Yazd?r

Pulmoner aspergillomada alt? y?ll?k 26 olguluk cerrahi tedavi sonu?lar?:
Tek cerrahi servisinin deneyimi

Necati ??TAK1, Adnan SAYAR1, Muzaffer MET?N1, Atilla PEK?OLAKLAR1, Abdulaziz K?K1,
Neslihan AKANIL FENER2, Alper ?EL?KTEN1, Atilla G?RSES1


1 SB Yedikule G???s Hastal?klar? ve G???s Cerrahisi E?itim ve Ara?t?rma Hastanesi, 1. G???s Cerrahi Klini?i,

?stanbul,

2 SB Yedikule G???s Hastal?klar? ve G???s Cerrahisi E?itim ve Ara?t?rma Hastanesi, Patoloji B?l?m?, ?stanbul.

?ZET

Pulmoner aspergillomada alt? y?ll?k 26 olguluk cerrahi tedavi sonu?lar?: Tek cerrahi servisinin deneyimi

Pulmoner aspergilloman?n cerrahi tedavisi risk a??s?ndan nam salm??t?r. Cerrahi olarak tedavi etti?imiz pulmoner aspergillomal? olgular?m?z?n sonu?lar?n? inceledik. 2003-2009 y?llar? aras?nda klini?imizde cerrahi olarak tedavi uygulad???m?z 26 pulmoner aspergillomal? olguyu ve operasyon sonu?lar?n? retrospektif olarak inceledik. Yirmi biri erkek, be?i kad?n olan olgular?n ya? ortalamalar? 44 ? 11.6 (da??l?m: 28-70) y?l idi. Olgular grup A (basit aspergilloma; n= 8), grup B (kompleks aspergilloma; n= 18) olarak iki gruba ayr?ld?. En s?k altta yatan hastal?k %61.5 ile t?berk?lozdu. Operasyon i?in belirlenen en s?k endikasyon alt?s? masif veya tekrarlayan ataklar ?eklinde olan 15 (%57.6) olguyla hemoptiziydi. Di?er olgular hafif semptomlar? bulunan veya asemptomatik seyreden olgulard?. On be? (%57.6) olguya lobektomi, 8 (%30.6) olguya wedge rezeksiyon veya segmentektomi, 2 (%7.6) olguya pn?monektomi, 1 (%3.8) olguya kavernoplasti uygulanm??t?. Postoperatif olarak 15 olguda komplikasyon geli?ti. Kompleks aspergillomal? olgular?n %72.2'sinde komplikasyon izlenirken, basit aspergillomal? olgular?n %25'inde g?r?ld? (p= 0.03). En ?ok g?r?len komplikasyonlar uzam?? hava ka?a??, ampiyem ve ekspansiyon kusuruydu. Kompleks aspergilloma i?in lobektomi uygulanan 1 (%3.8) olguda bronkoplevral fist?l geli?ti ve postoperatif? 20. g?nde hasta kaybedildi. Ortalama hastanede yat?? s?resi 12.9 g?nd?. Olgular ortalama 44 ay takip edildi. ?? y?ll?k sa?kal?m basit aspergillomal? olgularda %100 iken, bu oran kompleks aspergillomal? olgularda %90 idi (p> 0.05). Takip s?recinde 2 (%8) olguda hastal???n tekrarlad??? saptand?. Ancak hemoptizi semptomunda n?ks izlenmedi. Lokalize pulmoner hastal??? bulunan olgularda morbidite daha az saptanmaktad?r. Pulmoner fonksiyonlar? yeterli olan, asemptomatik ve semptomatik aspergillomal? olgularda parankim koruyucu cerrahi rezeksiyon; hayat? tehdit edebilecek hemoptizi ataklar?n? ve rek?rrensi en aza indirdi?inden, kabul edilebilir morbidite-mortalite ve iyi sa?kal?m sonu?lar?yla uygulanabilir.

Anahtar Kelimeler: Pulmoner aspergilloma, cerrahi tedavi, hemoptizi, postoperatif komplikasyonlar, mortalite.

SUMMARY

Results of surgical treatment for pulmonary aspergilloma with 26 cases in six years: a single center experience

Necati ??TAK1, Adnan SAYAR1, Muzaffer MET?N1, Atilla PEK?OLAKLAR1, Abdulaziz K?K1,
Neslihan AKANIL FENER2, Alper ?EL?KTEN1, Atilla G?RSES1


1 Clinic of 1st Chest Surgery, Yedikule Chest Diseases and Chest Surgery, Training and Research Hospital,

Istanbul, Turkey,

2 Department of Pathology, Yedikule Chest Diseases and Chest Surgery, Training and Research Hospital,

Istanbul, Turkey.

