Yazd?r

Plevral ef?zyon tan?s?nda semirijid torakoskopi: T?rkiye'de ilk d?rt olgu

Ahmet Levent KARASULU, Levent DALAR, Sedat ALTIN, Nur Dilek BAKAN, Sinem Nedime S?K?C?


SB Yedikule G???s Hastal?klar? ve G???s Cerrahisi E?itim ve Ara?t?rma Hastanesi, Giri?imsel Pulmonoloji ?nitesi, ?stanbul.

?ZET

Plevral ef?zyon tan?s?nda semirijid torakoskopi: T?rkiye'de ilk d?rt olgu

Medikal torakoskopi plevra hastal?klar?n?n ara?t?r?lmas? ve y?netiminde de?erli bir ara?t?r. Geleneksel k?r plevra biyopsisi ve video yard?ml? torakoskopik cerrahi kar??s?nda ?nemli kullan?m kolayl??? ve avantajlar? vard?r. Buna ra?men, T?rkiye'de belirli merkezlerin d???nda bu tekni?in kullan?m? k?s?tl?d?r. Bu yaz?da ?lkemizde uygulanan ilk semirijid torakoskop ile ilgili deneyimler aktar?lmaktad?r. Yeni cihaz ile Eyl?l 2009 tarihinde d?rt olguya medikal torakoskopi yap?lm??t?r. T?m hastalar, plevra aspirasyonu ve kapal? plevra biyopsisi sonu? vermedi?i i?in nedeni bilinmeyen tek tarafl? plevra ef?zyonu tan?s?yla y?nlendirilmi?tir. Cihaz?n kullan?m? kolayd? ve m?kemmel g?r?nt?ler elde edilmi?tir. D?rt olgudan da histolojik olarak yeterli biyopsi ?rnekleri al?nm??t?r. Klinik ?zellikler, bilgisayarl? tomografi bulgular? ve torakoskopik biyopsi birarada hastalar?n ???nde kesin tan?y? sa?lam??t?r. Fiberoptik bronkoskop ile benzer tasar?m? vard?r ve g???s hastal?klar? uzmanlar? kolayl?kla kullanabilirler. Ayn? zamanda, pek ?ok endoskopi birimindeki g?ncel video i?lemcileri ve ???k kaynaklar? ile uyumludur. Sonu? olarak; kolay kullan?m? ve mevcut endoskopi sistemlerine uyumlu olmas? aletin ?nemini art?rmakla birlikte, rijid torakoskopa g?re al?nan biyopsi par?alar?n?n boyutunun k???kl??? tan?ya ula?mada g??l?k yaratabilir ve olas? komplikasyonlarla ba? etmede rijid torakoskopiye k?yasla k?s?tl? imkanlar sunmas? aletin temel dezavantaj? olabilir.

Anahtar Kelimeler: Plevra, torakoskop, semirijid torakoskop, pl?roskopi.

SUMMARY

Semirigid thoracoscopy in the diagnosis of pleural effusion: first four cases in Turkey

Ahmet Levent KARASULU, Levent DALAR, Sedat ALTIN, Nur Dilek BAKAN, Sinem Nedime S?K?C?


Internation Pulmonology Unit, Yedikule Chest Diseases and Chest Surgery Training and Research Hospital, Istanbul, Turkey.

Medical thoracoscopy is a valuable tool in the management and investigation of pleural diseases. It has advantages when compared to conventional closed pleural biopsy and video-assisted thoracoscopic surgery. However, the use of this technique is limited in Turkey. The present report is about the first experience with semi-rigid thoracoscope that was implemented in our country. Four patients underwent medical thoracoscopy in September 2009 with the new device. All patients were referred due to non-diagnostic closed pleural biopsy. The use of the device was simple and fabulous views were obtained. All biopsy specimens of the 4 patients were histologically adequate. Definite diagnosis was enabled in 3 of the 4 patients when clinical features and CT findings combined with thoracoscopic specimens. The design is similar to the fiberoptic bronchoscope, respiratory physicians can easily adapt to its use. It is also compatible with most video operating systems and light sources used in endoscopy suites. The convenient use and compatibility with most endoscopic systems are raising the importance of the device. However, biopsy size from semirigid thoracoscope might cause diagnostic difficulty when compared to rigid thoracoscope.

