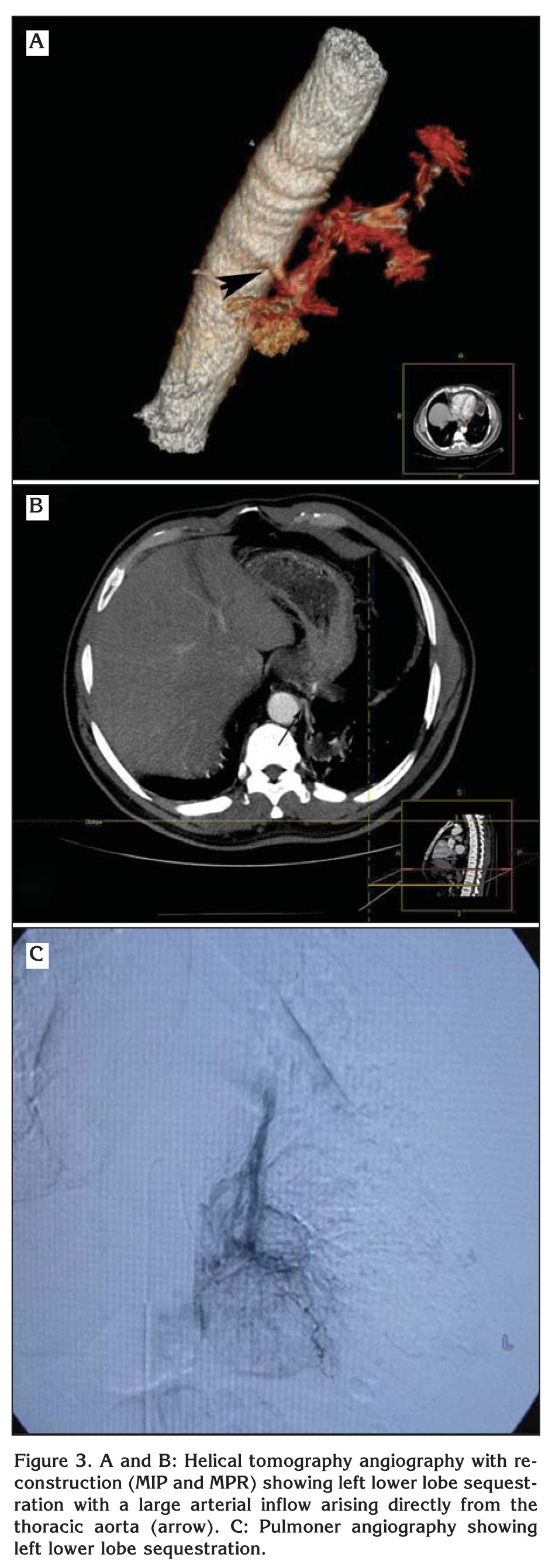
Conventional transverse images, reformatted multiplanar reconstructions (MPR), maximum intensity projections (MIP), and volume-rendered 3D images were used. We confirmed the diagnosis of PS by digital substraction angiography (DSA). Helikal tomography angiography with reconstruction and pulmoner angiography showing left lower lobe sequestration Figures 3.


Figures 3

Results

The chest CT findings as shown on Table 1 were solid mass lesion (5 patients), heterogeneous consolidation (2 patients), and cystic lesion with aberrant systemic arterial supply (8 cases): venous return could be demonstrated in 6 cases. In two cases examined with helical CT the venous return could not be demonstrated. The feeding artery was mostly from the descending thoracic aorta (n= 6). Feeding arteries were arising from arcus aorta (n= 1), internal mammary artery (n= 1), intercostals (n= 2) and celiac axis (n= 1). Four patients underwent surgery. One patient underwent angiography with embolization using N-butyl cyanoacrilate particle. The patient characteristics, clinical symptoms, chest radiograph and angiographic findings, and the treatment offered are briefly summarized in Table 2.


Table 1

Table 2

Discussion

PS is a rare congenital anomaly comprising 0.15 ? 6.4% of all congenital pulmonary malformations and 1.1 ? 1.8% of all pulmonary resections. PS was first described by Pryce in 1946 and defined as an abnormal artery from aorta supplying a bronchopulmonary mass or cyst which is dissociated from the normally connected bronchial tree (12). The etiology of sequestrations has not been clearly understood. The theory most widely accepted, and which provides a single mechanism for the spectrum of etiology described in the literature, suggests that PS result from formation of an accessory lung bud caudal to the normal lung buds. Some authors suggest that the systemic arterial supply may be recruited or develop as a result of lung infection (3,13).

ELS are thought to be truly congenital and are frequently discovered during the neonatal period associated with other congenital anomalies. In contrast to ELS, ILS may be detected at any age and is generally asymptomatic until infective complications occur (1,2,12,13). In our cases all the patients except one were detected in adult period and had the diagnosis of ILS.

A definitive diagnosis and safe operative dissection depends on delineation of the systemic arterial blood supply (2,3,4). Ultrasonography is useful in prenatal diagnosis of pulmonary sequestration and its complications. Demonstration of a systemic arterial supply and venous drainage by ultrasonography establishes the diagnosis (6). Sonographic demonstration of a vascular supply is difficult; therefore the failure to depict the supply does not exclude the diagnosis. Several cases of MRI diagnosis of PS have been reported both in utero and infants (6,7,8). MRA is an other method for demonstrating the abnormal blood supply but because of motion artifacts optimal images can not always be obtained.