Surgery for pulmonary aspergilloma is reputed to be risky. We analyzed our results of the surgical treatment for pulmonary aspergilloma. Between 2003 and 2009, 26 patients underwent thoracotomy for treatment of pulmonary aspergilloma in our center. Results were evaluated retrospectively. There were 5 female and 21 male patients, with a mean age of 44 ? 11.6 years (28-70). The patients were divided into two groups, group A (simple aspergilloma; n= 8) and group B (complex aspergilloma; n= 18).? Major underlying diseases were tuberculosis (61.5%). The most common indication for operation was hemoptysis (57.6%). Of our patients, 23% were complaining of massive hemoptysis or recurrent hemoptysis. Other patients were complaining of mild symptoms and some of them were totally asymptomatic. We performed 15 (57.6%) lobectomies (3 with associated segmentectomies), 8 (30.6%) segmentectomies/wedge resections, 2 (7.6%) pneumonectomies, and 1 (3.8%) cavernoplasty. Postoperative complications occurred in 15 (57.6%) patients. Complications occurred in 72.2% patients of complex aspergilloma, whereas 25% occurred in simple aspergilloma (p= 0.03). Major complications included prolonged air leak, empyema, air space. One patient who underwent lobectomies for complex aspergilloma developed bronchopleural fistula and died of respiratory failure on the 20th postoperative day. Operative mortality was 3.8%. The average postoperative hospital stay was 12.9 days. The mean follow-up period was average 44 months. The actuarial survival at 3 years was 90% and 100% for complex aspergilloma and simple aspergilloma, respectively (p> 0.05). There was two recurrence of disease (8%). But no recurrence of hemoptysis. Low morbidity rate may have been due to the selection of patients with localized pulmonary disease in this study. Surgical resection of asymptomatic or symptomatic pulmonary aspergilloma is effective in preventing recurrence or massive hemoptysis for patients whose condition is fit for pulmonary resection with reasonable mortality, morbidity and survival rates.

Key Words: Pulmonary aspergilloma, surgical treatment, haemoptysis, postoperative complications, mortality.

?talyan biyolojist Micheli taraf?ndan ilk defa 1729 y?l?nda kataloglanan ve ?zellikle sonbahar ve k?? aylar?nda olmak ?zere t?m d?nyada yayg?n olarak g?r?len bir saprofitik k?f mantar? olan aspergillusun sebep oldu?u pulmoner aspergillozda, bir?ok alt t?r olmas?na ra?men en s?k izole edilen mantar t?r? Aspergillus fumigatus'tur. Aspergillozun ?ok ?e?itli s?n?fland?rmas? bulunmaktad?r.

a. Allerjik aspergilloz [allerjik bronkopulmoner aspergilloz (ABPA), ekstrensek allerjik (bronko) alveolitis (EAA), ast?m (fungus duyarl?l???yla birlikte), allerjik aspergillus sinusitis (eozinofilik fungal rinosin?zit),

b. Kronik aspergilloz [kronik kaviter pulmoner, aspergilloma-mi?etoma (mantar topu), kronik invaziv sin?zit, maksiller (sin?s) aspergilloma],

c. ?nvaziv nekrotizan aspergilloz [akut (< 1 ay), subakut/kronik nekrotizan (1-3 ay)]. Bu klinik durumlar aras?ndaki ge?i?in s?kl?kla ki?inin imm?n durumuyla yak?ndan ilgili oldu?u belirtilmektedir. ?nsanlarda ilk kez Bennett taraf?ndan 1842 y?l?nda hastal??a sebep oldu?u ortaya konmu? ve aspergilloma i?in ilk ba?ar?l? operasyon 1947 y?l?nda Gerstle, Weidman ve Newmann taraf?ndan uygulanm??t?r (1).

Aspergilloman?n tedavisinde cerrahi tedavinin, prognozu etkileme ve ?ikayetleri gidermede ne kadar etkili oldu?u ile y?ksek mortalite ve morbidite oranlar? nedeniyle tedavideki yeri halen tart??mal?d?r (2). Medikal tedavilerin etkisiz kald???, ani ve hayat? tehdit edici d?zeye ula?abilen hemoptizi ata?? olu?abilece?inden asemptomatik olgular dahil t?m aspergillomal? olgulara cerrahi operasyon ?neren yay?nlar mevcutken, sadece tekrarlayan ve masif hemoptizili olgulara operasyon ?neren yay?nlar da mevcuttur (3,4,5,6,7,8). Bu ?al??mam?zda, opere edilen 26 aspergillomal? hastan?n operasyon ?ncesi bulgular?n?, operasyon nedenlerini ve operasyon sonras? k?sa d?nem takiplerinde cerrahi tedavinin etkinli?ini de?erlendirmeyi ama?lad?k.