Key Words: Pleura, thoracoscopy, semirigid thoracoscopy, pleuroscopy.

 

Plevral hastal?klar?n kesin tan?s?n? elde etmek g?n?m?zde hala baz? zorluklar i?ermektedir. Torasentez ve/veya kapal? plevra biyopsisi uygulanmas?na kar??n %25-40 hastada kesin tan? elde edilememektedir (1). Medikal torakoskopi bu hastalarda kesin tan?y? elde etmek a??s?ndan belirgin kolayl?k sa?lamaktad?r. Pl?roskopi ad?yla da bilinen medikal torakoskopi bilin?li sedasyon alt?nda spontan solunumu s?rd?ren ent?be edilmemi? hastada s?kl?kla plevral bo?lu?u de?erlendirmek i?in kullan?l?r (1,2,3).

Torakoskopi ile plevral bo?lu?un g?rsel muayenesi, plevral s?v?n?n drenaj?, yeterli ve g?rerek plevral biyopsi al?nmas? ve e?er gerekiyorsa pl?rodezis uygulanmas? m?mk?n olur. Bu i?lem s?kl?kla e?itim alm?? g???s hastal?klar? uzman? taraf?ndan uygulan?r. Video yard?ml? torakoskopik cerrahi (VATS) ise g???s cerrah? taraf?ndan ameliyathane ko?ullar?nda ve ent?be hastada uygulan?r. Deneyimli ellerde medikal torakoskopi ?ok iyi tolere edilir ve genel anestezi ya da ent?basyon gerektirmez. Bu nedenle konvansiyonel cerrahi torakoskopiye k?yasla belirgin maliyet etkin bir uygulamad?r (1,2,3).

Semirijid torakoskop (LTF-160, Olympus Medical Systems, Tokyo, Japonya) g?nl?k pratikte s?k?a kullan?lan fiberoptik bronkoskoplara (FOB) benzeyen yeni bir endoskopi cihaz?d?r (4). Yak?n ge?mi?e kadar medikal torakoskopi ?zel rijid aletler, buna uygun kamera, ???k kayna?? ve i?lemcileriyle uygulanmaktayd?. Semirijid torakoskop ise hemen t?m bronkoskopi ?nitelerinde bulunan ???k kaynaklar? ve i?lemcileriyle uyumlu oldu?undan torakoskopi uygulamalar?n?n yayg?nla?mas? ve kullan?l?rl???n? art?rmas? a??s?ndan bir olanak sa?lamaktad?r.

OLGU SUNUMLARI

Eyl?l 2009 tarihinde klini?imizde pl?rezi ?n tan?s?yla interne edilerek semirijid torakoskopi uygulanan ilk d?rt olgu de?erlendirmeye al?nd?. Olgular?n ya?lar? 43-75 y?l aras?nda, bir olgu kad?n di?er ?? olgu erkekti. ?zet bulgular Tablo 1'de sunulmu?tur.


Tablo 1

Semirijid Torakoskopi

??lem ?ncesi haz?rl?k: T?m olgular?n posteroanterior (PA) akci?er grafileri, toraks bilgisayarl? tomografileri, tam kan say?mlar?, temel biyokimyasal parametreleri, koag?lasyon parametreleri, atrer kan gaz? analizi, solunum fonksiyon testleri ve elektrokardiyografileri yap?larak de?erlendirildi.

??lem: T?m olgulara i?lemden iki saat ?nce artifisyel pn?motoraks uygulanarak kontrol grafileri ?ekildi. ??lem ba?lamadan 45 dakika ?nce a?r? kontrol? ve sedasyon amac?yla 10 mg morfin ve olas? vazovagal reaksiyonu engellemek amac?yla 0.5 mg atropin intramusk?ler olarak uyguland?. ??lem s?ras?nda sedasyon i?in gerekti?inde toplam doz 8 mg'? ge?meyecek ?ekilde ve ?? kez midazolam kullan?ld?. ??lem s?resince kardiyak monit?rizasyon, pulse oksimetre ile sat?rasyon ve arter kan bas?nc? takibi uyguland?. ??lem i?in midaksiller hatta be?inci ya da alt?nc? interkostal aral?ktan yap?lan 1.5 cm'lik insizyonu takiben 10 mm'lik trokar yerle?tirildi. Semirijid torakoskop (LTF-160, Olympus Medical Systems, Tokyo, Japonya) kullan?larak plevral bo?luk g?r?nt?lendi. Plevral yap???kl?klar?n ekartasyonu i?in torakoskopun ucu ya da koter b??ak kullan?larak g?venli g?r?? sa?land?. Torakoskopun ?al??ma kanal?ndan ge?irilen fleksibl forseps kullan?larak biyopsi ?rnekleri al?nd?.