CT is the best method to demonstrate the parenchymal abnormalities associated with PS. A distinct mass in the lower lobe, with or without cystic changes and bronchiectasis is mostly seen abnormalities on CT. It is reported that spiral CT demonstrates two thirds of the arterial supplies, and most venous drainages cannot be shown (8,9). Whereas, MDCT is capable to simultaneously demonstrate the arterial supply, venous drainage and parenchymal changes in a single examination (10,11). We were able to demonstrate arterial supply and venous drainage in all thesix patients who underwent MDCT. Therefore we think that MDCT may be used for the noninvasive diagnosis technique of PS.

Yu H, et al. were clearly demonstrated anomalous systemic arterial (ASA) supply by using MDCT. Their all cases had isolated and tortuous arterial anatomy from the descending thoracic aorta to the basal segment of the left lower lobe (14). Our cases feeding artery were thoracic aorta, arcus aorta and Celiac axis.

Surgery is the first treatment option and is required in selected cases, such as intractable infection, hemoptysis, congestive heart failure, or hypertension due to excessive shunting (2,15,16). But when the patient cannot undergo surgery than interventional techniques can be alternative treatment methods (17). Surgery was performed in four of our patient. One patient underwent endovascular treatment due to inadequate pulmonary function tests and massive hemoptysis. Three patients were asemptomatic and are on follow-up.

In conclusion we think that MDCT is a powerful noninvasive technique for the detection of PS. Although surgery is the gold standard, endovascular treatment may be effective in selected cases. Follow-up seems to be a good choice for late presenting asymptomatic PS patients.

CONFLICT of INTEREST

None declared.

REFERENCES

  1. Clements BS, Warner JD. Pulmonary sequestrations and related bronchopulmonary-vascular malformations: nomenclature and classification bases on anatomical and embryological considerations. Thorax 1987; 42: 401-8.
  2. [?zet] [PDF]
  3. Savic B, Birtel FJ, Tholen W, Funke HD, Knoche R. Lung sequestration: report of seven cases and review of 540 published cases. Thorax 1979; 34: 96-101.
  4. [PDF]
  5. Corbett HJ, Humphrey GM. Pulmonary sequestration. Paediatr Respir Rev 2004; 5: 59-68.
  6. [?zet]
  7. Felker R, Tonkin ILD. Imaging of pulmonary sequestration. Am J Roentgenol 1990; 154: 241-9.
  8. [PDF]
  9. Turk LN III, Lindskog GE. The importance of angiographic diagnosis in intralobar pulmonary sequestration. J Thorac Cardiovasc Surg 1961; 41: 299-305.
  10. Dhingsa R, Coakley FV, Albanese CT. Prenatal sonography and MR imaging of pulmonary sequestration. Am J Roentgenol 2003; 180: 433-7.
  11. [?zet] [PDF]
  12. Kouchi K, Yoshida H, Matsunaga T, Ohtsuka Y, Kuroda H, Hishiki T, et al. Intralobar bronchopulmon ary sequestration evaluated by contrast-enhanced three-dimensional MR angiography. Pediatr Radiol 2000; 30: 774-5.
  13. [?zet]
  14. M?ller NL. Computed tomography and magnetic resonance imaging: past, present and future. Eur Respir J 2002; 35(Suppl): 3-12.
  15. [?zet] [Tam Metin] [PDF]
  16. Amitai M, Konen E, Rozenman J, Gerniak A. Preoperative evaluation of pulmonary sequestration by helical CT angiography. Am J Roentgenol 1996; 167: 1069-70.
  17. Kang M, Khandelwal N, Ojili V, Rao KL, Rana SS. Multidetector CT angiography in pulmonary sequestration. J Comput Assist Tomogr 2006; 30: 926-32.
  18. [?zet]
  19. Lee EY, Siegel MJ, Sierra LM, Foglia RP. Evaluation of angioarchitecture of pulmonary sequestration in pediatric patients using 3D MDCT angiography. Am J Roentgenol 2004; 183: 183-8.
  20. [?zet] [Tam Metin] [PDF]
  21. Pryce DM. Lower accessory pulmonary artery with intralobar sequestration of the lung: a report of seven cases. J Pathol Bacteriol 1946; 58: 457-67.
  22. Laberge JM, Puligandla P, Flageole H. Asymptomatic congenital lung malformations. Semin Pediatr Surg 2005; 14: 16-33.
  23. [?zet]
  24. Yu H, Li HM, Liu SY, Xiao XS. Diagnosis of arterial sequestration using multidetector CT angiography. Eur J Radiol 2009.
  25. Halkic N, Cu?noud PF, Corth?sy ME, Ksontini R, Boumghar M. Pulmonary sequestration: a review of 26 cases. Eur J Cardiothorac Surg 1998; 14: 127-33.
  26. [?zet] [Tam Metin] [PDF]
  27. Gozubuyuk A, Kavakli K, Gurkuk S, Genc O. Intralobar sequestration with pulmonary vascular anomally and pulmonary hypertension. Toraks 2010; 11: 124-6.
  28. [?zet] [Tam Metin] [PDF]
  29. Mu?oz JJ, Garc?a JA, Bentabol M, Pad?n MI, Serrano F. Endovascular treatment of hemoptysis by abnormal systemic pulmonary artery supply. Cardiovasc Intervent Radiol 2008; 31: 427-30.
  30. [?zet] [PDF]

Yaz??ma Adresi (Address for Correspondence):

Dr. Hakan B?Y?KO?LAN,

Erciyes ?niversitesi T?p Fak?ltesi,

G???s Hastal?klar? Anabilim Dal?,

38200 KAYSER? - TURKEY

e-mail: hakanb@erciyes.edu.tr

Yazd?r