MATERYAL ve METOD

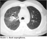
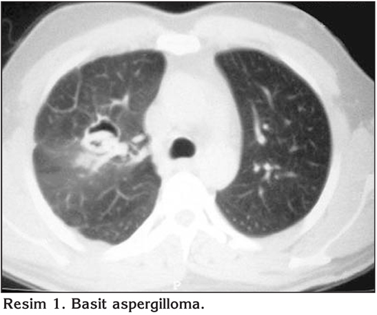
Son alt? y?ll?k (2003-2009) s?rede ya? ortalamas? 44 ? 11.6 (28-70) y?l olan 26 olgu aspergilloma nedeniyle opere edilmi?ti. Olgular?n 21'i erkek, be?i kad?n idi. Klinik sunumlar?, preoperatif semptom ve bulgular?, altta yatan bir akci?er hastal?klar?n?n olup olmad???, uygulanan operasyon tipleri, postoperatif takipte geli?en morbidite ve mortaliteleri, operasyondan itibaren hastanede ka? g?n yatt?klar? ve varsa tekrar yat??lar?, uzun d?nem takipleri kaydedildi. 1960 y?l?nda Belcher ve Plummer taraf?ndan yap?lan radyolojik aspergilloma s?n?fland?rmas?na g?re olgular g?r?nt?leme ve torakotomi bulgular?na g?re basit (ince duvarl? kavitenin etraf?nda pulmoner hadisenin ?ok az olmas? veya olmamas? durumu) ve kompleks (kal?n duvarl? kavitenin etraf?nda b?y?k bir parankimal ve plevral hadisenin var olmas? durumu) olarak s?n?fland?r?ld? (9) (Resim 1, 2). Hemoptizi; ciddi (600 mL veya ?st?) ve basit (200 mL'nin alt?) olarak iki gruba ayr?ld?. Her iki grupta tek atak veya tekrarlayan ataklar ?eklinde alt grupland?rma yap?ld?. Uzam?? hava ka?a??, postoperatif yedi g?nden fazla s?ren hava ka?a?? olarak kabul edildi. Uzam?? hava ka?a?? olan veya ekspansiyon kusuru bulunan veya ampiyem ile tekrar hastaneye ba?vuran hastalara bronkoplevral fist?l?n d??lanmas? amac?yla rutin olarak fiberoptik bronkoskopi uyguland?. Cerrahi mortalite; operasyondan sonraki ilk 30 g?n i?inde olu?an veya hastanede uzun s?reli yat??a sebep olan herhangi bir cerrahi komplikasyona ba?l? olarak olu?an mortalite olarak kabul edildi. Sa?kal?m analizi Kaplan-Meier y?ntemiyle yap?ld?. Kar??la?t?rmalarda ki-kare testi uyguland? ve p< 0.05 anlaml? kabul edildi.


Resim 1

BULGULAR

Altta Yatan Akci?er Hastal???

Olgular?n 5 (%19.2)'inde herhangi bir altta yatan hastal?k yok iken, 16 (%61.5) olguda t?berk?loz hikayesi, 2 (%7.6) olguda? daha ?nceden ge?irilmi? akci?er operasyonu (bir olguda aspergilloma, bir olguda akci?er kist hidati?i nedeniyle), 1 (%3.8) olguda bron?ektazi ve 1 (%3.8) olguda b?ll?z akci?er mevcuttu. Bir (%3.8) olgu l?semi nedeniyle kemoterapi almaktayd? (Tablo 1). Kemoterapi almakta olan olgu dahil hi?bir olgunun imm?n depresyonu bulunmamaktayd?.? Altta yatan hastal??? olmayan olgular?n istatistiksel olarak basit aspergillomal? grupta daha fazla oldu?u saptand? (p= 0.02).


Tablo 1

Semptomlar ve Preoperatif De?erlendirme

En s?k semptom 15 (%57.6) olgu ile hemoptiziydi. Bu olgular?n ??? masif hemoptizi nedeniyle acil torakotomiye al?nan, 12'si basit hemoptizili olgulard?. Basit hemoptizili olgulardan dokuzu en az iki atak ge?irmi?ken, ?? olguda ikiden fazla atak mevcuttu. Yani 6 (%23) olguda tekrarlayan atak veya masif hemoptizi mevcuttu. Sekiz olguda ?ks?r?k, g???s a?r?s?, nefes darl???, ate? ve kilo kayb? gibi semptomlar mevcuttu. Geriye kalan 3 (%11.5) olgu, herhangi bir semptomu olmay?p radyolojik olarak akci?er lezyonu mevcut olan olgulard?. Bu olgular?n ikisi kompleks, biri basit aspergillomal?yd?. Hemoptizili olgular?n be?ine daha ?nceden bron?iyal arter embolizasyonu (BAE) uyguland??? ancak ba?ar?l? olmad??? saptand?. Be? olgudan ikisine BAE i?leminin iki sefer uyguland??? g?r?ld?. Hi?bir olguya preoperatif antifungal terapi uygulanmam??t?. Acil torakotomiye al?nan olgular d???nda t?m olgular?n solunum fonksiyon testleri yapt?r?lm??t?. Yap?lan hesaplamalara g?re hepsinde postoperatif beklenen FEV1 de?eri %45'in ?zerindeydi.

Radyolojik Bulgular ve Tan?

Belcher ve Plummer'?n radyolojik s?n?fland?rmas? g?z ?n?ne al?narak yap?lan s?n?fland?rmada 8 (%30) olgu? basit, 18 (%70) olgu kompleks aspergilloma olarak belirlendi (9) (Tablo 2). On yedi olgunun preoperatif aspergilloma tan?s? radyolojik g?r?n?mlerindeki karakteristik yar?m ay ?eklinde radyol?sens alanla ?evrili mantar topu (Monad's sign) g?z ?n?ne al?narak konmu?tu. Geriye kalan dokuz olgunun tan?s? patoloji piyesiyle konuldu. Bu olgular?n ??? masif hemoptizi nedeniyle opere edilen, ??? semptomu olmay?p eksplorasyon uygulanan, ??? de ba?ka tan?larla (biri haraplanm?? akci?er, biri bron?ektazi, biri de skuam?z h?creli akci?er karsinomu) operasyona al?nan olgulard?.