??lem sonras?: T?m olgulara usul?ne uygun olarak 24 F t?p torakostomi dreni yerle?tirildi ve bir saat sonra kontrol akci?er grafileri ?ekildi. Akci?erin ekspanse oldu?u g?r?ld???nde ya da hava ka?a?? kesildi?inde t?p torakostomi sonland?r?ld?. T?p ?ekildikten yedi g?n sonra kontrol muayenesi yap?larak diki?ler al?nd?.

Olgu 1

Yetmi? be? ya??nda kad?n hasta klini?imize nefes darl??? ve ?ks?r?k yak?nmas?yla ba?vurdu.

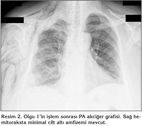
Bilinen hipertansiyon d???nda rahats?zl??? olmayan hastan?n bir ay ?nce ba?layan ?ks?r?k ve nefes darl???, sa? yan a?r?s? ?ikayetleri mevcutmu?. Sa? plevral ef?zyonu saptanan hastaya uygulanan torasentez sonras? eks?da vasf?nda plevral mayii elde edilmi?. Sistemik muayenesinde sa? akci?er alan?nda solunum seslerinin al?namamas? ve ayn? alanda perk?syonla matite al?nmas? d???nda bulgu saptanmad?. Vital bulgular? normal s?n?rlar i?indeydi. Toraks bilgisayarl? tomografi (BT) incelemesinde mediastinal yap?lar k?smen sola deviye, sa? ?st ve alt paratrakeal lokalizasyonlarda en b?y??? 23 mm ?ap?nda multip lenfadenomegaliler izlenmekteydi. Sol alt paratrakeal ve subkarinal lokalizasyonlarda da ?ap? 1 cm civar?nda lenfadenomegaliler mevcuttu. Sa? hemitoraksta masif plevral ef?zyon izlenmekteydi ve sa? akci?er tamamen atelektazikti. Resim 1 ve 2'de olgunun s?ras?yla i?lem ?ncesi ve sonras? PA akci?er grafileri g?r?lmektedir.


Resim 1


Resim 2

Hastan?n plevra s?v?s? eks?da karakterinde ve lenfosit hakimiyetinde saptand?. Terap?tik torasentez yap?ld?. Hastaya tan?sal ama?l? semirijid torakoskopi yap?ld?. Pariyetal plevra ?zerindeki nod?llerden yeterli say?da biyopsi ?rnekleri al?nd?. Hastada i?lem sonras? hafif cilt alt? amfizemi d???nda herhangi bir komplikasyon g?zlenmedi. Ertesi g?n t?p torakostomisi sonland?r?ld?. Al?nan biyopsi sonucu imm?nhistokimyasal ?al??mada t?m?r h?creleri TTF-1 (pozitif), CEA (pozitif), Ber Ep 4 (negatif), Sitokeratin 7 (pozitif), Sitokeratin 20 (negatif), Mezotelin (pozitif), Kalretinin (negatif) imm?nreaktivite g?sterdi ve akci?er k?kenli adenokarsinom ile uyumlu olarak saptand?.