Tablo 2

Cerrahi Endikasyonlar, Operasyon Tipi ve Operatif Bulgular

Olgular?n 15'ine hemoptizi (???ne masif hemoptizi nedeniyle hayat kurtar?c?), ???ne tan?sal ama?l?, ???ne di?er akci?er hastal?klar? (biri haraplanm?? akci?er, biri bron?ektazi, biri de skuam?z h?creli akci?er karsinomu), be?ine de di?er yak?nmalar nedeniyle posterolateral torakotomi uyguland?. En s?k uygulanan operasyon tipi lobektomiydi (%57.6). Lobektomi uygulanan olgulardan ikisi acil olarak torakotomiye al?nan olgulard?. ?? olguya lobektomiye ek olarak segmentektomi eklenmi?ti. Geri kalan 11 olgunun 4 (%15.3)'?ne segmentektomi, 4 (%15.3)'?ne wedge rezeksiyon, birine acil olmak ?zere 2 (%7.6)'sine pn?monektomi, 1 (%3.8)'ine de intratorasik ekstraplevral alanda yer almas? nedeniyle kavernostomi ve fungus topu eksizyonu uygulanm??t?. Basit aspergillomal? olgulara s?kl?kla segmentektomi/wedge rezeksiyon gibi parankim koruyucu operasyonlar uygulanm??t?. Lobektomi uygulanan olgular?n sadece biri basit aspergilloma tan?l?yd?. Kompleks aspergillomal? olgulara istatistiksel olarak daha fazla lobektomi veya pn?monektomi uyguland??? izlendi (Tablo 2). Olgular?n %20'sine adezyonlar?n ayr?lmas? s?ras?nda plevro-parankimal kanaman?n olu?mas? ?zerine yer yer ekstraplevral diseksiyon uygulanm??t?.

Operatif Mortalite, Postoperatif Komplikasyonlar ve Hastanede Yat?? S?resi

Postoperatif herhangi bir problemi olmayan olgu say?s? 11 (%42.3) idi. Bu olgular?n 6 (%75)'s? basit aspergillomal?, 5 (%27.7)'i kompleks aspergillomal? olgulard?. ?kisi (%25) basit, 13 (%72.2)'? kompleks aspergillomal? toplam 15 (%57.7) olguda? toplam 23 komplikasyon saptand?. Kompleks aspergillomal? olgularda istatistiksel olarak daha fazla komplikasyon geli?ti?i g?r?ld? (p=? 0.03). En s?k saptanan komplikasyonlar uzam?? hava ka?a??, ekspansiyon kusuru ve ampiyemdi (Tablo 3). Ampiyemi mevcut olan olgulardan birinde ve de uzam?? hava ka?a?? izlenen olgulardan birinde bronkoplevral fist?l saptand?. Bu iki olgudan birinde drenaj ve takip ile bronkoplevral fist?lde gerileme oldu, ent?be edilen di?er olgu postoperatif 20. g?nde eksitus oldu. Bu olgu cerrahi mortalite olarak kay?tlara ge?ti (%3.8). Mekanik ventilasyon ihtiyac? olan ?? olgudan biri mortal seyreden olguydu, di?er iki olgu postoperatif ent?be olarak yo?un bak?ma al?n?p 48. saatte ekst?be edilip sonras?nda ?ifa ile taburcu edildi. Olgular?n hastanede yat?? s?releri 12.9 ? 7 g?n idi. Bu s?re basit aspergilloma i?in 12.5 ? 7.5 g?n, kompleks aspergilloma i?in 13.1 ? 7 g?n idi. ?ki grup aras?nda istatistiksel fark yoktu (p> 0.05).


Tablo 3

Takip ve Sa?kal?m

Cerrahi mortalite olan olgu haricinde di?er 25 olgu ortalama 44 ay (da??l?m: 6-85 ay) takip edildi. Kompleks aspergillomal? 6 (%33.3), basit aspergillomal? 2 (%25) olgu [toplam 8 (%30.7) olgu] taburcu olduktan sonra ?? ay i?inde tekrar hastaneye yatt??? belirlendi. ?ki grup aras?nda istatistiksel olarak fark yoktu (p> 0.05). Bu olgular?n hepsinin operasyon sonras? erken d?nemde cerrahiye ikincil geli?en komplikasyonlar nedeniyle tekrar hastaneye yatt??? saptand?. Takip s?resinde iki kompleks aspergillomal? olguda tekrarlayan hemoptizi ata?? olmadan kardiyopulmoner di?er nedenlerden dolay? ?l?m izlendi. Genel sa?kal?m ?? y?l i?in %90 iken, bu de?er basit aspergillomal? olgularda %100, kompleks aspergillomal? olgularda %89 idi. ?ki grup aras?nda istatistiksel olarak fark yoktu (p> 0.05). Birisi kavernostomi uygulad???m?z olgu olmak ?zere 2 (%8) olguda aspergilloma tekrarlad??? saptand?.