Olgu 2

Nefes darl???, kilo kayb? ve gece terlemesi yak?nmalar?yla ba?vuran 51 ya??ndaki erkek hastan?n bilinen benign prostat hipertrofisi d???nda herhangi bir hastal??? yokmu?. Yakla??k 10-15 g?n ?nce ?ikayetleri ba?layan hastan?n ?ekilen akci?er grafisinde solda plevral ef?zyon saptanmas? ?zerine torasentez uygulanm??; eks?da vasf?nda mayi elde edilmesi ?zerine ileri tetkik ve tedavi amac?yla interne edildi. Toraks BT'de sol hemitoraksta multipl lok?lasyonlar g?steren ve bazal kesime do?ru miktar? artan plevral ef?zyon izlendi. Sol maj?r fiss?r i?erisinde de s?v? mevcuttu. Sol akci?er alt lobda s?v?ya uzanan parankimal ?ekintiler g?ze ?arpmaktayd?. Sol akci?er ?st lob anterior ve apikoposterior segmentlerde de parankimal bantlar ve seyrek septal belirginle?meler g?r?lmekteydi. Sol akci?er vol?m? azalm??t?. Plevral s?v?n?n yan? s?ra sol hemitoraks ?st kesimlerde plevral kal?nla?ma izlenmekteydi ve kal?nla?ma yer yer hafif d?zensizlikler g?stermekteydi. Sa? hemitoraks alt zonda minimal plevral kal?nla?ma mevcuttu. Sa? akci?er parankiminde aktif infiltratif lezyon ve yer kaplayan olu?um saptanmad?. Bu bulgular ?????nda olguya semirijid torakoskopi uyguland?. Daha ?nce tan?mlanan teknikle plevral bo?lu?a girildi ve bridler temizlenerek pariyetal plevra tam olarak vizualize edildi. K?smen d?zensizlik g?steren alanlardan ?ok say?da biyopsiler al?nd? (Resim 3). Komplikasyonsuz olarak i?lem sonland?r?ld?. Ertesi g?n t?p torakostomi sonland?r?ld?. Biyopsi sonucu kronik nonspesifik pl?rit ve mezotelyal proliferasyon olarak raporland?. Bu sonu? ?zerine olas? mezotelyoma ku?kusunu ekarte etmek amac?yla olguya PET-BT (pozitron emisyon tomografi-bilgisayarl? tomografi) uyguland? ve FDG afinitesi ya da malignite lehine ??pheli g?r?n?m g?r?lmedi. Poliklinik kontrol?ne ?a?r?larak taburcu edildi.


Resim 3

Olgu 3

Nefes darl??? yak?nmas?yla ba?vuran 43 ya??ndaki erkek hastaya be? ay ?nce plevral ef?zyon nedeniyle tetkik edilerek akci?er karsinomu tan?s? konulup, onkolojiye y?nlendirilmi?. Toplam ?? k?r kemoterapi alan hastan?n son 15 g?nd?r nefes darl??? yak?nmas?n?n artmas? ?zerine acile ba?vuran hastaya bir?ok kez torasentez uygulanm??. Semirijid torakoskopi e?li?inde pl?rodezis uygulanmas? amac?yla interne edildi. Olguya di?er olgularla ayn? teknik kullan?larak semirijid torakoskopi uyguland?. Yayg?n fibrin bantlarla t?m akci?erin ?epe?evre kapland??? g?r?ld? (Resim 4). Koter b??ak kullan?larak plevral yap???kl?klar temizlendi, pariyetal nod?llerden biyopsiler al?narak i?lem sonland?r?ld?. Ertesi g?n ?ekilen akci?er grafisinde akci?erin ekspanse olmamas? ?zerine olas? endobron?iyal obstr?ksiyonu ekarte etmek amac?yla bronkoskopi uyguland? ve t?m bron? sistemi a??k olarak g?r?ld?. T?m bu veriler ?????nda "trapped lung" olarak de?erlendirilerek t?p torakostomisi sonland?r?ld?. Al?nan biyopsi sonucu kan ve fibrin k?meleri i?inde atipik h?creler olarak yorumland?. ?mm?nhistokimyasal boyama sonucunda atipik h?creler CEA (pozitif), TTF-1 (negatif), Kalretinin (negatif), Mezotelin (negatif), Ber Ep 4 (negatif), Mezotelin (negatif) reaksiyon verdi, ancak bu bulgular atipik h?cre nat?r? ile ilgili yorum yapmak i?in yeterli olmad?. Hasta onkolojiye y?nlendirilerek taburcu edildi.