TARTI?MA

Kronik aspergilloz s?n?f?nda yer alan aspergilloma akci?erde saprofitik kolonizasyon sonras? olu?ur. Mantar s?kl?kla haraplanm?? akci?er parankimine veya olu?mu? pulmoner kaviteye yerle?ip b?y?me e?ilimindedir (10). Mantar topu s?kl?kla ?st lob yerle?imlidir. Sitolojik olarak; hifli, fibrinli, inflamatuvar h?creli, gros olarak da; yuvarlak veya oval, gevrek, k?l renginde ve nekrotik kitle halindedir (11).

T?berk?loz kavitesi, fibrokistik sarkoidoz, kaviter neoplazm, pulmoner fibrozis, akci?er apsesi ve bron?ektazi, bron?iyal kist, histoplazmoz, pulmoner infarkt gibi altta yatan pulmoner hastal?klardan sonra olu?abilir (12,13,14,15). Avrupa ve Asya'dan yay?nlanan t?m serilerde bu kaviter lezyona sebep olan altta yatan hastal?k t?berk?loz olarak belirtilmektedir ve t?berk?loz kavitesinde ilk y?l i?inde %10 oran?nda aspergilloma geli?mesi ve de ?? y?l sonra bu oran?n %17'ye y?kseldi?inin bulunmas? bu yay?nlar? desteklemektedir (3,4,12,16). Kuzey Amerika yay?nlar?nda ise t?berk?loz ile beraberli?inin az oldu?u belirtilmektedir (17). Bizim serimizde de t?berk?loz (%61.5) en s?k kaviter akci?er lezyonuna sebep olan hastal?kt?. Be? (%19.4) olguda? herhangi bir altta yatan hastal?k yoktu. Bunu son y?llarda t?berk?loz insidans?n?n azalmas?na ve b?ylelikle r?latif olarak altta yatan hastal??? olmayan olgular?n artmas?na ba?layabiliriz. Ayr?ca, Regnard ve arkada?lar?n?n son 10 y?ll?k periyotta istatistiksel olarak aspergilloma ile t?berk?loz ili?kisinde azalma ve de altta yatan hastal?k olmaks?z?n aspergilloma g?r?lmesinde artma izlemesi de serimizdeki olgular? a??klayabilir (4). Altta yatan pulmoner hastal??? olmayan olgular istatistiksel olarak basit aspergilloma grubunda daha ?oktu.

Semptomlar insidental olarak saptanan durumdan, hayat? tehdit eden hemoptizilere kadar ?ok ?e?itlidir. Bazen altta yatan pulmoner hastal??a ba?l? oldu?u i?in aspergillomay? d???nd?rmeyebilir. Ancak en s?k kar??la??lan semptom %50-80 oran?nda hemoptizidir (10,18). %10-15 oran?nda tekrarlayan atak veya hayat? tehdit eden d?zeylere kadar ula?abilir (12,16,19). Bizim serimizde bu oranlar s?ras?yla %61.5 ve %23 idi. Masif hemoptizi oran?m?z?n ?ok olmas?n? hem olgu say?s?n?n az olmas?na hem de hastanemizin hemoptizi konusunda s?k ba?vurulan bir merkez olmas?na ba?lamaktay?z. Olgular?n 3 (%11.5)'?n?n asemptomatik olmas? son y?llardaki yay?nlarla ?rt??mekteydi. Park ve Jheon bu oran? %16.4 olarak vermi?lerdir (16). Son y?llardaki veriler ile eski verilerin kar??la?t?r?lmas? sonucunda asemptomatik olgular?n artmakta oldu?u istatistiksel olarak da g?sterilmi?tir (4).

BAE hemoptizili olgularda uygulanmakta ancak s?kl?kla ba?ar?s?z ve de ge?ici olarak tedavi sa?lamaktad?r (20). Erken d?nemde kollateraller olu?makta, bu kollaterallerin pulmoner veya sistemik dola??mdan kanlanmas?yla hemoptizi tekrarlamakta ve bu sefer de BAE uygulan?m? ba?ar?s?z olmaktad?r (21). Bu y?zden BAE'nin sadece hayat? tehdit eden veya tekrarlayan basit hemoptizisi bulunan olgularda kesin tedavinin d?zenlenmesi i?in gereken s?reyi kazand?rmak i?in kullan?lmas?n?n gerekti?i belirtilmektedir (16). Serimizdeki hemoptizili be? olguya daha ?nce BAE i?lemi uygulanm?? ancak ba?ar?l? olamad??? g?r?lm??t?r.

Tedavi i?in hen?z ortak konsensus bulunmamaktad?r (2). Bu hem ?ift-k?r ?al??malar?n veya plasebo-kontrol grubu olu?turup ya da randomize hasta se?iminin aspergillomada m?mk?n olmamas?na hem de eldeki verilerin kontroll? olmayan denemeler sonras? elde edilmesi veya olgu serileriyle olgu sunumlar? d?zeyinde kalmas?na ba?lanmaktad?r. %10'dan az olguda kavitenin ?zerine binen bakteriyel s?perinfeksiyon nedeniyle spontan erime g?r?lebilmesine ra?men ?aspergilloman?n s?kl?kla komplike hale gelece?i d???n?ld???nde tek ve ortak karar tedavinin gereklili?idir (2,12).

Cerrahi tedavi s?kl?kla semptomlar?n kontrol alt?na al?nmas?, tekrarlayan veya hayat? tehdit edebilecek hemoptizinin ?nlenmesi ve de ya?am s?resini uzatmas? nedeniyle ?nerilmektedir. Karas ve arkada?lar? cerrahi olarak y?ksek riskli oldu?u i?in opere edilemeyen 10 aspergillomal? olgunun d?rd?n?n takipte eksitus oldu?unu belirtmektedir (22). Benzer ?ekilde pulmoner fonksiyonlar? yeterli d?zeyde olmas?na ra?men operasyonu kabul etmeyip ?al??mam?za almad???m?z aspergillomal? d?rt olgumuzun ikisinin takipte masif hemoptizi nedeniyle eksitus oldu?u g?r?lm??t?r. Bu da aspergillomada cerrahi tedavinin gereklili?ini bir kez daha ortaya koymaktad?r. Cerrahi rezeksiyon olarak en s?k lobektomi uygulanmaktad?r (3,4,16,23). Taraf?m?zca en s?k uygulanan cerrahi y?ntemde %57.6 ile lobektomidir. Parankim koruyucu ameliyatlar?n (wedge, segmentektomi gibi) basit aspergillomal? olgularda daha fazla uyguland???n? g?rd?k. Bunun da sebebinin k???k ve ayn? zamanda periferik aspergillomal? olgulardan kaynakland???n? d???nmekteyiz. Pn?monektomi genellikle farkl? loblarda olan aspergilloma durumlar?nda ya da total olarak haraplanm?? akci?er durumunda ?nerilmektedir (3,4,5,16). Pn?monektomi uygulad???m?z olgulardan biri haraplanm?? akci?er nedeniyle di?er olguda masif hemoptizi nedeniyle acil torakotomi uygulanan olgudur. Hem pn?monektomi oran?m?z hem de uygulama nedenlerimiz literat?rle uyumludur.

Kesin tedavinin cerrahi rezeksiyon oldu?u geni? serili yaz?larda da belirtilmekte, ancak %1-22 aras?nda mortalite ile %23-78 aras?nda morbidite olabilece?i g?z ?n?ne al?narak cerrahi rezeksiyon ?ncesi iyi d???n?lmesi ve yeterli pulmoner fonksiyonlara sahip olan hastalara rezeksiyon planlanmas? ?nerilmektedir (3,4,7,8,16,23,24). Mortalite s?kl?kla kronik solunum yetmezli?i veya pn?moniye ba?l? oldu?u i?in altta yatan pulmoner durum en ?nemli fakt?rd?r. Bu da kompleks aspergillomal? olgularda daha fazla mortaliteyi a??klamaktad?r. Cerrahi mortalitemiz son y?llardaki literat?rlerle uyumlu olarak %5.6 idi. Son yay?nlarda mortalite ve morbiditenin azald??? g?r?lmektedir (Tablo 4) (4,16,23). Bu hem olgular?n dikkatli se?ilmesine hem de cerrahi tekniklerin ilerlemesine ba?lanabilir. Ayr?ca, kompleks olgularda mortalite ve morbiditenin basit aspergillomaya g?re daha fazla olu?tu?unun belirtilmesi ve de son y?llardaki yay?nlarda? basit aspergillomal? olgu say?s?n?n artmas? bu d??meyi a??klayabilir (4,7,16,25) (Tablo 4). Yara yeri infeksiyonu gibi min?r komplikasyonlar g?r?lebilece?i gibi hemoraji, ampiyem, ekspansiyon kusuru, BPF gibi maj?r komplikasyonlar da g?r?lebilmektedir (3,4). Olgular?n %57.7'sinde morbidite geli?ti?ini g?rd?k. En s?k saptanan komplikasyonlar literat?rle uyumlu olarak uzam?? hava ka?a??, ekspansiyon kusuru ve ampiyemdi. Yay?nlarda belirtilen hemoraji komplikasyonunun bizim serimizde olmamas?n? ekstraplevral diseksiyonu ?ok uygulamam?za ba?lamaktay?z. Komplikasyon geli?en olgular?n istatistiksel olarak kompleks olgularda daha fazla oldu?unu saptad?k. Basit aspergillomal? olgular?n s?kl?kla altta yatan bir hastal?k olmadan aspergilloma hastal???na yakaland?klar? ve de bu olgulara parankim koruyucu cerrahinin istatistiksel olarak daha fazla uygulanmas? da basit aspergillomal? olgularda daha az komplikasyon izlenmesini a??klayabilir. Son y?llarda basit aspergillomal? olgular?n artt??? g?z ?n?ne al?n?rsa olgu say?s?n?n artmas?yla komplikasyon oran?n?n azalaca?? iddia edilebilir.