Resim 4

Olgu 4

Nefes darl???, yan a?r?s?, balgam ??karma, kanl? t?k?r?k ve ses k?s?kl??? yak?nmas?yla ba?vuran 63 ya??ndaki erkek hastan?n bir ay ?ncesine kadar bilinen bir hastal??? yokken, ?? ayd?r hafif sol yan a?r?s?, bir ay ?nce ses k?s?kl??? ve ard?ndan nefes darl??? yak?nmas? ba?lam??. Bir ka? kez kanl? balgam ??karan hastaya semirijid torakoskopi uyguland? (Resim 5). Uzun s?ren hava ka?a?? izlenmesi ?zerine t?p torakostomi ???nc? g?n?nde sonland?r?ld?. Biyopsi sonucu imm?nhistokimyasal ?al??mada TTF-1 (pozitif), Sitokeratin 7 (pozitif), Sitokeratin 5/6 (negatif), Kalretinin (negatif), Mezotelin (negatif), CEA (pozitif), Ber Ep 4 (pozitif) bulunarak primer akci?er adenokarsinom metastaz? tan?s? konuldu. Hasta analjezik tedavisi d?zenlenerek onkolojiye sevken taburcu edildi.


Resim 5

TARTI?MA

Medikal torakoskopi (di?er bir tan?mlamayla pl?roskopi) temel olarak plevral ef?zyonlar?n tan?s?nda ve persistan plevral s?v?lar?n ya da pn?motoraks?n olu?umunu engellemek amac?yla talk pl?rodezis uygulamalar?nda, g???s hastal?klar? uzmanlar? taraf?ndan lokal anestezi ve bilin?li sedasyon alt?nda endoskopi ?nitesinde uygulanabilen bir giri?imdir (1,2,3,4,5,6,7,8). Temel torakoskopi uygulamalar? i?in trokar ve obt?rat?r?, bir optik teleskop ve biyopsi forsepsi gereklidir ve bu ekipman rijid torakoskop ad?n? al?r (3). Ancak ?o?u g???s hastal?klar? uzman? i?in bu ekipman al???lm?? gelmedi?inden t?pk? rijid bronkoskopi gibi rijid torakoskopi de ?ok s?n?rl? uygulanmaktad?r. ?lkemizde de torakoskopi uygulanan az say?daki merkez standart ekipman? ba?ar?yla kullanmaktad?r. Ancak rijid torakoskopun ?zel rijid ekipman ve ???k kayna?? ile kamera gereksinmesi bu ekipman?n pahal?l??? yan?nda e?itimli olman?n da gerekli olmas? kullan?m?n? k?s?tlamaktad?r (4).

Semirijid torakoskop s?k?a kullan?lan bronkoskoplara benzer olarak tasarlanm?? yeni bir cihazd?r. Bu cihaz FOB i?in rutin olarak kullan?lan i?lemci ve ???k kaynaklar?yla uyumludur. Kullan?m? ve aletin y?netimi standart FOB'da oldu?u gibidir. Aletin d?? ?ap? 7 mm ve boyu 27 cm'dir; 5 cm'lik distal ucu hareketlidir. Hareketli u? tek planda 100 ve 130 derecelik a??ya sahiptir. ?al??ma kanal? ?ap? 2.8 mm'dir ve fleksibl biyopsi forsepsi ve di?er gere?lerin kullan?m?na olanak tan?r. Alet standart video i?lemciler ve ???k kayna?? ile kullan?larak g?r?nt? monit?re aktar?labilir (4,9).

Medikal torakoskopi uygulamalar?n?n temel endikasyonu nedeni bilinmeyen plevral ef?zyonlarda tan? elde etmektir. G?n?m?zde ge?erli olan bir?ok rehber nedeni bilinmeyen plevral s?v?lara yakla??mda torasentez ve e?lik eden kapal? plevra biyopsisini ?nerir (3). Kapal? plevra biyopsisinde tan? ba?ar?s? pariyetal plevra tutulumunun ne derece yayg?n oldu?u ile ilgilidir. Bu nedenle plevral t?berk?loz olgular?nda kapal? plevra biyopsisinin ba?ar?s? malignite olgular?ndan daha y?ksektir. E?er pariyetal plevra tutulumu s?n?rl? ya da plevral lezyonlar sert yap?da ise kapal? plevra biyopsisi ile tan?ya ula?mak m?mk?n olmaz (3,7). Kimi durumlarda da mezotelyoma veya lenfoma olgular?nda oldu?u gibi, tan? elde edebilmek i?in geni? histolojik ?rnekler gerekir. Kapal? plevra biyopsisinin bu k?s?tl?l?klar?n? a?mak i?in medikal torakoskopi en do?ru se?enektir. Boutin ve arkada?lar?n?n 150 olguluk prospektif ?al??mas?nda Abrams i?nesi ile yap?lan kapal? plevra biyopsisinin pozitif tan? de?eri %36 iken, torakoskopi uygulanan olgularda tan?ya %87 oran?nda ula??lm??t?r (10). Panadero ve arkada?lar?n?n 556 olguluk serisinde biyopsi ile tan? elde etme oran? %95'tir (3). Tan? oran?n? art?rman?n yan? s?ra medikal torakoskopik i?lem persistan s?v?lar?n kontrol? i?in talk pl?rodezis uygulamas?na da olanak tan?r.

Rijit torakoskopinin temel komplikasyonlar? cilt alt? amfizemi ve ampiyemdir ve s?ras?yla %0.6-1.3 ve %2-2.7 oran?nda g?r?l?r (3,4,5,6,7,8,9).

Semirijid torakoskop rijid torakoskopi ile k?yasland???nda kimi avantaj ve dezavantajlara sahiptir. ?ncelikle g???s hastal?klar? uzmanlar? i?in tan?d?k yap?s? ve manevra kolayl??? bir avantaj olabilir. Bunun yan? s?ra plevral bo?lu?a ula?mak i?in kullan?lan trokar ?ap? rijid torakoskopun gereksindi?inden daha k???kt?r ve bu a?r? komplikasyonunu ya da cilt alt? amfizemi olas?l???n? azalt?r. FOB ?niteleri ile benzer i?lemci ve ???k kaynaklar? kullan?ld???ndan dar bant g?r?nt?leme (Narrow band imaging- NBI) ya da otofloresan uygulamalar? gibi ileri tekniklerin kullan?m?na olanak tan?r. Ancak kullan?lan biyopsi forsepsi nedeniyle al?nan par?alar k???kt?r ve yeterli say?da par?a almak i?in kullan?lacak s?re rijit torakoskopi ile k?yasland???nda i?lem s?resini uzat?r. Rijit torakoskopun sa?lad??? g?r?nt? geni?li?i ve aletin sert yap?s? nedeniyle ?zellikle kostal y?zlerden par?a almak daha kolayd?r. Semirijid torakoskop u? k?sm?n?n fleksibl yap?s? nedeniyle kostal y?zlerden biyopsi almak g?? olabilir. Ancak semirijid torakoskop ile diyafragmatik y?zeyin ya da plevral bo?lu?a girmek i?in trokar yerle?tirilen b?lgenin g?r?nt?lenmesi m?mk?nd?r (4,9).

Bizim d?rt olguluk serimizde semirijid torakoskop kullan?larak ?? olguda tan?ya ula??lm??t?r. Bir olguda biyopsi sonucu nonspesifik pl?rit olarak gelmi? ve ef?zyon tekrarlamad???ndan olgu takibe al?nm??t?r. Bizim d?rt olguluk serimizde iki olguda min?r komplikasyon olu?tu. ?lk olguda kontrols?z ?ks?r???n yol a?t??? cilt alt? amfizem spontan regrese oldu ve akci?er ekspanse olarak hava ka?a?? durdu?undan toraks t?p? ola?an s?resi olan 24 saat i?inde sonland?r?ld?. Di?er komplikasyon uzam?? hava ka?a?? idi. Toraks t?p? ???nc? g?n?n sonunda sonland?r?ld? ve akci?erin tam olarak ekspanse oldu?u g?r?ld?. Di?er iki olguda herhangi bir komplikasyon ile kar??la??lmad?.