Tablo 4

Pn?monektomi uygulanan olgularda %25-80 komplikasyon geli?ti?i belirtilmektedir (3,4,5). Shiraishi ve arkada?lar? taraf?ndan kompleks aspergillomal? 11 olguya uygulanan pn?monektomi s?ras?nda ekstraplevral diseksiyonun ve de bron? g?d???n?n kas flebiyle desteklenmesinin komplikasyon oran?n? azaltt??? bildirilmi?tir (26). Birinde min?r olmak ?zere her iki olgumuzda da komplikasyon geli?mi?tir. Ancak olgu say?s? yorum yapmak i?in yetersizdir.

Pulmoner fonksiyonlar? k?s?tl? oldu?u i?in akci?er rezeksiyonu uygulanamayan ve tekrarlayan hemoptizisi olan olgularda kavernostomi uygulanabilse de bu y?ntemin sonu?lar?n?n ?ok iyi olmad??? ve mortalite oran?n?n y?ksek? oldu?unu bildiren yay?nlar mevcuttur (27). Ancak uygun olgularda ve uygun kas flebi se?ilmesi durumun da sonu?lar?n iyi oldu?unu belirten yay?nlar da bulunmaktad?r (28,29). Serimiz kavernostomi hakk?nda yorum yapmak i?in yetersizdir. Ayr?ca tek olgumuzun hem komplike olmas?n? hem de tekrar ayn? yerde mantar topu olu?mas?n? kavernostomi konusunda deneyimimizin ?ok olmamas?na ba?lamaktay?z.

Aspergillomal? olgular?n cerrahi sonras? ortalama dokuz g?nde hastaneden taburcu olduklar? belirtilmektedir (30). Bizim olgular?m?z?n daha uzun s?rede taburcu olmalar?n? hem uzam?? hava ka?a?? bulunan olgular?n ?oklu?una ve bu olgular?n komplike hale gelip ampiyem olmalar?na hem de postoperatif rutin uygulanan solunum fizyoterapisine ba?lamaktay?z. ?? ay i?inde tekrar hastaneye yat?? oran?m?z?n Handy ve arkada?lar?n?n belirtti?i %18.9'luk de?erden y?ksek olmas?n?, belirtilen ?al??man?n t?m rezeksiyonlar? kapsamas?na ra?men bizim ?al??mam?z?n sadece aspergilloma gibi postoperatif y?ksek morbiditeyle seyreden bir hastal??a ?zg? olmas?na ba?lamaktay?z (31).

Be? y?ll?k sa?kal?m %80-90 aras?ndad?r (3,23). ?al??mam?zda ?? y?ll?k sa?kal?m %90'd?r. Literat?rle uyumlu olarak (7,23,25); kompleks olan grubun basit olan gruba g?re uzun s?reli sa?kal?m?n?n istatistiksel olarak anlaml? olmasa da daha k?t? oldu?u saptand?.

Aspergilloman?n tekrarlama oran? %4-7'dir (23,24). Bizim ?al??mam?zda da bu oran %8 bulunmu?tur. Bundan dolay? aspergillomal? olgular uzun d?nem ve s?k takiplere tabi tutulmal?d?r.

Sonu? olarak; basit aspergillomalar s?kl?kla altta yatan hastal?k olmadan olu?makta ve de bu olgulara uygulanan cerrahi rezeksiyon kompleks olgulara g?re daha az morbiditeye sebep olmaktad?r. Pulmoner fonksiyonlar? yeterli olan, asemptomatik ve semptomatik aspergillomal? olgularda parankim koruyucu cerrahi rezeksiyon (en fazla lobektomi boyutunda); hayat? tehdit edebilecek hemoptizi ataklar?n? ve rek?rrensi en aza indirdi?inden, kabul edilebilir morbidite-mortalite ve iyi sa?kal?m sonu?lar?yla uygulanabilir.

?IKAR ?ATI?MASI

Bildirilmemi?tir.

KAYNAKLAR

  1. Garvey J, Crastnopol P, Veisz D, Khan F. The surgical treatment of pulmonary aspergilloma. J Thorac Cardiovasc Surg 1977; 74: 542-7. [?zet]
  2. Stevens DA, Kan VL, Judson MA, et al. Practice guidelines for diseases caused by aspergillus. Clin Infect Dis 2000; 30: 696-709. [?zet] [Tam Metin] [PDF]
  3. Babatasi G, Massetti M, Chapelier A, et al. Surgical treatment of pulmonary aspergilloma: current outcome. J Thorac Cardiovasc Surg 2000; 119: 906-12. [?zet] [Tam Metin] [PDF]
  4. Regnard JF, Icard P, Nicolosi M, et al. Aspergilloma: a series of 89 surgical cases. Ann Thorac Surg 2000; 69: 898-903. [?zet] [Tam Metin] [PDF]
  5. Massard G, Dabbagh A, Wihlm JM, et al. Pneumonectomy for chronic infection is a high-risk procedure. Ann Thorac Surg 1996; 62: 1033-8. [?zet] [PDF]
  6. Pecora DV, Toll MW. Pulmonary resection for localized aspergillosis. N Engl J Med 1960; 263: 785-7.
  7. Daly RC, Pairolero PC, Piehler JM, et al. Pulmonary aspergilloma: results of treatment. J Thorac Cardiovasc Surg 1986; 92: 981-8. [?zet]
  8. Battaglini JW, Murray GF, Kaegy BA, et al. Surgical management of symptomatic pulmonary aspergilloma. Ann Thorac Surg 1985; 39: 512-6. [?zet]
  9. Belcher JR, Plummer NS. Bronchopulmonary aspergillosis. Br J Dis Chest 1960; 54: 335-41.
  10. Glimp RA, Bayer AS. Pulmonary aspergilloma: diagnostic and therapeutic considerations. Arch Intern Med 1983; 143: 303-8. [?zet]
  11. Takaro T. Thoracic actinomycetic and mycotic infections. In: Goldsmith HS (ed). Practice of Surgery. Hagerstown, MD: Harper & Row, 1978.
  12. British Tuberculosis and Thoracic Association. Aspergilloma and residual tuberculosis cavities: the result of a resurvey. Tubercle 1970; 51: 227-45.
  13. Wollschlager C, Kahn F. Aspergillomas complicating sarcoidosis: a prospective study of 100 patients. Chest 1984; 86: 585-8. [?zet] [PDF]
  14. Torpoco JO, Yousuffuddin M, Pate JW. Aspergilloma within a malignant pulmonary cavity. Chest 1976; 69: 561-3. [?zet] [PDF]
  15. Solit RW, McKeown JJ, Smullens S. The surgical implications of intracavitary mycetomas (fungus balls). J Thorac Cardiovasc Surg 1971; 62: 411-22.
  16. Chang Kwon Park and Sanghoon Jheon. Results of surgical treatment for pulmonary aspergilloma. Eur J Cardiothorac Surg 2002; 21: 918-23. [?zet] [Tam Metin] [PDF]
  17. Faulkner SL, Vemon R, Brown PP, et al.? Hemoptysis and pulmonary aspergilloma: operative versus non-operative treatment. Ann Thorac Surg 1978; 25: 389-92. [?zet]
  18. Griepp RB. ?ndiscussion of Hendersot RD, et al. Surgery in pulmoner aspergillosis. J Thorac Cardiovasc Surg 1975; 70: 1088.
  19. Rafferty P, Biggs B, Crompton GK, et al. What happens to patients with pulmonary aspergilloma? Analysis of 23 cases. Thorax 1983; 38: 579-83. [?zet] [PDF]
  20. Kaplan J, Johns CJ. Mycetomas in pulmonary sarcoidosis: nonsurgical management. J Hopkins Med J 1979; 145: 157-61. [?zet]
  21. Uflacker R, Kaemmerer A, Neves C, et al. Management of massive hemoptysis by bronchial artery embolization. Radiology 1983; 146: 627-34. [?zet]
  22. Karas A, Hankins JR, Attar S, et al. Pulmonary aspergillosis: an analysis of 41 patients. Ann Thorac Surg 1976; 22: 1-7. [?zet]
  23. Kim YT, Kang MC, Sung SW, et al. Good long-term outcomes after surgical treatment of simple and complex pulmonary aspergilloma. Ann Thorac Surg 2005; 79: 294-8. [?zet] [Tam Metin] [PDF]
  24. Jewkes J, Kay PH, Paneth M, et al. Pulmonary aspergilloma: analysis of prognosis in relation to haemoptysis and survey of treatment. Thorax 1983; 38: 572-8. [?zet] [PDF]
  25. Akbari JG, Varma PK, Neema PK. Clinical profile and surgical outcome for pulmonary aspergilloma: a single center experience. Ann Thorac Surg 2005; 80: 1067-72. [?zet] [Tam Metin] [PDF]
  26. Shiraishi Y, Katsuragi N, Nakajima Y, et al. Pneumonectomy for complex aspergilloma: is it still dangerous? Eur J Cardiothorac Surg 2006; 29: 9-13. [?zet] [Tam Metin] [PDF]
  27. Oakley RE, Mario P, Goldstraw P. Indications and outcome of surgery for pulmonary aspergilloma. Thorax 1997; 52: 813-5. [?zet] [PDF]
  28. Ono N, Sato K, Yokomise H, et al. Surgical management of pulmonary aspergilloma. Role of single-stage cavernostomy with muscle transposition. Jpn J Thorac Cardiovasc Surg 2000; 48: 569-9. [?zet]
  29. Gebitekin C, Bayram AS, Akin S. Complex pulmonary aspergilloma treated with single stage cavernostomy and myoplasty. Eur J Cardiothorac Surg 2005; 27: 737-40. [?zet] [Tam Metin] [PDF]
  30. Al-Kattan K, Ashour M, Hajjar W, et al. Surgery for pulmonary aspergilloma in post-tuberculous vs. immuno-compromised patients. Eur J Cardiothorac Surg 2001; 20: 728-33. [?zet] [Tam Metin] [PDF]
  31. Handy JR, Child AI, Grunkemeier GL, et al. Hospital readmission after pulmonary resection: prevalence, patterns, and predisposing characteristics. Ann Thorac Surg 2001; 72: 1855-9. [?zet] [Tam Metin] [PDF]

Yaz??ma Adresi (Address for Correspondence):

Dr. Necati ??TAK,

Belgrad Kap? Yolu No: 1 Zeytinburnu

34020 ?STANBUL ? TURKEY

e-mail: necomomus@mynet.com

Yazd?r