Biz yazarlar olarak semirijid torakoskopun kolay kullan?m? nedeniyle g???s hastal?klar? uzmanlar?n?n eri?imine daha a??k oldu?unu d???n?yoruz. Ancak yukar?da s?ralad???m?z k?s?tl?l?klar?n?n g?z ?n?nde bulundurulmas? b?y?k ?nem arz ediyor. Komplikasyonlar? ile ba? edebilecek e?itimde olman?n bir i?lemi uygulaman?n temel ko?ulu oldu?unu d???n?yoruz. Al?nan biyopsi par?alar?n?n k???kl??? nedeniyle tan? oran?n?n d??ebilecek olmas? da di?er bir s?n?rlay?c? durum olabilir. Ancak Munavvar ve arkada?lar?n?n 56 olguluk serisinde %90.7 tan?ya ula??lm??t?r (11). Bizim d?rt olguluk serimizde tan? oran?m?z %75'tir. Semirijid torakoskop plevral ef?zyonlar?n ara?t?r?lmas?nda kullan??l? bir se?enek olarak durmaktad?r. Konvansiyonel bronkoskoplara benzer yap?s? ve sisteme uyumlulu?u kullan?m?n? kolayla?t?rabilir. Ancak rijid torakoskopun sa?lad??? imkanlar ve medikal torakoskopinin temel yap?s?n? olu?turdu?u unutulmamal?d?r.

Sonu? olarak; medikal torakoskopi (pl?roskopi) plevra hastal?klar?n?n ara?t?r?lmas? ve y?netiminde de?erli bir y?ntemdir. Geleneksel k?r plevra biyopsisi ve VATS kar??s?nda ?nemli avantajlar? vard?r. Buna ra?men, ?lkemizde bu tekni?in kullan?m? s?n?rl? merkezin d???nda k?s?tl?d?r. Bu merkezler de rijid torakoskopiyi kullanmaktad?r. Semirijid torakoskop bir s?redir d?nyada kullan?mda olmas?na kar??l?k ?lkemizde ?imdiye kadar kullan?lmam??t?r. ?lkemizde semirijid torakoskopi uygulanan bu ilk d?rt olgu cihaz?n olas? k?s?tl?l?klar? ve avantajlar?n? g?stermesi a??s?ndan sunulmaya de?er bulunmu?tur.

?IKAR ?ATI?MASI

Bildirilmemi?tir.

KAYNAKLAR

  1. Loddenkemper R. Thoracoscopy: state of the art. Eur Respir J 1998; 11: 213-21. [?zet] [PDF]
  2. Rodriguez-Panadero F. Medical thoracoscopy. Respiration 2008; 76: 363-72. [?zet]
  3. Metintas M. Pleuroscopy. Turk Klin J Int Med Sci 2006; 2: 35-41.
  4. Herth FJF. Semirigid pleuroscopy. TTD Plevra B?lteni 2008; 2: 67-9.
  5. Menzies R, Charbonneau M. Thoracoscopy for the diagnosis of pleural disease. Ann Intern Med 1991; 114: 271-6. [?zet]
  6. Artvinli M. Classical (medical) thoracoscopy. Hacettepe T?p Dergisi 2002; 33: 73-7. [PDF]
  7. Rodriguez-Panadero F, Janssen JP, Astoul P. Thoracoscopy: general overview and place in the diagnosis and management of pleural effusion. Eur Respir J 2006; 28: 409-21. [Tam Metin] [PDF]
  8. Rodriguez-panadero F. Rigid thoracoscopy. TTD Plevra B?lteni 2008; 2: 63-6.
  9. Ernst A, Hersh CP, Herth F, Thurer R, LoCicero J 3 rd, Beamis J, et al. Novel instrument for the evaluation of the pleural space: an experience in 34 patients. Chest 2002; 122: 1530-4. [?zet] [Tam Metin] [PDF]
  10. Boutin C, Viallat JR, Cargnino P, Farisse P. Thoracoscopy in malignant pleural effusion. Am Rev Respir Dis 1981; 124: 588-92. [?zet]
  11. Munavvar M, Khan MA, Edwards J, Waqaruddin Z, Mills J. The autoclavable semirigid thoracoscope: the way forward in pleural disease? Eur Respir J 2007; 29: 571-4. [?zet] [Tam Metin] [PDF]

Yaz??ma Adresi (Address for Correspondence):

Dr. Levent DALAR,

SB Yedikule G???s Hastal?klar? ve

G???s Cerrahisi E?itim ve Ara?t?rma Hastanesi,

Uyku Laboratuvar?,

Zeytinburnu 34000, ?STANBUL - TURKEY

e-mail: leventdalar@gmail.com

Yazd?r